Simple Squamous Epithelium

Description: single layer of flattened cells with disc-shaped central nuclei and sparse cytoplasm; the siples of the epithelia
Function: allows materials to pass by diffusion and filtration in the sites where protection is not important; secretes lubricating substances in serosae.
Location: Kidney glomeruli; air sacs of lungs; lining of heart, blood vessels, and lymphatic vessels; lining of ventral body cavity (serosae)
Simple Cuboidal Epithelium

Description: single layer of cube-like cells with large, spherical central nuclei
Function: secretion and absorption
Location: kidney tubules; ducts and secretory portions of small glands; ovary surface
Simple Columnar Epithelium

Description: single layer of tall cells with round to oval nuclei; some cells bear cilia; layer may contain mucus-secreting unicellular glands (goblet cells)
Function: Absorption; secretion of mucus, enzymes, and other substances; ciliated type propels mucus (or reproductive cell) by ciliary action.
Location: non ciliated type lines most of the digestive tract (stomach to rectum), gallbladder, and excretory ducts of some glands; ciliated variety lines small bronchi, uterine tubes, and some regions of the uterus.
Pseudostratified Columnar Epithelium

Description: single layer of cells of differing heights, some not reaching the free surface; nuclei seen at different levels; may contain mucus-secreting goblet cells and bear cilia.
Function: secretes substances, particularly mucus; propulsion of mucus by ciliary action
Location: non ciliated type in male's sperm-carrying ducts and ducts of large glands; ciliated variety lines the trachea, most of the upper respiratory tract.
Stratified Squamous Epithelium

Description: thick membrane composed of several cell layers; basal cells are cuboidal or columnar and metabolically active; surface cells are flattened (squamous); in the keratinized type, the surface cels are full of keratin and dead; basal cells are active in mitosis and produce the cells of the more superficial layers.
Function: protects underlying tissues in areas subjected to abrasion
Location: non keratinized type forms the moist lining of the esophagus mouth, and vagina; keratinized variety forms the epidermis of the skin, a dry membrane.
Transitional Epithelium
Description: resembles both stratified squamous and stratified cuboidal; basal cells cuboidal or columnar; surface cells dome shaped or squamous-like, depending on degree of organ stretch
Function: stretches readily and permits distension of urinary organ by contained urine
Location: lines the ureters, urinary bladder, and part of the urethra.
Skeletal Muscle

Description: long, cylindrical, multinucleate cells; obvious striations
Function: voluntary movement; locomotion; manipulation of the environment; facial expression; voluntary control
Location: in skeletal muscles attached to bones or occasionally skin
Cardiac Muscle

Description: branching, striated, generally uninucleate cells that interdigitate at specialized junctions called intercalated discs
Function: as it contracts, cardiac muscle propels blood into the circulation; involuntary control
Location: the walls of the heart
Smooth Muscle

Description: spindle-shaped cells with central nuclei; no striations; cells arranged closely to form sheets
Function: propels substances (foodstuffs, urine) or a baby along internal passageways; involuntary control
Location: mostly in the walls of hollow organs
Nervous Tissue

Description: neurons are branching cels; cell processes that may be quite long extend from the nucleus-containing cell body; also contributing to nervous tissue are non excitable supporting cells
Function: neurons transmit electrical signals from sensory receptors and to effectors (muscles and glands); supporting cells support and protect neuron
Location: brain, spinal cord, and nerves
Connective Tissue Proper: Loose Connective Tissue Areolar

Description: Gel-like matrix with all three fiber types: fibroblasts, macrophages, mast cells, and some white blood cells
Function: Wraps and cushions organs; its macrophages phagocytize bacteria; plays important role in inflammation; holds and conveys tissue fluid
Location: Widely distributed under epithelia of body, e.g. forms lamina propria of mucous membranes; packages organs; surrounds capillaries.
Connective Tissue Proper: Loose Connective Tissue Adipose

Description: Matrix as in areolar, but very sparse; closely packed adipocytes, or fat cells, have nucleus pushed to the side by large fat droplet
Function: Provides reserve fuel; insulates against heat loss; supports and protects organs
Location: under skin; around kidneys and eyeballs; within abdomen; in breasts
Connective Tissue Proper: Loose Connective Tissue Reticular

Description : Network of reticular fibers in a typical loose ground substance; reticular cells lie on the network
Function: Fibers form a soft internal skeleton (stroma) that supports other cell types, including white blood cells, mast cells, and macrophages
Location: lymphoid organs (lymph node, bone marrow, and spleen)
Connective Tissue Proper: Dense Regular

Description: Primarily parallel collagen fibers; a few elastic fibers; major cell type is the fibroblast
Function: Attaches muscles to bones or to other muscles; attaches bones to bones; withstands great tensile stress when pulling force is applied in one direction
Location: Tendons, most ligaments, aponeuroses
Connective Tissue Proper: Elastic

Description: Dense regular connective tissue containing a high proportion of elastic fibers
Function: allows recoil of tissue following stretching; maintains pulsating flow of blood through arteries; aids passive recoil of lungs following inspiration
Location: walls of large arteries; within certain ligaments associated with the vertebral column; within the walls of the bronchial tubes.
Connective Tissue Proper: Dense Irregular

Description: primarily irregularly arranged collagen fibers; some elastic fibers; major cell type is the fibroblast
Function: able to withstand tension exerted in many directions; provides structural strength
Location: fibrous capsules of organs and of joints; dermis of the skin; submucosa of digestive tract
Cartilage: Hyaline

Description: amorphous but firm matrix; collagen fibers forms an imperceptible network; chondroblasts produce the matrix and, when mature (chondrocytes), lie in lacunae
Function: supports and reinforces; serves as resilient cushion; resists compressive stress
Location: forms most of the embryonic skeleton; covers the ends of long bones in joint cavities; forms costal cartilages of the ribs; cartilages of the nose, trachea, and larynx
Cartilage: Elastic

Description: similar to hyaline cartilage, but more elastic fibers in matrix
Function: maintains the shape of a structure while allowing great flexibility
Location: supports the external ear (auricle); epiglottis
Cartilage: Fibrocartilage (Fibrous)

Description: Matrix similar to but less firm than matrix in hyaline cartilage; thick collagen fibers predominate
Function: tensile strength with the ability to absorb compressive shock
Location: intervertebral disc; pubic symphysis; disc of knee joint
Bones (Osseous Tissue)

Description: hard, calcified matrix containing many collagen fibers; osteocytes lie in lacunae. Very well vascularized
Function: bones support and protects (by enclosing); provides lavers for the muscles to act on; stores calcium and other minerals and fat; marrow inside bones is the site for blood cell formation (hematopoiesis)
Location: bones
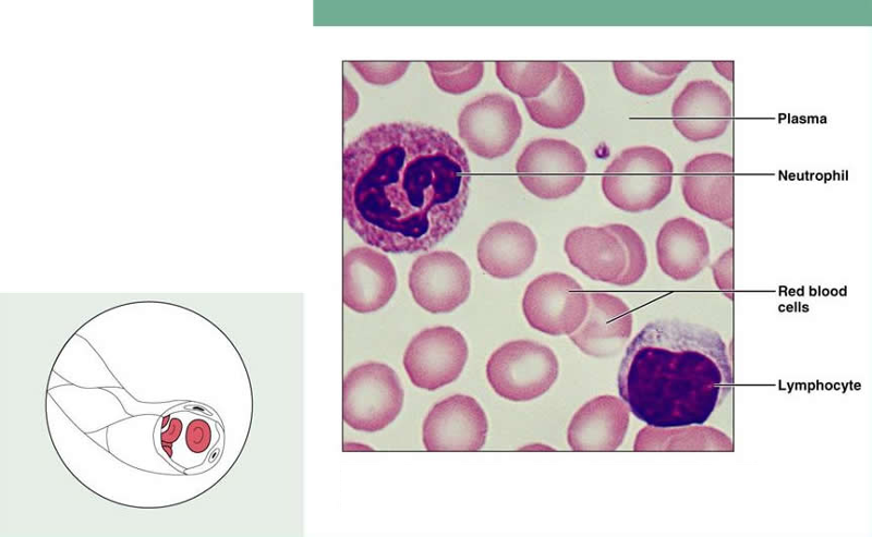
Blood

Description: red and white blood cells in a fluid matrix (plasma)
Function: transport of respiratory gases, nutrients, wastes, and other substances
Location: contained within blood vessels