Path 17 Flashcards


Set Details Share
created 6 days ago by moldyvoldy
updated 2 days ago by moldyvoldy
show moreless
Page to share:
Embed this setcancel
COPY
code changes based on your size selection
Size:
X
Show:

1

Gastric ulcers present with pain that is _____ by meals (eating stimulates _____ secretion in the stomach).

Duodenal ulcers characteristically present with pain that _____ with meals (eating stimulates _____ secretion in the duodenum).

exacerbated, acid

improves, bicarb

2

What hereditary disease is characterized by an inherited mutation in one copy of the APC gene?

_____ _____ _____ - inherited APC mutation (chromosome _____)

Familial Adenomatous Polyposis

5

3

Familial Adenomatous Polyposis:

Thousands of _____ develop in _____ - high risk for _____ transformation

polyps, colon, malignant

4

What is the most common cause of Vitamin B12 deficiency?

_____ _____ gastritis

Chronic autoimmune gastritis

5

Chronic autoimmune gastritis leads to destruction of parietal cells which secrete _____ _____ (_____ anemia)

intrinsic factor, pernicious

6

Achalasia represents damage to the _____ cells of the _____ plexus.

ganglion

myenteric

7

Which type of hypersensitivity is responsible for chronic autoimmune gastritis?
A. Type I (IgE-mediated)
B. Type II (antibody-mediated)
C. Type III (immune complex-mediated)
D. Type IV (T-cell mediated)

D. Type IV (T-cell mediated)

8

Intrinsic factor deficiency in chronic autoimmune gastritis is best explained by:
A. Direct antibody-mediated destruction of intrinsic factor
B. Loss of parietal cells due to T-cell–mediated damage
C. Increased degradation of intrinsic factor in the intestine
D. Decreased secretion from chief cells

B. Loss of parietal cells due to T-cell–mediated damage

9

Why are anti-intrinsic factor antibodies detected in chronic autoimmune gastritis?
A. They initiate the disease process
B. They are produced secondary to parietal cell destruction
C. They directly activate T cells
D. They prevent vitamin B12 absorption by binding ileal receptors

B. They are produced secondary to parietal cell destruction

10

In chronic autoimmune gastritis, what is the role of anti-parietal cell antibodies?
A. Directly destroy parietal cells
B. Activate complement to lyse gastric mucosa
C. Are a consequence of parietal cell damage
D. Prevent T-cell activation

C. Are a consequence of parietal cell damage

11

inner layers of the tract protrude through the muscular layer, meckel or zenker?

zenker

12

A 70-year-old man presents with dysphagia, regurgitation of undigested food, and chronic cough. Imaging reveals a posterior pharyngeal outpouching. Which muscle is primarily responsible for forming a sphincter and contributing to the pathophysiology?
A. Thyropharyngeus
B. Stylopharyngeus
C. Cricopharyngeus
D. Palatopharyngeus

C. Cricopharyngeus

this is Zenker's diverticulum

13

In achalasia, LES tone is typically:
A. Decreased
B. Normal
C. Increased
D. Absent

C. Increased

14

A patient with Zenker diverticulum undergoes surgical treatment. Which of the following interventions directly addresses the underlying cause of this condition?
A. Esophageal dilation of the lower esophageal sphincter
B. Resection of the diverticulum alone
C. Cricopharyngeal myotomy
D. Fundoplication

C. Cricopharyngeal myotomy

15

Zenker: Herniation of ____ through a muscular defect due to increased ____ pressure

mucosa

intraluminal

16

An elderly patient presents with dysphagia, regurgitation of undigested food, halitosis, and recurrent aspiration pneumonia. What is the most appropriate diagnostic test to confirm this condition?
A. Barium contrast esophagogram
B. CT scan of the neck
C. Upper endoscopy (EGD)
D. Esophageal manometry

A. Barium contrast esophagogram

Zenker diverticulum is suspected.

17

Primary achalasia causes inability to relax the LES because of:
A. Muscular rupture
B. Inflammatory fibrosis only
C. Ganglion cell degeneration
D. Vagal hyperstimulation

C. Ganglion cell degeneration

18

In Chagas disease, secondary achalasia is caused by destruction of the:
A. Submucosal plexus only
B. Serosal mesothelium
C. Myenteric plexus
D. Muscularis mucosae

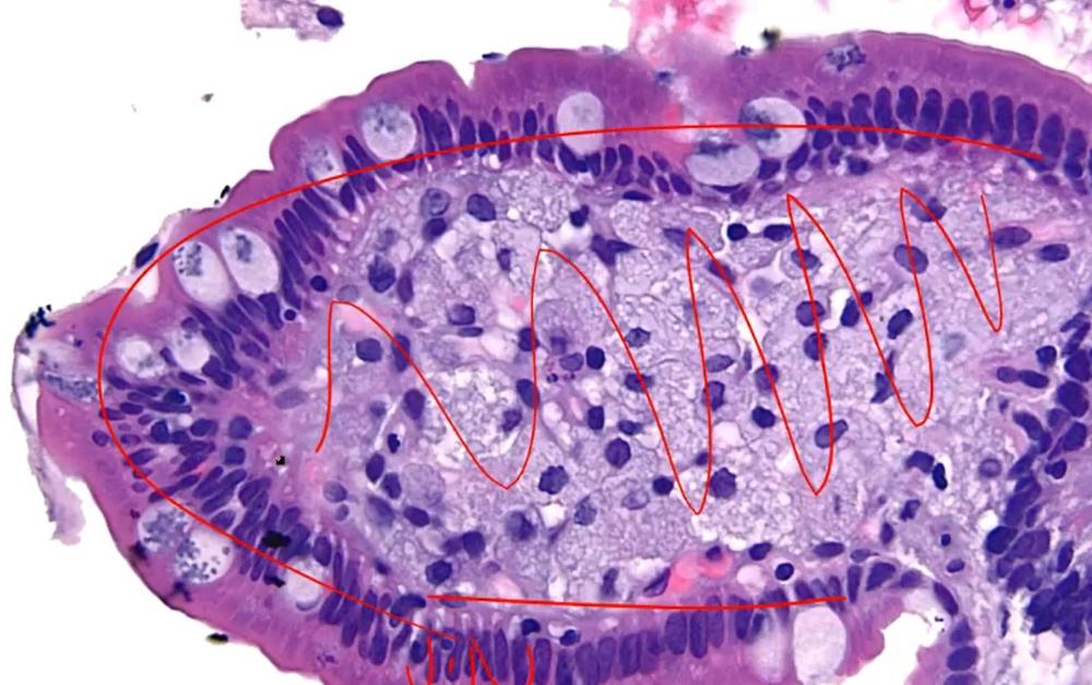
C. Myenteric plexus

19

What demographic is most commonly affected by Zenker diverticulum?

_____ _____

elderly males

20

Between Mallory-Weiss syndrome and esophageal varices, which presents with painful hematemesis and which presents with painless hematemesis?

Painful hematemesis: mallory-weiss syndrome

Painless hematemesis: esophageal varices

21

Secondary achalasia in Chagas disease leads to failure of peristalsis and:
A. Esophageal dilatation
B. Gastric volvulus
C. Pyloric closure
D. Colonic ischemia

A. Esophageal dilatation

22
card image

what is this?

FAP

23

A patient has achalasia, alacrima, and ACTH-resistant adrenal insufficiency. This syndrome is:
A. Allgrove syndrome
B. MEN 2A
C. Cowden syndrome
D. Peutz-Jeghers syndrome

A. Allgrove syndrome

24

The most feared complication of Boerhaave syndrome is:
A. Barrett metaplasia
B. Severe mediastinitis
C. Tracheoesophageal fistula
D. Portal hypertension

Boerhaave syndrome

25

What type hernias are found in about half of patients with Mallory-Weiss syndrome and are considered a strong predisposing factor?

hiatal hernias

26

What test/imaging study is used to diagnose a Mallory-Weiss tear? _____

Endoscopy

27

Proximal esophageal atresia with the distal esophagus arising from the trachea.

TE fistula

28

What is the likely diagnosis in a patient with alcohol use disorder who presents with epigastric pain and hematemesis following multiple episodes of vomiting (normal X-ray)?

Mallory-Weiss tear

29

What are dilated submucosal veins in the lower 1/3rd of the esophagus

esophageal varices

30

esophageal varices rise secondary to _____ hypertension

portal

31

_____ is characterized by disordered esophageal motility due to inability to relax the _____ esophageal sphincter

Achalasia

lower

32

Dysphagia for both solids and liquids

Putrid breath

High LES pressure on esophageal manometry

Bird-beak sign on barium swallow study

achalasia

33

A 45-year-old man presents after repeated episodes of forceful vomiting with hematemesis. He is hemodynamically stable, and the bleeding stops spontaneously. Which of the following best describes the underlying lesion?
A. Transmural rupture of the distal esophagus
B. Linear mucosal tear at the gastroesophageal junction
C. Variceal rupture due to portal hypertension
D. Full-thickness gastric perforation

B. Linear mucosal tear at the gastroesophageal junction

mallory-weiss

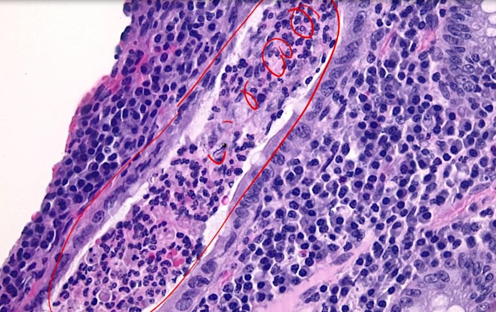
34

A patient presents with chest pain and subcutaneous emphysema after severe vomiting. Imaging reveals pneumomediastinum. Which of the following best describes the underlying lesion?
A. Transmural rupture of the distal esophagus
B. Linear mucosal tear at the gastroesophageal junction
C. Variceal rupture due to portal hypertension
D. Full-thickness gastric perforation

A. Transmural rupture of the distal esophagus

Boerhaave syndrome

35

A patient presents with hematemesis following excessive alcohol intake and vomiting. The bleeding is bright red and resolves without intervention. Which diagnosis is most likely?
A. Boerhaave syndrome
B. Esophageal varices
C. Mallory-Weiss tear
D. Peptic ulcer disease

C. Mallory-Weiss tear

36

delete

delete

37

What is management of tracheoesophageal fistula?

surgery

38

Baby is born with respiratory distress and excess drooling

_____ _____

TE fistula

39

GERD: Reflux of acid from the stomach due to ____ ____ in the ____ esophageal sphincter

reduced tone

lower

40

A newborn presents with excessive drooling, choking during feeds, and inability to pass a nasogastric tube into the stomach. Imaging reveals air in the stomach and intestines. Which of the following is the most likely anatomical abnormality?
A. Isolated esophageal atresia without fistula
B. H-type tracheoesophageal fistula without atresia
C. Proximal esophageal atresia with distal tracheoesophageal fistula
D. Distal esophageal atresia with proximal tracheoesophageal fistula

C. Proximal esophageal atresia with distal tracheoesophageal fistula

41

A 58-year-old man with a long history of GERD presents with worsening reflux symptoms and intermittent dysphagia. A hiatal hernia is suspected. What is the most appropriate initial diagnostic test?
A. Esophageal manometry
B. Upper endoscopy (EGD)
C. Barium swallow study
D. CT scan of the chest

C. Barium swallow study

42

A patient with chronic GERD is found to have a hiatal hernia on imaging. After initial evaluation, which test is most appropriate to assess for complications such as Barrett esophagus?
A. Esophageal manometry
B. Barium swallow
C. Upper endoscopy (EGD)
D. Abdominal ultrasound

C. Upper endoscopy (EGD)

43

Gastroesophageal reflux disease (GERD) may damage the ____ of teeth

enamel

44

Gastroesophageal reflux disease (GERD) may present with chronic cough and adult-onset _____

asthma

45

Gastroesophageal reflux disease (GERD) often presents with _____, which can mimic cardiac chest pain

heartburn

46
card image

what is this?

barrett's esophagus

47

A huge risk factor for esophageal adenocarcinoma involves ____ ____

barrett's esophagus

48

_____ of the esophagus is a malignant proliferation of glands

adenocarcinoma

49

acidic damage to stomach mucosa: ____ gastristis

acute gastristis

50

Dysphagia, Iron Deficiency Anemia, and Esophageal webs are the triad characteristic of which syndrome?

Plummer-Vinson Syndrome (Plumbers DIE)

51

Neonate with extra-abdominal intestines; to the right of the umbilicus and not contained in a membrane?
A. Omphalocele
B. Gastroschisis
C. Umbilical hernia
D. Diaphragmatic hernia

B. Gastroschisis

52

A newborn has a midline defect with organs in a sac. What embryologic failure occurred?
A. Failure of lateral fold fusion
B. Failure of intestinal return to cavity
C. Failure of mesoderm differentiation
D. Failure of cloacal partitioning

A. Failure of lateral fold fusion

omphalocele

53

often presents with a palpable olive -like mass in the epigastric region of the abdomen

pyloric stenosis

54

is a congenital hypertrophy of the pyloric smooth muscle

pyloric stenosis

55

Which antibiotic used in infants is associated with hypertrophic pyloric stenosis?

Erythromycin

56

A 3-week-old infant presents with progressive, forceful vomiting after feeds. The vomitus is nonbilious, and the parents report increased hunger after episodes. On exam, visible peristaltic waves are noted across the abdomen. Which of the following additional findings is most likely on physical examination?
A. Diffuse abdominal tenderness with guarding
B. Palpable olive-like mass in epigastrium
C. Absent bowel sounds in all quadrants
D. Hepatosplenomegaly with abdominal distension

B. Palpable olive-like mass in epigastrium

this is pyloric stenosis

57

A patient is diagnosed with gastric cancer characterized by diffuse infiltration of the stomach wall and desmoplastic reaction causing linitis plastica. Which of the following risk factor profiles is most consistent with this condition?
A. Chronic Helicobacter pylori infection with intestinal metaplasia
B. High intake of nitrosamines from smoked foods
C. Blood type A with chronic atrophic gastritis
D. No association with Helicobacter pylori infection

D. No association with Helicobacter pylori infection

diffuse gastritis

58

acidic damage to stomach mucosa

acute gastristis

59

chronic inflammation of stomach mucosa that leads to intestinal metaplasia

chronic gastristis

60
card image

chronic or acute gastritis etiologies?

acute gastritis

61

A 58-year-old woman has fatigue and glossitis. Labs show macrocytic anemia and elevated gastrin. Endoscopy shows fundic mucosal atrophy. Which mechanism best explains her condition?
A. T-cell destruction of parietal cells
B. Urease-mediated injury of antrum
C. NSAID-induced prostaglandin depletion
D. Zollinger-Ellison acid hypersecretion

A. T-cell destruction of parietal cells

this is chronic autoimmune gastritis

62

A 49-year-old man has chronic epigastric pain. Gastric biopsy shows intestinal metaplasia in the antrum. Urea breath test is positive. What cancer risk is most increased?
A. Diffuse-type gastric adenocarcinoma
B. Intestinal-type gastric adenocarcinoma
C. Esophageal squamous cell carcinoma
D. Gastrointestinal stromal tumor

B. Intestinal-type gastric adenocarcinoma

this is chronic h pylori gastritis

63

A patient with chronic gastritis is found to have achlorhydria, high gastrin, and anti–intrinsic factor antibodies. Which additional finding is most likely?
A. Antral-predominant active inflammation
B. Megaloblastic anemia from B12 deficiency
C. Positive stool antigen only
D. Duodenal ulcer from excess acid

B. Megaloblastic anemia from B12 deficiency

64

A 45-year-old man has recurrent dyspepsia and a positive stool antigen test. Gastric biopsy shows chronic inflammation involving the antrum. Which treatment is most appropriate?
A. Vitamin B12 and iron
B. High-dose steroids and biopsy
C. PPI plus clarithromycin and amoxicillin
D. H2 blocker monotherapy alone

C. PPI plus clarithromycin and amoxicillin

this is chronic h pylori gastritis

65

A patient has chronic gastritis with biopsy showing intestinal metaplasia. Which additional finding would most strongly favor autoimmune gastritis over chronic H pylori gastritis?
A. Positive urea breath test
B. Antral-predominant mucosal inflammation
C. Epigastric pain with ulceration
D. Anti-parietal cell antibodies

D. Anti-parietal cell antibodies

66

MALT lymphoma risk, what type of gastritis?

chronic h pylori gastritis

67

A 32-year-old man has recurrent epigastric pain that improves shortly after meals. Endoscopy shows an ulcer in the proximal duodenum. Which cause is most likely?
A. Helicobacter pylori infection
B. Chronic NSAID-associated injury
C. Gastric reflux into esophagus
D. Left gastric artery ischemia

A. Helicobacter pylori infection

duodenal ulcer

68

A 61-year-old woman has epigastric pain that becomes worse with meals. Endoscopy shows an ulcer along the lesser curvature of the stomach. Which factor most likely caused this ulcer?
A. Hypertrophy of Brunner glands
B. Excess bicarbonate production
C. Long-term NSAID use
D. Elevated gastrin only

C. Long-term NSAID use

gastric ulcer- remember that this one becomes worse with meals

69

What ulcer? diagnostic endoscopic biopsy shows ulcer with hypertrophy of Brunner glands!

duodenal ulcer

70

A patient with a posterior duodenal ulcer suddenly develops hematemesis and signs of shock. Which structure was most likely eroded?
A. Splenic artery posteriorly
B. Left gastric artery
C. Gastroduodenal artery
D. Inferior pancreaticoduodenal vein

C. Gastroduodenal artery

71

A patient is diagnosed with a gastric ulcer. Which feature most strongly distinguishes it from a typical duodenal ulcer?
A. Usually improves after meals
B. Never requires biopsy
C. Higher malignant potential
D. Commonly caused by Zollinger-Ellison

C. Higher malignant potential

72

duodenal ulcer is more present in anterior or posterior?

anterior

73

which ulcer is more likely to cause pancreatitis?

duodenal

74

A 64-year-old man presents with weight loss and early satiety. Endoscopy reveals a large, irregular gastric ulcer with heaped-up margins along the lesser curvature of the antrum. Which type of gastric carcinoma is most likely?
A. Diffuse-type carcinoma with signet ring cells
B. Intestinal-type carcinoma forming glandular structures
C. Gastrointestinal stromal tumor with spindle cells
D. Primary gastric lymphoma from B cells

B. Intestinal-type carcinoma forming glandular structures

75

A patient is diagnosed with gastric adenocarcinoma located along the lesser curvature of the antrum. Which of the following risk factors is most strongly associated with this subtype?
A. Chronic autoimmune gastritis with achlorhydria
B. Intestinal metaplasia and nitrosamine exposure
C. CDH1 mutation causing E-cadherin loss
D. Epstein-Barr virus gastric infection

B. Intestinal metaplasia and nitrosamine exposure

76

A 55-year-old patient presents with early satiety and weight loss. Endoscopy shows a diffusely thickened, rigid stomach wall without a discrete mass. Biopsy reveals malignant cells with mucin pushing the nucleus to the periphery. What is the most likely diagnosis?
A. Intestinal-type gastric adenocarcinoma forming glands
B. Diffuse-type gastric carcinoma with signet ring cells
C. Gastrointestinal stromal tumor with spindle cells
D. Primary gastric lymphoma from mucosal lymphoid tissue

B. Diffuse-type gastric carcinoma with signet ring cells

this is diffuse type of gastric carcinoma

77
card image

what is this?

signet ring cell

78

A patient is diagnosed with gastric cancer characterized by diffuse infiltration of the stomach wall and desmoplastic reaction causing linitis plastica. Which of the following risk factor profiles is most consistent with this condition?
A. Chronic Helicobacter pylori infection with intestinal metaplasia
B. High intake of nitrosamines from smoked foods
C. Blood type A with chronic atrophic gastritis
D. No association with Helicobacter pylori infection

D. No association with Helicobacter pylori infection

79

_____ carcinoma presents late with weight loss, abdominal pain, anemia, _____ satiety

gastric

early

80

gastric carcinoma can spread to lymph nodes, such as the _____ supraclavicular node (_____ node)

left supraclavicular node (Virchow node)

81

Which type of gastric carcinoma is associated with a Sister Mary Joseph nodule? Kruckenburg?

Intestinal or Diffuse

Intestinal

Diffuse

82
card image

duodenal atresia

83
card image

duodenal atresia

84
card image

meckel diverticulum

85

Meckel diverticulum most commonly occurs in the:
A. Duodenum
B. Jejunum
C. Sigmoid colon
D. Ileum

D. Ileum

86

The most common site of acquired diverticula (Pseudodiverticula) is the:
A. Transverse colon
B. Cecum
C. Ileum
D. Sigmoid colon

D. Sigmoid colon

87

Congenital hypertrophic pyloric stenosis is more common in:
A. Males
B. Females
C. Turner patients only
D. Premature infants only

A. Males

88

Which syndrome increases risk of hypertrophic pyloric stenosis?
A. Marfan syndrome
B. Turner syndrome
C. Down syndrome
D. Noonan syndrome

A. Marfan syndrome

89

Which trisomy is linked to hypertrophic pyloric stenosis?
A. Trisomy 13
B. Trisomy 21
C. Trisomy 18
D. Trisomy 16

C. Trisomy 18

90

Which antibiotic exposure in the first 2 weeks increases pyloric stenosis risk?
A. Gentamicin
B. Azithromycin
C. Amoxicillin
D. Metronidazole

B. Azithromycin

91

Another antibiotic linked to pyloric stenosis risk is:
A. Erythromycin
B. Vancomycin
C. Ceftriaxone
D. Doxycycline

A. Erythromycin

92

intussusception: _____ of the bowel

telescoping

93

A 2-year-old child develops episodic abdominal pain and vomiting. Imaging suggests that one bowel segment has invaginated into the immediately distal segment after a wave of peristalsis. Which diagnosis is most likely?

A. Volvulus
B. Intussusception
C. Adhesion
D. Incarcerated hernia

B. Intussusception

94

A 70-year-old patient presents with acute abdominal distention, obstipation, severe pain, and signs of bowel ischemia. Imaging suggests twisting of bowel around its mesenteric attachment. Which diagnosis is most likely?

A. Intussusception
B. Volvulus
C. Adhesion
D. Hernia

B. Volvulus

95

The pathophysiology of volvulus most directly causes:

A. Secretory and osmotic loss
B. Mucosal and lymphatic failure
C. Luminal and vascular compromise
D. Serosal and neural inflammation

C. Luminal and vascular compromise

96
card image

volvulus

97

Once the bowel segment becomes trapped in intussusception, ongoing peristalsis typically causes it to:

A. Retract spontaneously
B. Pull mesentery along
C. Perforate immediately
D. Untwist at the base

B. Pull mesentery along

98
card image

intussusception

99

A pathology specimen shows necrosis limited to the mucosa and not extending beyond the muscularis mucosae. This is best classified as:

A. Mural infarction
B. Transmural infarction
C. Mucosal infarction
D. Serosal infarction

C. Mucosal infarction

100

Infarction involving the mucosa and submucosa is best termed:

A. Mural infarction
B. Mucosal infarction
C. Transmural infarction
D. Mesenteric strangulation

A. Mural infarction

101

Necrosis involving all layers of the intestinal wall, from the mucosa to the serosa.

A. Mucosal infarction
B. Mural infarction
C. Transmural infarction
D. Focal serosal necrosis

C. Transmural infarction

102

If untreated, intussusception may progress to:

A. Fistula and pseudomembranes
B. Dysentery, malabsorption, infarction
C. Obstruction, vessel compression, infarction
D. Ascites, jaundice, varices

C. Obstruction, vessel compression, infarction

103

Lactose intolerance is caused by decreased function of the _____ enzyme found in brush border enterocytes

lactase

104
card image

celiac disease

105
card image

celiac disease

106

A 28-year-old man presents with chronic diarrhea, weight loss, and fatigue. He also reports an intensely pruritic, blistering rash on his elbows and knees. Skin biopsy shows granular IgA deposition at the tips of dermal papillae. Which of the following is the most likely associated condition?
A. Psoriasis with autoimmune keratinocyte proliferation
B. Dermatitis herpetiformis associated with celiac disease
C. Pemphigus vulgaris with anti-desmoglein antibodies
D. Bullous pemphigoid with subepidermal blistering

B. Dermatitis herpetiformis associated with celiac disease

107
card image

celiac disease

108
card image

celiac disease

109

A 24-year-old woman develops chronic diarrhea, bloating, and weight loss after eating wheat-containing foods. Small-bowel biopsy suggests immune-mediated enteropathy. Which diagnosis is most likely?

A. Environmental enteropathy
B. Celiac disease
C. Autoimmune enteropathy
D. Crohn disease

B. Celiac disease

110

In celiac disease, gliadin peptides presented by HLA-DQ2/DQ8 primarily activate which immune cell?

A. CD8+ T cells
B. Plasma cells
C. CD4+ T cells
D. Neutrophils

C. CD4+ T cells

111

Celiac disease most commonly involves which regions of the GI tract?

A. Duodenum and jejunum
B. Ileum and cecum
C. Stomach and duodenum
D. Colon and rectum

A. Duodenum and jejunum

112

The malabsorption in celiac disease is most directly caused by:

A. Pancreatic enzyme deficiency
B. Ileal bile salt loss
C. Lymphatic obstruction
D. Loss of brush border

D. Loss of brush border

113

The most sensitive serologic test for celiac disease is measurement of IgA antibodies against:

A. Endomysium
B. Tissue transglutaminase
C. Gliadin peptidase
D. Deamidated gluten

B. Tissue transglutaminase

114

The most common malignancy associated with celiac disease is:

A. Colonic adenocarcinoma
B. Gastric lymphoma
C. Enteropathy-associated T-cell lymphoma
D. Pancreatic adenocarcinoma

C. Enteropathy-associated T-cell lymphoma

115
card image

tropical sprue

116

A 35-year-old man returns from the Caribbean with chronic diarrhea, weight loss, and fatigue following an episode of infectious gastroenteritis. Biopsy shows mucosal damage predominantly in the jejunum and ileum. Which of the following is the most likely diagnosis?
A. Celiac disease with villous atrophy
B. Tropical sprue responding to antibiotics
C. Crohn disease with transmural inflammation
D. Lactose intolerance with enzyme deficiency

B. Tropical sprue responding to antibiotics

117

A 52-year-old man presents with chronic diarrhea, weight loss, and bulky, foul-smelling stools. He also reports migratory joint pain. Small-bowel biopsy shows foamy macrophages in the lamina propria that stain positive with periodic acid–Schiff. Which of the following best explains his steatorrhea?
A. Macrophages compress lacteals and impair chylomicron transport
B. Autoimmune villous injury reduces brush-border enzyme activity
C. Pancreatic enzyme deficiency prevents intraluminal fat digestion
D. Terminal ileal inflammation blocks bile acid reabsorption

A. Macrophages compress lacteals and impair chylomicron transport

whipple disease

118
card image

foamy macrophages

119

A patient with chronic malabsorption is found to have PAS-positive foamy macrophages in the lamina propria of the small intestine. Which infectious organism is most likely responsible for this finding?
A. Tropheryma whipplei within macrophage lysosomes
B. Giardia lamblia attached to duodenal mucosa
C. Mycobacterium avium in intestinal macrophages
D. Entamoeba histolytica invading the colonic wall

A. Tropheryma whipplei within macrophage lysosomes

120

A 6-month-old infant presents with failure to thrive, chronic diarrhea, and steatorrhea. Laboratory studies show extremely low levels of LDL and VLDL. Which of the following is the most likely underlying defect?
A. Impaired synthesis of apolipoprotein B-48 and B-100
B. Defective pancreatic enzyme secretion into duodenum
C. Inability to reabsorb bile acids in terminal ileum
D. Autoimmune destruction of small intestinal villi

A. Impaired synthesis of apolipoprotein B-48 and B-100

apolipoproteinemia

121

A child is diagnosed with a genetic disorder causing fat malabsorption due to defective chylomicron formation. Which of the following mechanisms best explains this finding?
A. Lack of apolipoprotein B prevents chylomicron assembly
B. Decreased bile salt synthesis impairs fat emulsification
C. Increased intestinal motility reduces fat absorption time
D. Brush border enzyme deficiency limits lipid digestion

A. Lack of apolipoprotein B prevents chylomicron assembly

apolipoproteinemia

122

A patient with abetalipoproteinemia is found to have absent circulating LDL and VLDL particles. Which of the following best explains this laboratory finding?
A. Failure of apolipoprotein B-100 production in liver
B. Increased clearance of lipoproteins by macrophages
C. Reduced dietary fat intake causing low lipid levels
D. Impaired conversion of HDL to LDL in circulation

A. Failure of apolipoprotein B-100 production in liver

123

A peripheral smear in a patient with abetalipoproteinemia would most likely show:

A. Schistocytes
B. Acanthocytes
C. Spherocytes
D. Target cells

B. Acanthocytes

124

Abetalipoproteinemia is best described as an inherited inability to:

A. Absorb gluten peptides
B. Hydrolyze brush-border sugars
C. Produce pancreatic lipase
D. Secrete triglyceride-rich lipoproteins

D. Secrete triglyceride-rich lipoproteins

125

A 56-year-old patient is found to have a submucosal, polyp-like lesion in the small intestine during evaluation for vague abdominal discomfort. Biopsy reveals a low-grade malignant tumor composed of neuroendocrine cells. Which of the following is the most likely diagnosis?
A. Gastrointestinal stromal tumor from interstitial cells
B. Carcinoid tumor from neuroendocrine cell proliferation
C. Adenocarcinoma forming irregular glandular structures
D. Primary intestinal lymphoma from B lymphocytes

B. Carcinoid tumor from neuroendocrine cell proliferation

126

A patient with a small bowel tumor develops flushing, diarrhea, and wheezing. Laboratory testing shows elevated urinary 5-HIAA levels. Why are these symptoms typically absent in early disease?
A. Serotonin is degraded by hepatic monoamine oxidase
B. Tumor does not produce vasoactive substances initially
C. Kidneys rapidly excrete serotonin before circulation
D. Intestinal enzymes inactivate serotonin before absorption

A. Serotonin is degraded by hepatic monoamine oxidase

carcinoid tumor

127

A patient with a neuroendocrine tumor of the gut is asymptomatic until liver metastases develop. Which of the following best explains the onset of carcinoid syndrome at that stage?
A. Increased tumor size leads to intestinal obstruction
B. Metastases bypass hepatic metabolism of serotonin
C. Liver failure increases production of serotonin
D. Immune response triggers systemic cytokine release

B. Metastases bypass hepatic metabolism of serotonin

carcinoid syndrome

128

A 60-year-old patient with a known small bowel neuroendocrine tumor develops flushing, diarrhea, and wheezing. Imaging reveals liver metastases. What is the most likely explanation for the onset of these symptoms?
A. Increased local tumor growth causing bowel obstruction
B. Serotonin release bypasses hepatic metabolism via metastases
C. Decreased monoamine oxidase activity in intestinal mucosa
D. Enhanced renal reabsorption of serotonin metabolites

B. Serotonin release bypasses hepatic metabolism via metastases

carcinoid syndrome

129

Gastric carcinoid tumors may be associated with autoimmune chronic:
A. superficial gastritis
B. erosive gastritis
C. atrophic gastritis
D. viral gastritis

D. viral gastritis

130

A syndrome associated with gastric neuroendocrine tumors is:
A. Peutz-Jeghers syndrome
B. Zollinger-Ellison syndrome
C. Carney triad
D. Cowden syndrome

B. Zollinger-Ellison syndrome

131

Neuroendocrine tumors within the stomach and duodenum ______ metastasize and are generally cured by resection.

rarely

132

Neuroendocrine tumors that arise in the ____ and ____ are often multiple and tend to be aggressive.

jejunum, ileum

133

Rectal neuroendocrine tumors tend to produce:
A. catecholamines
B. bile salts
C. polypeptide hormones
D. mucin only

C. polypeptide hormones

134

Symptomatic rectal neuroendocrine tumors may present with:
A. abdominal pain and weight loss
B. jaundice and ascites
C. dysphagia and regurgitation
D. hemoptysis and cough

A. abdominal pain and weight loss

135
card image

Hirschsprung disease

136

In Hirschsprung disease, which segment is always involved?
A. cecum
B. sigmoid colon
C. ileum
D. rectum

D. rectum

137

Hirschsprung disease is also called:
A. Congenital pyloric stenosis
B. Functional ileus syndrome
C. Congenital aganglionic megacolon
D. Distal colonic atresia

C. Congenital aganglionic megacolon

138

Hirschsprung disease results from abnormal migration or loss of:
A. Smooth muscle cells
B. Neural crest-derived ganglion cells
C. Enterochromaffin cells
D. Mesothelial cells

B. Neural crest-derived ganglion cells

139

Definitive diagnosis of Hirschsprung disease requires absence of:
A. Goblet cells
B. Paneth cells
C. Ganglion cells
D. Chief cells

C. Ganglion cells

140

Ganglion cells in Hirschsprung evaluation may be identified using stains for:
A. Creatine kinase
B. Acetylcholinesterase
C. Myeloperoxidase
D. Acid phosphatase

B. Acetylcholinesterase

141

A large Zenker diverticulum commonly causes:
A. Regurgitation and halitosis
B. Hematemesis and melena
C. Jaundice and pruritus
D. Tenesmus and fever

A. Regurgitation and halitosis

142

Nutcracker esophagus reflects loss of coordination between the:
A. Mucosa and serosa
B. Circular and longitudinal muscle
C. Vagus and phrenic nerves
D. Upper and lower sphincters

B. Circular and longitudinal muscle

143

Nutcracker esophagus is characterized by:
A. Absent lower sphincter tone
B. Distal perforation
C. High-amplitude distal contractions
D. Proximal web formation

C. High-amplitude distal contractions

144

A newborn fails to pass meconium within the first 48 hours and develops abdominal distension. Rectal biopsy shows absence of ganglion cells in the distal colon. Which of the following is the most appropriate definitive treatment?
A. Resection of aganglionic bowel segment
B. High-fiber diet with stool softeners
C. Long-term laxative therapy for motility
D. Endoscopic dilation of narrowed segment

A. Resection of aganglionic bowel segment

Hirschsprung

145
card image

colonic diverticula

146

outpounchings of mucosa and submucosa through muscularis propria: ______ diverticula

colonic

147

A 68-year-old man with chronic constipation presents with left lower quadrant pain and fever. CT scan shows inflamed outpouchings in the sigmoid colon. What is the underlying structural abnormality?
A. Herniation of mucosa through muscularis propria
B. Full-thickness outpouching involving all bowel layers
C. Transmural inflammation with granuloma formation
D. Hypertrophy of circular muscle without herniation

A. Herniation of mucosa through muscularis propria

148

An elderly patient presents with painless hematochezia. Colonoscopy reveals multiple diverticula in the sigmoid colon. Which anatomic feature explains where these lesions most commonly form?
A. Areas of maximal peristaltic contraction
B. Sites where vasa recta penetrate bowel wall
C. Regions of highest lymphoid tissue density
D. Junction between small and large intestine

B. Sites where vasa recta penetrate bowel wall

149

A patient develops a fistula connecting the colon to the bladder. What is the most likely preceding condition?
A. Chronic low-fiber diet without inflammation
B. Acute appendicitis in right lower quadrant
C. Diverticulitis with localized inflammation
D. Ischemic colitis with mucosal necrosis

C. Diverticulitis with localized inflammation

150

Which of the following best distinguishes colonic diverticulosis from a true diverticulum such as Meckel diverticulum?
A. Location in distal small intestine
B. Presence of ectopic gastric mucosa
C. Involvement of all bowel wall layers
D. Only mucosa and submucosa herniate

D. Only mucosa and submucosa herniate

151

A 72-year-old patient has long-standing constipation and is diagnosed with colonic diverticulosis. Which factor most contributed to the development of this condition?
A. High-fiber diet increasing stool bulk
B. Increased intraluminal pressure from straining
C. Rapid intestinal transit time
D. Decreased colonic segmentation activity

B. Increased intraluminal pressure from straining

152

An older adult presents with intermittent lower GI bleeding. Colonoscopy shows malformed mucosal and submucosal vessels in the cecum. Which diagnosis best fits?

A. Volvulus
B. Angiodysplasia
C. Dysentery
D. Intussusception

Angiodysplasia

153
card image

Angiodysplasia

154

A 34-year-old woman presents with recurrent nosebleeds and episodes of gastrointestinal bleeding. Physical exam reveals multiple small red lesions on the lips and oral mucosa. Which of the following is the most likely underlying condition?
A. Autosomal dominant disorder causing fragile blood vessels
B. Autoimmune vasculitis with immune complex deposition
C. Platelet dysfunction due to von Willebrand deficiency
D. Vitamin C deficiency impairing collagen synthesis

A. Autosomal dominant disorder causing fragile blood vessels

hereditary hemorrhagic telangiectasia

155

A patient with hereditary hemorrhagic telangiectasia develops chronic iron deficiency anemia. Which of the following best explains the source of bleeding?
A. Ulceration from gastric acid hypersecretion
B. Rupture of thin-walled mucosal blood vessels
C. Immune-mediated destruction of vascular endothelium
D. Thrombocytopenia causing impaired clot formation

B. Rupture of thin-walled mucosal blood vessels

156

A 40-year-old man has a history of recurrent epistaxis and visible telangiectasias on his tongue. Which inheritance pattern is most consistent with this condition?
A. Autosomal recessive with enzyme deficiency
B. X-linked recessive affecting clotting factors
C. Autosomal dominant with vascular malformations
D. Mitochondrial inheritance affecting energy metabolism

C. Autosomal dominant with vascular malformations

157

A 72-year-old man with a history of atherosclerosis presents with sudden left lower quadrant abdominal pain followed by bloody diarrhea. Which area of the colon is most likely affected?
A. Cecum supplied by ileocolic artery
B. Transverse colon near hepatic flexure
C. Splenic flexure watershed region
D. Rectum supplied by inferior rectal artery

C. Splenic flexure watershed region

ischemic colitis

158

A patient with severe atherosclerosis develops postprandial abdominal pain and weight loss. Which mechanism best explains progression to ischemic colitis?
A. Reduced blood flow through superior mesenteric artery
B. Autoimmune inflammation of colonic mucosa
C. Increased intraluminal pressure from constipation
D. Venous thrombosis of inferior mesenteric vein

A. Reduced blood flow through superior mesenteric artery

ischemic colitis

159

A hospitalized patient develops acute abdominal pain and later passes bloody stools. Imaging suggests colonic ischemia. Which sequence best explains this presentation?
A. Chronic inflammation leads to mucosal ulceration
B. Ischemia progresses to infarction causing bleeding
C. Infection causes toxin-mediated epithelial damage
D. Obstruction leads to proximal bowel dilation

B. Ischemia progresses to infarction causing bleeding

ischemic colitis

160

A 35-year-old woman presents with recurrent abdominal pain, bloating, and alternating diarrhea and constipation. She notes that her pain improves after bowel movements. Which of the following is the most likely diagnosis?
A. Irritable bowel syndrome with functional bowel disorder
B. Crohn disease with transmural inflammation
C. Ulcerative colitis with continuous mucosal ulceration
D. Celiac disease with gluten-induced villous atrophy

A. Irritable bowel syndrome with functional bowel disorder

161

A patient reports chronic abdominal discomfort associated with changes in bowel habits. Extensive workup including colonoscopy is normal. Which feature most strongly supports irritable bowel syndrome?
A. Pain improves after defecation
B. Presence of bloody diarrhea
C. Unintentional weight loss
D. Nocturnal awakening with symptoms

A. Pain improves after defecation

162

A 60-year-old patient undergoes routine colonoscopy, which reveals multiple small polyps in the rectosigmoid colon. Biopsy shows serrated architecture with hyperplasia of glands but no dysplasia. What is the most likely diagnosis?
A. Hyperplastic polyp
B. Adenomatous polyp
C. Hamartomatous polyp
D. Inflammatory polyp

A. Hyperplastic polyp

163

A patient is found to have a colonic polyp with serrated histologic appearance and polyclonal glandular hyperplasia. Which of the following best describes its malignant potential?
A. High risk of progression to adenocarcinoma
B. Moderate risk depending on size
C. No risk of malignant transformation
D. Risk only if associated with inflammation

C. No risk of malignant transformation

164

Which of the following features most strongly supports a diagnosis of hyperplastic polyp rather than an adenomatous polyp?
A. Presence of dysplastic epithelial cells
B. Serrated glands without cytologic atypia
C. Villous architecture with high mitotic activity
D. Large size with irregular borders

B. Serrated glands without cytologic atypia

165

A 58-year-old patient undergoes colonoscopy and is found to have a polyp. Biopsy reveals monoclonal proliferation of dysplastic glandular epithelium. Which of the following is the most likely diagnosis?
A. Hyperplastic polyp with polyclonal gland growth
B. Adenomatous polyp with neoplastic gland proliferation
C. Hamartomatous polyp with disorganized tissue elements
D. Inflammatory polyp with regenerative mucosal changes

B. Adenomatous polyp with neoplastic gland prolifera

166

A patient is diagnosed with a colonic polyp that is benign but has potential to progress to malignancy. Which pathway best describes this progression?
A. Chronic inflammation to dysplasia sequence
B. Adenoma to carcinoma sequence
C. Metaplasia to hyperplasia sequence
D. Hamartoma to sarcoma sequence

B. Adenoma to carcinoma sequence

167

Which dietary pattern most promotes progression of diverticular disease?

A. High-protein diet
B. High-fat diet
C. Lactose-free diet
D. Low-fiber diet

D. Low-fiber diet

168

Which statement about diverticular disease is most accurate?

A. Usually presents with obstruction
B. Most patients are asymptomatic
C. Has high malignant potential
D. Usually involves true diverticula

B. Most patients are asymptomatic

169

The pathogenesis of diverticular disease is most closely related to:

A. Elevated intraluminal pressure
B. Transmural granulomatous inflammation
C. Mucosal ischemic necrosis
D. Defective enteric innervation

A. Elevated intraluminal pressure

170

Colorectal adenocarcinoma develops in ____% of untreated FAP patients

100

171

Which finding is required for diagnosis of classic familial adenomatous polyposis?

A. At least 10 polyps
B. Rectal cancer before age 30
C. Biallelic APC mutation only
D. At least 100 polyps

D. At least 100 polyps

172

Familial adenomatous polyposis is best described as which syndrome?

A. APC-associated adenomatous polyposis
B. Mismatch repair deficiency syndrome
C. Hamartomatous polyposis syndrome
D. Biallelic MYH serrated syndrome

A. APC-associated adenomatous polyposis

173

The standard preventive treatment for classic familial adenomatous polyposis is:

A. Annual polypectomy
B. Endoscopic ablation
C. Prophylactic colectomy
D. Small-bowel resection

C. Prophylactic colectomy

174

After colectomy for FAP, which medication class can reduce polyps in the residual rectum?

A. NSAIDs
B. Antimetabolites
C. Corticosteroids
D. Bile acid binders

A. NSAIDs

175

A 3-year-old child presents with painless rectal bleeding. Parents report a small mass that occasionally protrudes from the rectum during defecation. Which of the following is the most likely diagnosis?
A. Juvenile polyp with benign hamartomatous growth
B. Juvenile polyp with dysplastic epithelial cells
C. Hyperplastic polyp with serrated glandular pattern
D. Hyperplastic polyp due to chronic colitis

A. Juvenile polyp with benign hamartomatous growth

176

A 16-year-old girl presents with multiple dark pigmented spots on her lips and oral mucosa. She has a history of recurrent abdominal pain, and imaging reveals multiple polyps throughout the gastrointestinal tract. Which of the following is the most likely diagnosis?
A. Peutz-Jeghers syndrome
B. Familial adenomatous polyposis
C. Lynch syndrome
D. Juvenile polyposis

A. Peutz-Jeghers syndrome with hamartomatous polyps

177

A 4-year-old child presents with intermittent painless rectal bleeding. Colonoscopy reveals a solitary rectal polyp composed of disorganized but mature tissue elements. Which diagnosis is most likely?

A. Hyperplastic polyp
B. Tubular adenoma
C. Juvenile polyp
D. Inflammatory pseudopolyp

C. Juvenile polyp

178

Juvenile polyps are best classified as:

A. Hamartomatous polyps
B. Neoplastic adenomas
C. Inflammatory lesions
D. Vascular malformations

A. Hamartomatous polyps

179

Which presentation is most typical of a juvenile polyp?

A. Watery secretory diarrhea
B. Small bowel obstruction
C. Mucocutaneous pigmentation
D. Rectal bleeding

D. Rectal bleeding

180

A child has multiple hamartomatous colorectal polyps and a family history of similar lesions. Which syndrome should raise concern for future colonic adenocarcinoma?

A. Lynch syndrome
B. FAP
C. Juvenile polyposis syndrome
D. Cowden syndrome

C. Juvenile polyposis syndrome

181

Juvenile polyposis syndrome is often associated with mutation in:

A. SMAD4
B. APC
C. KRAS
D. MLH1

A. SMAD4

182

The major long-term malignancy risk in juvenile polyposis syndrome is:

A. Gastric lymphoma
B. Pancreatic carcinoma
C. Small bowel carcinoid
D. Colonic adenocarcinoma

D. Colonic adenocarcinoma

183

In Peutz-Jeghers syndrome, hamartomatous polyps most often involve the:

A. Small intestine
B. Rectum
C. Esophagus
D. Appendix

A. Small intestine

184

Which gene is characteristically mutated in Peutz-Jeghers syndrome?

A. SMAD4
B. TP53
C. STK11
D. BRAF

C. STK11

185

A 10-year-old boy presents with acute abdominal pain that began periumbilically and migrated to the right lower quadrant. Imaging confirms appendicitis. Which of the following is the most likely underlying cause in this patient?
A. Lymphoid hyperplasia causing luminal obstruction
B. Fecalith obstruction of appendiceal lumen
C. Autoimmune inflammation of intestinal mucosa
D. Ischemic injury from vascular insufficiency

A. Lymphoid hyperplasia causing luminal obstruction

186

A 35-year-old man presents with right lower quadrant abdominal pain, fever, and leukocytosis. Which of the following mechanisms most likely initiated this condition?
A. Obstruction by fecalith leading to bacterial overgrowth
B. Viral infection causing diffuse mucosal inflammation
C. Decreased blood flow causing ischemic necrosis
D. Autoimmune destruction of appendiceal tissue

A. Obstruction by fecalith leading to bacterial overgrowth

appendicitis

187

A 29-year-old patient has chronic abdominal pain and diarrhea. Endoscopy shows inflamed bowel separated by normal intervening mucosa. Which diagnosis is most likely?

A. Ulcerative colitis
B. Ischemic colitis
C. Crohn disease
D. Microscopic colitis

C. Crohn disease

188

Which feature best distinguishes Crohn disease from ulcerative colitis?

A. Transmural inflammation
B. Rectal involvement
C. Toxic megacolon risk
D. Mucosal ulceration only

A. Transmural inflammation

189

A patient with inflammatory bowel disease develops enteroenteric fistulas and bowel wall fibrosis. Which diagnosis best fits?

A. Ulcerative colitis
B. Infectious colitis
C. Pseudomembranous colitis
D. Crohn disease

D. Crohn disease

190

Which distribution is most typical of ulcerative colitis?

A. Any GI segment
B. Colon and rectum
C. Small bowel only
D. Stomach and duodenum

B. Colon and rectum

191

Histology from an inflamed bowel segment shows noncaseating granulomas and transmural inflammation. Which disorder is most likely?

A. Crohn disease
B. Ulcerative colitis
C. Ischemic colitis
D. Diverticulitis

A. Crohn disease

192

A patient with longstanding inflammatory bowel disease develops severe colonic dilation and systemic toxicity. Which disease is classically associated with this complication?

A. Crohn disease
B. Celiac disease
C. Angiodysplasia
D. Ulcerative colitis

D. Ulcerative colitis

193

Which gross feature is classically associated with Crohn disease?

A. Continuous rectosigmoid disease
B. Diffuse pseudopolyposis
C. Creeping fat
D. Superficial mucosal erosion

C. Creeping fat

194

Ulcerative colitis is typically confined to which bowel layers?

A. Muscularis and serosa
B. Mucosa and superficial submucosa
C. Full bowel wall thickness
D. Subserosa and mesentery

B. Mucosa and superficial submucosa

195

A patient with Crohn disease develops recurrent obstructive symptoms from fibrosing bowel narrowing. Which treatment is often required?

A. Surgical resection
B. Total colectomy
C. Air enema reduction
D. Anticoagulation

A. Surgical resection

196

A patient with severe ulcerative colitis undergoes total colectomy. What is the expected effect on the intestinal disease?

A. Disease shifts to ileum
B. Fistulas continue
C. Skip lesions persist
D. Intestinal disease is cured

D. Intestinal disease is cured

197

A 29-year-old man with chronic inflammatory bowel disease presents with fatigue and pruritus. Laboratory testing reveals a cholestatic pattern, and imaging shows multifocal stricturing of the bile ducts. Which of the following associated conditions is most likely present?
A. Primary sclerosing cholangitis with p-ANCA positivity
B. Autoimmune hepatitis with anti-smooth muscle antibodies
C. Primary biliary cholangitis with antimitochondrial antibodies
D. Alcoholic liver disease with AST greater than ALT

A. Primary sclerosing cholangitis with p-ANCA positivity

this is UC

198
card image

what is this associated with?

crohn's

199
card image

UC or Crohns?

UC

200
card image

UC or Crohns?

UC

crypt abcess, neutrophils

201
card image

what is happening here?

lead pipe sign- loss of haustra, UC

202
card image

UC or Crohns?

Crohns

203
card image

UC or Crohns?

Crohns

string sign

204

A neonate with polyhydramnios has excessive salivation, choking with feeds, and failure to pass an NG tube. Esophageal atresia most commonly occurs near which anatomic level?

A. Upper esophageal sphincter
B. Tracheal bifurcation
C. Diaphragmatic hiatus
D. Gastroesophageal junction

B. Tracheal bifurcation

205

Prenatal imaging shows abdominal viscera in the thorax. After delivery, the infant develops severe respiratory distress. Which paired finding is most characteristic of congenital diaphragmatic hernia?

A. Right-sided defect; pulmonary hypoplasia
B. Left-sided defect; renal agenesis
C. Right-sided defect; bowel atresia
D. Left-sided defect; pulmonary hypoplasia

D. Left-sided defect; pulmonary hypoplasia

206

A newborn has a midline abdominal wall defect covered by a membranous sac. Which genetic association is classically linked to this lesion?

A. Down syndrome
B. Turner syndrome
C. Marfan syndrome
D. Noonan syndrome

A. Down syndrome

207

Endoscopy identifies an “inlet patch” of ectopic gastric mucosa in the esophagus. Where is this finding most commonly located?

A. Distal third
B. Gastric cardia
C. Upper third
D. Terminal ileum

C. Upper third

208

A child presents with painless lower GI bleeding from a congenital true diverticulum containing ectopic tissue. This lesion most commonly arises in the:

A. Ileum
B. Jejunum
C. Duodenum
D. Colon

A. Ileum

The clinical presentation describes a Meckel's diverticulum

209

Meckel diverticulum results from failure of involution of a structure that normally connects the:

A. Foregut to allantois
B. Hindgut to cloaca
C. Developing gut to yolk sac
D. Stomach to liver bud

C. Developing gut to yolk sac

210

A neonate with abdominal distention and empty rectum is suspected of having Hirschsprung disease. Which gene is most classically implicated by loss-of-function mutation?

A. APC
B. CFTR
C. FBN1
D. RET

D. RET

211

What is the earliest classic postnatal clue to Hirschsprung disease?

A. Bilious emesis
B. Failure to pass meconium
C. Projectile vomiting
D. Hematochezia

B. Failure to pass meconium

212

A patient with intermittent chest pain and dysphagia has a barium swallow showing a corkscrew esophagus. Which manometric feature best fits this disorder?

A. Normal amplitude contractions
B. Increased LES relaxation
C. Absent peristaltic activity
D. Gray-white pseudomembranes

A. Normal amplitude contractions

213

A patient has recurrent chest pain with hypertensive but coordinated peristaltic waves on manometry. Which description would argue against nutcracker esophagus?

A. Low-amplitude coordinated waves
B. High-amplitude coordinated waves
C. High-amplitude uncoordinated waves
D. Absent LES relaxation

C. High-amplitude uncoordinated waves

214

In Plummer-Vinson syndrome, esophageal webs classically occur with glossitis, cheilosis, and:

A. Hemolytic anemia
B. Iron deficiency anemia
C. Pernicious anemia
D. Aplastic anemia

B. Iron deficiency anemia

215

A patient with dysphagia to solids and liquids has incomplete lower esophageal sphincter relaxation. Which additional pair completes the classic achalasia triad?

A. Increased tone with aperistalsis
B. Low tone with spasm
C. Normal tone with eosinophilia
D. Weak tone with webs

A. Increased tone with aperistalsis

216

After repeated retching, a patient develops hematemesis. Endoscopy shows longitudinal mucosal lacerations near the gastroesophageal junction. These lesions are called:

A. Boerhaave rupture
B. Mallory-Weiss tears
C. Barrett metaplasia
D. Plummer-Vinson webs

B. Mallory-Weiss tears

217

Which precipitating event most classically causes Mallory-Weiss tears?

A. Portal venous congestion
B. Atopic mucosal inflammation
C. Chronic caustic ingestion
D. Repetitive forceful vomiting

D. Repetitive forceful vomiting

218

Candidiasis of the esophagus is characterized by:

A. Linear mucosal furrows
B. Salmon-colored mucosa
C. Gray-white pseudomembranes
D. Circumferential ulcers

C. Gray-white pseudomembranes

219

Which mechanism is a major driver of GERD pathogenesis?

A. Transient LES relaxation
B. Esophageal muscular hypertrophy
C. Congenital distal web
D. Chronic fungal colonization

A. Transient LES relaxation

220

Biopsy of distal esophageal mucosa in chronic reflux disease most classically shows:

A. Goblet cell metaplasia
B. Basal zone hyperplasia
C. Full-thickness dysplasia
D. Granulomatous inflammation

B. Basal zone hyperplasia

221

A patient with chronic heartburn and acid regurgitation has uncomplicated GERD. Which drug class is standard therapy?

A. Sucralfate
B. Budesonide
C. Octreotide
D. Proton pump inhibitors

D. Proton pump inhibitors

222

A young adult with asthma and multiple food allergies has recurrent solid-food dysphagia. Which underlying process best fits eosinophilic esophagitis?

A. Atopic disease
B. Alcohol misuse
C. Chagas disease
D. Portal hypertension

A. Atopic disease

223

A cirrhotic patient presents with massive hematemesis from dilated submucosal veins in the distal esophagus. The most likely underlying cause is:

A. Diffuse esophageal spasm
B. Incomplete LES relaxation
C. Portal hypertension
D. Iron deficiency anemia

C. Portal hypertension

224

Barrett esophagus represents which metaplastic transition?

A. Columnar to squamous
B. Squamous to cuboidal
C. Glandular to squamous
D. Squamous to columnar

D. Squamous to columnar

225

Which cell type is required for the diagnosis of Barrett esophagus?

A. Paneth cells
B. Goblet cells
C. Chief cells
D. Parietal cells

B. Goblet cells

226

Which epidemiologic pattern for esophageal cancer is correct?

A. West squamous, world adenocarcinoma
B. West adenocarcinoma, world adenocarcinoma
C. West adenocarcinoma, world squamous
D. West squamous, world squamous

C. West adenocarcinoma, world squamous

227

Which condition is a major risk factor for esophageal adenocarcinoma?

A. Barrett esophagus
B. Alcohol dependence
C. Nutcracker esophagus
D. Candida esophagitis

A. Barrett esophagus

228

Esophageal adenocarcinoma most often arises in which location?

A. Proximal third
B. Distal third
C. Midesophagus
D. Upper esophageal sphincter

B. Distal third

229

Which exposure pattern is most strongly associated with esophageal squamous cell carcinoma?

A. Chronic iron deficiency
B. Childhood atopy
C. Barrett metaplasia
D. Alcohol and tobacco

D. Alcohol and tobacco

230

Which esophageal malignancy is more likely to spread to lymph nodes and carry a poorer prognosis?

A. Esophageal squamous carcinoma
B. Distal Barrett adenocarcinoma
C. Mallory-Weiss syndrome
D. Candidal esophagitis

A. Esophageal squamous carcinoma

231

Acute gastritis is defined histologically by the presence of:

A. Neutrophils
B. Eosinophils
C. Plasma cells
D. Fibroblasts

A. Neutrophils

232

chronic use of what can cause gastritis by inhibiting production of vasodilation products?

NSAIDs

233

A critically ill patient with extensive full-thickness burns develops hematemesis several days after admission. Which ulcer type is most classically associated with this setting?

A. Cushing ulcer
B. Stress-free ulcer
C. Curling ulcer
D. Marginal ulcer

C. Curling ulcer

234

Ulcers occurring in the context of intracranial disease is termed:

A. Curling ulcer
B. Cushing ulcer
C. Meckel ulcer
D. Dieulafoy ulcer

B. Cushing ulcer

235

Chronic gastritis worldwide is most commonly caused by:

A. Autoimmune injury
B. Crohn disease
C. NSAID exposure
D. Helicobacter pylori

D. Helicobacter pylori

236

H. pylori occurs mostly in which part of the stomach?

A. Body
B. Fundus
C. Incisura
D. Antrum

D. Antrum

237

A urease breath test is positive in a patient with dyspepsia. H. pylori uses urease primarily to generate which compound that promotes survival?

A. Nitric oxide
B. Hydrogen peroxide
C. Ammonia
D. Sulfur dioxide

C. Ammonia

238

Expression of CagA by H. pylori has what effect on gastric cancer risk?

A. Eliminates malignant potential
B. Decreases dysplasia risk
C. Has no prognostic role
D. Increases cancer risk

D. Increases cancer risk

239

A patient with chronic H. pylori gastritis develops dense lymphoid aggregates in the stomach. This infection is a risk factor for formation of:

A. GIST
B. Carcinoid tumor
C. MALT lymphoma
D. Leiomyoma

C. MALT lymphoma

240

Which feature best distinguishes autoimmune gastritis from H. pylori gastritis?

A. Antral predominance
B. Hypergastrinemia with antral sparing
C. Urease-mediated ammonia production
D. Curling ulcers after burns

B. Hypergastrinemia with antral sparing

241

Autoimmune gastritis is primarily associated with immune-mediated loss of which gastric cell type?

A. Mucous neck cells
B. Chief cells
C. G cells
D. Parietal cells

D. Parietal cells

242

A patient with autoimmune atrophic gastritis develops fatigue, glossitis, and macrocytosis. Which associated manifestation is most expected?

A. Iron deficiency anemia
B. Hemolytic anemia
C. Megaloblastic anemia
D. Microcytic anemia

C. Megaloblastic anemia

243

Histology from autoimmune atrophic gastritis most characteristically shows injury involving which anatomic regions?

A. Cardia and pylorus
B. Body and fundus
C. Antrum and cardia
D. Pylorus and duodenum

B. Body and fundus

244

A patient with peripheral eosinophilia and recurrent gastric symptoms has biopsy-proven eosinophilic gastritis. Which mechanism is most likely responsible?

A. Allergic reaction
B. Portal hypertension
C. H. pylori colonization
D. Intracranial hypertension

A. Allergic reaction

245

In Western populations, the most common cause of granulomatous gastritis is:

A. Sarcoidosis
B. Tuberculosis
C. Crohn disease
D. Whipple disease

C. Crohn disease

246

Which trio most completely accounts for the great majority of peptic ulcers involving the stomach or duodenum?

A. Alcohol, steroids, CMV
B. H. pylori, NSAIDs, smoking
C. Autoimmunity, Crohn, stress
D. Zollinger-Ellison, burns, trauma

B. H. pylori, NSAIDs, smoking

247

Peptic ulcer disease most commonly affects which gastric location?

A. Greater curvature body
B. Cardia near GE junction
C. Fundus along posterior wall
D. Antrum lesser curvature

D. Antrum lesser curvature

248

H. pylori infection that predominantly involves the fundus and body is most associated with which physiologic pattern?

A. Increased acid without atrophy
B. Decreased acid with atrophy
C. Normal acid with ulcers
D. Increased gastrin without injury

B. Decreased acid with atrophy

249

Which condition carries the greater association with gastric adenocarcinoma?

A. Autoimmune atrophic gastritis
B. H. pylori antral gastritis
C. Eosinophilic gastritis
D. Granulomatous Crohn gastritis

A. Autoimmune atrophic gastritis

250

A patient with giant rugal folds, edema, and protein-losing gastropathy is found to have overexpression of which cytokine?

A. Transforming growth factor beta
B. Tumor necrosis factor alpha
C. Transforming growth factor alpha
D. Epidermal growth factor

C. Transforming growth factor alpha

Menetrier disease

251

Menetrier disease is most classically characterized by which pair of findings?

A. Parietal hyperplasia and hypercalcemia
B. Goblet metaplasia and dysphagia
C. Chief cell loss and ulceration
D. Foveolar hyperplasia and hypoproteinemia

D. Foveolar hyperplasia and hypoproteinemia

252

A patient has severe recurrent peptic ulcers and markedly increased gastrin levels from a pancreatic neuroendocrine tumor. Which gastric cell type is expected to be especially enlarged?

A. Parietal cells
B. Chief cells
C. Mucous neck cells
D. Enterochromaffin cells

A. Parietal cells

253

Zollinger-Ellison gastrinomas are classically associated with which inherited syndrome?

A. MEN2A
B. MEN2B
C. MEN1
D. VHL syndrome

C. MEN1

254

Fundic gland polyps and intestinal-type gastric adenocarcinoma are both associated with mutations in which gene?

A. RB1
B. APC
C. KRAS
D. SMAD4

B. APC

255

Which set best lists classic metastatic sites of gastric adenocarcinoma?

A. Cervical spine, liver, spleen, lung
B. Brain, pancreas, kidney, femur
C. Virchow, umbilical, ovaries, axilla
D. Adrenal, pleura, jejunum, bladder

C. Virchow, umbilical, ovaries, axilla

256

A family with hereditary diffuse gastric cancer is found to carry a germline mutation in which gene?

A. MLH1
B. STK11
C. KIT
D. CDH1

D. CDH1

257

Which viral infection is implicated in lymphoproliferation and GI lymphoma formation?

A. Epstein-Barr virus
B. Cytomegalovirus
C. Human papillomavirus
D. Hepatitis B virus

A. Epstein-Barr virus

258

A patient with episodic flushing develops wheezing, secretory diarrhea, and tricuspid dysfunction. Which syndrome best fits this presentation?

A. VIPoma syndrome
B. Zollinger-Ellison syndrome
C. Carcinoid syndrome
D. Menetrier disease

C. Carcinoid syndrome

259

Neuroendocrine tumors from which embryologic region tend to be the most aggressive?

A. Foregut
B. Midgut
C. Hindgut
D. Cloacal remnant

B. Midgut

260

A submucosal GI spindle-cell tumor is found to arise from the gut’s pacemaker cells. What is its cell of origin?

A. Smooth muscle cells
B. Enteric ganglion cells
C. Schwann cells
D. Interstitial cells of Cajal

D. Interstitial cells of Cajal

261

About 75% of gastrointestinal stromal tumors harbor gain-of-function mutations in which gene?

A. KIT
B. RET
C. APC
D. CDH1

A. KIT

262

Worldwide, the most frequent cause of intestinal obstruction is:

A. Hernias
B. Volvulus
C. Intussusception
D. Adhesions

A. Hernias

263

An elderly patient develops sudden abdominal pain, distention, and bowel ischemia after a segment of colon twists around its mesenteric attachment. This process is termed:

A. Intussusception
B. Volvulus
C. Ileus
D. Stricture

B. Volvulus

264

A 14-month-old child develops intermittent colicky pain, vomiting, and drawing up of the legs. Which is the most common cause of intestinal obstruction in children younger than 2 years?

A. Hirschsprung disease
B. Inguinal hernia
C. Intussusception
D. Midgut volvulus

C. Intussusception

265

A patient with profound hypotension develops ischemic colitis at a bowel region supplied by the terminal branches of both the SMA and IMA. Which site is this severe watershed zone?

A. Cecum
B. Splenic flexure
C. Rectosigmoid junction
D. Terminal ileum

B. Splenic flexure

266

A premature, low-birth-weight neonate develops abdominal distention, bloody stools, and pneumatosis intestinalis. Which GI emergency best fits?

A. Meconium ileus
B. Jejunal atresia
C. Hirschsprung enterocolitis
D. Necrotizing enterocolitis

D. Necrotizing enterocolitis

267

Which HLA profile is most strongly associated with celiac disease?

A. HLA-B27 and DR4
B. HLA-DQ2 and DQ8
C. HLA-A3 and B8
D. HLA-DR3 and DR5

B. HLA-DQ2 and DQ8

268

Autoimmune enteropathy is classically associated with mutations in which gene?

A. APC
B. FOXP3
C. RET
D. MYO5B

B. FOXP3

269

An infant with intractable secretory diarrhea is diagnosed with microvillus inclusion disease. Which gene is most likely mutated?

A. MTP
B. CFTR
C. MYO5B
D. FOXP3

C. MYO5B

270

Abetalipoproteinemia is caused by mutation in which protein?

A. MTP
B. ApoA-I
C. NPC1L1
D. LDL receptor

A. MTP

271

A patient with profuse “rice-water” diarrhea is infected by a comma-shaped gram-negative organism. Which pathogen best fits?

A. Shigella dysenteriae
B. Salmonella typhi
C. Campylobacter jejuni
D. Vibrio cholerae

D. Vibrio cholerae

272

Which cholera toxin component is responsible for the downstream activation leading to CFTR-mediated ion and water efflux?

A. B subunit
B. M protein
C. A subunit
D. S1 nuclease

C. A subunit

273

Based on the material provided, the most common bacterial cause of traveler’s diarrhea and food poisoning is:

A. Salmonella enteritidis
B. Campylobacter jejuni
C. Vibrio cholerae
D. Shigella sonnei

B. Campylobacter jejuni

274

A patient develops inflammatory diarrhea after undercooked poultry and later presents with asymmetric arthritis. Which HLA type is associated with this postinfectious complication?

A. HLA-B27
B. HLA-DQ2
C. HLA-DR4
D. HLA-DQ8

A. HLA-B27

275

A patient develops ascending weakness several weeks after diarrheal illness due to Campylobacter jejuni. Which neurologic complication is classically associated?

A. Multiple sclerosis
B. Myasthenia gravis
C. Guillain-Barré syndrome
D. Subacute combined degeneration

C. Guillain-Barré syndrome

276

Campylobacter jejuni is best described as which of the following?

A. Bacillus, gram-positive
B. Comma-shaped, gram-negative
C. Cocci, gram-negative
D. Spiral, acid-fast

B. Comma-shaped, gram-negative

277

Which statement about Shigella is correct?

A. Gram-positive coccus
B. Acid-fast bacillus
C. Gram-negative organism
D. Encapsulated diplococcus

C. Gram-negative organism

278

Shigella organisms are classically taken up by which intestinal cells?

A. Goblet cells
B. M cells
C. Paneth cells
D. Enteroendocrine cells

B. M cells

279

A foodborne diarrheal illness is caused by a gram-negative bacillus. Which organism best matches this morphology and classification?

A. Vibrio cholerae
B. Campylobacter jejuni
C. Shigella flexneri
C. Salmonella enteritidis

C. Salmonella enteritidis

280

Nontyphoidal salmonellosis is most classically caused by:

A. Salmonella typhi
B. Campylobacter jejuni
C. Salmonella enteritidis
D. Shigella sonnei

C. Salmonella enteritidis

281

Which organism is the classic cause of typhoid fever?

A. Salmonella typhi
B. Salmonella enteritidis
C. Vibrio cholerae
D. Shigella dysenteriae

A. Salmonella typhi

282

Typhoid fever disseminates primarily through:

A. Bile and pancreatic ducts
B. Blood and lymphatics
C. Portal venous shunts
D. Intestinal crypt abscesses

B. Blood and lymphatics

283

A patient with typhoid fever develops abdominal distention and GI bleeding from inflamed lymphoid tissue in the ileum. Which structure is classically enlarged?

A. Brunner glands
B. Crypts of Lieberkühn
C. Peyer patches
D. Paneth cells

C. Peyer patches

284

Which statement about typhoid fever is most accurate?

A. It remains confined to colon
B. It causes only watery diarrhea
C. It resolves without complications
D. It can cause extraintestinal disease

D. It can cause extraintestinal disease

285

A child with iron overload develops enterocolitis from a pathogen that invades M cells and is enhanced by iron availability. Which organism best fits?

A. Yersinia enterocolitica
B. Vibrio cholerae
C. Campylobacter jejuni
D. Enterotoxigenic E. coli

A. Yersinia enterocolitica

286

Which extraintestinal manifestation is classically associated with Yersinia infection?

A. Hemolytic anemia
B. Erythema nodosum
C. Right-sided valvulopathy
D. Migratory thrombophlebitis

B. Erythema nodosum

287

A patient with Yersinia enterocolitica develops symptoms outside the intestine. Which additional finding is characteristic?

A. Hemoptysis
B. Uveitis
C. Glossitis
D. Pharyngitis

D. Pharyngitis

288

Another patient with Yersinia infection presents with joint pain several days after enterocolitis. Which extraintestinal manifestation best fits?

A. Raynaud phenomenon
B. Facial nerve palsy
C. Arthralgia
D. Polycythemia

C. Arthralgia

289

Which morphology best describes Escherichia coli?

A. Gram-negative bacillus
B. Gram-positive coccus
C. Acid-fast bacillus
D. Encapsulated diplococcus

A. Gram-negative bacillus

290

A child develops hemorrhagic colitis after eating undercooked beef. Antibiotics are avoided because toxin release may precipitate which complication?

A. Reactive arthritis
B. Toxic megacolon
C. Hemolytic-uremic syndrome
D. Guillain-Barré syndrome

C. Hemolytic-uremic syndrome

291

A hospitalized patient develops fever, abdominal cramping, and pseudomembranes after broad-spectrum antibiotic use. Which pathogen is most likely responsible?

A. Clostridium difficile
B. Salmonella typhi
C. Norovirus
D. Giardia lamblia

A. Clostridium difficile

292

Which treatment pair is listed as effective first-line therapy for C. difficile infection?

A. Ciprofloxacin and rifaximin
B. Metronidazole and vancomycin
C. Ceftriaxone and azithromycin
D. Trimethoprim and sulfamethoxazole

B. Metronidazole and vancomycin

293

In Whipple disease, malabsorptive diarrhea most directly reflects:

A. Crypt cell apoptosis
B. Villous autoantibodies
C. Paneth cell destruction
D. Impaired lymph drainage

D. Impaired lymph drainage

294

Which triad is classic for Whipple disease?

A. Diarrhea, weight loss, arthralgia
B. Fever, rash, renal failure
C. Dysphagia, anemia, glossitis
D. Cough, hematuria, edema

A. Diarrhea, weight loss, arthralgia

295

About half of viral gastroenteritis cases are attributed to:

A. Rotavirus
B. Adenovirus
C. Norovirus
D. Astrovirus

C. Norovirus

296

Which statement about rotavirus is correct?

A. It is double-stranded RNA
B. It is nonenveloped DNA
C. It lacks a capsid
D. It is acid-fast

A. It is double-stranded RNA

297

Which IBD subtype affects both the ileum and colon?

Crohns

298

Which IBD subtype presents with a diffuse and continuous distribution?

UC

299

Which IBD subtype presents with difficulties absorbing fats and vitamins?

Crohn's

300

Which IBS subtype predominates in the colon only?

UC

301

Which IBD subtype is described as transmural?

Crohn's

302

Which IBD subtype is limited to only the mucosa and submucosa?

UC

303

Which IBD subtype is characterized by skip lesions?

Crohn's

304

Which IBD disorder is limited to the colon and rectum?

UC

305

Which IBD subtype leads to an increased risk of toxic megacolon, increasing risk of perforation?

UC

306

Which type of polyp is most often regarded as genetically determined?

A. Adenomatous
B. Hyperplastic
C. Inflammatory
D. Hamartomatous

D. Hamartomatous

307

In older adults, decreased epithelial shedding can produce mucosal elevations in the gut known as:

A. Fissures
B. Ulcers
C. Polyps
D. Fistulas

C. Polyps

308

A patient develops colitis after surgical diversion performed during treatment of Hirschsprung disease. Which diagnosis best fits?

A. Diversion colitis
B. Crohn disease
C. Ulcerative colitis
D. IBS

A. Diversion colitis

309

Which gene is implicated in increased risk of Crohn disease, despite accounting for less than half of total disease risk?

A. APC
B. STK11
C. RET
D. NOD2

D. NOD2

310

A patient with early-onset right-sided colon cancer has few polyps but a strong family history of similar malignancies. Which syndrome best fits?

A. Gardner syndrome
B. Lynch syndrome
C. Peutz-Jeghers syndrome
D. Juvenile polyposis

B. Lynch syndrome

311

Lynch syndrome most classically involves mutations in which gene pair?

A. APC and KRAS
B. KIT and RET
C. STK11 and SMAD4
D. MSH2 and MLH1

D. MSH2 and MLH1

312

The defective pathway in Lynch syndrome normally mediates:

A. Base excision repair
B. Homologous recombination
C. Mismatch repair
D. Nucleotide excision repair

C. Mismatch repair

313

Most colorectal adenocarcinomas involve mutation of which gene?

A. APC
B. FOXP3
C. CDH1
D. MYO5B

A. APC

314

A colorectal carcinoma arises in the setting of DNA mismatch repair deficiency. Which molecular phenomenon is most characteristic?

A. Chromothripsis
B. Microsatellite instability
C. Trinucleotide expansion
D. Loss of imprinting

B. Microsatellite instability

315

Which two features are most important for prognosis in colorectal cancer?

A. Tumor grade and mucin
B. KRAS status and age
C. Size and ulceration
D. Depth and nodal spread

D. Depth and nodal spread

316

A patient with anal canal cancer is found to have a viral-associated squamous cell carcinoma. Which pathogen is most strongly linked?

A. EBV
B. CMV
C. HPV
D. HBV

C. HPV

317

Which statement about the appendix is correct?

A. It is a true diverticulum
B. It is a false diverticulum
C. It lacks muscularis propria
D. It lacks serosal covering

A. It is a true diverticulum

318

The most common appendiceal tumor is:

A. Mucinous adenocarcinoma
B. GIST
C. Lymphoma
D. Neuroendocrine tumor

D. Neuroendocrine tumor

319

Tumors arising from the peritoneal lining are called:

A. Adenomas
B. Leiomyomas
C. Mesotheliomas
D. Hamartomas

C. Mesotheliomas

320

Which pair correctly describes Shigella?

A. Encapsulated and motile
B. Encapsulated and nonmotile
C. Unencapsulated and nonmotile
D. Unencapsulated and motile

C. Unencapsulated and nonmotile