Path 18 Flashcards


Set Details Share
created 8 days ago by moldyvoldy
updated 2 days ago by moldyvoldy
show moreless
Page to share:
Embed this setcancel
COPY
code changes based on your size selection
Size:
X
Show:

1

Hepatitis ___: This is typically an acute, short-term infection spread through contaminated food or water that does not lead to chronic liver disease.

A

2

Hepatitis ___: It is transmitted through infected blood, sexual contact, or from mother to child during birth and can transition from an acute illness into a lifelong chronic infection (but rarely)

B

3

Hepatitis ___: Primarily spread through blood-to-blood contact (often via shared needles), this type is notorious for being a "silent" infection that becomes chronic in the majority of cases.

C

4

Hepatitis ___: This unique "satellite" virus can only infect people who already have Hepatitis B, as it requires the B virus to replicate.

D

5

Hepatitis ___: Similar to Type A, it is usually spread via the fecal-oral route through tainted water and is generally acute, though it poses a significant risk to pregnant women.

E

6

A patient is developing jaundice from rising bilirubin levels. Which finding is most likely to appear first on physical exam?
A. Diffuse yellowing of trunk skin
B. Yellow discoloration of sclera
C. Orange discoloration of palms
D. Pale conjunctiva without icterus

B. Yellow discoloration of sclera

7

A patient has chronic hemolysis with increased bilirubin production that exceeds the liver’s conjugating capacity. Which condition best explains this mechanism?
A. Extravascular hemolysis causing jaundice
B. Rotor syndrome causing black liver
C. Obstructive jaundice from gallstones
D. Viral hepatitis with duct inflammation

A. Extravascular hemolysis causing jaundice

8

A patient with anemia develops jaundice and is noted to have a higher risk of pigmented bilirubin gallstones. Which underlying process best fits this presentation?
A. Extrahepatic bile duct obstruction
B. Increased bilirubin production from hemolysis
C. Impaired canalicular bilirubin transport
D. Hepatocyte inflammation from hepatitis

B. Increased bilirubin production from hemolysis

this is Extravascular hemolysis causing jaundice

9

A jaundiced patient has dark urine, but the bilirubin responsible for the jaundice itself is not present in the urine because it is not water soluble. What most likely explains the dark urine?
A. Bilirubinuria from obstructive disease
B. Increased urinary urobilinogen excretion
C. Hematuria from renal pigment injury
D. Excess ketones from fasting state

B. Increased urinary urobilinogen excretion

10

A newborn develops jaundice shortly after birth because the liver temporarily has low activity of UGT needed for bilirubin conjugation. What is the most likely diagnosis?
A. Gilbert syndrome
B. Crigler-Najjar syndrome
C. Physiologic jaundice of the newborn
D. Dubin-Johnson syndrome

C. Physiologic jaundice of the newborn

11

A neonate with severe jaundice is at risk for bilirubin deposition in the basal ganglia, causing permanent neurologic injury. Which complication is this?
A. Kernicterus
B. Hepatic encephalopathy
C. Wilson degeneration
D. Subdural hematoma

A. Kernicterus

Physiologic jaundice of the newborn

12

A newborn with jaundice is treated with light exposure that converts UCB into a more water-soluble form. Which treatment was used?
A. Exchange transfusion
B. Phototherapy
C. Ursodiol therapy
D. Iron chelation

B. Phototherapy

Physiologic jaundice of the newborn

13

A healthy young adult has intermittent jaundice only during periods of physiologic stress, such as severe infection. The disorder is otherwise not clinically significant. Which diagnosis is most likely?
A. Crigler-Najjar syndrome
B. Gilbert syndrome
C. Biliary tract obstruction
D. Viral hepatitis

B. Gilbert syndrome

14

A patient has an inherited disorder caused by mildly decreased UGT activity and is otherwise asymptomatic except during stress. What is the inheritance pattern of this condition?
A. X-linked dominant
B. Autosomal dominant
C. Mitochondrial
D. Autosomal recessive

D. Autosomal recessive

this is Gilbert syndrome

15

An infant has a complete absence of UGT1A1 activity and rapidly develops severe neurologic injury from bilirubin deposition. Which syndrome is most likely?
A. Rotor syndrome
B. Crigler-Najjar syndrome
C. Gilbert syndrome
D. Physiologic newborn jaundice

B. Crigler-Najjar syndrome

16

A child has profound jaundice due to complete failure of bilirubin conjugation and develops kernicterus. What is the usual prognosis without effective intervention?
A. Usually self-limited
B. Usually benign
C. Usually fatal
D. Usually relapsing-remitting

C. Usually fatal

17

A patient has an inherited defect in the canalicular transport protein (MRP2) that normally moves bilirubin into bile. Which diagnosis is most likely?
A. Dubin-Johnson syndrome
B. Gilbert syndrome
C. Viral hepatitis
D. Extravascular hemolysis

A. Dubin-Johnson syndrome

18

A patient with chronic jaundice is found incidentally to have a darkly pigmented liver, but is otherwise largely asymptomatic. Which syndrome best fits this picture?
A. Rotor syndrome
B. Dubin-Johnson syndrome
C. Crigler-Najjar syndrome
D. Physiologic neonatal jaundice

A. Dubin-Johnson syndrome

19

A patient has a disorder very similar to Dubin-Johnson syndrome but lacks liver discoloration. Which diagnosis is this comparison describing?
A. Gilbert syndrome
B. Rotor syndrome
C. Viral hepatitis
D. Biliary atresia

B. Rotor syndrome

20

A patient presents with jaundice, intense itching, pale stools, and dark urine. Which mechanism best explains this presentation?
A. Hemolysis overwhelming conjugation
B. Impaired bilirubin uptake into spleen
C. Obstruction of bile flow to intestine
D. Decreased albumin production alone

C. Obstruction of bile flow to intestine

Biliary tract obstruction

21

A patient with jaundice is also found to have xanthomas and pruritus due to retained bile acids. Which disease process most strongly fits this constellation?
A. Viral hepatitis
B. Biliary tract obstruction
C. Gilbert syndrome
D. Crigler-Najjar syndrome

B. Biliary tract obstruction

22

A patient with obstructive jaundice develops greasy stools and deficiency of fat-soluble vitamins. What is the most direct explanation?
A. Failure of bile delivery impairs fat absorption
B. Renal loss of vitamins causes deficiency
C. Pancreatic insulin deficiency limits uptake
D. Splenic sequestration reduces lipid transport

A. Failure of bile delivery impairs fat absorption

Biliary tract obstruction

23

A patient with jaundice is found to have a biliary obstruction. Which underlying cause is specifically associated with this disorder?
A. Severe UGT deficiency
B. Defective canalicular transporter
C. Clonorchis sinensis infestation
D. Basal ganglia bilirubin deposition

C. Clonorchis sinensis infestation

Biliary tract obstruction

24

A patient develops jaundice in the setting of pancreatic carcinoma compressing the biliary tree. Which broader category does this belong to?
A. Obstructive jaundice
B. Hemolytic jaundice
C. Neonatal jaundice
D. Hereditary conjugation defect

A. Obstructive jaundice

25

A patient with liver inflammation develops jaundice because both hepatocytes and small bile ductules are disrupted. Which diagnosis best fits this mechanism?
A. Dubin-Johnson syndrome
B. Viral hepatitis
C. Gilbert syndrome
D. Extravascular hemolysis

B. Viral hepatitis

26

A patient with jaundice has dark urine, but the mechanism is increased urinary bilirubin rather than increased urinary urobilinogen. Which diagnosis best fits that distinction?
A. Extravascular hemolysis
B. Physiologic newborn jaundice
C. Viral hepatitis
D. Gilbert syndrome

C. Viral hepatitis

27

what two are only increased in Conjucated Bilirubin?

dubin-johnson

biliary tract obstruction

28
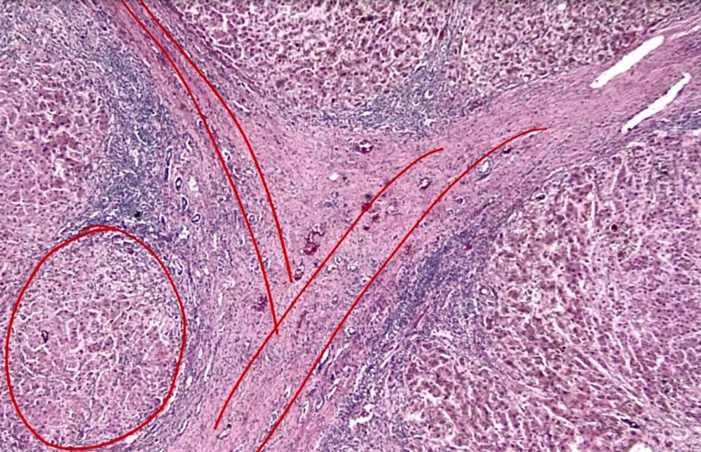
card image

what is this?

cirrhosis

29

A male patient with chronic liver disease develops gynecomastia, spider angiomata, and palmar erythema. What is the most likely cause of these findings?
A. Increased androgen production from adrenal glands
B. Decreased hepatic metabolism of circulating estrogen
C. Excess bile acid deposition in the skin

B. Decreased hepatic metabolism of circulating estrogen

30

A patient with liver failure develops jaundice. Which mechanism best explains this presentation?
A. Increased conjugation of bilirubin in hepatocytes
B. Enhanced renal excretion of bilirubin
C. Decreased metabolism of unconjugated bilirubin

C. Decreased metabolism of unconjugated bilirubin

31

A patient with cirrhosis presents with confusion and a flapping tremor of the hands. Which underlying mechanism best explains these neurologic findings?
A. Accumulation of ammonia due to impaired detoxification
B. Increased bilirubin deposition in peripheral nerves
C. Decreased glucose uptake by neurons

A. Accumulation of ammonia due to impaired detoxification

32

rmbr that the liver does protein synthesis and clotting factor synthesis, so messed up liver would lead to

less protein/albumin

bleeding

33

is pt or ptt used to monitor cirrhosis liver destruction

pt

similar to warfarin

34

alcohol-related liver disease: damage to hepatic ______ due to consumption of alc

parenchyma

35
card image

______ ______

fatty liver

36

A patient presents with acute liver injury after a weekend of heavy binge drinking. The hepatocyte damage is primarily mediated by accumulation of which toxic metabolite?
A. Acetaldehyde
B. Acetone
C. Lactate
D. Pyruvate

A. Acetaldehyde

37

A patient with alcoholic hepatitis develops liver injury due to a toxic intermediate formed during ethanol metabolism. Which step in ethanol metabolism produces this harmful compound?
A. Conversion of ethanol to acetaldehyde
B. Conversion of acetaldehyde to acetate
C. Conversion of acetate to acetyl-CoA
D. Conversion of NADH to NAD⁺

A. Conversion of ethanol to acetaldehyde

38

A patient with a history of heavy alcohol use presents with right upper quadrant pain and hepatomegaly. Laboratory studies show elevated transaminases with AST significantly higher than ALT. What is the most likely explanation for this enzyme pattern?
A. Preferential mitochondrial injury increasing AST release
B. Increased cytosolic enzyme release favoring ALT
C. Selective inhibition of AST synthesis in hepatocytes
D. Enhanced renal clearance of ALT from circulation

A. Preferential mitochondrial injury increasing AST release

39

A patient with obesity and no history of alcohol use is found to have elevated liver enzymes on routine testing. Further evaluation excludes viral, toxic, and other known causes of liver injury. Which diagnosis best fits a disorder that can range from simple fatty change to hepatitis and eventually cirrhosis?
A. Alcoholic hepatitis
B. Nonalcoholic fatty liver disease
C. Dubin-Johnson syndrome
D. Acute viral hepatitis

B. Nonalcoholic fatty liver disease

40

An obese patient with chronically elevated transaminases undergoes evaluation for liver disease. He denies alcohol use, and workup for other known hepatic insults is negative. Which laboratory pattern would most support the suspected diagnosis?
A. AST greater than ALT
B. AST equal to ALT
C. ALT greater than AST
D. Isolated alkaline phosphatase elevation

C. ALT greater than AST

41

A 52-year-old man presents with fatigue, joint pain, and mild hepatomegaly. Labs show elevated liver enzymes. Over time, he develops diabetes and restrictive cardiomyopathy. Liver biopsy shows iron deposition within hepatocytes. Which mechanism best explains the cellular injury leading to this patient’s organ dysfunction?
A. Direct inhibition of mitochondrial DNA replication by iron
B. Free radical formation causing lipid membrane damage
C. Immune-mediated cytotoxic T-cell destruction of hepatocytes
D. Impaired bilirubin conjugation leading to cholestasis

B. Free radical formation causing lipid membrane damage

hemochromatosis

42

primary or secondary hemochromatosis?

damage to the HFE gene, most commonly C282Y

primary

43

primary or secondary hemochromatosis?

complications of transfusions

hemochromatosis

44
card image

hemochromatosis

45
card image

hemochromatosis

46

A patient is diagnosed with an inherited disorder affecting copper handling in hepatocytes. The mutation disrupts an ATP-dependent transport process. Which immediate consequence most directly results from this defect?
A. Failure to transport copper into bile
B. Increased renal excretion of copper
C. Enhanced incorporation of copper into ceruloplasmin
D. Increased intestinal absorption of copper

A. Failure to transport copper into bile

47

A patient with an autosomal recessive defect in the ATP7B gene has impaired copper metabolism. Which combination of abnormalities best reflects the primary defect in hepatocyte function?
A. Increased copper secretion into bile and plasma
B. Decreased copper incorporation into ceruloplasmin
C. Increased binding of copper to albumin
D. Enhanced copper storage in lysosomes only

B. Decreased copper incorporation into ceruloplasmin

48

A patient with a copper metabolism disorder develops progressive liver dysfunction and later presents with confusion and movement abnormalities. Which additional finding would most strongly support the same underlying disease process?
A. Kayser-Fleischer rings in the cornea
B. Elevated alkaline phosphatase only
C. Isolated increase in LDL cholesterol
D. Decreased pancreatic enzyme secretion

A. Kayser-Fleischer rings in the cornea

49

Best initial treatment for Wilson disease:
A. Oral zinc alone
B. IV iron chelation
C. Copper chelators (penicillamine, trientine)
D. Eliminate dietary fructose

C. Copper chelators (penicillamine, trientine)

50

Typical diagnostic profile in Wilson disease:
A. ↑Ceruloplasmin, ↓urine copper
B. ↓Ceruloplasmin, ↑urine copper
C. Normal ceruloplasmin, normal urine Cu
D. ↓Ceruloplasmin, ↓liver copper

B. ↓Ceruloplasmin, ↑urine copper

51

Hereditary hemochromatosis is mainly a disorder of:
A. Excessive iron storage
B. Excessive copper storage
C. Defective zinc export
D. Defective manganese uptake

B. Excessive copper storage

52

The commonest HH mutation:
A. Frameshift in HFE promoter
B. Missense in ATP7B gene
C. Deletion of SLC39A4 exon
D. Tyr→Cys missense in HFE

A. Frameshift in HFE promoter

53

HFE normally binds the transferrin receptor to help induce:
A. Ceruloplasmin
B. Ferritin
C. Hepcidin
D. Albumin

C. Hepcidin

54

In HH, decreased hepcidin leads to:
A. Increased free iron
B. Decreased intestinal iron
C. Severe hypoferritinemia
D. Increased iron in urine

A. Increased free iron

55

HH is usually inherited as:
A. X-linked recessive
B. Autosomal dominant
C. Mitochondrial
D. Autosomal recessive

D. Autosomal recessive

56

A middle-aged patient presents with fatigue and pruritus. Liver biopsy shows lymphocytic and granulomatous destruction of small intrahepatic bile ducts (florid duct lesion). Which mechanism best explains the underlying pathogenesis of this condition?
A. T cell–mediated autoimmune destruction of bile ducts
B. Direct toxic injury to hepatocytes from bile acids
C. Obstruction of extrahepatic bile ducts by stones
D. Increased bilirubin production from hemolysis

A. T cell–mediated autoimmune destruction of bile ducts

Primary biliary cholangitis

57

A patient with chronic cholestatic liver disease undergoes biopsy showing bile duct destruction and hepatocytes with feathery degeneration. What is the most direct cause of this hepatocyte change?
A. Accumulation of bile components within hepatocytes
B. Excess iron deposition causing oxidative damage
C. Viral-mediated cytotoxic injury to hepatocytes
D. Increased glycogen storage within liver cells

A. Accumulation of bile components within hepatocytes

58

A patient with inflammatory bowel disease develops progressive cholestasis. Which additional finding would most strongly support a diagnosis of primary sclerosing cholangitis?
A. Association with HLA alleles and autoantibodies
B. Isolated hepatocyte necrosis without duct involvement
C. Increased iron deposition within hepatocytes
D. Accumulation of copper due to transport defect

A. Association with HLA alleles and autoantibodies

59

A patient with chronic cholestatic liver disease is found to have alternating strictures and dilation of large bile ducts on imaging. Biopsy shows inflammation with periductal fibrosis. Which mechanism best explains the underlying disease process?
A. T cell–mediated immune injury to bile ducts
B. Obstruction of ducts by gallstones
C. Direct hepatocyte toxicity from bile acids
D. Increased bilirubin production from hemolysis

A. T cell–mediated immune injury to bile ducts

This describes Primary sclerosing cholangitis.

60

fulminant liver failure and encephalopathy in children with viral illness who take aspirin.

related to mitochondrial damage of hepatocytes

Reye syndrome

61

A 24-year-old woman using oral contraceptives is found to have a well-circumscribed benign liver mass. Which diagnosis is most likely?

A. Hepatocellular adenoma
B. Hepatoblastoma
C. Cholangiocarcinoma
D. Hemangioma

A. Hepatocellular adenoma

62

Hepatocellular adenoma is most strongly associated with oral contraceptives and:

A. Estrogen withdrawal
B. Anabolic steroids
C. Viral hepatitis
D. Pregnancy alone

B. Anabolic steroids

63

The most common liver tumor of early childhood is:

A. Hepatocellular adenoma
B. Hepatoblastoma
C. Angiosarcoma
D. Focal nodular hyperplasia

B. Hepatoblastoma

64

Widespread parenchymal injury causing zonal loss of contiguous hepatocytes is called:

A. Interface hepatitis
B. Confluent necrosis
C. Spotty necrosis
D. Ballooning degeneration

B. Confluent necrosis

65

The principal liver cell responsible for scar deposition is the:

A. Kupffer cell
B. Hepatocyte
C. Hepatic stellate cell
D. Cholangiocyte

C. Hepatic stellate cell

66

The most severe form of liver disease is:

A. Steatosis
B. Hepatitis
C. Cholestasis
D. Liver failure

D. Liver failure

67

Acute liver failure usually follows:

A. Slow portal fibrosis
B. Chronic biliary obstruction
C. Mild steatosis
D. Sudden massive destruction

D. Sudden massive destruction

68

Chronic liver failure more often follows:

A. Insidious progressive injury
B. Fulminant drug overdose
C. Isolated portal thrombosis
D. Acute bacterial sepsis

A. Insidious progressive injury

69

Acute liver failure is defined by acute liver illness with encephalopathy and:

A. Hyperbilirubinemia
B. Coagulopathy
C. Portal thrombosis
D. Neutropenia

B. Coagulopathy

70

Acute liver failure must occur within what time from the initial injury?

A. 12 weeks
B. 52 weeks
C. 26 weeks
D. 6 weeks

C. 26 weeks

71

Acute liver failure is usually associated with:

A. Massive hepatic necrosis
B. Portal lymphocytosis
C. Bile duct hyperplasia
D. Fatty sparing

A. Massive hepatic necrosis

72

Chronic liver failure is most often associated with advanced fibrosis and:

A. Steatohepatitis
B. Cholangitis
C. Cirrhosis
D. Hemochromatosis

C. Cirrhosis

73

Cirrhosis features diffuse remodeling into parenchymal nodules surrounded by:

A. Fat vacuoles
B. Fibrous bands
C. Sinusoidal thrombi
D. Bile lakes

B. Fibrous bands

74

Cirrhosis often includes a variable degree of:

A. Bacterial translocation
B. Arterial vasospasm
C. Lymphatic obstruction
D. Portosystemic shunting

D. Portosystemic shunting

75

Grossly, cirrhosis converts the smooth liver capsule into a:

A. Pale glassy sheet
B. Soft friable mass
C. Bumpy scarred surface
D. Uniform fatty surface

C. Bumpy scarred surface

76

The depressed scars and bulging nodules of cirrhosis reflect:

A. Necrotizing vasculitis
B. Regeneration and fibrosis
C. Iron deposition only
D. Acute cholestasis

B. Regeneration and fibrosis

77

Portal hypertension results partly from increased resistance to portal flow at the level of the:

A. Central veins
B. Portal venules
C. Hepatic arteries
D. Sinusoids

D. Sinusoids

78

Portal hypertension also involves increased portal flow due to:

A. Portal thrombosis
B. Hyperdynamic circulation
C. Hepatic infarction
D. Splenic rupture

B. Hyperdynamic circulation

79

Which is a major consequence of portal hypertension?

A. Ascites
B. Acute pancreatitis
C. Cholelithiasis
D. Hepatic adenoma

A. Ascites

80

Another major consequence of portal hypertension is formation of:

A. Regenerative nodules
B. Portosystemic shunts
C. Mallory bodies
D. Ground-glass cells

B. Portosystemic shunts

81

Portal hypertension commonly also causes congestive:

A. Hepatomegaly
B. Nephromegaly
C. Splenomegaly
D. Cardiomegaly

C. Splenomegaly

82

Which listed consequence of portal hypertension is commonly discussed under liver failure?

A. Ascites
B. Encephalopathy
C. Splenomegaly
D. Variceal bleeding

B. Encephalopathy

83

Hepatitis B can result in acute hepatitis followed by:

A. Carrier conversion only
B. Recovery and clearance
C. Immediate cirrhosis
D. Cholangiocarcinoma

B. Recovery and clearance

84

A severe possible consequence of hepatitis B is:

A. Massive liver necrosis
B. Amyloid deposition
C. Iron overload
D. Fat embolism

A. Massive liver necrosis

85

Hepatitis B may also produce chronic hepatitis with or without progression to:

A. Steatosis
B. Fibrosis only
C. Cirrhosis
D. Abscess

C. Cirrhosis

86

Which hepatitis B outcome may be clinically silent?

A. Healthy carrier state
B. Acute fatty liver
C. Fulminant cholangitis
D. Budd-Chiari syndrome

A. Healthy carrier state

87

Hepatitis C rarely causes:

A. Chronic hepatitis
B. Symptomatic acute hepatitis
C. Cirrhosis later
D. Persistent infection

B. Symptomatic acute hepatitis

88

Hepatitis C is the most common cause of:

A. Acute liver failure
B. Chronic viral hepatitis
C. Neonatal cholestasis
D. Hepatic adenoma

B. Chronic viral hepatitis

89

Chronic hepatitis requires continuing or relapsing hepatic disease for more than:

A. 3 months
B. 12 months
C. 6 months
D. 1 month

C. 6 months

90

Chronic hepatitis may also be defined morphologically by the presence of:

A. Steatosis
B. Fibrosis
C. Necrosis only
D. Bile plugs

B. Fibrosis

91

The defining histologic feature of chronic viral hepatitis is portal inflammation with:

A. Granulomas
B. Eosinophils
C. Neutrophils
D. Fibrosis

D. Fibrosis

92

The portal inflammatory infiltrate in chronic viral hepatitis is typically:

A. Lymphocytic or lymphoplasmacytic
B. Neutrophilic or eosinophilic
C. Histiocytic or giant-cell
D. Fibrinous or suppurative

A. Lymphocytic or lymphoplasmacytic

93

In chronic hepatitis B, hepatocytes may show a ground-glass appearance due to accumulation of:

A. HCV core protein
B. HBsAg in ER
C. Iron in lysosomes
D. Copper in cytosol

B. HBsAg in ER

94

Infectious agents that can involve the liver and biliary tree include bacteria, fungi, helminths, and:

A. Prions
B. Mycobacteria only
C. Protozoa/parasites
D. Rickettsiae only

C. Protozoa/parasites

95

Autoimmune hepatitis is a chronic progressive hepatitis associated with genetic predisposition, autoantibodies, and response to:

A. Antibiotics
B. Anticoagulation
C. Immunosuppression
D. Antivirals

C. Immunosuppression

96

Which finding supports the diagnosis of autoimmune hepatitis?

A. Low serum IgG
B. Elevated serum IgG
C. Undetectable antibodies
D. Portal vein thrombosis

B. Elevated serum IgG

97

Diagnosis of autoimmune hepatitis requires exclusion of other etiologies such as:

A. Viral hepatitis and drugs
B. Diabetes and obesity
C. Gallstones and pancreatitis
D. Trauma and ischemia

A. Viral hepatitis and drugs

98

A supportive study in autoimmune hepatitis is:

A. Renal biopsy
B. Bone marrow aspirate
C. Liver biopsy
D. ERCP

C. Liver biopsy

99

In the United States, a major cause of acute liver failure is:

A. Drug- or toxin-induced injury
B. Wilson disease only
C. Autoimmune cholangitis
D. Hepatoblastoma

A. Drug- or toxin-induced injury

100

The classic dose-dependent predictable hepatotoxin is:

A. Isoniazid
B. Methotrexate
C. Acetaminophen
D. Halothane

C. Acetaminophen

101

In the United States, the most common cause of acute liver failure requiring transplantation is:

A. Hepatitis B
B. Acetaminophen toxicity
C. Alcoholic hepatitis
D. Budd-Chiari syndrome

B. Acetaminophen toxicity

102

Excessive alcohol intake causes steatosis and dysfunction of mitochondria, microtubules, cellular membranes, and:

A. Cholangiolar transport
B. Oxidative stress pathways
C. Portal venous return
D. Urea excretion

B. Oxidative stress pathways

103

Alcohol-related liver injury ultimately leads to varying degrees of inflammation and:

A. Portal granulomas
B. Bile duct loss
C. Hepatocyte death
D. Splenic infarction

C. Hepatocyte death

104

Which finding is characteristic of hemochromatosis?

A. Hypopigmented skin
B. Pancreatic islet destruction
C. Decreased cardiac output only
D. Isolated nephropathy

B. Pancreatic islet destruction

105

A patient with iron overload has arrhythmias, diabetes, bronzed skin, and arthropathy. Which diagnosis is most likely?

A. Wilson disease
B. α1AT deficiency
C. Hemochromatosis
D. Preeclampsia

C. Hemochromatosis

106

α1-antitrypsin deficiency is characterized in hepatocytes by:

A. Ground-glass cytoplasm
B. Fat vacuoles
C. Mallory bodies
D. Cytoplasmic globular inclusions

D. Cytoplasmic globular inclusions

107

Obstruction of the major hepatic veins causing liver enlargement, pain, and ascites is called:

A. Budd-Chiari syndrome
B. Gilbert syndrome
C. Rotor syndrome
D. Fitz-Hugh-Curtis syndrome

A. Budd-Chiari syndrome

108

In preeclampsia, periportal sinusoids contain:

A. Copper granules
B. Fibrin deposits
C. Bile thrombi
D. Amyloid deposits

B. Fibrin deposits

109

In preeclampsia, hemorrhage into the space of Disse leads to periportal hepatocellular:

A. Apoptosis
B. Ballooning
C. Coagulative necrosis
D. Steatosis

C. Coagulative necrosis

110

Acute fatty liver of pregnancy can range from mild aminotransferase elevation to:

A. Portal fibrosis only
B. Hepatic failure and coma
C. Chronic hepatitis only
D. Budd-Chiari syndrome

B. Hepatic failure and coma