Correct preparation for a patient scheduled for an upper gastrointestinal (GI) series is most likely to be
NPO after midnight

The position shown in Figure A is known as
left lateral decubitus.
Which of the following statements is (are) correct with respect to evaluation criteria for a PA projection of the chest for lungs?
- Sternal extremities of clavicles are equidistant from vertebral borders.
- Ten posterior ribs are demonstrated above the diaphragm.
- The esophagus is visible in the midline.
1 and 2 only
The type of ileus characterized by cessation of peristalsis is termed
paralytic
Which of the following positions is most likely to place the right kidney parallel to the IR?
LPO
Which of the following statements is (are) correct, with respect to a left lateral projection of the chest?
- The MSP must be perfectly vertical and parallel to the IR.
- The right posterior ribs will be projected slightly posterior to the left posterior ribs.
- Arms must be raised high to prevent upper-arm soft-tissue superimposition on lung field.
1, 2, and 3

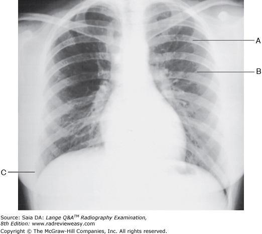
The PA chest radiograph shown in the figure below demonstrates
1. rotation
2. scapula superimposed on lung fields
3.
adequate inspiration
1, 2, and 3

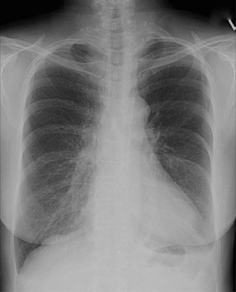
Which of the following statements is (are) true regarding the figure below?
- The image was made in the LAO position.
- The CR should enter more inferiorly.
- The sternum is projected onto the left side of the thorax.
2 and 3 only
Which of the following anatomic structures is best demonstrated in the LPO position, in a positive-contrast exam?
Hepatic flexure
Involuntary motion can be caused by
1. peristalsis.
2. severe pain.
3. heart muscle contraction.
1, 2, and 3
All the following statements regarding large bowel radiography are true except
single-contrast studies help to demonstrate intraluminal lesions.
Which of the following procedures will best demonstrate the cephalic, basilic, and subclavian veins?
Upper-limb venogram
Which of the following positions will demonstrate the
right axillary ribs?
1. RAO 2. LAO 3. RPO
2 and 3 only
During chest radiography, the act of inspiration
1. elevates
the diaphragm
2. raises the ribs
3. depresses the abdominal viscera
2 and 3 only
Which of the following is (are) part of the bony thorax?
- Manubrium
- Clavicles
- 24 ribs
1 and 3 only
Operative cholangiography may be performed to
1. visualize biliary stones or a neoplasm.
2. determine function of the hepatopancreatic ampulla.
3. examine the patency of the biliary tract.
1, 2, and 3
Free air in the abdominal cavity is best demonstrated in which of the following positions?
AP projection, left lateral decubitus position
Which of the following radiologic examinations can demonstrate ureteral reflux?
Voiding cystourethrogram
What instructions might a patient be given following an
upper GI examination?
1. Drink plenty of fluids.
2. Take a mild laxative.
3. Increase dietary fiber.
1, 2, and 3
Widening of the intercostal spaces is characteristic of which of the following conditions?
Emphysema

Which of the following statements referring to the images below is (are) correct?
- Image A was performed AP.
- Image B was performed AP.
- The AP image was obtained using ureteral compression.
2 only
Endoscopic retrograde cholangiopancreatography (ERCP) usually involves
- cannulation of the hepatopancreatic ampulla
- introduction of contrast medium into the common bile duct
- introduction of barium directly into the duodenum
1 and 2 only
The thoracic cavity is lined by
parietal pleura.
During IV urography, the prone position generally is recommended to demonstrate
- the filling of the ureters
- the renal pelvis
- the superior calyces
1 and 2 only
All the following positions are likely to be employed for both single- and double-contrast examinations of the large bowel except
right and left lateral decubitus abdomen.
Which of the following positions can be used to demonstrate the
axillary ribs of the right thorax?
1. RAO
2. LAO
3. RPO
2 and 3 only
All of the following statements regarding the RAO position of the sternum are true, except
a thin thorax requires a lesser degree of obliquity than a thicker thorax.
What is the position of the stomach in a hypersthenic patient?
High and horizontal
Which of the following examinations require(s) restriction of a patient's diet?
- Barium enema
- Pyelogram
- Metastatic survey
1 and 2 only
Free air in the abdominal cavity is demonstrated in
which of the following?
1. Lateral recumbent abdomen
2. Erect AP abdomen
3. Left lateral decubitus abdomen
2 and 3 only
The pyloric canal and duodenal bulb are best demonstrated during an upper GI series in which of the following positions?
RAO
The ridge that marks the bifurcation of the trachea into the right and left primary bronchi is the
Carina
Following the ingestion of a fatty meal, what hormone is secreted by the duodenal mucosa to stimulate contraction of the gallbladder?
Cholecystokinin
Which of the following structures will usually contain air, in the PA recumbent position on a sthenic patient, during a double-contrast upper GI (UGI) examination?
Gastric fundus
Inspiration and expiration projections of the chest are performed to demonstrate
- partial or complete collapse of pulmonary lobe(s)
- air in the pleural cavity
- foreign body
1, 2, and 3
Which of the following examinations most likely would be performed to diagnose Wilm's tumor?
IVU
Which of the following structures will be filled with barium in the AP recumbent position of a sthenic patient during an upper GI examination?
Gastric fundus
When the erect position is requested as part of an IVU, it is used to demonstrate
kidney mobility.
The condition in which pulmonary alveoli lose their elasticity and become permanently inflated, causing the patient to consciously exhale, is
emphysema
A patient suffering from orthopnea would experience the least discomfort in which body position?
Erect
To demonstrate the pulmonary apices with the patient in the AP position, the
central ray is directed 15° to 20° cephalad.
The sternoclavicular joints will be best demonstrated in which of the following positions?
Anterior oblique
Which of the following positions will move the fundus of the gallbladder shown in Figure 7–6 away from the superimposed transverse process?
LAO

Which of the following is represented by the number 3 in the figure below?
Aorta
Which of the following will be demonstrated best in the 45-degree right anterior oblique (RAO) position?
Left axillary ribs
A lesion with a stalk projecting from the intestinal mucosa into the lumen is a(n)
polyp
An aspirated foreign body is more likely to enter the lower respiratory tract via the
right main stem bronchus.
Which of the following positions is most likely to offer the best visualization of the pulmonary apices?
AP axial lordotic
The stomach of an asthenic patient is most likely to be located
low, vertical, and toward the midline.
Which of the following positions will most effectively move the gallbladder away from the vertebrae in an asthenic patient?
LAO
An esophagram would most likely be requested for patients with which
of the following esophageal disorders/symptoms?
1.
Varices
2. Achalasia
3. Dysphasia
1 and 2 only

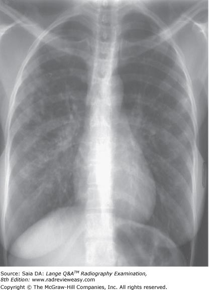
The figure below demonstrates which of the following conditions?
dextrocardia
For the average patient, the CR for a lateral projection of a barium-filled stomach should enter
midway between the midcoronal line and the anterior abdominal surface
Which type of articulation is evaluated in arthrography?
Diarthrodial
Which of the following equipment is mandatory for performance of a myelogram?
Tilting x-ray table
Which of the following positions is required to demonstrate small amounts of air in the peritoneal cavity?
Lateral decubitus, affected side up
To obtain an exact axial projection of the clavicle, place the patient
in a lordotic position and direct the central ray at right angles to the coronal plane of the clavicle.

The structure indicated by the number 5 in Figure 6–11 is the
ileum.
Deoxygenated blood from the head and thorax is returned to the heart by the
superior vena cava
Below-diaphragm ribs are better demonstrated when
the patient is in the recumbent position.
In which of the following conditions is a double-contrast BE essential for demonstration of the condition?
- Polyps
- Colitis
- Diverticulosis
1 and 2 only
A patient is usually required to drink barium sulfate suspension to
demonstrate which of the following structures?
1. Esophagus
2. Pylorus
3. Ilium
1 and 2 only
Which of the following are mediastinal structures?
- Heart
- Trachea
- Esophagus
1, 2, and 3
Which of the following radiologic procedures requires that a contrast medium be injected into the renal pelvis via a catheter placed within the ureter?
Retrograde urography

The structure labeled number 2 in Figure 6–3, image B is the
gallbladder
Which of the following conditions would
require an increase in exposure factors?
1. Congestive heart failure
2. Pleural effusion
3. Emphysema
1 and 2 only

Which of the radiographs shown in Figure 4–5 most likely required the greater exposure?
Image B

All the following statements regarding the position shown in Figure 2–17 are true except
the CR is directed vertically to the level of T7.

Which of the following structures is (are) located in the right upper
quadrant (RUQ)?
1. Spleen
2. Gallbladder
3. Hepatic flexure
2 and 3 only

What is the name of the plane indicated by the number 1 in Figure 6–17?
Midcoronal plane

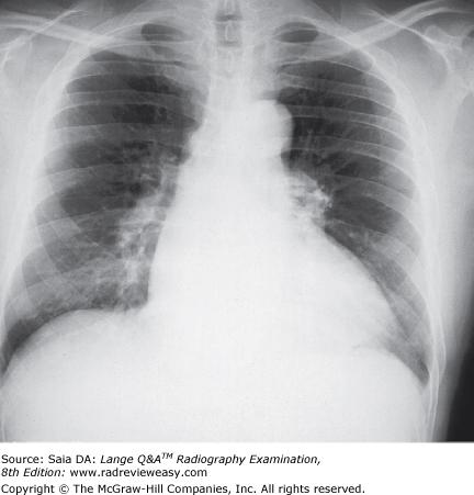
The PA chest image shown in Figure 4–13 exhibits which of the following qualities?
- Adequate penetration of the heart
- Long-scale contrast
- Adequate inspiration
1, 2, and 3

The figure below illustrates a sectional image of the abdomen. Which of the following is represented by the number 13?
Portal vein
Dorsal decubitus projections of the chest are used to evaluate small amounts of
- fluid in the posterior chest
- air in the posterior chest
- fluid in the anterior chest
1 only
Which of the following radiologic examinations requires preparation consisting of a low-residue diet, cathartics, and enemas?
Barium enema (BE)
Which of the following techniques would provide a posteroanterior (PA) projection of the gastroduodenal surfaces of a barium-filled high and transverse stomach?
Angle the CR 35 to 45 degrees cephalad.
Which of the following equipment is necessary for ERCP?
- A fluoroscopic unit with imaging device and tilt-table capabilities
- A fiberoptic endoscope
- Polyethylene catheters
1, 2, and 3
Which projection(s) of the abdomen would be used to
demonstrate pneumoperitoneum?
1. Right lateral decubitus
2. Left lateral decubitus
3. Upright
2 and 3 only
Which of the following structures is (are) located in the right upper quadrant (RUQ)?
- Hepatic flexure
- Gallbladder
- Ileocecal valve
1 and 2 only
Moderate hypertension can produce damage to which of the following organs?
1. Lungs
2. Kidneys
3. Brain
1, 2, and 3
In what order should the following examinations be scheduled?
- Upper GI
- Intravenous pyelogram (IVP)
- Barium enema (BE)
2, 3, 1
Which of the following is the preferred scheduling sequence?
Abdomen ultrasound, lower GI series, upper GI series
During studies of the soft tissue of the neck, the exposure can be
made
1. during phonation before/after opacification.
2. during Valsalva maneuver.
3. at the height of swallowing motion with opacification. A 1 only
1, 2, and 3
The body habitus characterized by a long and narrow thoracic cavity and low midline stomach and gallbladder is the
asthenic
Which of the following is (are) evaluation criteria for a PA chest radiograph of the heart and lungs?
- Ten posterior ribs should be seen above the diaphragm.
- The medial ends of the clavicles should be equidistant from the vertebral column.
- The scapulae should be seen through the upper lung fields.
1 and 2 only
In a posteroanterior (PA) projection of the chest being used for cardiac evaluation, the heart measures 14.7 cm between its widest points. If the magnification factor is known to be 1.2, what is the actual diameter of the heart?
12.25 cm

The structure labeled number 6 in Figure 2–39 is the
brachiocephalic artery

Which of the following statements with respect to the PA chest seen in Figure 2–11 is (are) correct?
- Adequate inspiration is demonstrated.
- The shoulders are rolled forward adequately.
- Rotation is demonstrated.
1, 2, and 3
Double-contrast examinations of the stomach or large bowel are performed to better visualize the
gastric or bowel mucosa
To radiograph an infant for suspected free air within the abdominal cavity, which of the following projections of the abdomen will demonstrate the condition with the least patient exposure?
Left lateral decubitus without grid
In myelography, the contrast medium generally is injected into the
subarachnoid space between the third and fourth lumbar vertebrae
Which of the following pathologic conditions probably will require a decrease in exposure factors?
Osteoporosis
The AP axial projection of the pulmonary apices requires the CR to be directed
15 degrees cephalad
Which of the following is the most likely site for a lumbar puncture?
L3–4
With the patient recumbent on the x-ray table with the head lower than the feet, the patient is said to be in the
Trendelenburg position
Fluoroscopic imaging of the ileocecal valve is generally part of a(n)
small-bowel series.
What is the position of the gallbladder in an asthenic patient?
Inferior and medial
The usual patient preparation for an upper GI examination is
nothing by mouth (NPO) 8 hours before the examination.
The act of expiration will cause the
- diaphragm to move inferiorly
- sternum and ribs to move inferiorly
- diaphragm to move superiorly
2 and 3 only
Routine excretory urography usually includes a postmicturition
radiograph of the bladder. This is done to demonstrate
1. tumor
masses.
2. residual urine.
3. prostatic enlargement.
1, 2, and 3
During endoscopic retrograde cholangiopancreatography (ERCP) examination, contrast medium is injected into the
common bile duct
Moderate hypertension can produce damage to which of the following organ(s)
1. Lungs
2. Kidneys
3. Brain
1 2 and 3
How should a chest examination to rule out air–fluid levels be obtained on a patient having traumatic injuries?
Include a lateral chest examination performed in dorsal decubitus position.
A flat and upright abdomen is requested on an acutely ill patient, to demonstrate the presence of air-fluid levels. Because of the patient's condition, the x-ray table can be tilted upright only 70° (rather than the desired 90°). How should the central ray be directed?
Parallel to the floor
What are the positions most commonly employed for a
radiographic examination of the sternum?
1. Lateral
2. RAO
3. LAO
1 and 2 only
Which of the following positions is required to demonstrate small amounts of air in the pleural cavity?
Lateral decubitus, affected side up
An increase in exposure factors usually is required in which of the following circumstances?
- Edema
- Ascites
- Acromegaly
1, 2, and 3
Which of the following statements is (are) true regarding the CR image artifact seen in the erect PA projection of the chest shown in Figure 4–31? The object is located within the IP.
The object is located within the IP.
Which of the following is a radiologic procedure that functions to dilate a stenotic vessel?
Percutaneous angioplasty
Place the following anatomic structures in order from anterior to posterior:
1.
Trachea
2.
Apex of heart
3.
Esophagus
Apex of heart, trachea, esophagus
The following instructions should be given to a patient following a
barium sulfate contrast examination:
1. Increase fluid and fiber
intake for several days.
2. Changes in stool color will occur
until all barium has been evacuated.
3. Contact a physician if no
bowel movement occurs in 24 hours.
1, 2, and 3
During an upper gastrointestinal (GI) examination, the
AP recumbent projection of a stomach of average shape will usually
demonstrate
1. anterior and posterior aspects of the stomach.
2. barium-filled fundus.
3. double-contrast body and antral portions.
2 and 3 only

What is the structure indicated by the number 8 in Figure 2–18?
Common bile duct
Which of the following positions may be used to effectively demonstrate the right posterior axillary ribs?
RPO
In which of the following procedures is quiet, shallow breathing recommended during the exposure to obliterate prominent pulmonary vascular markings?
- RAO sternum
- Lateral thoracic spine
- AP scapula
1, 2, and 3

The structure indicated as number 4 in Figure 2–9 is the
cecum
Which of the following sequences correctly describes the path of blood flow as it leaves the left ventricle?
Arteries, arterioles, capillaries, venules, veins
Which of the following statements regarding the image in Figure 2–4 is correct?
The left kidney is more parallel to the IR.
All the following statements regarding respiratory structures are true except
the inferior portion of the lung is the apex.
During GI radiography, the position of the stomach may vary depending on
- the respiratory phase
- body habitus
- patient position
1, 2, and 3
During an upper gastrointestinal (GI) examination, a stomach of average shape demonstrates a barium-filled fundus and double contrast of the pylorus and duodenal bulb. The position used is most likely
LPO
Differences between body habitus types are likely to affect all the following except
the degree of bone porosity.
Which of the following groups of organs/structures are located in the left upper quadrant?
Left kidney, left suprarenal gland, and gastric fundus
Another name for Hirschsprung's disease, the most common cause of lower GI obstruction in neonates, is
congenital megacolon.
The patient's chin should be elevated during chest radiography to
avoid superimposition on the apices

Which of the following statements is (are) true regarding the position illustrated in Figure 2–19?
- The left (elevated) ureter is parallel to the IR.
- The left (elevated) kidney is parallel to the IR.
- The degree of obliquity should be about 30 degrees.
2 and 3 only

In which of the following positions was the radiograph in Figure 2–9 taken?
RPO
All the following procedures demonstrate renal function except
retrograde urography
Which of the following are characteristics of the hypersthenic body type?
- Short, wide, transverse heart
- High and peripheral large bowel
- Diaphragm positioned low
1 and 2 only

The image shown in Figure 7–4 was made in the following recumbent position
LPO
Abdominal viscera located in the retroperitoneum include the
- kidneys.
- duodenum.
- ascending and descending colon.
1, 2, and 3
Which of the following conditions require(s) a decrease in technical factors?
- Emphysema
- Osteomalacia
- Atelectasis
1 and 2 only

The PA chest analog image shown in the figure below demonstrates
- excessive receptor exposure
- insufficient kilovoltage
- underpenetration
2 and 3 only
Which of the following radiographic examinations require(s) the patient to be NPO 8–10 hours prior to examination for proper patient preparation?
- Abdominal survey
- Upper GI series
- BE
2 and 3 only
The patient usually is required to drink barium sulfate suspension in order to demonstrate which of the following structures?
- Descending duodenum
- Ilium
- Splenic flexure
1 only
Demonstration of which anatomic structures require(s) ingestion of barium sulfate suspension?
- Duodenum
- Pylorus
- Ilium
1 and 2 only
Types of inflammatory bowel disease include
- ulcerative colitis.
- Crohn's disease.
- intussusception.
1 and 2 only
All the following positions are used frequently to demonstrate the sternoclavicular articulations except
weight-bearing
Which of the following will best demonstrate the size and shape of the liver and kidneys?
AP abdomen
Which of the following pathologic conditions would require an increase in exposure factors?
Ascites
The pain experienced by an individual whose coronary arteries are not conveying sufficient blood to the heart is called
angina pectoris.
Particulate matter entering the respiratory bronchi can cause
pneumoconiosis.
Abnormal accumulation of air in pulmonary tissues, resulting in overdistention of the alveolar spaces, is
emphysema
Which of the following procedures requires that the patient be placed in the lithotomy position?
Hysterosalpingography
Which of the following positions can be used to effectively demonstrate the left colic flexure during radiographic examination of the large bowel?
- RAO
- LAO
- RPO
2 and 3 only
Which cholangiographic procedure uses an indwelling drainage tube for contrast medium administration?
T-tube cholangiography
When a GI series has been requested on a patient with a suspected perforated ulcer, the type of contrast medium that should be used is
water-soluble iodinated media.
The esophagus commences at about the level of
C6

Which of the following positions may be used to
effectively demonstrate the hepatic flexure during radiographic
examination of the large bowel?
1. RAO
2. LAO
3. LPO
1 and 3 only
A patient in a recumbent position with the head lower than the feet is said to be in which of the following positions?
Trendelenburg
Which of the following criteria are used to evaluate a
PA projection of the chest?
1. Ten posterior ribs
should be visualized.
2. Sternoclavicular joints should be symmetrical.
3. The scapulae should be lateral to the lung fields.
1, 2, and 3
In which of the following examinations is exposure on full expiration required?
Below diaphragm ribs

The number 1 in the radiograph in Figure A represents which of the following renal structures?
Renal pelvis

In which of the following positions was the radiograph in Figure A taken?
LPO
An acute infection of the lungs is called
Pneumonia
Compared with that of the hypersthenic and sthenic body types, the gallbladder of an asthenic patient is most likely to be located
lower and more medial
Correct preparation for a patient scheduled for a lower GI series is most likely to be
cathartics and cleansing enemas.
Gas-producing powder or crystals usually are ingested for which of the following examinations?
Double-contrast gastrointestinal (GI) series
Esophageal varices are best demonstrated in which of the following positions?
Recumbent
A near-frontal (AP/PA) view of the sternum is best accomplished in which of the following positions?
RAO
Which of the following statements is (are) true regarding the
radiograph shown in Figure 6–16?
1. The part is rotated.
2.
The patient is not shielded correctly.
3. There is excessive
receptor exposure.
2 only
During an air-contrast BE, in what part of the colon is air most likely to be visualized with the body in the AP recumbent position?
Transverse colon
The condition that allows blood to shunt between the right and left ventricles is called
ventricular septal defect.
To demonstrate esophageal varices, the patient must be examined in
the recumbent position
To best visualize the lower ribs, the exposure should be made
on expiration
The AP axial projection of the chest for pulmonary apices
- requires 15 to 20 degrees of cephalad angulation
- projects the apices above the clavicles
- should demonstrate the medial ends of the clavicles equidistant from the vertebral column
1 and 3 only
Which of the following projections of the
abdomen may be used to demonstrate air or fluid levels?
1.
Dorsal decubitus
2. Lateral decubitus
3. AP Trendelenburg
1 and 2 only
The plane that passes vertically through the body, dividing it into anterior and posterior halves, is termed the
midcoronal plane
Which of the following positions is required to demonstrate small amounts of fluid in the pleural cavity?
Lateral decubitus, affected side down

Which of the following statements is (are) true with regard to the two CT images seen below?
- Image A illustrates more superior structures.
- The images are sagittal reconstructions.
- The exam was performed without artificial contrast.
1 only
The sternal angle is at approximately the same level as the
T5
The uppermost portion of the iliac crest is at approximately the same level as the
fourth lumbar vertebra
Which of the following examinations might require the
use of 120 kVp?
1. AP abdomen
2. Chest radiograph
3. Barium-filled stomach
2 and 3 only
During an intravenous urogram (IVU), the RPO position is used to demonstrate the
- left kidney parallel to the IR
- right kidney parallel to the IR
- right kidney perpendicular to the IR
1 and 3 only
Double-contrast examinations of the stomach or large bowel are performed to better visualize the
gastric or bowel mucosa.

What is the structure indicated by the number 7 in Figure 2–18?
Cystic duct
The manubrial notch is at approximately the same level as the
T2–3 interspace.
The act of inspiration will cause elevation of the
1.
sternum.
2. ribs.
3. diaphragm.
1 and 2 only
Using the PA projection, which of the following tube angle and direction combinations is correct for an axial projection of the clavicle?
15 to 30 degrees caudad

The structure indicated by the number 2 in Figure 6–11 is the
descending colon.
The AP Trendelenburg position is often used during an upper GI examination to demonstrate
hiatal hernia

The radiograph pictured in Figure A may be used to evaluate
1. polypoid lesions.
2. the lateral wall of the descending colon.
3. the posterior wall of the rectum.
1 and 2 only
Which of the anatomic structures listed below is seen most anteriorly in a lateral projection of the chest?
Cardiac apex
Blood is returned to the left atrium, from the lungs, via the
pulmonary veins.
High-kilovoltage exposure factors are usually required
for radiographic examinations using
1. water-soluble,
iodinated media.
2. a negative contrast agent.
3. barium sulfate.
3 only
Which of the following is a vessel that does not carry oxygenated blood?
Pulmonary artery
Which of the following positions is obtained with the patient lying supine on the radiographic table with the CR directed horizontally to the iliac crest?
Dorsal decubitus position
All of the following statements regarding respiratory structures are true except
the right lung has two lobes.
The ileocecal valve normally is located in which of the following body regions?
Right iliac
Which of the following statements is (are) correct with respect to postoperative cholangiography?
- A T-tube is in place in the common bile duct.
- Water-soluble contrast material is injected.
- The patency of biliary ducts is evaluated.
1, 2, and 3

The position illustrated in the figure below can be used successfully to demonstrate the
- PA oblique sternum
- barium-filled pylorus and duodenum
- left anterior axillary ribs
1, 2, and 3

The position illustrated in the radiograph in Figure 2–28 may be obtained with the patient
- supine and the CR angled 30 degrees caudad.
- supine and the CR angled 30 degrees cephalad.
- prone and the CR angled 30 degrees caudad.
2 and 3 only
Ingestion of barium sulfate is contraindicated in which of the following situations?
- Suspected perforation of a hollow viscus
- Suspected large bowel obstruction
- Preoperative patients
1, 2, and 3
Which of the following statements is/are true regarding Figure A?
1. The radiograph was made in the LAO position.
2. The central ray should enter more inferiorly.
3. The sternum is projected onto the left side of the thorax.
2 and 3 only