1

Bacillus
2

Cocci
3

Spirili
4

Anabaena
5

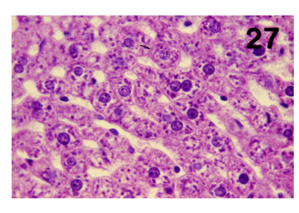
(a) DNA liver sec Feulgen -> DNA Liver Feulgen
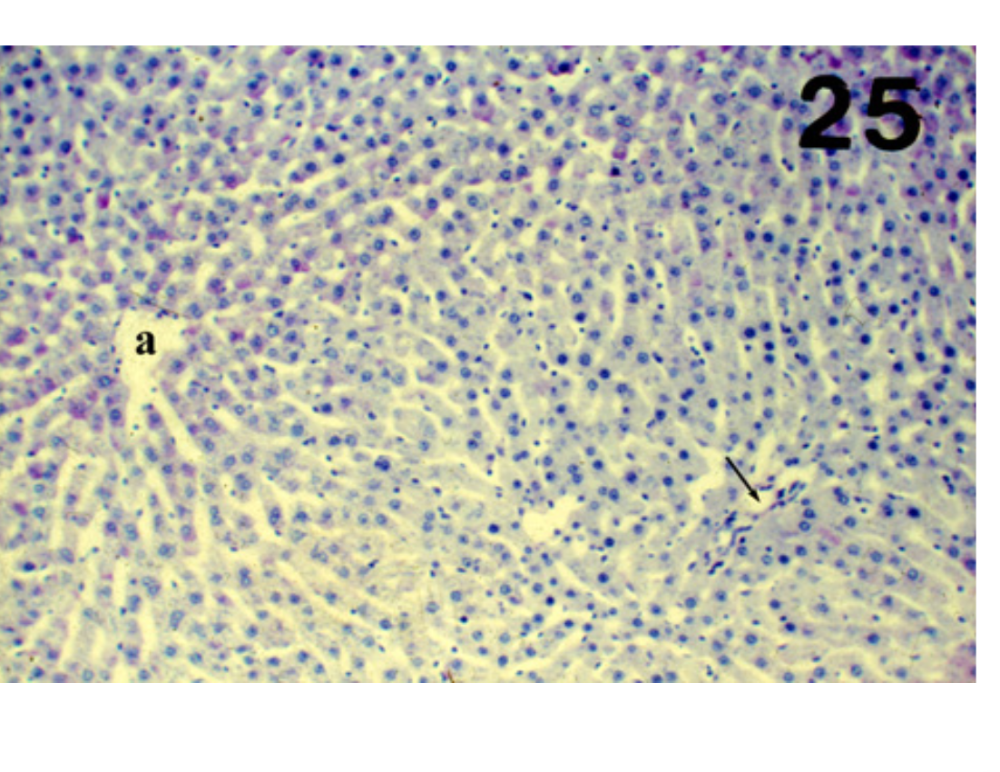
(b) Liver sec.
DNA-ase feulgen -> Liver DNAse trated
6

Glycogen Liver -> Glycogen liver sec
7

Amylase Liver -> Liver sec amylase treated
8

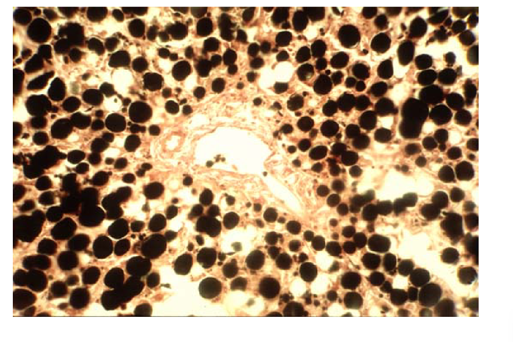
Adipose Osmium treated -> Lipids liver sec. osmic acid
9

Neuron
10

Stentor
11

Volvox
12

Human Sperm
13

Starfish Germinal Vesicle