Enfermedades Benignas
UTERO
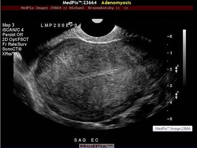
Adenomyosis

Glándulas de tejido endometrial que crecen en el miometrio
Visto en mujeres luego de los 40 años
Síntomas: dismenorrea y
sangrado anormal
Se ha asociado con alza en estrógeno
Por sonografía: Útero Grande e hipoecoico
especialmente durante
la menstruación.
Se diagnostica con facilidad con MRI
Enfermedades Benignas - Utero
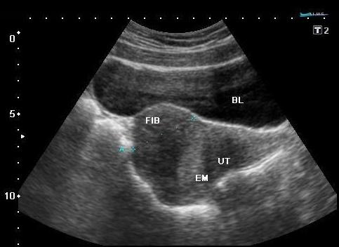
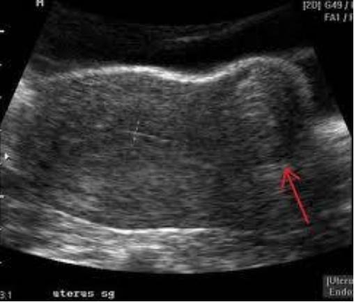
Leiomioma= (Fibroide, Myoma, Fibroma)

Tumor de tejido muscular
Comunes luego de los 35 años
Suelen ser múltiples
Se describen por su localización:
Submucoso - Intramural
Subseroso - Pedunculado
Submucoso (imagen)

Subseroso (imagen)

Subseroso (imagen)

Intramural (imagen

Pedunculado (imagen)

Enfermedades Benignas - Utero
Leiomiomas
Pueden tener:
Pueden causar:
Clinicamente causan:
Pueden tener calcificaciones
Dependiendo de su localización pueden causar infertilidad, presionar vejiga o recto, obstruir el canal vaginal.
Clinicamente causan irregularidad uterina y agrandamiento con sensación de presión pélvica y en ocaciones dolor.
Sangrado irregular
Menometrorragia o fuerte sangrado
*Menorragia es el problema clínico principal*
Myomas Uterinos
Crecimiento asociado con:
Por sonografía se ven:
estimulación de estrógeno
Por sonografía se ven:
Su apariencia dependerá del grado de degeneración ( de hipoecoicos – isoecoicos y ecogénicos)
Pueden interrumpir el contorno y tamaño uterino.
Enfermedades Utero
Leiomyosarcoma Uterino
Por sonografía se ven:
Comprenden 5% de todas las malignidades uterinas
Derivado de músculo liso, se piensa surge de un myoma preexistente
Comunes en el fundus, más frecuentes luego de los 50 años, crecen rápidamente.
Por sonografía se ven complejos mayormente sólidos.
Cuidado con el agrandamiento de myomas especialmente en mujeres posmenopáusicas
Leiomyosarcoma (imagen)

Enfermedades Utero
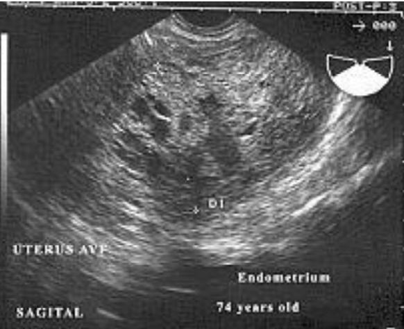
PATOLOGIA DEL ENDOMETRIO
Medida del Endometrio:
Fase Menstrual: 2-3mm
Proliferativa: 4-6 mm
Periovulatoria: 6-8 mm
Secretora: 8-12 mm
- Medida AP
completo
Enfermedades Endometrio
Un Endometrio grueso puede deberse a:
Embarazo
Endometrio en etapa secretora
Terapia con estrogeno
Hiperplasia Endometrial
Polipos
Enfermedad Trofoblastica
Carcinoma
Hiperplasia Endometrial
Es el resultado de:
la estimulación del estrógeno al endometrio y es una causa frecuente de sangrados.
Esta aparece con un engrosamiento endometrial.
Patologias Uterinas
Hiperplasia Endometrial
Mujeres recibiendo terapia con hormonas deben evaluarse en diferentes fases del ciclo. En ellas el endometrio puede llegar a medir hasta:
15 mm.
Ideal combinar estrógeno y progesterona.
Por sonografía endometrio engrosado:
Premenopausia = más de 14 mm
Posmenopáusica = más de 8mm
Importante reconocer la condición ya que es precursora del cáncer endometrial (uterino).
Hiperplasia Endometrial

Patologías de Endometrio
Polipos del Endometrio
Asintomático aunque algunos pueden producir sangrado uterino.
Se ven como masas densas dentro de la cavidad endometrial.
Se visualizan mejor cuando están rodeados de fluido.
Polipo

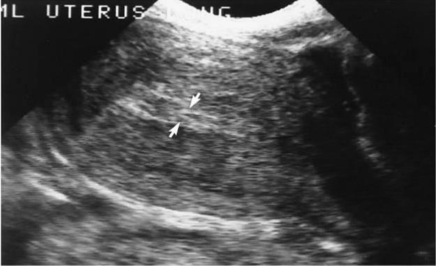
Endometritis
Esta mayormente asociado con:
PID.
También puede observarse en pacientes post parto. Sonográficamente observamos la cavidad endometrial prominente e irregular, y podría presentar fluido interno.
Endometritis (imagen)

Patologías de Endometrio
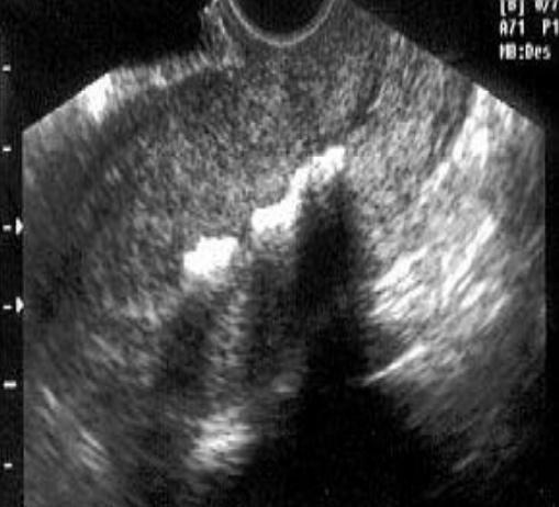
Colecciones de Fluido en Endometrio
Poca cantidad:
se ve en mujeres recibiendo terapia de hormonas
Casos de Endometritis
Degeneración de Myomas
Aborto reciente
Patologías de Endometrio
Colecciones de Fluido en Endometrio
Mucha cantidad:
Pyo o Hematometra
Pólipos o Hiperplasia (Riesgo de Carcinoma Endometrial)
Anomalías de Desarrollo ( Himen Imperforado, Atresia Vaginal)
Endometrio - Fluido (imagen)

Patologías de Endometrio
Carcinoma Endometrial
Adenocarcinoma – frecuentes en la etapa
peri y post-menopáusica.
Signo más temprano engrosamiento de endometrio
El diagnóstico es más certero si hay engrosamiento, agrandamiento, alteración del contorno y cambios en la ecogenicidad del endometrio.
Carcinoma Endometrial
Síntomas clínicos:
dolor abdominal o sangrado vaginal (etapa de post-menopausia)
Invade miometrio ( lesiones de ecogenicidad mixta dentro del útero)
La mejor técnica para diagnosticarlo es Endovaginal- muestra cambios en el endometrio y estructuras hipo o hiperecoicas en el miometrio.
Cáncer Endometrial
Aquellas pacientes con
hiperplasia endometrial están más propensas a desarrollar éste tipo de cáncer.
Cáncer Endometrial (imagen)

Tamoxifen and Endometrium
Tamoxifen es una droga que se utiliza
en pacientes con cáncer del seno.
En la mayoría de estas pacientes, sonográficamente se observa el endometrio engrosado y heterogéneo.
Tamoxifen (imagen)

Patologías de Endometrio
Synechia

En mujeres con historial previo de curetaje o aborto espontáneo.
Ecos brillantes dentro de la cavidad endometrial
Son más fáciles de diagnosticar en útero de mujeres embarazadas.
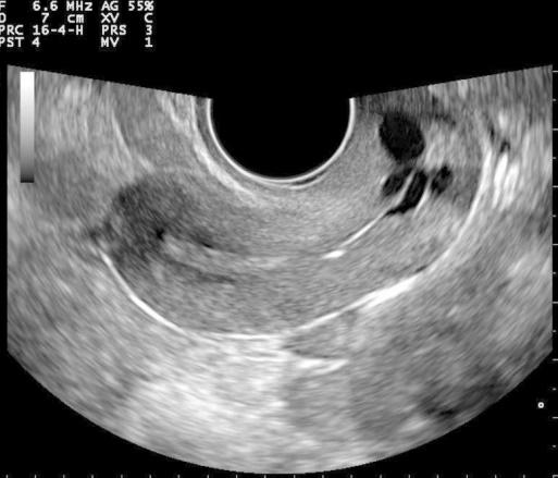
Sonohysterografía
Se introduce un catéter hasta la cavidad uterina (endometrial) y se inyecta normal salina.
El líquido expande las paredes de la cavidad y permite evaluar anomalías en el endometrio, pólipos y miomas sub-mucosos.
Poplipos por Sonohisterografía (imagen)

Sonohysterografía
Hiperplasia Endometrial (imagen)

Enfermedades en Cervix (imagen)

Enfermedades Cervix
Cervix (Cuello)
Nabothian Cyst
Quistes producto de retención de fluido en endocervix.
Anecocios, miden 3mm y llegar a 3cm.
Pólipos
- Sólidos, benignos, masas de tejido adheridas a la pared cervical
- Pequeños focos ecogénicos en la cervix
Nabothian Cyst (imagen)

Pólipo en Cervix (imagen)

Enfermedades Cervix
Cervix (Cuello)
Condylomata (Verrugas Venéreas)
Masa regular e hiperecoica distorsiona el contorno cervical
*Condylomata (Verrugas Venéreas)*
Factores de Riesgo
Edad – mujeres en edad reproductiva
Promiscuas
Comienzan relaciones sexuales a temprana edad
Que hayan padecido enfermedades vénereas, herpes
Cáncer de células escamosas (tejido de la cervix)
Síntomas: descargas vaginales amarillentas o sangrado
Prueba:
descargas vaginales amarillentas o sangrado
Prueba: “pap smear”
Cáncer Cervical
Sono – es útil en etapas avanzadas
Por sono se puede encontrar
áreas iregulares que alteran el contorno de la cérvix( hiper o hipoecoicas) y puede extenderse hasta vagina.
Si se ha realizado una histerectomía, mida el vaginal cuff ( más de 2.1 cm.) hay problema…
Se puede usar endovaginal o transrectal para evaluar invasión del cáncer. ( vejiga, recto, pelvis)
Puede haber hidronefrosis por compresión pélvica.
Se metastatiza a Hígado por nódulos para-aórticos
Cáncer Cervix

Garnet Cyst Vagina
Lesión quística más común en la vagina
Usualmente se encuentra incidentalmente
Obstrucción del útero o de la vagina puede ocacionar:
Hidrometra- fluído en el útero
Hematometra- sangre en el útero
Piometra- pus en el útero
Pelvic Inflammatory Disease (PID)
La enfermedad inflamatoria pélvica implica
infección e inflamación de las trompas de falopio, el endometrio o ambas.
El ultrasonido lo utilizamos para detectar complicaciones de PID, como
hidrosálpinx, piosálpinx y absceso tuboovárico.
PID es un proceso difuso que muestra diferentes presentaciones clínicas.
En etapas temprana los hallazgos clínicos son inespecíficos.
Además se pueden confundir
con enfermedades o condiciones del sistema gastrointestinal. (bowel disfunction).
PID
Puede ser causado por complicaciones de
enfermedades de transmisión sexual, en donde la infección se dispersa de la cerviz, endometrio, trompas, ovarios y finalmente al peritoneo.
PID
Los factores de riesgos son:
Contacto sexual temprano, múltiples parejas sexuales, hx de enfermedades de transmisión sexual entre otras.
PID Hallazgos clínicos:
Dolor pélvico intenso
Hx de infertilidad
Descargas vaginales
Sangrados anormales
Fiebres
Leucocitosis
PID Hallazgos Generales: (6)
Enfermedad inflamatoria dispersa en la pelvis
Masa compleja, grande, palpable y bilateral. Usualmente los ovarios se observan separados de la masa.
Liquido libre en el CDS
La técnica Doppler muestra un aumento en la Vascularidad y en el flujo diastólico.
Asociado con infertilidad y endometritis.
Útero agrandado, engrosamiento y fluido endometrial.
Trompas de Falopio
Las trompas de falopio normal, generalmente
no se observan por sonografía, a menos que halla liquido rodeando las trompas o que estas se encuentren inflamadas y llenas de fluido.
Trompas de Falopio
Cuando sonográficamente observamos una estructura tubular en la pelvis,
la técnica Doppler es útil para diferenciar las trompas de falopio de unas venas dilatadas.
Trompas de Falopio
Salpingitis
Es una inflamación de
las trompas de falopio, esta condición puede ser aguda o crónica.
Algunos signos clínicos pueden ser asintomático, molestia en el área pélvica, y fiebres leves.
Trompas de Falopio
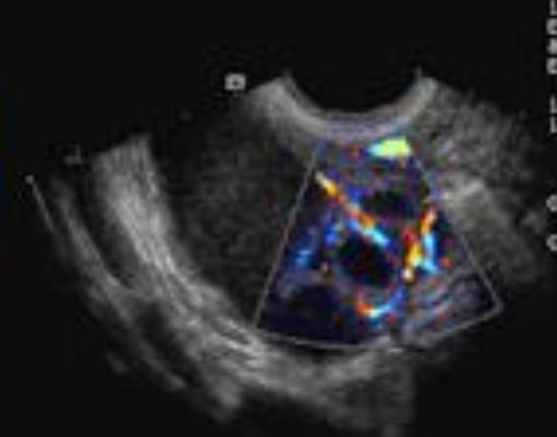
Sonográficamente se puede observar
un engrosamiento nodular e irregularidad en el trompa y color Doppler muestra hiperemia en las paredes engrosadas de la trompa.
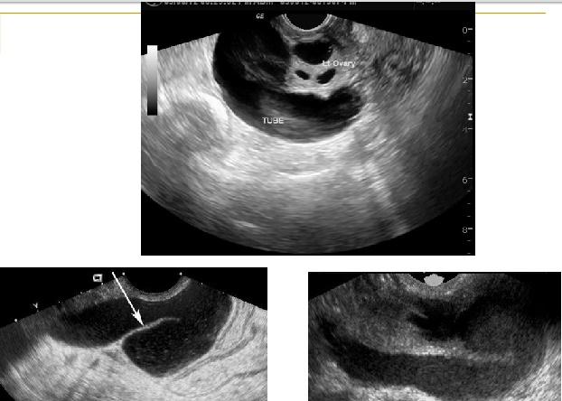
Hidrosálpinx
Es
una acumulación de fluido en la trompa de falopio.
Hidrosálpinx
Puede ser causado por
una obstrucción debido a acumulación de secreciones o fluido como consecuencia de PID o endometriosis entre otras cosas.
Hidrosálpinx
Sonográficamente observamos
la trompa dilatada, llena de fluido las paredes se observan finas, la masa tiene una apariencia multicisistica y usualmente es bilateral.
Hidrosálpinx (imagen

Piosálpinx
Es una acumulación de
material purulento en la trompa de falopio.
Es una secuela de una infección no tratada.
Piosálpinx
Sonográficamente observamos
las trompas de falopio dilatadas con fluido llenos de ecos internos. Las paredes se observan engrosadas y nodulares.
En estados severos podemos observar un fluido ecogénico, denso y grueso dentro de la trompa y o donde no observamos enhancement posterior
Piosálpinx (imagen)

Absceso Tuboovárico (TOA)
Es una inflamación donde
la acumulación de material purulento se extiende más allá de los confines de las trompas.
Esta infección se ha dispersado a los ovarios y a la superficie peritoneal.
El TOA lo podemos observar unilateral o bilateral.
Es una lesión compleja que contiene fluido y material purulento, usualmente se observa la lesión en el CDS.
Absceso Tuboovárico (TOA)
Hallazgos Sonográficos:
Usualmente observamos
una masa compleja con septaciones, márgenes irregulares y ecos internos; usualmente en el CDS.
Fluid- Fluid level
El ovario es difícil de reconocer o diferenciarlos de la masa.
Esta masa distorsiona la anatomía pélvica.
Absceso Tuboovárico (TOA) (imagen)
