digestion
The process by which food is converted into nutrient molecules which can be absorbed and assimilated by the body; it is accomplished in the digestive system by the mechanical and enzymatic breakdown of foods into simpler chemical compounds.
absorption
The process by which the molecules of growth and nutrition are taken in across a membrane and conveyed to cells, tissues and organs; the movement is accomplished by a variety of molecular processes including diffusion, osmosis, passive and active transport. [Note: From the perspective of chemistry: a process in which one substance permeates another; a fluid permeates or is dissolved by a liquid or solid. This is a part of physiological absorption.]
digestive system
The gastrointestinal tract = alimentary canal (mouth pharynx, esophagus, stomach, small intestine, large intestine) and the accessory digestive structures (lips, cheeks, tongue, teeth) and glands (salivary glands, pancreas, liver) regarded as an integrated system responsible for the ingestion, mechanical and chemical breakdown, and absorption of foods.
gastrointestinal tract = GI tract = alimentary canal
The mucous membrane-and smooth muscle- lined tube of the digestive system through which food passes, in which digestion takes place, and from which wastes are eliminated; it extends from the mouth to the anus and includes the pharynx, esophagus, stomach, and small and large intestines. aka - digestive tract, gut tube.
accessory structures
The additional connected parts which contribute to the main function of a major organ or system; in the gastrointestinal tract, the mouth (lips, cheeks, salivary glands, tongue, teeth) and the small intestine (pancreas, liver) are associated with such collateral components.
ingestion
The voluntary process of taking foods or liquids into the body by means of the mouth for digestion or absorption. aka - eating.
secretion
The physiological process of synthesizing and releasing some functionally specialized substance (especially one which is not a waste) from a gland or cell; at the molecular level, a variety of processes are involved including diffusion, osmosis, passive and active transport mechanisms or exocytosis.
mixing
The mechanical physiological process of combining or blending diverse ingredients or components into one mass or mixture so that constituent parts or elements are diffused among each other and coalesced.
propulsion
The process of driving or propelling something forward or away; in the gastrointestinal tract, food is moved by deglutition (swallowing) and peristalsis.
motility
Having the power to move; in the gastrointestinal tract, propulsive movement is powered by muscular contractions (deglutition = swallowing and peristalsis).
mechanical digestion
The muscular process by which solid food is broken down into smaller particles by the chewing action of the jaws, teeth and tongue in the oral cavity and by the mixing waves created in the stomach; at the same time the food is softened and moistened by the digestive juices (saliva in the mouth, gastric juice in the stomach); reduction in the size of ingested food particles increases the surface area of the particles available to be acted upon by digestive enzymes; it does not alter the molecular structure of the nutrient molecules.
chemical digestion
The physiological process by which food = nutrient molecules have their molecular structure modified by interacting with substances secreted by various digestive glands and tissues; in general, nutrient molecules are broken down into smaller constituent molecules which will be more easily absorbed in the intestines. [Note: There is a limited amount of indiscriminant acid hydrolysis of nutrients in the stomach due to the action of gastric HCl; carbohydrates are split into di- and mono-saccharides by salivary amylase in the mouth and pancreatic amylase in the duodenum and disaccharides are split into monosaccharides by disaccharidases (brush border enzymes) in the duodenum; proteins are split into smaller peptides and ultimately into individual amino acids by pepsin in the stomach and pancreatic proteases (trypsin, chymotrypsin, carboxypeptidase) in the duodenum; lipids are split into glycerol and fatty acids by lingual lipase in the mouth and pancreatic lipase and phospholipase in the duodenum; nucleic acids are split into nucleotides by pancreatic nucleases and nucleotides are split into smaller constituents by nucleotidases (brush border enzymes) in the duodenum.]
defecation
The mechanical muscular process of voiding or eliminating feces from the bowels; a complex process involving the smooth muscles of the large intestine, especially those of the sigmoid colon, rectum and anal canal; it is usually initiated consciously but coordinated by the autonomic nervous system.
List: the six processes of Digestion.
(1) Ingestion (2) Propulsion {peristalsis} (3) Mechanical Digestion (4) Chemical Digestion (5) Absorption (6) Elimination {defecation}
[Note: food acquisition processes are important, but outside the parameters of this course.]
List: the organs of the GI tract in the sequence in which they occur starting with the mouth and ending at the anus (include the regions of each organ, ex: oropharynx and laryngopharynx of pharynx).
1.Mouth vestibule - buccal cavity - oral cavity
2.Salivary Glands (accessory glands) parotid - submandibular - sublingual glands
3.Pharynx nasopharynx - oropharynx - laryngopharynx
4.Esophagus upper esophageal sphincter - esophagus - lower esophageal sphincter = cardiac sphincter
5.Stomach cardia - fundus - body - pylorus - pyloric sphincter
6.Small Intestine duodenum - jejunum - ileum - ileocecal valve/sphincter
7.Liver (accessory gland) lobes - biliary tree - gall bladder
8.Pancreas (accessory gland) exocrine pancreas - pancreatic duct system - endocrine pancreas {pancreatic islets of Langerhans}
9.Large Intestine cecum - ascending colon - transverse colon - descending colon - sigmoid colon - rectum - innner & outer anal sphincters
List:the hormones, digestive enzymes, and other chemicals related to digestion secreted by the salivary glands, stomach, small intestine, liver/gall bladder, and pancreas.
1.Salivary Glands none salivary amylase bicarbonate ions, mucin
2.Stomach gastrin, serotonin, histamine, somatostatin pepsin (gastric lipase, rennin)
hydrochloric acid, intrinsic factor, mucin
3.Small Intestine cholecystokinin (CCK), secretin, somatostatin, intestinal gastrin, gastric inhibitory peptide (GIP), vasoactive inhibitory peptide (VIP) enterokinase, dipeptidases, aminopeptidase, carboxypeptidase, dextrinase, glucoamylase, maltase, sucrase, lactase, nucleosidases, phosphatases bicarbonate ions, mucin
4.Liver/Gall Bladder none none bile salts & acids, phospholipids, bicarbonate ions, mucin
5.Pancreas glucagon, insulin, somatostatin pancratic amylase, pancreatic lipases, trypsin, chymotrypsin, carboxypeptidase, nucleases bicarbonate ions, mucin
List:several physical or mechanical processes of digestion.
mastication (chewing) - bolus formation - deglutition (swallowing) - peristalsis (propulsion) - gastric churning - intestinal segmentation - haustral churning (compaction) - mass peristaslis - defecation
List:the sphincters of the GI tract in the sequence they occur, starting with the mouth and ending at the anus.
upper esophageal sphincter → lower esophageal sphincter = cardiac sphincter → pyloric sphincter → ileo-cecal valve → internal anal sphincter →
external anal sphincter
Describe: carbohydrates (starch), proteins, nucleic acids, and lipids. (Hint: You may use summary chemical equations to do this).
1.carbohydrates (starch) salivary amylase begins starch hydrolysis in the mouth; pancreatic amylase continues starch hydrolysis in the duodenum; intestinal brush border dextrinase and disaccharidases complete the reduction of starch to monosaccharides which can be absorbed
2.proteins pepsin begins protein hydrolysis in the stomach; pancreatic proteases (trypsin, chymotrypsin, carboxypeptidase) continues protein hydrolysis in the duodenum; intestinal brush border peptidases complete the reduction of proteins into tripeptides, dipeptides and individual amino acids which can be absorbed [Note: in infants, rennin continues assists by denaturing milk protein (casein) in the stomach.]
3.nucleic acids pancreatic nucleases begin nucleic acid hydrolysis in the duodenum; intestinal brush border nucleosidases and phosphatases complete the reduction of nucleic acids to monosaccharide pentoses, nitrogenous bases, and phosphate ions which can be absorbed
4.lipids lingual lipase begins lipid hydrolysis in the mouth; pancreatic lipase (assisted by bile emulsification) completes lipid hydrolysis in the duodenum to cholesterol, phospholipids, glycerol and fatty acids, which can be absorbed [Note: in infants, gastric lipase continues lipid hydrolysis in the stomach.]
Describe:the secretion and reabsorption of the water involved in digestion. Indicate the specific gastrointestinal organs involved in the secretion or reabsorption of the water involved in digestion.
*Secretion of The Water Involved In Digestion*
1.Mouth, especially the Salivary glands ~1.0 - 1.5 L/day
2.Pharynx & Esophagus minimal from mucous secretions
3.Stomach ~2.0 - 3.0 L/day
4.Small Intestine ~1.0 - 2.0 L/day
5.Liver & Gall Bladder ~0.8 - 1.0 L/day
6.Pancreas ~1.2 - 1.5 L/day
7.Large Intestine minimal from mucous secretions
*Reabsorption Of The Water Involved In Digestion*
1.Mouth, especially the Salivary glands none
2.Pharynx & Esophagus none
3.Stomach minimal
4.Small Intestine ~ 2.3 L/day of ingested fluids and ~7.0 L/day of water in various digestive fluids = ~9.3 L/day total
5.Liver & Gall Bladder none
6.Pancreas none
7.Large Intestine ~0.9 L/day of the remaining water in various digestive fluids
Describe:the type of movement associated with each organ of the digestive (gut) tube.
1.Mouth mastication (chewing) - bolus formation - deglutition (swallowing)
2.Pharynx deglutition (swallowing)
3.Esophagus deglutition (swallowing)
4.Stomach peristalsis (propulsion) - gastric churning
5.Small Intestine peristalsis (propulsion) - intestinal segmentation
6.Large Intestine peristalsis (propulsion) - haustral churning (compaction) - mass peristaslis - defecation
periodontal disease
Any inflammatory disease which attacks the gingiva (gums) and the alveolar bone, especially around the tooth sockets (alveoli); it is usually caused by bacteria growing at the base of the teeth; mild inflammation is termed gingivitis while more severe disease with alveolar bone loss, loosening of teeth and pronounced inflammation inflammation is termed periodontitis; it is more often a disease of adults after the period of greatest risk for tooth decay which is during the first two decades of life.
root canal
1.A pulp-filled channel within the dentine of a tooth which is the passage in the root of a tooth through which its nerve and blood vessels enter the pulp cavity.
2.A dental treatment (within the dental specialty endodontics) in which diseased tissue from this part of the tooth is removed and the resulting cavity is filled with an inert material.
orthodontics
The dental specialty and practice of preventing and correcting irregularities of the teeth, e.g., by the use of removable appliances or fixed adjustable braces.
mumps
An acute, inflammatory, contagious disease caused by a paramyxovirus and characterized by swelling of the salivary glands, especially the parotids, and sometimes of the pancreas, ovaries, or testes; this disease, mainly affecting children, can be prevented by vaccination (MMR). Mumps can affect one or both sides of the body.
Image: mumps

Image: mumps

gastroenterology
The branch of medicine dealing with the study, diagnosis and treatment of disorders affecting the stomach, intestines, and accessory organs (liver, gall bladder, pancreas).
proctology
The branch of medicine dealing with the diagnosis and treatment of disorders affecting the colon, rectum, and anus.
esophageal hiatus
The snug opening in the mid-dorsal edge of the diaphragm which is the passage for the esophagus as it passes from the thoracic to the abdominal cavity.
hiatal hernia
A protrusion in which an anatomical part (e.g., the stomach) protrudes through the esophageal hiatus of the diaphragm.
Diagram: hiatal hernia

achalasia
The failure of a ring of smooth muscle fibers, e.g., the lower esophageal = cardiac sphincter of the esophagus, to relax; symptoms include difficulty in swallowing, chest pain, vomiting and heart burn; treatments include surgical dilation and various medications.
heartburn
Indigestion and a hot, fiery sensation, usually centered in the middle of the chest near the sternum, caused by the reflux of acidic stomach fluids which enter, and can potentially erode, the lower end of the esophagus; often associated with nausea and vomiting. aka - acid reflux, cardialgia, pyrosis
vomiting
The act or an instance of ejecting part or all of the contents of the stomach through the mouth, usually in a series of involuntary spasmic movements; regulated by the vomiting center in the medulla oblongata. aka - regurgitation, emesis
Diagram: Vomitting

ascites
An abnormal accumulation of serous, peritoneal fluid in the abdominal cavity, usually caused by liver disease (~80% of cases) and exhibiting reduced synthesis of albumin and other oncotic plasma proteins (proteins which contribute to the osmotic = oncotic pressure of the blood), and less often caused by heart or kidney diseases or pancreatitis.
Image: ascites

Image: ascites

Cirrhosis of the liver
is a common cause of
ascites in liver disease
patients, often suffering
from chronic alcoholism.
peritonitis
inflammation of the peritoneum and abdominal cavity; the peritoneal fluid may become mixed with serum, fibrin, inflammatory cells, microorganisms and pus; symptoms include abdominal pain, tenderness, constipation, vomiting and moderate fever. aka - acute abdomen
Diagram:sectional view of layers of GI tract

Image: miscoscopic view of GI histology

mucous membranes = mucosae
The specialized epithelial lining which produces a lubricating fluid containing the sticky protein mucin which traps microbes and dirt particles and protects any body structure which is continuous with the external environment except for the skin itself.
epithelium
Tissues with a high degree of cellularity and limited extracellular material, connected with specialized contact structures such as desmsomes, often organized in layers, which have no direct blood supply and which are derived from embryonic ectoderm and endoderm.
lamina propria
The supportive areolar = loose fibrous connective tissue layer found immediately beneath the mucosal epithelium and its basement membrane and the muscularis mucosae.
muscularis mucosae
The thin layer of smooth muscle which forms the boundary between the lamina propria of the mucosa and the submucosa in the walls of the gastrointestinal tract; contraction of this layer of smooth muscle pushes the mucosal membrane into small folds which increase the surface area for digestion and absorption of nutrients.
enteroendocrine cell
Any of a group of diffuse neuroendocrine cells,.also referred to as APUD cells (amine precursor uptake and decarboxylation cells), scattered individually among the cells of the exocrine glands from the stomach to the colon; their amine hormones diffuse into the blood capillaries, and ultimately influence several digestive system target organs; these cells, along with the nervous system, control and coordinate the muscular and secretory activities of the gastrointestinal tract; enteroendocrine cells typically extend a cytoplasmic process into the digestive tract lumen forming an important communication site to monitor the luminal contents, of which dietary amino acids are the most important stimulants; there are more than a dozen different types of enteroendocrine cell and a given enteroendocrine cell will only secrete one type of hormone, or hormone-like substance; these include gastrin, histamine, endorphins, serotonin, cholecystokinin and somatostatin.
MALT = mucosa-associated lymphatic tissue
The general term used for the various aggregations of lymphoid tissue found associated with the mucous membranes of the respiratory and digestive tracts; the consist of lymphatic nodules within the connective tissues walls (in the mucosa and submucosa) of these tubular organs; these lymphocytes are involved in immune defenses.
submucosa
The supportive loose fibrous connective tissue layer found immediately beneath the mucosal epithelium and its basement membrane; in the gastrointestinal tract it lies between the inner muscularis mucosae and the outer muscularis layer; it is the location for networks of nerves, blood vessels, lymphatic vessels, and lymphatic tissue and may be the location for mucous secreting glands.
neural plexus
The interlacing networks of nerve fibers which originate from certain cranial nerves, e.g., the Vagus (X) and the ventral rami of spinal nerves in which individual autonomic nerve processes from the brain stem and individual spinal segments become redistributed to that (1) each resulting branch of the plexus contains fibers from several cranial and spinal nerves and (2) fibers from each ventral ramus travel to the peripheral tissues of the body by several routes; this arrangement permits portion of the digestive tube to be innervated by autonomic motor (afferent) fibers from more than one spinal segment -- as a result, an injury to a single spinal segment or spinal motor (ventral) root cannot completely paralyze any organ.
submucosal plexus
The interlacing networks of unmyelinated nerve fibers derived chiefly from the superior mesenteric plexus which is located within the submucosa of the gastrointestinal tract, especially in the intestines; it consists chiefly of visceral sensory fibers and postganglionic autonomic motor fibers; it is concerned with the control of functions within the inner walls of each gut segment, i.e., local absorption, secretion, and contraction.
myenteric plexus
The interlacing networks of unmyelinated nerve fibers derived chiefly from the superior mesenteric plexus which is located within the muscularis of the gastrointestinal tract (between the inner circular and outer longitudinal layers); it consists chiefly of postganglionic autonomic motor fibers; it is concerned with the control of smooth muscle tone, peristalsis, and the relaxation of the pyloric and ileocecal sphincters.
muscularis
The muscular coat or tunic of any hollow organ or tubular structure; its contractions propel the contents of the organ elsewhere; it lies between the inner submucosa and the outer adventitia or serosa; in the gastrointestinal tract, it typically consists of an inner circular layer and an outer longitudinal layer of smooth muscle, but, in the stomach, it also contains a middle oblique layer; it is the location for plexuses of postganglionic autonomic motor fibers concerned with the control of enteric smooth muscle tone, mixing and peristalsis.
serous membrane = serosa
A simple squamous lining found in the various ventral body cavities which lines the walls of the cavities and the organs contained therein and produces a watery serous fluid which lubricates the lining surfaces.
List:the type of epithelium lining each part of the digestive (gut) tube and explain why this epithelium promotes the functions of its respective part.
1.Esophagus nonkeratinized stratified squamous epithelium protective lining to limit abrasion during deglutition (swallowing)
2.Stomach simple columnar epithelium with many goblet cells protective lining to limit autodigestion by HCl and pepsin
3.Small Intestine simple columnar epithelium with brush border of microvilli and with goblet cells microvilli increase surface area for absorption of water, electolytes, and nutrients
4.Large Intestine simple columnar epithelium with many goblet cells protective lining to limit abrasion during defecation and to limit invasion by intestinal microbes and parasites
Diagram and Label: a cross-section of the GI tract (= alimentary canal) showing the main tissue layers and their sublayers. List unique features of the histology of each organ (or region of each organ) of the GI tract.

1.Esophagus nonkeratinized stratified squamous epithelium; no mucosal glands, adventitia
2.Stomach rugae, gastric glands, G cells, third oblique smooth muscle layer in muscularis
3.Small Intestine villi with lacteals, intestinal glands, enteroendocrine cells, large quantities of aggregated lymphatic tissue (i.e., MALT (Peyer's patches))
4.Large Intestine intestinal mucous glands, no villi, longitudinal layer of smooth muscle in the muscularis reduced to two strips, the taenie coli, circular smooth muscle not in continuous sheet but instead seen as discrete blocks in cross section
peritoneal cavity = abdominal cavity
the interior of the peritoneum; a potential space between layers of the peritoneum bounded by the diaphragm above; it is lined by the parietal layer of the serous peritoneum and contains the abdominal organs (stomach, intestines, spleen, liver, pancreas, adrenal glands -- each covered by its portion of the visceral peritoneum) and the various abdominal mesenteries; it also contains a small amount of serous fluid = peritoneal fliuid.
visceral peritoneum
The serous membrane which covers the various abdominal organs (stomach, intestines, pancreas, liver, spleen, etc.) in the abdominal cavity and produces the peritoneal fluid.
parietal peritoneum
The serous membrane which lines the abdominal cavity which houses the various abdominal organs and produces the peritoneal fluid.
retroperitoneal
A directional term used to describe the location of certain organs as behind or beneath the parietal peritoneum which lines the peritoneal cavity; e.g., the kidneys, ureters, urinary bladder, portions of the ascending and descending colon, etc.
mesentery
Any of several folds of the peritoneum (fibrous connective tissue covered by the visceral peritoneum serosal membrane) which support and connect the intestines (or other abdominal organs) to the dorsal abdominal wall, especially the fold which envelops the jejunum and ileum ("the mesentery proper"); the other mesenteries being called mesocecum, mesocolon, mesorectum, etc.); the interior of a mesentery contains a rich blood supply, lymphatics and lymph nodes, and nerves.
Diagram: mesenteries

mesocolon
The fold of the peritoneum (mesentery -- fibrous connective tissue covered by the visceral peritoneum serosal membrane) which supports and connects the the lower colon to the dorsal abdominal wall; the interior contains a rich blood supply, lymphatics and lymph nodes, and nerves.
falciform ligament
The anteroposterior fold of the parietal peritoneum (fibrous connective tissue covered by the visceral peritoneum serosal membrane) attached to the under surface of the diaphragm and the sheath of the rectus muscle and along a line on the anterior and upper surfaces of the liver extending back from the notch on the anterior margin of the liver; it is a main support for the liver in the abdominal cavity.
Image: falciform ligament

lesser omentum
The fold of the peritoneum (mesentery -- fibrous connective tissue covered by the visceral peritoneum serosal membrane) which supports and connects parts of the stomach and duodenum to the liver and and supports the hepatic vessels; the interior contains a rich blood supply, lymphatics and lymph nodes, and nerves.
greater omentum
The large fold of the peritoneum (mesentery -- fibrous connective tissue covered by the visceral peritoneum serosal membrane) which supports and connects the stomach to the transverse colon; the fold is large enough to entirely cover the intestines anteriorly; the interior contains a rich blood supply, lymphatics and lymph nodes, and nerves.
Image: lesser omentum

Image: greater omentum

The greater omentum has been elevated away from the small bowel during a surgery to remove cancer. The surgeon's hand is holding the transverse colon. The small intestine appears most clearly to the left. [A large volume of mucinous tumors heavily coats the greater omentum and transverse colon. Each tumor appears as a small glistening raised nodule.] You can also see the three layers of abdominal muscle in the cut abdominal wall.
Diagram: Oral Cavity

oral cavity
The first portion of the gastrointestinal tract, the opening through which food is taken in and vocalizations emerge, it is bounded by the lips, cheeks, palate, and tongue, and ends where it merges with the oropharynx; it is lined by a wet stratified squamous epithelium and has as accessory structures, the teeth and salivary glands. nickname - mouth.
buccal cavity
The external portion of the oral cavity located between the jaws and teeth and the cheeks; it serves as a space to trap food while it is masticated by the chewing action of the jaws and teeth; it is lined by a wet stratified squamous epithelium.
labia
The folds (superior and inferior) of the integument at the opening of the oral cavity and of the vulva; in the oral cavity they are identified with the red margin = vermilion border (extraoral labial cutaneous junction), where ordinary skin with hair follicles is replaced by a thin hairless keratinised stratified squamous epithelium; the help process and trap food while it is masticated by the chewing action of the jaws and teeth and assist in the articulation of speech. aka - lips.
red margin = vermilion border
The red margin of the upper and lower lips which commences at the exterior edge of the intraoral labial mucosa ("moist line") and extends outward, terminating at the extraoral labial cutaneous junction; a keratinised stratified squamous epithelium deeply penetrated by well-vascularised dermal papillae which show through the translucent epidermis to impart the typical red appearance of the lips; some individuals have considerable melanin deposition in this region as well.
labial frenulum
The thin band or fold of mucosal tissue (superior and inferior) which attaches the buccal surface of the labia to the midline at the juncture of the labia and the gingivae in the buccal cavity.
cheeks
The fleshy part of either side of the face below the eye and between the nose and ear which form the lateral walls of the oral (and buccal) cavity; they serve as a barrier to trap food in the buccal cavity while it is masticated by the chewing action of the jaws and teeth; they are lined by a wet stratified squamous epithelium; they contain facial muscles and the ducts of the parotid salivary glands.
(oral) vestibule
In general, a cavity, chamber, or channel which leads to or is an entrance to another cavity; in the oral cavity, it is the medial continuation of the buccal cavity, located between the jaws and teeth and the labia; it serves as a space to trap food while it is masticated by the chewing action of the jaws and teeth; it is lined by a wet stratified squamous epithelium.
oral cavity proper
The larger inner portion of the oral cavity, the space where food is chewed and moistened by saliva and where some articulations of speech sounds occur, it is bounded by the alveolar processes of the jaws and their teeth, palate, and tongue, and ends where it merges with the oropharynx; it is lined by a wet stratified squamous epithelium.
fauces
The distal inner portion of the oral cavity proper, the passageway for food from the back of the oral cavity to the oropharynx; it is bounded by the soft palate, the base of the tongue, and the palatine arches; on either side of the passage two membranous folds, called the pillars of the fauces, enclose the tonsils.
hard palate
The relatively hard, vaulted anterior portion of the palate forming the anterior portion of the roof of the mouth, beneath the mucosa lie the palatine processes of the maxillae and the horizontal plates of the palatine bones; it is lined by a wet stratified squamous epithelium.
soft palate
The movable fold, consisting of skeletal muscular fibers enclosed in a mucous membrane, which is suspended from the rear of the hard palate and closes off the nasal cavity from the oral cavity during swallowing or sucking; the uvula depends from it; it is lined by a wet stratified squamous epithelium.
uvula
The small, conical, fleshy mass of mucosal tissue suspended from the center of the soft palate; it assists in completing the closure of the nasal cavity by the soft palate during swallowing or sucking; it is lined by a wet stratified squamous epithelium.
lingual frenulum
The thin band or fold of mucosal tissue which attaches the bottom of the tongue to the floor of the mouth and limits the extension of the tongue from the oral cavity.
papillae
1.A small nipplelike projection, such as a protuberance on the skin, at the root of a hair or feather, or at the base of a developing tooth.
2.Any of the small, round or cone-shaped protuberances on the top of the tongue that contain taste buds; three types are recognized: filiform, fungiform, and circumvallate; they are lined by a wet stratified squamous epithelium.
filiform papillae
The most common of the small, thin, pointed, cone-shaped protuberances on the anterior dorsal surface of the tongue which contain taste buds; they are lined by a wet stratified squamous epithelium.
fungiform papillae
The second most common of the small, rounded eminences scattered on the anterior dorsal surface of the tongue which contain taste buds; in cross-section they appear to have the outline of a mushroom; they are lined by a wet stratified squamous epithelium.
circumvallate papillae
Eight or ten larger projections from the dorsum of the tongue forming a row anterior to and parallel with the sulcus terminalis, which separates the anterior from the posterior dorsal surface of the tongue; each one is surrounded by a circular trench (fossa) having a slightly raised outer wall ("vallum"); on their sides and the opposed margin of the vallum are numerous taste buds; they are lined by a wet stratified squamous epithelium.
lingual lipase -
An enzyme, produced by special cells on the tongue, which catalyses the hydrolysis of fats (monoglycerides, diglycerides and triglycerides) to glycerol and fatty acids, it works in the oral cavity and in the stomach to some degree.
List: structures which increase the surface area of the tongue.
The various papillae on the dorsal surface (filiform papillae, fungiform papillae, circumvallate papillae) - the filiform papillae are the most important for increasing the surface area of the tongue because they are the most numerous.
List:the functions of the tongue.
assists in: ingestion, perception of touch and temperature, perception of taste, mastication (chewing), bolus formation, chemical digestion of lipids (lingual lipase), articulation of speech, oral hygiene, deglutition (swallowing), closing the epiglottis during deglutition (swallowing), immune defense of the oral cavity (lingual tonsils)
gingivae
The firm, fleshy mucosal tissue covering the alveolar parts of either jaw (maxillae and mandible) and enveloping the necks of the teeth; they are lined by a wet stratified squamous epithelium. nickname - gums.
periodontal ligament
The dense fibrous connective tissue surrounding the root of a tooth which anchors it into the socket = alveolus of the alveolar process of either jaw (maxillae and mandible); it forms a type of immovable joint (synarthrosis) termed a gomphosis.
dentin
The main, mineralized (calcium salts, e.g., hydroxyapatite) part of a tooth, beneath the enamel and surrounding the pulp chamber and root canal(s); it is a living tissue capable of limited growth and repair; it is intermediate in density and hardness between bone and enamel.
pulp cavity
The central cavity of a tooth, within the dentin, containing the pulp (including the root canal).
pulp
The loose fibrous connective tissue forming the inner structure of a tooth and containing nerves, blood vessels and lymphatic vessels.
enamel
The external mineralized (calcium salts, e.g., hydroxyapatite) white part of a tooth, covering the dentin of the crown of the tooth; it is a not living tissue and is incapable of repair; it is more dense and harder than bone and dentin.
dentitions
The sets of teeth which follow one another in a developmental sequence and differ in type, form, number, and arrangement; humans have two such sets of teeth, the primary teeth = deciduous teeth and the permanent teeth.
primary teeth = deciduous teeth
The first set of teeth, comprising a total of 20, which erupt between the mean ages of 6 and 28 months of age; they are shed and replaced by corresponding permanent teeth over a period of a decade or more; they participate in the mechanical digestion of food and in the articulation of speech. nicknames - milk teeth, baby teeth.
permanent teeth
The second set of teeth which erupt following the eruption of the primary teeth, and typically persist into old age; there are 32 in all, including 4 incisors, 2 canines, and 4 premolars and 6 molars in each jaw; the 12 molars in the permanent dentition do not replace primary teeth; they participate in the mechanical digestion of food and in the articulation of speech.
mastication
The first phase of mechanical digestion of food which occurs in the mouth where the jaws and teeth, assisted by the tongue, bite and grind the food and mix it with saliva, softening the food enough to form a bolus for swallowing. nickname - chewing.
bolus
A soft moist mass of chewed food within the mouth or esophagus.
salivary glands
Any of the various exocrine glands which discharge into the oral cavity the fluid secretions which form saliva; the main glands in humans are the parotid glands, the sublingual glands, and the submandibular glands; they also produce the digestive enzyme, salivary amylase, which breaks down carbohydrates.
buccal glands
Any of the small mucous glands found in the mucous membrane lining the cheeks; they make a minor contribution to the composition of saliva.
parotid glands
The largest pair of salivary glands, situated on each side of the face below and in front of the ear, composed primarily of serous acini; their serous secretions make a major contribution to the composition of saliva; their secretions are delivered to the buccal cavity by the parotid ducts.
submandibular glands
The second largest pair of salivary glands, situated inside of and near the lower edge of each side of the mandible, composed of both serous and mucous acini; their secretions make a major contribution to the composition of saliva; their secretions are delivered to the floor of the mouth under the tongue by large ducts.
sublingual glands
The small pair of salivary glands situated on each side of the mouth lying beneath the mucous membrane in a fossa in the mandible near the symphysis and under the tongue, composed of both serous and mucous acini; their secretions make a minor contribution to the composition of saliva; their secretions are delivered to the floor of the mouth under the tongue by a series of small ducts.
saliva
The slightly alkaline secretion of the various salivary glands with contributions from some specialized cells of the lining epithelium of the oral cavity, consisting of water, mucin, other protective proteins, salts, and two digestive enzymes, salivary amylase -- splits starch, and lingual lipase -- splits lipids; this fluid moistens, lubricates and softens ingested food, and begins the chemical digestion of starches and lipids.
salivation
The process of secreting saliva from the various salivary glands and small mucous glands of the oral cavity; it may be stimulated by the thought, taste or smell of foods, and by the actual masticating of food; it is coordinated by parasympathetic impulses of the ANS and inhibited by sympathetic impulses from the ANS during "fight-or-flight" emergencies.
salivary amylase
The enzyme, produced by the salivary glands, which is present in saliva and catalyzes the hydrolysis of starch to sugar, beginning the chemical digestion of complex carbohydrates; it works well in the slightly alkaline oral cavity but becomes denatured and ineffective in the highly acidic environment of the stomach.
List: the functions of the salivary glands.
(1) initiate chemical digestion of starch with salivary amylase
(2) secrete mucous secretions, i.e., saliva, to lubricate the oral cavity and associated structures and to moisten, and therefore, assist in the mechanical digestion of foodstuffs
(3) secrete HCO3- (bicarbonate) ions to buffer the oral cavity to facilitate salivary amylase activity and to resist acid attack on tooth structure by oral normal flora (tooth decay)
(4) secrete lysozyme, IgA class antibodies, and other resistance factors to limit the growth of or destroy microbes ingested with food
(5) secrete electrolytes; Ca++ and HPO4-2 ions assist in maintaining the integrity of tooth enamel; lead ions may be excreted as waste (but will normally be swallowed and reabsorbed)
esophagus
The muscular membranous tube, which lies posterior to the trachea, which creates peristaltic waves for the passage of each bolus of food from the pharynx to the stomach; its wall consists of an inner stratified squamous epithelium, a lamina propria of loose fibrous connective tissue, a muscularis, and an adventitia.
adventitia
A loose fibrous connective tissue outer covering of an organ or a blood vessel which is not within a body cavity and therefore is not covered by a serosal membrane; this outer covering simply extends outward until the next organ or structure is encountered.
deglutition
The act or process of swallowing food or liquid; it is a complex process which may be under voluntary or involuntary control; it requires the coordinated contraction of skeletal muscles including the tongue, those in the soft palate, pharynx and throat, and the skeletal and smooth muscle of the esophagus; during swallowing the larynx must shift superiorly and anteriorly in order to prevent food or liquid from accidentally entering the respiratory tree.
peristalsis
The wavelike contractions of the smooth muscles of the alimentary canal = gastrointestinal tract or other tubular structures (e.g., the ureters, the uterine tubes) by which contents are forced onward through the tube; to achieve this movement the smooth muscle is arranged in an inner circular and an outer longitudinal layer which act as an antagonistic pair; it is controlled by the ANS and certain local hormones.
upper esophageal sphincter
The ring-like muscle which separates the pharynx from the esophagus; by remaining closed in its resting state, it prevents air from entering the gastrointestinal tract during inspiration, and protects the airway by preventing the reflux of material from the esophagus into the pharynx; it relaxes during swallowing to allow ingested material to enter the esophagus; it consists of at least three groups of skeletal muscles; it is controlled by the ANS.
lower esophageal sphincter
The ring of smooth muscle fibers at the junction of the esophagus and stomach; by remaining closed except when a bolus of food or liquid is being passed to the cardiac portion of the stomach, it protects the esophageal lining from erosion by preventing the acidic stomach contents from being refluxed into the esophagus; it is controlled by the ANS. aka gastroesophageal sphincter, cardiac sphincter
DIagram: Stomach

stomach
The enlarged, muscular sac-like portion of the gastrointestinal tract, located in the upper abdominal cavity, between the esophagus (at the lower esophageal sphincter) and the duodenum of the small intestine (at the pyloric sphincter); where mechanical digestion is completed and chemical digestion, particularly of protein, continues; its glands secrete mucous, HCl, pepsin(ogen), intrinsic factor, and in infants, gastric lipase and rennin; it is roughly divided into four parts (cardia, fundus, body, and pylorus); its inner lining is covered by longitudinal folds of the mucosa, rugae, and its wall consists of an inner simple columnar epithelium with some goblet cells, a lamina propria of loose fibrous connective tissue, a muscularis unusual in having a third layer of oblique fibers, and an outer serosa.
cardia
The upper tapered portion of the stomach which extends a short distance from the opening of the esophagus and where the gastric glands lack parietal and chief cells; the part of the stomach usually involved when hiatal hernia occurs.
fundus
The rounded base of the stomach, that portion farthest from the pyloric sphincter.
pylorus
The long, tapering passage at the lower, distal end of the stomach which opens into the duodenum at the pyloric sphincter; the part of the stomach responsible for gastric emptying which is regulated by GIP, CCK and secretin.
rugae
The longitudinal folds or creases on the inner lining of the stomach, composed primarily of the epithelial and mucosal layers, which contribute to effective mixing of chyme in the stomach; they increase the surface area for gastric secretion and also contribute to gastric mixing, acting as modest mixing "blades"/"spatulas".
Image: rugae microscopic

pyloric sphincter
The ring of smooth muscle fibers around the distal opening of the pylorus of the stomach into the duodenum; it regulates gastric emptying by remaining closed except when a small amount of liquified, partially digested food, chyme, or liquid is being passed to the duodenum; it protects the duodenal lining from erosion by the acidic stomach contents; its opening is regulated by the content of the meal, by hyperglycemia, by digestive hormone (gastrin, cholecystokinin, vasoactive intestinal polypeptide and gastric inhibitory peptide) and regulatory impulses from the ANS.
lesser curvature
The boundary of the stomach which forms a relatively short concave curve on the right, medial, side of the stomach, from the opening for the esophagus to the opening into the duodenum.
greater curvature
The boundary of the stomach which forms a relatively long convex curve on the left and inferior sides of the stomach, from the opening for the esophagus to the opening into the duodenum.
mixing waves
- Slow segmenting movements, every 15 to 25 seconds, within the stomach involving complex patterns of contraction of the three layers of gastric smooth muscle (circular, longitudinal, and oblique) which complete the mechanical digestion of food while combining the bolus of swallowed food with the gastric secretions to continue to chemical digestion of food.
chyme
The thick, semifluid mass of partly digested food which has been acted upon by gastric secretions and is transferred slowly, in small quantites, by the stomach into the duodenum.
List: structures which increase the surface area of the stomach.
rugae
List: the functions of the stomach.
(1) serve as a storage chamber for ingested foodstuffs
(2) essentially complete mechanical digestion of food by churning motions
(3) begin chemical digestion of proteins with pepsin (assisted by rennin in neonates = newborns)
(4) (continue chemical digestion of lipids with gastric lipase in neonates = newborns)
(5) secrete intrinsic factor necessary for vitamin B12 absorption in the intestines
(6) secrete mucous to lubricate and protect the stomach and intestinal linings
(7) secrete HCl to attack and destroy any microbes swallowed as a part of ingestion of food or the swallowing of mucous secretions swept out of the respiratory tree by the mucociliary elevator; note: HCl also plays a minor role in the chemical digestion of foods by generalized acid hydrolysis reactions
(8) control the rate of chyme movement from the stomach to the small intestines
(9) permit the absorption of a few lipid soluble molecules such as ethanol, aspirin, etc.
(10) secrete gastrin from G cells which assists in the endocrine regulation of gastric secretion
Diagram: stomach histology

gastric pits
The numerous small indentations in the mucous membrane of the stomach which are the mouths of the gastric glands.
gastric glands
Branched tubular glands located in the mucosa of the stomach wall; they contain parietal cells which secrete HCL and intrinsic factor, chief cells which secrete pepsin(ogen) and mucous neck cells which secrete mucin; their secretion is regulated by gastrin release from G cells in the stomach and by gastric inhibitory peptide = GIP secreted by enteroendocrine cells from the mucosal epithelial cells of the duodenum and by parasympathetic autonomic motor impulses.
mucous neck cells
The secretory cells which produce an acidic solution containing the protein mucin; they are located primarily in the upper, more superficial portions of the gastric glands; they are believed to be the stem cells for all the other cells in the mucosal glands of the stomach.
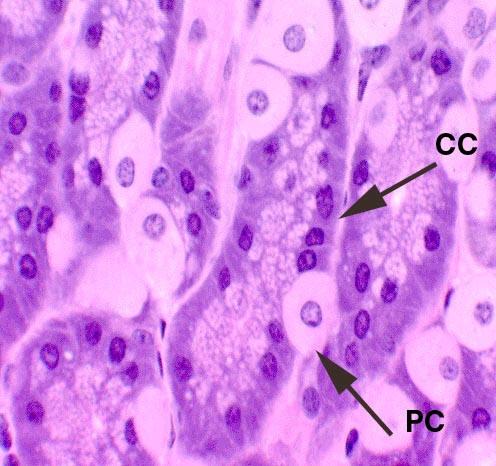
chief cells
One of the two glandular epithelial cell types located in the basal half of gastric glands; they synthesize and secrete pepsinogen, the inactive precursor to the proteolytic enzyme pepsin; they appear smaller and with a more darkly staining granular cytoplasm than the neighboring parietal cells.
parietal cells
One of the two glandular epithelial cell types located in the basal half of gastric glands; they synthesize and secrete HCl and intrinsic factor, which is necessary for vitamin B12 absorption in the small intestine; they appear larger and with a pale staining cytoplasm than the neighboring chief cells.
Image: Gastric parietal cells and chief cells

gastric juice
The clear, viscous, strongly acid secretion of the gastric glands, consisting of enzymes (pepsin(ogen) in adults, and, in neonates, additionally, rennin and gastric lipase) produced by the chief cells, HCL and intrinsic factor produced by the parietal cells, and an acidic mucus fluid secreted by the mucous neck cells; it continues the chemical digestion of food already acted on by saliva.
pepsinogen
The inactive precursor to the proteolytic enzyme pepsin, synthesized and secreted by the chief cells of the gastric glands of the stomach; it is converted to pepsin in the lumen of the stomach by autocatalysis in the presence of gastric hydrochloric acid.
pepsin
The active proteolytic enzyme, synthesized as an inactive precursor precursor, pepsinogen, and secreted by the chief cells of the gastric glands of the stomach; it is activated in the lumen of the stomach by autocatalysis in the presence of gastric hydrochloric acid; it catalyzes the hydrolysis of most large proteins into somewhat smaller units (peptones).
gastric lipase
The enzyme present in gastric juice which catalyzes the hydrolysis of neutral fats (mono-, di-, and triglycerides) into glycerol and free fatty acids in the stomach; it is synthesized and secreted by the chief cells of the gastric glands of the stomach of neonates to contribute to the digestion of milk's butterfat; synthesis is regulated off soon after the infant is weaned.
mucin
mucin
hydrochloric acid = HCl
A solution of hydrogen chloride gas in water; it is a highly corrosive, strong mineral (inorganic) acid which is secreted by the parietal cells of gastric glands; it creates a low pH environment in the stomach which serves a protective function by destroying most microorgaisms, it contributes in a minor way to chemical digestion of foods with a general hydrolysis of chemical bonds, and it activates the conversion of pepsinogen to pepsin.
intrinsic factor
A transport glycoprotein which is secreted by the parietal cells of the gastric glands of the mucous membrane of the stomach and is essential for the absorption of vitamin B12 in the intestines; hereditary failure to secrete it is a major cause of pernicious anemia.
rennin
enzyme, synthesized and secreted by the chief cells of the gastric glands of the stomach of neonates which catalyzes the coagulation of milk; synthesis is regulated off soon after the infant is weaned. [Note: it is also obtained from the gastric juice of the fourth stomach of young ruminants and used in making cheeses and junkets (where it is called rennet); a similar microbial rennin enzyme is also used in cheese production.]
G cells
Enteroendocrine cells, located in the gastric glands in the mucous membrane of the stomach, which synthesize and secrete the digestive hormone gastrin, a peptide hormone; they secrete gastrin in response to gastric distension or to a rise in gastric pH of the stomach, which then stimulates the production of HCl by parietal cells; it also promotes gastric mucosal growth.
Image: gastic cief calles and G cells

G cell (enteroendocrine cell) stained dark red under very high power
cephalic phase
The first stage of regulation of digestive system activity, particularly in terms of the activities of the stomach, duodenum, pancreas, and gall bladder; sensory information about food (visual, olfactory, gustatory = taste) create conditioned reflexes that trigger some parasympathetic output to the stomach; other stimuli include the actions of chewing and swallowing (mastication and deglutition) and the recognition of hypoglycemia by the hypothalamus; digestive system responses occur within minutes but are temporary if no food actually enters the stomach; during this period small amounts of gastric secretions are produced, particularly H+ from the parietal cells; this stage is mediated by parasympathetic autonomic motor impulses and may involve some secretion of gastrin from G cells.
Diagram: cephalic phase

gastric phase
The second stage of regulation of digestive system activity, particularly in terms of the activities of the stomach, duodenum, pancreas, and gall bladder; visceral sensory stimulation of mechanoreceptors caused by distension of the stomach and detection of protein digestion in the bolus (the presence of peptones, peptides, and amino acids); during this period large amounts of gastric secretions are produced; it is mediated by parasympathetic autonomic motor impulses and by gastrin release from G cells and secretin release from enteroendocrine cells of the mucosal epithelium cells of the duodenum.
Digram: gastric phase

intestinal phase
The third stage of regulation of digestive system activity, particularly in terms of the activities of the stomach, duodenum, pancreas, and gall bladder; this period is directly related to control of gastric emptying; during this period negative feedback inhibition of further gastric secretions occur; the presence of chyme in the duodenum brings about neural and endocrine responses which first stimulate and later inhibit gastric acid secretion by the stomach; when gastric chyme is at a pH above 3, during early gastric emptying, gastric acid is stimulated; later, when the buffering capacity of gastric chyme is exhausted and the pH of chyme falls below a pH of 2, gastric secretion is inhibited; during this third stage, gastric secretion is first stimulated by the presence of peptides and amino acids in the distended duodenum; G cells in the duodenum and upper jejunum release gastrin in response to peptides and amino acids; this gastrin is released into the blood and can stimulate parietal cells of the stomach to secrete gastric acid; later in this third stage, the enterogastric reflex takes effect, during which, sensory signals from distension of the small intestine and the detection of gastric HCl in the duodenal chyme inhibit gastric motility and gastric secretion; it is mediated by parasympathetic autonomic motor impulses and by gastrin release from G cells and by gastric inhibitory peptide = GIP and secretin release from enteroendocrine cells of the mucosal epithelium cells
Diagram: Intestional phase

List:the three phases of digestion in the stomach (Can also be diagramed). Describe the neural and hormonal mechanisms involved in each stage, including the stimuli for each.
1.cephalic phase Neuronal: Sensations of smell and taste or even thoughts or memories of food stimulate cortical centers which activate parasympathetic impulses delivered by the Vagus nerve (X) to initiate gastric secretion.
Hormonal: none
[Certain negative emotional states will decrease parasympathetic impulses and, therefore, gastric secretion.]
2.gastric phase Neuronal: Ingestion and deglutition (swallowing) of food expand the stomach. Proprioceptive stretch receptors in the stomach wall trigger parasympathetic autonomic reflexes which stimulate both gastric secretion and gastric motility (churning).
Hormonal: G cells (enteroendocrine cells) respond to sensory information indicating the presence of nutrients, especially peptides, or to drugs (e.g., caffeine), or to a rising pH (due to gastric acid dilution by food or beverage) with gastrin release which stimulates gastric secretion.
[(1) Excessive gastric acidity (pH < 2) or certain negative emotional states will decrease gastrin release and parasympathetic impulses and, therefore, gastric secretion and motility. (2) Proprioceptive stretch receptors in the intestinal wall trigger sympathetic autonomic reflexes which inhibit both gastric secretion and gastric motility (churning) while encouraging gastric emptying.]
3.intestinal phase Neuronal: As chyme is passed intermittently to the duodenum, the duodunum stretches, triggering proprioceptive stretch receptors in the intestinal wall. These impulse
Diagram: stimulatory and inhibitory factors of the three phases of digestion

endoscopy
The visual examination of the interior of a body canal or a hollow body organ by use of an endoscope (an instrument for examining visually the interior of a body canal or a hollow organ), e.g., the colon, bladder, or stomach, etc
diagram: endoscope use

gastroscopy
The visual examination of the interior of the stomach by use of an endoscope = gastroscope.
pylorospasm
Spasmodic contractions of the smooth muscle in the pylorus of the stomach which prevents chyme from passing to the duodenum; it is a cause of vomiting in neonates, especially those with cerebral birth injuries; it must be distinguised from pyloric stenosis.
pyloric stenosis
A condition where the pylorus of the stomach has a constriction or narrowing, and will thus not allow the passage of food; the main presenting symptom is projectile vomiting.
peptic ulcer disease = PUD
A spectrum of diseases in which the lining of the stomach, pylorus, or duodenum develops a cratering necrotic lesion (ulcer) of the mucosal membrane which becomes eroded by the stomach acid and proteolytic enzyme (pepsin) attack; symptoms may be absent, but usually include indigestion, heartburn, abdominal or chest pain, bleeding, vomiting blood; risk factors include heredity, smoking, heavy drinking, use of aspirin an other anti-inflammatory NSAIDs, and infection by Helicobacter pylori bacteria.
living-donor liver transplant
The transplantation of a portion of a liver from a living donor, who must be a healthy adult; the donor has to be a family member or emotionally related friend of the family; the selection criteria are very strict and potential donors have to undergo an extensive series of tests in order to decide if they are suitable. [Donor Inclusion Criteria: age 18-55; no current or prior history of heart, lung, or other medical problems; no history of liver disease; no history of malignancy; ABO compatibility with the recipient; if female and pre-menopausal, a negative pregnancy test; a stable relationship with recipient.
pancreatitis
Any acute or chronic inflammation of the pancreas; it is difficult to diagnosis; patients may be asymptomatic, but often present with abdominal pain, nausea and vomiting; it is most often caused by alcoholism or biliary tract disease, but may be associated with hyperlipidemia, hyperparathyroidism, trauma, vascular or kidney disease.
jaundice
discoloration of the whites of the eyes, skin, and mucous membranes caused by deposition of bilirubin in these tissues; it occurs as a symptom of various diseases, e.g., internal hemorrhage, hepatitis, or blockages of the biliary tree, which affect the processing or secretion of bile into the duedenum. aka - icterus
obstructive (= posthepatic or extrahepatic) jaundice
Yellowish discoloration of the whites of the eyes, skin, and mucous membranes caused by deposition of bilirubin in these tissues; this form occurs when there has been no internal hemorrhage or hepatic injury or disease, and is due to some blockage of the biliary tree, e.g., from gall bladder stones, or scarring of the bile ducts, which reduce the secretion of bile into the duodenum.
hepatitis
Inflammation of the liver, caused by infectious* or toxic agents and characterized by jaundice, fever, liver enlargement, and abdominal pain. [*Note: viral pathogens, hepatitis A, hepatitis B, hepatitis C, hepatitis D, and hepatitis E are particularly important causes.]
cirrhosis
A chronic disease of the liver characterized by the replacement of normal parenchymal tissue with dense irregular fibrous (scar) tissue and the loss of functional liver cells and marked reduction in liver function; the cirrhotic liver is usually smaller than normal; it can result from alcohol abuse, nutritional deprivation, or infection, especially by the hepatitis viruses; symptoms include exhaustion, fatigue, loss of appetite, nausea, weakness, weight loss, and abdominal pain; complications include edema and ascites, bruising and bleeding, jaundice, gallstones, CNS effects, sensitivity to medications, portal hypertension, varices (enlarged veins), insulin resistance and type II diabetes, immune dysfunction and possible liver cancer.
gall stones
The crystalized solids which precipitate out of the bile stored in the gall bladder under certain circumstances; the vary in size from similar to a grain of sand to as much as an inch in diameter; they may be rough or smooth; they are either composed of a variety of calcium salts or of cholesterol or a mixture of the two; symptoms include fluctuating jaundice, intermittent or constant upper right quadrant pain, nausea and vomiting.
Image: Gallstones

lactose intolerance
The inability to digest significant amounts of lactose, milk sugar, this inability results from a shortage of the brushborder enzyme lactase, which is normally produced by the epithelial lining cells of the small intestine.
appendicitis
Inflammation of the appendix, a finger-like projection extending from the caecum of the large intestine; symptoms include lower quadrant abdominal pain, fever, and loss of appetite.
hemorrhoids
An itching or painful swollen mass of dilated or varicose veins in the anal mucosal tissue; they may be internal or external or shift between the two locations; they result from a persistent increase in local venous pressure; the may become abraded and eroded and bleed.
diverticulitis
Inflammation of a diverticulum/diverticula (abnormal pouch-like outpockets in the wall of the large intestine, most commonly found in the regions of the sigmoid colon) in the intestinal tract, causing fecal stagnation and pain; they may perforate or form abscesses.
diarrhea
Any excessive and frequent evacuation of loose or watery feces, usually indicating gastrointestinal distress or disorder.
constipation
Difficult, incomplete, or infrequent evacuation of dry hardened feces from the bowels; it can be a symptom of intestinal obstruction or diverticulitis.
anorexia nervosa
A psycho-physiological condition, occurring especially in girls and young women, which is characterized by the inability or refusal to eat, an abnormal fear of becoming obese, and a distorted self-image (somatic delusions that you are too fat despite being emaciated); the main clinical features of the condition are a reduction in body weight, with a body mass index below 17.5, an intense desire to remain thin, self-induced vomiting, excessive exercise, malnutrition, amenorrhea in females, and other physiological changes; it is a condition of Western Societies. [The prevalence rate of this condition is estimated at 1 to 2% of schoolgirls and female students in higher education; the male prevalence rate is much lower.]
bulimia
A psycho-physiological condition characterized by binge-eating with associated feelings of loss of control, intense guilt, periods of dietary restraint; it may include starvation, self-induced vomiting and laxative abuse; these activities may relieve feelings of guilt; it is not usually associated with severe weight loss; it is a condition of Western Societies. [The prevalence rate of this condition is estimated at 1 to 2% of the Western Caucasian female population, with an increased incidence in the higher social classes; the male prevalence rate is much lower.] aka - bulimia nervosa
dysentery
An inflammatory disorder of the lower intestinal tract, usually caused by a bacterial, parasitic worm, or protozoan infection or certain chemical irritants, and resulting in pain, fever, a constant desire to evacuate the bowels, and severe diarrhea, often accompanied by the ulceration of the colon and rectum, passage of blood and mucus.
fecal impaction
A severe form of constipation in which a large mass of stool cannot be passed; it occurs most commonly in older or bedridden people; symptoms include swelling of the abdomen, nausea and vomiting, thin watery discharge from the rectum, abdominal distress or cramping, and fever.
Crohn's disease
A serious, chronic, progressive inflammatory disorder of the lower intestinal tract, usually involving the terminal portion of the ileum and characterized by nausea, fever, weight loss, frequent bouts of diarrhea, abdominal pain, ulceration, and fibrous tissue buildup.
ulcerative colitis
A serious chronic inflammatory disease of the large intestine and rectum characterized by recurrent episodes of fatigue, loss of appetite, abdominal pain, fever and chills, and profuse diarrhea, weight loss and possible rectal bleeding.
intestinal polyps
Abnormal tissue growths which projects (usually on a stalk) from the mucosal lining of the colon or rectum; they are usually benign and asymptomatic, but may cause painless rectal bleeding; certain types of polyps, called adenomatous polyps, can develop into cancer; risk factors include advancing age, cigarette smoking, high fat or low fiber diet, and family history. aka - colon polyps
colon cancer
A tumor of the colon or rectum, frequently malignant; an early symptom is bloody stools; the second-leading cause of cancer-related deaths in the United States.
gastrin -
A peptide hormone, secreted in response to gastric distension or a rise in gastric pH by enteroendocrine cells (G cells) within the glandular pits in the mucous membrane of the stomach, which stimulates the production of HCl by parietal cells; an important regulator of stomach digestive processes during the middle gastric phase; it also promotes gastric mucosal growth.
gastric inhibitory peptide = GIP
A peptide hormone, secreted in response to duodenal distension or the detection of glucose and fatty acids in the chyme arriving from the stomach; it is secreted by enteroendocrine cells beneath the mucosal epithelial cells of the duodenum; it stimulates the release on insulin from beta cells of the pancreatic islets and inhibits the release of gastric HCl from the parietal cells and pepsin from the chief cells of the gastric mucosa.
secretin
A peptide hormone, secreted in response to the detection of gastric HCl in the chyme arriving from the stomach; it is secreted by enteroendocrine cells from the mucosal epithelium cells of the duodenum; it stimulates the production of bicarbonate-rich alkaline secretion from pancreatic ductal cells, and, to a lesser degree, from bile duct cells.
cholecystokinin = CCK
A peptide hormone produced principally by the enteroendocrine cells from the mucosal epithelium of the duodenum in response to the presence of fatty acids and proteins in the chyme arriving from the stomach; it stimulates the contraction of the gallbladder, release of bile, and secretion of pancreatic digestive enzymes from the pancreatic acinar cells. aka - pancreozymin (older terminology). [Note: It is also found in the CNS and may be related to the control of feelings of satiety (fullness, lack of hunger).]
enterogastric reflex
One of the visceral = autonomic reflexes involved in the regulation of digestion in which sensory signals from distension of the small intestine and the detection of gastric HCl in the chyme inhibit gastric motility and gastric secretion; it also encourages secretion of bile from the gall bladder and pancreatic juice from the pancreas; it is mediated by parasympathetic autonomic motor impulses.
gastric emptying
The passage of the contents of the stomach into the small intestine; it is influenced by the content of the meal, by hyperglycemia, by digestive hormone (gastrin, cholecystokinin, vasoactive intestinal polypeptide and gastric inhibitory peptide) levels, and regulatory impulses from the ANS; solid foods generally require approximately 90 minutes/half-time while liquids move faster.
distension
The act or process of expanding or stretching a structure by pressure from within, e.g., by filling the structure with material.
Describe:the hormones secreted by the duodenum and how they regulate secretion by the stomach (gastric), liver (hepatic), gall bladder (cystic), and pancreas (pancreatic).
*a.Duodenal Hormone b.Stomach Secretion c.Liver Secretion d.Gall Bladder Secretion e.Pancreas Secretion
1.a.cholecystokinin (CCK)b.n/a c.increase d.n/a e.increase
2.a.gastric inhibitory peptide (GIP) b.inhibit c.n/a d.n/a e.n/a
3.a.intestinal gastrin b.increase c.n/a d.n/a e.n/a
4.a.secretin b.decrease c.increase d.n/a e.increase
5.a.somatostatin b.decrease c.n/a d.decrease e.decrease
6.a.vasoactive inhibitory peptide (VIP) b.decrease c.increase d.n/a e.n/a
Describe: how gastric emptying is regulated.

Autonomic NS Regulation: Increased sympathetic impulses and decreased parasympathetic impulses to gastric smooth muscle stimulate emptying. Duodenal proprioceptive stretch recepters provide negative feedback information to inhibit emptying if the duodenum becomes overfilled.
Chemicals (free fatty acids, hydrogen ions, electrolytes) in the duodenal chyme stimulate the release of secretin, cholecystokinin (CCK) and gastric inhibitory peptide (GIP), all of which inhibit the rate of emptying.
pancreas
A long, flattened, irregularly shaped, fragile accessory digestive gland, lying behind the stomach and between the duodunum and the spleen; its parenchyma consists primarily of exocrine acinar cells drained by the pancreatic duct system, but interspersed among them are small round collections of endocrine cells (alpha, beta, and delta cells) termed islets; the acinar cells secrete an enzyme-rich alkaline pancreatic juice into the duodenum while the islet cells secrete insulin (alpha cells), glucagon (beta cells), and somatostatin (delta cells) into the bloodstream.
DIagram: Pancreas

pancreatic duct
The major excretory duct of the pancreas, composed of a simple cuboidal epithelium, by which pancreatic juice is secreted into the duodenum at the hepatopancreatic ampulla.
hepatopancreatic ampulla
The goblet-shaped dilatation (expansion) of the ducts coming from the liver and gall bladder (common bile duct) and the pancreas (pancreatic duct) at the point (major duodenal papilla) where they enter the duodenum.
major duodenal papilla
A nodular protuberance on the medial wall of the duodenum through which the common bile duct and pancreatic duct expel bile and pancreatic juice respectively into the duodenum by way of the hepatopancreatic ampulla to aid in the processes of digestion.
accessory duct
A variable duct of the pancreas, composed of a simple cuboidal epithelium, which branches from the main pancreatic duct and opens into the duodenum above it at the minor duodenal papilla
pancreatic acini
The majority of pancreatic tissue which is exocrine tissue collected into a complex system of secretory cell clusters (acini) attached to the pancreatic duct system; the acinar cells secrete a variety of digestive enzymes into the pancreatic juice which is transported to the duodenum.
pancreatic juice
The clear alkaline secretion of pancreas, consisting of enzymes (e.g., pancreatic amylase, trypsin, chymotrypsin, carboxypeptidase, elastase, pancreatic lipase, ribonuclease, deoxyribonuclease, etc.) produced by the acinar cells and an alkaline mucus fluid secreted by the pancreatic ductal cells which flows via the pancreatic duct system to the duodenum and continues the chemical digestion of food already acted on by the gastric juice and saliva.
pancreatic islets = Islets of Langerhans
Any of several masses of endocrine cells in the pancreas including alpha cells which secrete the protein hormone glucagon, beta cells which secrete the protein hormone insulin, and delta cells which secrete the protein hormone somatostatin.
pancreatic amylase
- The enzyme present in pancreatic juice which catalyzes the hydrolysis of starch to sugar to produce carbohydrate derivatives in the duodenum; elevated serum pancreatic amylase levels are associated with pancreatitis and many other abdominal disorders.
trypsinogen
The inactive precursor of trypsin, produced by the pancreatic acinar cells and converted to trypsin in the small intestine by the intestinal brush border enzyme enterokinase.
trypsin
The pancreatic proteolytic enzyme which catalyzes the hydrolysis of proteins and large peptides into smaller oligopeptide units in the small intestine; it acts on the breakdown products of the gastric digestion of proteins by pepsin; it is secreted by the acinar cells in the form of an inactive precursor, trypsinogen.
chymotrypsin
The pancreatic proteolytic enzyme which catalyzes the hydrolysis of peptides into smaller oligopeptides into small peptides and amino acids in the small intestine; it is secreted by the acinar cells in the form of an inactive precursor, chymotrypsinogen.
carboxypeptidase
The pancreatic proteolytic enzyme which catalyzes the hydrolysis of the terminal amino acid of a polypeptide or peptide from the C-terminal end (which contains a free carboxylic acid group) in the small intestine; two forms exist, A and B; they are secreted by the acinar cells in the form of inactive precursors, procarboxypeptidase.
elastase
The pancreatic proteolytic enzyme which catalyzes the hydrolysis of elastin (and collagen) in the small intestine.
pancreatic lipase
The enzyme present in pancreatic juice which catalyzes the hydrolysis of neutral fats (mono-, di-, and triglycerides) into glycerol and free fatty acids in the duodenum; elevated serum pancreatic lipase levels are associated with pancreatitis and some other abdominal disorders.
ribonuclease
The enzyme present in pancreatic juice which catalyzes the hydrolysis of RNA (ribonucleic acids) into constituent ribonucleotides in the small intestine. aka - RNase.
deoxyribonuclease
The enzyme present in pancreatic juice which catalyzes the hydrolysis of DNA (deoxy-ribonucleic acids) into constituent ribonucleotides in the small intestine. aka - DNase.
List: the functions of the pancreas.
(1) provides some bicarbonate ions to assist in buffering acidic chyme transferred from the stomach to the duodenum
(2) synthesizes and secretes a series of digestive enzymes which assist in the digestion of all major nutrient classes (carbohydrates, proteins, lipids, and nucleic acids)
(3) synthesizes and secretes glucagon and insulin which cooperate to regulate plasma glucose levels and, therefore, certain other cellular aspects of metabolism, and which control the transitions between the absorptive and post-absorptive states
Describe: how pancreatic secretion (endocrine) is regulated.
Pancreatic islet cells respond to autoregulation. Pancreatic islet cells monitor plasma glucose levels. If plasma glucose levels rise, e.g., after the absorption of a meal, then beta cells will release more insulin into the blood stream; if plasma glucose levels fall, then alpha cells will release more glucagon into the blood stream.
Describe: how pancreatic secretion (exocrine) is regulated.
The stimuli that trigger increased pancreatic exocrine secretion are (1) the presence of an acidic chyme in the duodenum and (2) the presence of fatty acids and amino acids in the chyme in the duodenum. These stimuli produce three different regulatory feedback actions to stimulate increased pancreatic exocrine secretion: (a) autoregulation involving local hormones within the head of the pancreas; (b) release of CCK (cholecystokinin) and secretin from enteroendocrine cells in the walls of the duodenum [Note: CCK stimulates digestive enzyme secretion by pancreatic acinar cells while secretin stimulates bicarbonate ions and mucous secretions from the pancreatic duct cells.]; and (c) autonomic parasympathetic impulses, delivered via the vagus nerve (X), which increase pancreatic secretions.
liver
The large, reddish-brown, glandular digestive organ located in the upper right quadrant of the abdominal cavity beneath the diaphragm which is divided into three lobes, the right, left, and caudate; it synthesizes and secretes bile, is active in the formation of certain blood proteins and lipoproteins; plays a major role in the metabolism of carbohydrates, fats, and proteins; stores or detoxifies toxins; it receives blood from both the hepatic artery and the hepatic portal system.
liver lobes
liver lobes
falciform ligament
The anteroposterior fold of the parietal peritoneum attached to the under surface of the diaphragm and the sheath of the rectus muscle and along a line on the anterior and upper surfaces of the liver extending back from the notch on the anterior margin of the liver; it is a main support for the liver in the abdominal cavity.
ligamentum teres
A dense fibrous connective tissue cord resulting from the obliteration of the umbilical vein of the fetus and passing from the navel to the notch in the anterior border of the liver and along the undersurface of that organ.
coronary ligaments
Several folds of the parietal peritoneum attached to the under surface of the diaphragm and to the liver; they are supports for the liver in the abdominal cavity.
lobules
Small sections or subdivisions of the lobe of an organ; in the liver, the structural subunit which consists of roughly hexagonal arrangements of plates or cords of hepatocytes radiating outward from a central vein and separated from each other by radiating capillary sinusoids; each lobule is surrounded by a thin layer of dense fibrous connective tissue; the liver contains ~1,000,000 lobules.
central vein
The single large blood vessel in the middle of each lobule of the liver which runs from the apex to the base of the lobule, receives blood from the sinusoids, and empties into the sublobular veins from where the blood will eventually return to the inferior vena cava.
hepatocytes
The parenchymal (chief functional) cells of the liver organized into plates or cords radiating outward from the central vein of each liver lobule and separated from each other by radiating capillary sinusoids; they are polygonal in shape with a large oval nucleus and a granular cytoplasm; they carry out a wide variety of metabolic, endocrine, and secretory (exocrine) functions; they synthesize and secrete bile, synthesize and secrete certain blood proteins and lipoproteins; play a major role in the metabolism of carbohydrates, fats, and proteins; store or detoxify toxins, etc.
portal triad
A characteristic histological feature of the borders of liver lobules, consisting of one or more of each of the following structures, a branch of the hepatic artery bringing oxygenated blood to the hepatocytes, a branch of the hepatic portal vein bringing nutrient laden blood from the capillary beds of the stomach, small and large intestines, spleen, and pancreas, and an interlobar branch of the bile duct system.
sinusoid (capillary)
The category of capillaries, primarily the capillaries in the liver, bone marrow, some endocrine glands and in lymphoid tissue, which lack pores = fenestrations but in which adjacent endothelial cells exhibit some wider intercellular gaps which permit some fluid exchange between the plasma and the tissue fluid by transfer between endothelial cells; they often have an irregular cross-section.
stellate reticuloendothelial cells
The fixed macrophages of the walls of the liver sinusoids which have long cytoplasmic projections, a large oval nucleus and their cytoplasm is commonly packed with fragments resulting from phagocytic action; they play a major role, along with the spleen, in clearing the blood of damaged RBCs and in removing immune (Ab-Ag) complexes from the blood. aka - Kupffer cells
hepatic portal* circulation = hepatic portal* system
The separate pathway for a portion of the blood returned to the heart from certain the abdominal organs; the vessels involved are the hepatic portal vein and its branches (splenic vein, superior and inferior mesenteric veins and gastric vein and their smaller branches); venous blood from the capillary beds of the spleen, pancreas, stomach and intestines (large and small) is routed to the capillary beds of the liver where various compounds in the blood are processed or stored by the liver; after leaving the liver this blood is returned to the general venous return of the inferior vena cava. [Note: A portal system is a vascular arrangement in which blood from the capillaries of one organ is transported to the capillaries of another organ by a connecting vein or veins without returning to the heart.]
hepatic portal vein
The large blood vessel carrying blood from the capillary beds of the spleen, pancreas, stomach and intestines (large and small) to the liver where the nutrients carried by the blood are processed by the hepatocytes before passing into the systemic circulation.
enterohepatic circulation
circular pathway in which molecules, particularly bile salts and bile acids, are recycled; the path is from the liver to the small intestine via the biliary tree, reabsorption from the chyme in the intestines into the hepatic portal circulation, and back to the liver.
List: the five organs whose venous blood is routed by the hepatic portal system to the liver and a reason why each of these organs has its venous blood routed to the liver.
1. Stomach (1) absorbed nutrients (minimal) will be processed and stored by the liver
(2) absorbed toxins (including ethanol and various other lipid-soluble drugs) can be detoxified, modified or stored by the liver
2.Small Intestine (1) absorbed nutrients (minimal) will be processed and stored by the liver
(2) absorbed toxins (including ethanol and various other lipid-soluble drugs) can be detoxified, modified or stored by the liver
3.Large Intestine (1) absorbed nutrients (minimal) will be processed and stored by the liver
(2) absorbed toxins (including ethanol and various other lipid-soluble drugs) can be detoxified, modified or stored by the liver
4.Pancreas insulin and glucagon, which have major regulatory control of carbohydrate metabolism by the liver can be routed directly to the liver to exert their control
5.Spleen bilirubin, derived from the heme groups of worn-out or damaged red blood cells, can be routed directly to the liver for further modification and excretion into the bile
Diagram and Label: the structure of a liver lobule illustrating the general pattern of blood and bile flow. Identify the factors that increase bile secretion by the liver.

Blood Flow: Oxygenated blood from the systemic circulation via the abdominal aorta and hepatic artery and deoxygenated blood from the stomach, small intestines, large intestine, pancreas, and spleen are delivered to the periphery of each liver lobule (at hepatic = portal triads); mix in the capillary sinusoids of the liver lobule and drain to the central vein which carries the hepatic venous blood out of the liver via the hepatic veins, then to the inferior vena cava and from there back to the right atrium of the heart.
Bile Flow: Bile is synthesized by hepatocytes and secreted into bile canaliculi which drain away from the central vein and toward the periphery of each liver lobule (at hepatic = portal triads) where the bile is passed into the smaller vessels of the biliary tree and routed out of the liver via the common hepatic duct.
As chyme is passed from the pylorus to the duodenum, stretch receptors and chemoreceptors are stimulated. (1) This sensory information is routed as visceral sensory information to the CNS and an autonomic reflex involving parasympathetic impulses carried on the Vagus Nerve (X) stimulate bile production by the liver and bile secretion from the gall bladder. (2) This sensory information also influences intestinal enteroendocrine cells to release (a) secretin which is carried by hepatic portal drainage to the liver to stimulate bile production by the liver and (b) cholecystokinin (CCK) which is carried by hepatic portal drainage to the live
bile canaliculi
The minute channels which run between hepatocytes, and into which they secrete bile; they form the smallest and most distal branches of the biliary tree and carry bile toward the periphery of the lobules of the liver where it is collected into interlobar bile ducts at the "hepatic triad." aka - bile capillaries
DIagram: biliary tree

hepatic ducts
Any portion of the biliary tree; especially, the larger duct(s) which carry the bile from the lobes of the liver to the cystic and common bile ducts; they are lined by columnar epithelium and a delicate layer of smooth muscle.
cystic duct
The portion of the biliary tree which conveys bile to the gall bladder from the liver via the hepatic ducts between meals and from the gallbladder to the common bile duct (and on to the duodenum) during the intestinal phase of the digestion of a meal; it is lined by columnar epithelium and a delicate layer of smooth muscle.
common bile duct
The portion of the biliary tree formed by the union of the cystic duct and the hepatic duct which carries bile from the liver and the gallbladder to the duodenum during the intestinal phase of the digestion of a meal; it is lined by columnar epithelium and a delicate layer of smooth muscle.
gallbladder
The small, pear-shaped sac, located under the right lobe of the liver, in which bile secreted by the liver is stored until needed by the body for digestion of a fatty meal; it is lined by columnar epithelium and a layer of smooth muscle innervated by the Vagus Nerve and responsive to CCK.
sphincter of hepatopancreatic ampulla
The ring of smooth muscle which guards the opening of the merged common bile duct and pancreatic duct located in the wall of the duodenum; it is innervated by the Vagus Nerve and responsive to CCK.
bile
A bitter, alkaline, viscous, brownish-yellow or greenish-yellow mucous fluid which is secreted by the liver hepatocytes, collected into bile canaliculi and delivered by the biliary tree to be stored in the gallbladder, and discharged into the duodenum; it contains bile salts and bile acids which aid in the emulsification of ingested fats to improve the efficiency of lipid digestion and absorption; it also contains a variety of wastes such as bilirubin from the breakdown of the heme in hemoglobin and various bile pigments; adult humans produce 0.4 - 0.8 L daily.
bile salts and bile acids
A group of amphipathic (both lipid and water soluble) metabolic waste products of the hepatic catabolism of cholesterol and steroid hormones; they are produced by hepatocytes and added to bile; in bile they function as a surfactant to emulsify ingested fats to improve the efficiency of lipid digestion and absorption in the duodenum; they are reabsorbed into the bloodstream from the small intestine and returned to the liver by the hepatic portal circulation ("enterohepatic circulation") where they are recycled so that each molecule is used approximately 20 times; they also play a negative-feedback regulatory role in the control of hepatic synthesis of cholesterol.
emulsification
To make a preparation of one liquid (discontinuous phase) distributed in small globules or droplets throughout the volume of a second liquid (continuous phase); when water is the continuous phase, the preparation is termed a water emulsion, when a nonpolar liquid (oils, lipids, etc.) is the continuous phase, the preparation is termed an oil or lipid emulsion; bile, especially the bile salts and bile acids acting as a surfactant coating, contribute to the emulsification of ingested fats to improve the efficiency of lipid digestion and absorption in the duodenum.
bilirubin
An orange-yellow lipid pigment excreted by the liver into the bile which forms as a by-product of hemoglobin breakdown and recycyling; excess amounts in the blood or deposited in tissues produce the yellow appearance observed in jaundice.
List: the functions of bile.
(1) provides some bicarbonate ions to assist in buffering acidic chyme transferred from the stomach to the duodenum
(2) contains bile salts and acids which act as emulsifiers to assist in lipid digestion
(3) provides a route of excretion for various wastes, in particular, bilirubin from heme degradation
carbohydrate metabolism
The diverse set of biochemical reactions which occur within cells that (1) convert ingested sugars into larger carbohydrates (glycogenesis = synthesis of starch) or (2) add sugars to other large polymers such as lipids and proteins (glycosylation) or (3) create new sugar molecules from non-carbohydrate precursors (gluconeogenesis) or (4) breakdown starch (glycogenolysis) into glucose molecules or (5) breakdown glucose and other simple sugars in oxidative pathways (glycolysis, the citric acid cycle, oxidative phosphorylation) to produce useful chemical energy (ATP) and waste products (CO2 and H2O) or (6) in fermentation pathways (lactic acid production) to produce useful chemical energy (ATP); processes 1, 2 and 3 above are anabolic while processes 4, 5, and 6 are catabolic.
lipid metabolism
The diverse set of biochemical reactions which occur within cells that (1) convert ingested lipid subunits (glycerol, fatty acids, cholesterol, etc.) into larger lipids (lipogenesis = synthesis of neutral fats, di- and tri-glycerides) or (2) add lipid subunits to other large polymers such as carbohydrates and proteins or (3) create new lipid molecules from non-lipid precursors or (4) breakdown lipids (lipolysis) into lipid subunits (glycerol, fatty acids, cholesterol, etc.) or (5) breakdown lipid subunits (glycerol, fatty acids, cholesterol, etc.) in oxidative pathways (beta oxidation, glycolysis, the citric acid cycle, oxidative phosphorylation) to produce useful chemical energy (ATP) and waste products (CO2 and H2O); processes 1, 2 and 3 above are anabolic while processes 4, and 5 are catabolic.
beta oxidation
The catabolic process by which fatty acids are degraded, involving oxidation of the beta carbons and removal of successive two-carbon fragments from the fatty acid to form molecules of acetyl co-enzyme A; acetyl co-enzyme A can transfer the two-carbon acetyl groups to the the citric acid cycle in mitochondria for further oxidation to produce useful chemical energy (ATP) and waste products (CO2 and H2O).
protein metabolism
The diverse set of biochemical reactions which occur within cells that (1) convert ingested protein subunits (amino acids) into larger proteins (proteine synthesis = transcription + translation) or (2) add protein subunits (amino acids) to other large polymers such as carbohydrates and lipids or (3) create new lipid molecules from non-lipid precursors or (4) breakdown lipids (lipolysis) into protein subunits (amino acids) (transamination) or (5) breakdown protein subunits (amino acids) in oxidative pathways (deamination, glycolysis, the citric acid cycle, oxidative phosphorylation) to produce useful chemical energy (ATP) and waste products (CO2, H2O and ammonia → urea); processes 1, 2 and 3 above are anabolic while processes 4, and 5 are catabolic.
transamination
The enzyme-catalyzed transfer of an amino group (-NH2) from one compound to another; an important function of the liver hepatocytes and carried out in lesser amounts by many other cell types.
deamination
The enzyme-catalyzed removal of an amino group (-NH2) from an organic compound; an important function of the liver hepatocytes and carried out in lesser amounts by renal tubular cells and a few other cell types.
ammonia
A colorless, pungent, strongly basic, irritating volatile gas, NH3, extensively used to manufacture fertilizers and a wide variety of nitrogen-containing organic and inorganic chemicals; it is very soluble in water; it is a by-product of protein catabolism in cells, but is highly toxic and must be rapidly excreted or else converted into less toxic nitrogenous wastes, e.g., urea
urea
A highly water-soluble, non-toxic compound, CO(NH2)2, formed from the addition of two amino groups (-NH2) to a molecule of carbon dioxide (CO2) in the liver, which is the major nitrogenous waste product of protein catabolism and is the chief nitrogenous waste component of the urine.
List:the functions of the liver.
(1) carbohydrate metabolism (storage, glycogenesis, glycogenolysis, gluconeogenesis, contribute to regulation of blood glucose levels, etc.)
(2) lipid metabolism (storage, cholesterol synthesis and degradation, synthesize and process lipoproteins, etc.)
(3) protein metabolism (amino acid storage, deamination, transamination, etc.)
(4) synthesis and secretion of most plasma proteins (albumins, most alpha and beta globulins, a few (non-antibody) gamma globulins)
(5) nutrient and mineral storage (starch, some triglycerides, amino acids, oil soluble vitamins (A,D,E, K), minerals, e.g., iron, etc.)
(6) deal with toxic materials (breakdown and metabolize toxins, render toxins more water soluble to facilitate urinary excretion, store certain toxins that cannot be metabolized or modified for excretion)
(7) synthesize bile salts from "waste" cholesterol and secrete them into bile to act as lipid emulsifiers
(8) secrete bile
(9) activate vitamin D (?)
(10) phagocytosis of old, worn RBCs and, potentially, microbes
(1l) a site of fetal hematopoiesis
small intestine
The narrow, winding, longest part (~22 feet) of the gastrointestinal tract where chemical digestion is completed and where nutrients are absorbed into the blood; it extends from the pyloric sphincter to the ileocecal valve and consists of the duodenum, the jejunum, and the ileum; its wall consists of an inner simple columnar epithelium with some goblet cells, a lamina propria of loose fibrous connective tissue, a muscularis, and an outer serosa.
duodenum
The first or proximal portion of the small intestine, starting at the pyloric sphincter at the lower end of the stomach and extending to the jejunum; it is approximately one foot in length; its wall consists of an inner simple columnar epithelium with some goblet cells, a lamina propria of loose fibrous connective tissue, a muscularis, and an outer serosa; it receives bile from the liver and gall bladder via the common bile duct and pancreatic juice from the pancreatic duct; it is the main site for completion of the chemical digestion of food; it has circular folds (plicae circulares) and only a few Peyer's patches.
jejunum
The middle portion of the small intestine, starting at the duodenum and extending to the ileum; it is ~9-10 feet in length; its wall consists of an inner simple columnar epithelium with goblet cells, a lamina propria of loose fibrous connective tissue, a muscularis, and an outer serosa; it is a main site for absorption of nutrients into the bloodstream; it is larger, thicker-walled, more vascular and has more circular folds (plicae circulares) and fewer Peyer's patches than the ileum.
ileum
The final or distal portion of the small intestine, starting at the jejunum and extending to the ileocecal valve where it joins the large intestine; it is ~12 feet in length; its wall consists of an inner simple columnar epithelium with many goblet cells, a lamina propria of loose fibrous connective tissue, a muscularis, and an outer serosa; it is a site for absorption of nutrients into the bloodstream; it is smaller, thinner-walled, less vascular and has fewer circular folds (plicae circulares) and more Peyer's patches than the jejunum.
ileocecal sphincter
A thickening of the circular layer of smooth muscle at the juncture of the ileum and the large intestine which serves as a valve to control the movement of chyme from the ileum into the cecum; it is controlled by the ANS. aka - ileocecal valve
circular folds = plicae circulares
The numerous permanent crescentic folds or pleats of mucous membrane found in the small intestine, especially in the lower part of the duodenum and the jejunum; they increase the surface area available for absorption.
Labeled diagram small intestines

3 Descending (second) part of duodenum
4 Proximal ileum
5 Proximal jejunum
7 Stomach
9 Plicae circulares of jejunum
DIagram small intestines plicae histology

The mucosa M is thrown into transverse folds, the plicae circulares PC, covered with villi V. The muscularis mucosae MM lies immediately beneath the basal crypts and is difficult to see at this magnification. The vascular submucosa S extends into the plicae circularis. Beneath it lie circular CM and longitudinal LM layers of the muscularispropria and the serosa Sr. Peyer's patches P dominate the mucosa at the left of the field.
Diagram small intestines villi

Lacteals convey chyle (lymph containing lipids absorbed from the meal and packaged in chylomicrons) from the intestine to the lymphatic circulation and thereby to the thoracic duct and then to the systemic blood circulation.
villi
A minute finger-like, multicellular projection arising from a mucous membrane which serve to greatly increase the surface area of the mucous membrane; in the gastrointestinal tract, they are found in the small intestine and improve the efficiency of absorption; they are lined by a simple columnar epithelium with goblet cells; the interior contains loose fibrous connective tissue, small blood vessels, a small amount of smooth muscle, small nerve fibers, and a lacteal.
segmentation
A pattern of annular contraction of the smooth muscle layers in the walls of the small intestine which temporarily seems to cut the region affected into individual compartments; this activity serves to mix the chyme within the small intestine; it is controlled by the ANS.
List: structures which increase the surface area of the small intestine.
(1) circular folds = plicae circulares, (2) villi, (3) microvilli
List: the functions of the small intestine.
(1) complete chemical digestion of food with the combination of bile, pancreatic enzymes, and intestinal brush border enzymes
(2) neutralize acidic chyme from the stomach with bicarbonate ions secreted by the liver and biliary tree, the pancreatic duct, and the intestinal glands
(3) use segmentation contractions to mix chyme to facilitate final chemical digestion and nutrient absorption
(4) absorb the majority of nutrients, electrolytes, vitamins and minerals from the chyme as well as the water ingested with the foods and the majority of the water secreted into the GI tract during digestive gland secretions
(5) secrete mucous to lubricate and protect the stomach and intestinal linings
(6) secrete CCK, VIP, and secretin (enteroendocrine substanes) to help regulate the digestive activities of the stomach, liver, gall bladder, pancreas and intestines
1/3 Diagram and Label: structures of the small intestine that increase its surface area (folding) for digestion and absorption.

1/3 Plicae Circularies: Lining epithelium covers a series of villi which are supported by a dense fibrous connective tissue support within the plica circularis
2/3 Diagram and Label: structures of the small intestine that increase its surface area (folding) for digestion and absorption.

Intestinal Villus
3/3 Diagram and Label: structures of the small intestine that increase its surface area (folding) for digestion and absorption.

Intestinal Epithelial Lining Cell Microvilli form a Brush Border on the Luminal Surface
Diagram and Label: an intestinal villus.

lacteal
The minute intestinal lymphatic vessel, found in the interior of each intestinal villus, which receives chylomicrons, lipids absorbed from chyle and modified by the simple columnar cells which line the small intestine, these chylomicrons will be transported from the lamina propria of the small intestine to the lymphatic circulation and thereby to the thoracic duct.
microvilli
The minute hair-like or finger-like projections of the outer cell membrane which increase the surface area of the outer cell membrane of certain types of epithelial cells, e.g., the simple columnar cells which line the small intestine, the cubiodal cells of the proximal convoluted tubules of the nephron in the kidney, etc.
brush border
A thin layer of specialized cell membrane, faintly visible in the light microscope, on the apical surface of certain types of epithelial cells; in some cases, it is formed by microvilli, e.g., the simple columnar cells which line the small intestine, the cubiodal cells of the proximal convoluted tubules of the nephron in the kidney, etc.; in other cases, it is formed by cilia, e.g., the pseudostratified columnar epithelium of the respiratory tree, the cells lining the ovarian ducts, etc.
intestinal glands
The simple tubular exocrine secretory structures of the intestinal mucous membrane formed by extension of layer of simple columnar cells which line the small and large intestine; mucus-producing goblet cells, other glandular secretory cells and small numbers of enteroendocrine cells are present.
paneth cells
Specialized granular secretory cells with large acidophilic-staining nuclei found in the depths of intestinal glands in the small intestine which secrete lysozyme and other anti-bacterial compounds.
duodenal glands
The compound tubular exocrine secretory structures of the submucosa of the duodenum; they contain mucus-producing cells which release bicarbonate ions; this alkaline mucus assists in neutralizing the acidic chyme from the stomach (as does the alkaline pancreatic juice).
solitary lymphatic nodules
Isolated minute round to oval collections of lymphoid tissue (T lymphocytes and B lymphocytes, especially those capable of secreting IgA) found in the mucosa of the small and large intestines, containing only a single follicle with germinal center, if any; especially common in the cecum and appendix; an example of MALT = mucosa-associated lymphatic tissue.
aggregated lymphatic nodules
Clusters of minute unencapsulated masses of lymphoid tissue (T lymphocytes and B lymphocytes, especially those capable of secreting IgA) found in the mucosa of the small and large intestines, containing numverous follicles with germinal centers; especially common in the jejunum and ileum; an example of MALT = mucosa-associated lymphatic tissue. aka - Peyer's Patches
intestinal juice
The fluid which is secreted in small quantity in the small intestine, is highly variable in composition, containing mucus and various brush border enzymes (dextrinase, glucoamylase, maltase, lactase, sucrase, carboxypeptidase, dipeptidase, nucleosidases, phosphatases, and enterokinase) and, which, after mixing with bile and pancreatic juice, participates in the final chemical digestion of food.
brush border enzymes
The set of digestive enzymes secreted by the simple columnar cells which line the small intestine, including erepsin, dextrinase, glucoamylase, maltase, lactase, sucrase, dipeptidase, nucleosidases, phosphatases, and enterokinase.
dextrinase
A brush border enzyme secreted by the simple columnar cells which line the small intestine which catalyzes the hydrolysis of dextrins, which are starch fragments containing branching points for glucoses linked in the 1,4 position, into smaller oligosaccharides.
maltase
A brush border enzyme secreted by the simple columnar cells which line the small intestine which catalyzes the hydrolysis of the disaccharide maltose to two glucoses.
lactase
A brush border enzyme secreted by the simple columnar cells which line the small intestine which catalyzes the hydrolysis of the disaccharide lactose, "milk sugar," to one glucose and one galactose.
peptidases
A group of brush border enzymes secreted by the simple columnar cells which line the small intestine which catalyze the hydrolysis of small peptides into tripeptides, dipeptides and individual amino acids.
nucleosidases
A group of brush border enzymes secreted by the simple columnar cells which line the small intestine which catalyze the hydrolysis of nucleotides (a ribose sugar linked to a nitrogenous base) into the constituent ribose sugar and nitrogenous base.
phosphatases
Any of numerous enzymes that catalyze the hydrolysis of esters of phosphoric acid and are important in the absorption and metabolism of carbohydrates, nucleotides, and phospholipids and in the calcification of bone; in the gastrointestinal tract, the group of brush border enzymes secreted by the simple columnar cells which line the small intestine which catalyze the hydrolysis of phosphate ions from phosphorylated nutrient molecules.
List: the functions of the brush border enzymes.
1.dextrinase catalyzes the hydrolysis of dextrins, which are starch fragments containing branching points for glucoses linked in the 1,4 position, into smaller oligosaccharides
2.maltase catalyzes the hydrolysis of the disaccharide maltose to two glucoses
3.lactase catalyzes the hydrolysis of the disaccharide lactose, "milk sugar," to one glucose and one galactose
4.peptidases catalyze the hydrolysis of small peptides into tripeptides, dipeptides and individual amino acids
5.nucleosidases atalyze the hydrolysis of nucleotides (a ribose sugar linked to a nitrogenous base) into the constituent ribose sugar and nitrogenous base
6.phosphatases catalyze the hydrolysis of phosphate ions from phosphorylated nutrient molecules
carbohydrate digestion
The process by which carbohydrates are converted into simple sugars which can be absorbed and assimilated by the body; it is accomplished in the digestive system by the mechanical and enzymatic breakdown. [Note: There is a limited amount of indiscriminant acid hydrolysis of carbohydrates in the stomach due to the action of gastric HCl; carbohydrates are split into di- and mono-saccharides by salivary amylase in the mouth and pancreatic amylase in the duodenum and disaccharides are split into monosaccharides by disaccharidases (brush border enzymes) in the duodenum.]
protein digestion
The process by which proteins are converted into individual amino acids which can be absorbed and assimilated by the body; it is accomplished in the digestive system by the mechanical and enzymatic breakdown. [Note: There is a limited amount of indiscriminant acid hydrolysis of proteins in the stomach due to the action of gastric HCl; proteins are split into smaller peptides and ultimately into individual amino acids by pepsin in the stomach and pancreatic proteases (trypsin, chymotrypsin, carboxypeptidase, elastase) in the duodenum.]
lipid digestion
The process by which lipids are converted into small, absorbable lipids, (e.g., glycerol, fatty acids, cholesterol, etc.) which can be absorbed and assimilated by the body; it is accomplished in the digestive system by the mechanical and enzymatic breakdown. [Note: There is a limited amount of indiscriminant acid hydrolysis of lipids in the stomach due to the action of gastric HCl; bile from the liver and gall bladder assist in chemical digestion by emulsifying the lipids in the chyme; lipids are split into glycerol and fatty acids by lingual lipase in the mouth and pancreatic lipase and phospholipase in the duodenum.]
micelles
The submicroscopic aggregation of molecules held together by noncovalent bonds, forming a suspended droplet in a colloidal system; in the gastrointestinal tract, the form lipids take, when emulsified by an external layer of bile salts and acids in the chyme, which can be absorbed by the intestinal lining epithelial cells.
nucleic acid digestion
The process by which nucleic acids are converted into small, absorbable components, (e.g., pentose sugars, nitrogenous bases, phosphate ions) which can be absorbed and assimilated by the body; it is accomplished in the digestive system by the mechanical and enzymatic breakdown. [Note: There is a limited amount of indiscriminant acid hydrolysis of nucleic acids in the stomach due to the action of gastric HCl; nucleic acids are split into nucleotides by pancreatic nucleases and nucleotides are split into smaller constituents by nucleotidases (brush border enzymes) in the duodenum.]
electrolytes
Any of various charged ions, such as sodium, potassium, or chloride, etc., required by cells to regulate the electric charge and flow of water molecules across the cell membrane; they play many additional roles in the biochemistry of metabolism.
Describe: the absorption of carbohydrates, amino acids, and lipids.
Carbohydrates (monosaccharides) and tripeptides, dipeptides and individual amino acids are transported across the cell membranes (first outer and then inner) of the intestinal lining epithelial cells by a variety of passive and active transport mechanisms (membrane protein transporters) to the interstitial fluid where they are then transferred to the blood stream of the hepatic portal drainage system and routed to the liver for processing and storage. [Note: Only the shorter chain fatty acids are able to diffuse along the same pathway to reach the liver.]
Most lipids are aggregated in micelles in the chyme of the small intestine. As individual cholesterol, phospholipids, glycerol and long chain fatty acid molecules are liberated from the micelles, they diffuse into the intestinal lining epithelial cells. Inside these cells, these lipids are repackaged into aggregates, chylomicrons, which are emulsified by a single layer of phospholipids and apolipoproteins. These chylomicrons are then secreted into the interstitial fluid where they are transferred to the lymphatic drainage by first entering the lacteal of an intestinal villus. They are then routed to the systemic circulation and on to adipose tissues throughout the body for processing and storage.
lipoproteins
Any of the series of soluble lipid-protein complexes which are transported in the blood; each aggregate particle consists of a spherical hydrophobic core containing triglycerides and cholesterol esters surrounded by an amphipathic monolayer of phopholipids, cholesterol and apolipoproteins; classes of lipoproteins include chylomicrons, very low-density lipoproteins (VLDL), intermediate-density lipoproteins (IDL), low-density lipoproteins (LDL), and high-density lipoproteins (HDL).
chylomicrons
The class of largest diameter soluble lipid-protein complexes which the lowest in density (mass to volume ratio); their composition is ~2% apolipoproteins, ~5% cholesterol, and ~93% triglycerides and phospholipids; their normal role is to be synthesized by the intestinal mucosal cells to transport dietary (exogenous) triglycerides and other lipids from the intestines via the lacteals and lymphatic system to the systemic circulation to the adipose tissue and liver for storage and use; they are only present in the blood in significant quantities after the digestion of a meal.
low-density lipoproteins (LDL)
The class of large diameter soluble lipid-protein complexes which the fourth lowest in density (mass to volume ratio); their composition is ~25% apolipoproteins, ~45% cholesterol, and ~30% triglycerides and phospholipids; their normal role is to transport cholesterol and other lipids from the liver and intestines to the tissues for use; elevated levels of LDL are associated with increased risk of cardiovascular disease. nickname - bad cholesterol
high-density lipoproteins (HDL)
The class of small diameter soluble lipid-protein complexes which the highest in density (mass to volume ratio); their composition is ~45% apolipoproteins, ~25% cholesterol, and ~30% triglycerides and phospholipids; their normal role is to transport cholesterol and other lipids from the tissues to the liver for disposal; elevated levels of HDL are associated with decreased risk of cardiovascular disease
very low-density lipoproteins (VLDL)
The class of very large diameter soluble lipid-protein complexes which the second lowest in density (mass to volume ratio); their composition is ~10% apolipoproteins, ~40% cholesterol, and ~50% triglycerides and phospholipids; their normal role is to transport triglycerides and other lipids from the liver and intestines to the tissues for use; elevated levels of VLDL are associated with some increased risk of cardiovascular disease.
Diagram: lipoprotein

Diagram: large intestine

large intestine = colon
The portion of the gastrointestinal tract which extends from the ileum to the anus, forming an arch in the abdominal cavity around the convolutions of the small intestine and including the cecum, appendix, ascending colon, transverse colon, descending colon, sigmoid colon, rectum, and anal canal; it is a muscular membranous tube whose wall consists of an inner simple columnar epithelium, a lamina propria of loose fibrous connective tissue, a muscularis, and a serosa; it functions to complete the final absorption (less than 5%) of nutrients from food, to reabsorb the water added to the chyme by the secretions of the digestive system, and to compress and compact the remaining wastes into feces, which it stores and excretes. nickname - large bowel
mesocolon
The portion of the abdominal mesentery which holds the lower colon against the dorsal abdominal wall.
cecum
The large blind pouch forming the beginning of the large intestine in the lower right quadrant of the abdominal cavity, and from which the appendix extends; its wall consists of an inner simple columnar epithelium, a lamina propria of loose fibrous connective tissue, a muscularis, and a serosa; it receives chyme from the small intestine via the ileocecal valve.
appendix
A vestigial process which extends from the lower end of the cecum and which resembles a small worm-like pouch; its wall consists of an inner simple columnar epithelium, a lamina propria of loose fibrous connective tissue, a muscularis, and a serosa; it has no significant function.
ascending colon
The part of the large intestine which ascends from the cecum to the transverse colon on the right side of the abdominal cavity; its wall consists of an inner simple columnar epithelium, a lamina propria of loose fibrous connective tissue, a muscularis, and a serosa; it functions to complete the final absorption (less than 5%) of nutrients from food, to reabsorb the water added to the chyme by the secretions of the digestive system, and to compress and compact the remaining wastes into feces.
transverse colon
The part of the large intestine which lies across the upper part of the abdominal cavity; it begins at the right colic flexure as a continuation of the ascending colon and ends at the left colic flexure where the descending colon begins; its wall consists of an inner simple columnar epithelium, a lamina propria of loose fibrous connective tissue, a muscularis, and a serosa; it functions to complete the final absorption (less than 5%) of nutrients from food, to reabsorb the water added to the chyme by the secretions of the digestive system, and to compress and compact the remaining wastes into feces.
descending colon
The part of the large intestine which descends from the transverse colon to the sigmoid colon on the left side of the abdominal cavity; its wall consists of an inner simple columnar epithelium, a lamina propria of loose fibrous connective tissue, a muscularis, and a serosa; it functions to complete the final absorption (less than 5%) of nutrients from food, to reabsorb the water added to the chyme by the secretions of the digestive system, and to compress and compact the remaining wastes into feces.
sigmoid colon
The S-shaped section of the large intestine between the descending colon and the rectum on the lower left side of the abdominal cavity; its wall consists of an inner simple columnar epithelium, a lamina propria of loose fibrous connective tissue, a muscularis, and a serosa; it functions to complete the final absorption (less than 5%) of nutrients from food, to reabsorb the water added to the chyme by the secretions of the digestive system, and to compress and compact the remaining wastes into feces, which it stores prior to excretion.
taeniae coli
The set of three ribbon-like bands of smooth muscle which form the interrupted external layer of the muscularis of the large intestine; they play a role in haustral churning, peristalsis, and mass peristalsis movements in the large intestine.
haustra
The series of shallow pouches which form the gross structure of the wall of the large intestine; contraction of the smooth muscle in the walls of these pouches assists in extracting the water added to the chyme by the secretions of the digestive system, and compresses and compacts the remaining wastes into feces, a process called haustral churning.
epiploic appendages
Small irregular pouches filled with adipose tissue which are situated along the outer wall of the large intestine beneath the visceral peritoneum.
right colic flexure
The bend in the large intestine which is found at the juncture of the ascending and transverse portions.
left colic flexure
The bend in the large intestine which is found at the juncture of the transverse and descending portions.
rectum
The terminal portion of the large intestine, extending from the sigmoid colon to the anal canal; its wall consists of an inner simple columnar epithelium, a lamina propria of loose fibrous connective tissue, a muscularis, and a serosa; it functions to reabsorb the water added to the chyme by the secretions of the digestive system, and to compress and compact the remaining wastes into feces, which it stores prior to excretion.
rectal valves
Large transverse folds in the mucosal wall of the rectum which support the weight of the feces to prevent premature release of feces, especially during bouts of flatus (gas expulsion).
anal canal
The terminal section of the rectum where feces are stored prior to excretion; its wall consists of an inner simple columnar epithelium which changes to a stratified sqaumous epithelium in the distal portion, a lamina propria of loose fibrous connective tissue, a muscularis, and a serosa; it discharges feces through the anus with powerful peristaltic waves of contraction.
anus
The opening at the lower end of the large intestine through which solid waste is eliminated from the body by the process of defecation; its wall consists of an inner simple columnar epithelium which changes to a stratified sqaumous epithelium in the distal portion, a lamina propria of loose fibrous connective tissue, a muscularis, and a serosa; its mucous membrane merges with the skin of the perineum exteriorly.
external anal sphincter
The outer rings or bands of skeletal muscle extending from the coccyx to the central tendinous part of the perineum and surrounding the anus immediately beneath the skin; their contraction and relaxation are under voluntary control and are stimulated to initiate or control defecation.
internal anal sphincter
The inner rings of smooth muscle formed by the thickening of the circular smooth muscle of the rectum; their contraction and relaxation are under involuntary control; its action contributes to the control of defecation.
List: structures which increase the surface area of the large intestine.
haustrae (Note: technically also the rectal valves, but that is not their purpose)
gastroileal reflex
One of the visceral reflexes involved in the regulation of digestion in which sensory signals from gastric distension as a meal is ingested stimulate increased motility = peristalsis in the ileum and relaxation of the ileocecal valve; therefore, chyme moves through the ileocecal valve into the large intestine; it is mediated by gastrin release from G cells in the stomach and possibly also supported by parasympathetic autonomic motor impulses.
haustral churning
Slow segmenting movements within the large intestine; as each haustral pouch is filled with chyme, the walls contract which assists in reabsorbing the water added to the chyme by the secretions of the digestive system, and compressing and compacting the remaining wastes into feces; after the compaction movement, the chyme/feces is slowly moved forward to the next haustral pouch; it is mediated by parasympathetic autonomic motor impulses.
mass peristalsis
Forcible peristaltic movements of short duration, occurring only three or four times a day, which move the contents of the large intestine from one division to the next, as from the ascending to the transverse colon; it is mediated by parasympathetic autonomic motor impulses; it is often stimulated by gastric filling, the gastrocolic reflex.
gastrocolic reflex
One of the visceral reflexes involved in the regulation of digestion in which sensory signals from distension of the stomach stimulate a mass peristaltic (coordinated, rhythmic, smooth muscle contraction which acts to force food through the digestive tract) movement of the colon that often occurs fifteen to thirty minutes after eating a meal; it is mediated by parasympathetic autonomic motor impulses.
feces
The excrement discharged from the intestines, consisting of bacteria, exfoliated from the intestines, secretions, chiefly of the liver and a small amount of food residue. aka - stool
dietary fiber
The bulky residue of food, primarily cellulose, which cannot be broken down by enzymes in the small intestine of the digestive system; almost all natural fiber comes from plants; although fiber has little nutritional value, it offers other health benefits; people with a high-fiber diet experience lower rates of cancer because food passes through the body more rapidly; by adding bulk to the diet, fiber also prevents constipation, minimizes intestinal disorders, and may serve as an aid in dieting. [Note: The benefits of consuming foods high in fiber include lower blood levels of cholesterol and triglycerides. Foods high in fiber include legumes, green, leafy vegetables, whole fruits, and unrefined foods such as bran and sprouted seeds.] aka - roughage
defecation reflex
One of the visceral reflexes involved in the regulation of digestion in which sensory signals from distension of the rectum as feces accumulate there (after peristalsis moves them from the sigmoid colon) stimulates the involuntary relaxation of the internal anal sphincter; if voluntary relaxation of the external anal sphincter follows, feces will be discharged; if there is no voluntary relaxation of the external anal sphincter, the feces move back to the sigmoid colon until the next peristaltic wave; it is mediated by parasympathetic autonomic motor impulses.
DIagram: defecation reflex

List:the functions of the large intestine.
(1) absorption of residual water and electrolytes from digestion
(2) absorption of any residual nutrients from food as well as the few nutrients and vitamins (B complex and K) generated by intestinal normal flora metabolism
(3) conversion of remnants of chyme into feces by compaction (haustral churning)
(4) addition of mucus to feces to lubricate feces for movement through the large intestine
(5) storage of feces
(6) expulsion of feces = defecation