Anatomy JV Exam 3: Blood Supply to Brain, Dual Sinuses, CSF Flow Flashcards


Set Details Share
created 6 months ago by moldyvoldy
Based on the "JV LECOM Anatomy 2020" Anki Deck
updated 6 months ago by moldyvoldy
show moreless
Page to share:
Embed this setcancel
COPY
code changes based on your size selection
Size:
X
Show:

1
card image

What is 1?

mesencephalon (midbrain)

2
card image

What is 2?

metencephalon

3
card image

What is 3?

medulla

4
card image

What is 4?

inferior olive

5
card image

What is 5?

pons

6
card image

What is 6?

inferior colliculus

7
card image

What is 7?

superior colliculus

8
card image

What is 1?

mesencephalon

9
card image

What is 2?

pons

10
card image

What is 3?

metencephalon

11
card image

What is 4?

medulla

12
card image

What is 5?

pyramidal decussation

13
card image

What is 6?

pyramids

14
card image

What is 7?

inferior olives

15
card image

What is 9?

cerebral peduncles

16

The brain is derived from the ______ ______ located ______ (cranial) to the ______ pair of somites.

neural tube, rostral, fourth

17

The three primary brain vesicles are the ______, the ______, and the ______.

prosencephalon, mesencephalon, rhombencephalon

18

The prosencephalon, or ______, gives rise to the ______ and the ______.

forebrain, telencephalon, diencephalon

19

The mesencephalon, or ______, remains as the ______ in the secondary vesicle stage.

midbrain, mesencephalon

20

The rhombencephalon, or ______, gives rise to the ______ and the ______.

hindbrain, metencephalon, myelencephalon

21

The telencephalon gives rise to the ______ ______ and the ______ ______.

cerebral cortex, basal ganglia

22

The ______ ______ are the remnant of the telencephalon ______.

lateral ventricles, vesicle

23

The diencephalon gives rise to the ______, the ______, and the ______ gland.

thalamus, hypothalamus, pineal

24

The ______ ______ is the remnant of the diencephalon ______.

third ventricle, vesicle

25

The metencephalon gives rise to the ______ and the ______.

pons, cerebellum

26

The ______ ______ is the remnant of the metencephalon ______.

fourth ventricle, vesicle

27

what does the myelencephalon give rise to?

______ ______

medulla oblongata

28

The aqueduct of ______, also known as the ______ ______, is a remnant of the ______ vesicle.

Sylvius, cerebral aqueduct, mesencephalon

29
card image

What is 1?

frontal lobe

30
card image

What is 2?

temporal lobe

31
card image

What is 3?

anterior fossa

32
card image

What is 4?

lesser wing of sphenoid bone

33
card image

What is 5?

middle fossa

34
card image

What is 6?

petrous ridge of temporal bone

35
card image

What is 7?

foramen magnum

36
card image

What is 8?

posterior fossa

37
card image

What is 9?

cerebellum and brainstem

38

The ______ ______ contains the ______ ______ cortex responsible for voluntary movement.

precentral gyrus, primary motor

39

The ______ ______ contains the ______ cortex responsible for processing somatic sensations.

postcentral gyrus, sensory

40

The ______ gyrus of the ______ lobe is involved in ______ and aspects of memory.

superior, temporal, audition

41

The ______ lobe, specifically on the banks of the ______ ______, processes ______ information.

occipital, calcarine fissure, visual

42
card image

What is 1?

primary motor cortex

43
card image

What is 2?

central sulcus

44
card image

What is 3?

primary somatosenosry cortex

45
card image

What is 4?

parietal lobe

46
card image

What is 5?

occipital lobe

47
card image

What is 6?

primary visual cortex

48
card image

What is 7?

primary auditory cortex

49
card image

What is 8?

temporal lobe

50
card image

What is 9?

sylvian fissure

51
card image

What is 10?

frontal lobe

52

The primary motor cortex is located in the ______ ______ and corresponds to Brodmann's area ______.

precentral gyrus, 4

53

The precentral gyrus, where the primary motor cortex resides, is organized ______, meaning specific regions control specific ______ parts.

somatotopically, body

54

Axons from ______ ______ neurons leave the ______ and descend through the ______ ______.

upper motor, cortex, internal capsule

55

After descending through the internal capsule, upper motor neuron axons travel through the ______ ______, enter the ______, and reach the ______ where they form the pyramids.

cerebral peduncle, pons, medulla

56

In the medulla, about ______ percent of fibers cross in the ______ ______ before descending.

ninety, pyramidal decussation

57

After decussation, fibers descend in the ______ ______ tract and synapse on ______ ______ neurons in the ______ horn.

lateral corticospinal, alpha motor, ventral

58

from medial to lateral, describe the motor cortex humunculus:

______ , ______ , ______

______ ,______

______ , ______ , ______ , ______ , ______ , ______

______

______ , ______ , ______ , ______ , ______ , ______ , ______ , ______

toes, knee, hip

trunk,shoulder

arm, elbow, wrist, hand, fingers, thumb

neck

brow, eye, face, lips, jaw, tongue, pharynx, larynx

59

The primary sensory cortex is located in the ______ ______ and corresponds to Brodmann's areas ______, ______, and ______.

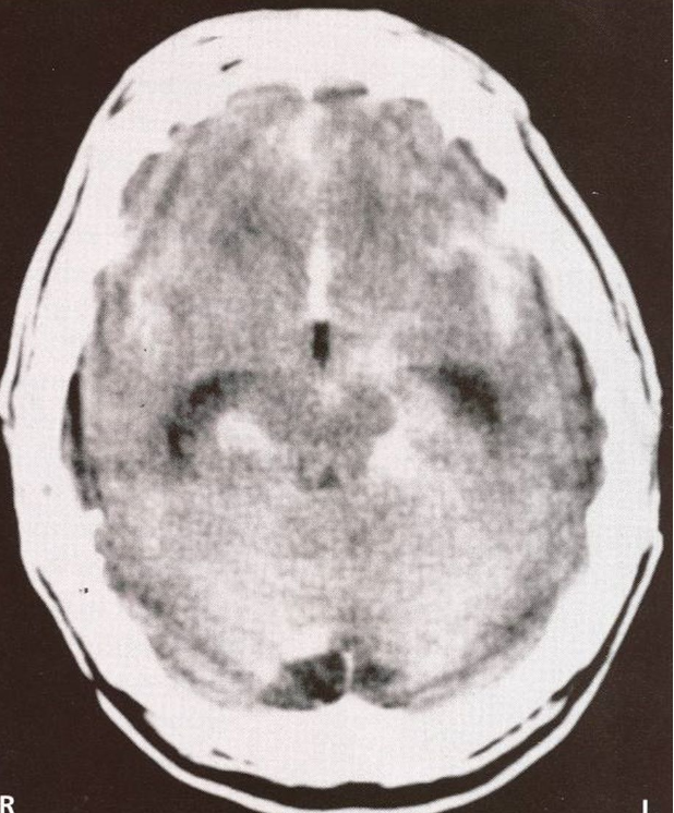
postcentral gyrus, 3, 1, 2

60

Like the primary motor cortex, the postcentral gyrus is organized ______, with distinct regions processing input from specific ______ parts.

somatotopically, body

61

The dorsal column pathway carries ______ ______, ______, and ______ sensations, and it crosses in the ______.

discriminative touch, proprioception, vibration, brainstem

62

The anterolateral system, also known as the ______ tract, carries ______ ______, ______, and ______ sensations, and it crosses in the ______ ______.

spinothalamic, crude touch, pain, temperature, spinal cord

63

Both major sensory pathways relay through the ______ before reaching the ______ cortex.

thalamus, sensory

64

from medial to lateral, describe the sensory cortex humunculus:

______ , ______ , ______ , ______ , ______ , ______

______ , ______ , ______ , ______ , ______ , ______

______ , ______ , ______ , ______ , ______ , ______

______ , ______ , ______

______

genitals, leg, hip, trunk, neck, head

arm, elbow, forearm, hand, fingers, thumb

eye, nose, face, lips, teeth, gums

jaw, tongue, pharynx

abdomen

65

An injury to the corticospinal system (pyramidal tract) ______ the pyramidal decussation results in ______ paralysis.

above, contralateral

66

An injury to the corticospinal system ______ the pyramidal decussation results in ______ paralysis ______ the lesion.

below, ipsilateral, below

67

A spinal cord lesion causes loss of ______ crude touch, ______, and ______ below the lesion due to damage to the ______ system.

contralateral, pain, temperature, anterolateral

68

A spinal cord lesion also results in loss of ______ discriminative touch, ______, and ______ below the lesion due to damage to the ______ columns.

ipsilateral, proprioception, vibration, dorsal

69

The internal carotid artery is a branch of the ______ ______ artery, enters the cranial cavity through the ______ ______, passes through the ______ ______, and primarily supplies the ______, ______, and ______.

common carotid, carotid canal, cavernous sinus, orbit, eye, brain

70

The vertebral artery is the first branch of the ______ artery, travels through the transverse foramina of ______ to ______, enters the ______ ______, and joins the opposite vertebral artery to form the ______ artery.

subclavian, C6, C1, foramen magnum, basilar

71

what is the main blood supply of the brain?

______ ______ a.

______ a.

internal carotid a.

vertebral a.

72
card image

What is 1?

intracranial parts

73
card image

What is 2?

basilar artery

74
card image

What is 3?

posterior cerebral arteries

75
card image

What is 4?

anterior communicating artery

76
card image

What is 5?

anterior cerebral arteries

77
card image

What is 6?

middle cerebral artery

78
card image

What is 7?

origin of opthalmic artery

79
card image

What is 8?

carotid canal

80
card image

What is 9?

internal carotid artery

81
card image

What is 10?

vertebral artery

82
card image

What is 11?

common carotid artery

83
card image

What is 12?

cervical part

84
card image

What is 13?

atlantic part

85
card image

What is 14?

foramen magnum

86
card image

What is 1?

anterior communicating

87
card image

What is 2?

posterior communicating

88
card image

What is 3?

basilar

89
card image

What is 4?

left internal carotid

90
card image

What is 5?

left vertebral

91
card image

What is 6?

left subclavian

92
card image

What is 7?

left common carotid

93
card image

What is 8?

aortic arch

94
card image

What is 9?

brachiocephalic

95
card image

What is 10?

right subclavian

96
card image

What is 11?

right vertebral

97
card image

What is 12?

right common carotid

98
card image

What is 13?

right internal carotid

99
card image

What is 14?

posterior cerebral

100
card image

What is 15?

opthalmic

101
card image

What is 16?

middle cerebral

102
card image

What is 17?

anterior cerebral

103

what is the first branch of the internal carotid a.?

____ ____

ophthalmic a.

104

what branches arise from the vertebral artery?

-____ ____ a.

-____ ____ a.

-____ ____ ____ a.

-anterior spinal a.

-posterior spinal a.

-posterior inferior cerebellar a. "PICA"

105

The basilar artery is formed by the fusion of two ______ arteries and travels rostrally on the anterior aspect of the ______.

vertebral, pons

106

Branches of the basilar artery, from caudal to rostral, include the ______ ______ cerebellar arteries, about ______ pontine arteries, and the ______ cerebellar arteries.

anterior inferior, three, superior

107

The basilar artery bifurcates into two ______ ______ arteries.

posterior cerebral

108

The internal carotid artery enters the cranial cavity via the ______ ______ and passes through the ______ ______.

carotid canal, cavernous sinus

109

The terminal branches of the internal carotid artery are the ______ ______ artery, the ______ ______ artery, and the ______ ______ artery.

posterior communicating, middle cerebral, anterior cerebral

110
card image

arteriogram

1= A = anterior cerebral a

2= M = middle cerebral a.

3= I = internal carotid a.

111

The circle of Willis is an anastomosis between the ______ and ______ ______ systems formed at the base of the ______.

vertebrobasilar, internal carotid, brain

112

The circle of Willis is formed by the ______ ______ artery connecting the left and right ______ ______ arteries.

anterior communicating, anterior cerebral

113

The ______ ______ arteries, one on each side, connect the internal carotid artery to the ______ ______ artery.

posterior communicating, posterior cerebral

114
card image

What is 1?

anterior cerebral

115
card image

What is 2?

opthalmic

116
card image

What is 3?

middle cerebral

117
card image

What is 4?

internal carotid

118
card image

What is 5?

posterior communicating

119
card image

What is 6?

posterior cerebral

120
card image

What is 7?

superior cerebellar

121
card image

What is 8?

basilar

122
card image

What is 9?

anterior inferior cerebellar

123
card image

What is 10?

posterior inferior cerebellar

124
card image

What is 11?

vertebral

125
card image

What is 12?

anterior spinal

126
card image

What is 13?

labyrinthine artery

127
card image

What is 14?

anteiror communicating

128
card image

What is 1?

frontal lobe

129
card image

What is 2?

anterior cerebral artery

130
card image

What is 3?

anterior communicating artery

131
card image

What is 4?

anterior cerebral artery

132
card image

What is 5?

middle cerebral artery

133
card image

What is 6?

posterior communicating artery

134
card image

What is 7?

oculomotor nerve (CN 3)

135
card image

What is 8?

trochlear nerve (CN IV)

136
card image

What is 9?

trigeminal nerve (CN 5)

137
card image

What is 10?

basilar artery

138
card image

What is 11?

labyrinthine artery

139
card image

What is 12?

anterior inferior

posterior inferior

(these are the cerebellar arteries)

140
card image

What is 13?

vertebral artery

141
card image

What is 14?

anterior spinal artery

142
card image

What is 15?

hypoglossal nerve (CN 12)

143
card image

What is 16?

spinal accessory nerve (CN 11)

144
card image

What is 17?

vagus nerve (CN 10)

145
card image

What is 18?

glossopharyngeal nerve (cn 9)

146
card image

What is 19?

vestibulocochlear nerve (CN 8)

147
card image

What is 20?

facial nerve (CN 7)

148
card image

What is 21?

abducent nerve (CN 6)

149
card image

What is 22?

superior cerebellar artery

150
card image

What is 23?

posterior cerebral artery

151
card image

What is 24?

temporal lobe

152
card image

What is 25

internal carotid artery

153
card image

What is 26?

optic nerve (CN 2)

154
card image

What is 27?

corpus callosum

155
card image

What is 28?

olfactory bulb and tract

156
card image

What is 1?

middle cerebral artery

157
card image

What is 2?

internal carotid arteries

158
card image

What is 3?

basilar artery

159
card image

What is 4?

vertebral arteries

160
card image

What is 1?

anterior cerebral arteries

161
card image

What is 2?

internal carotid artery

162
card image

What is 3?

posterior cerebral artery

163
card image

What is 4?

superior cerebellar artery

164
card image

What is 5?

basilar and pontine arteries

165
card image

What is 6?

vertebral artery

166
card image

What is 7?

posteior inferior cerebrellar artery

167
card image

What is 8?

anteior spinal artery

168
card image

What is 9?

posterior spinal artery

169
card image

What is 10?

anterior inferior cerebellar artery

170
card image

What is 11?

posterior communicating artery

171
card image

What is 12?

anterior communicating artery

172
card image

What is 13?

middle cerebral artery and branches

173

an aneurysm to which artery might cause compression/damage to abducens n. (CN VI)?

______ ______ ______ artery

anterior inferior cerebellar artery

174

aneurysm to which artery might cause compression/damage to oculomotor n (CN III)?

______ ______ or ______ ______ arteries

posterior cerebral or superior cerebellar arteries

175
card image

What is 1?

subarachnoid space

176
card image

What is 2?

dura mater

arachnoid mater

pia mater

177
card image

What is 3?

skull

178
card image

What is 4?

intracranial venous structure (superior sagittal sinus)

179
card image

What is 5?

inner meningeal layer of dura mater

180
card image

What is 6?

outer periosteal layer of dura mater

181
card image

What is 7?

dura partition (falx cerebri)

182

The falx cerebri is a crescent-shaped ______ specialization that projects downward between the ______ ______.

dural, cerebral hemispheres

183

Anteriorly, the falx cerebri attaches to the ______ ______ of the ethmoid bone and the ______ ______ of the frontal bone.

crista galli, frontal crest

184

Posteriorly, the falx cerebri attaches to and blends with the ______ ______.

tentorium cerebelli

185

what sinuses traverse the falx cerebri?

______ & ______ ______ sinuses

superior & inferior sagittal sinuses

186
card image

What is 1?

tentorium cerebelli

187
card image

What is 2?

falx cerebri

188
card image

What is 3?

infundibulum

189
card image

What is 4?

diaphragma sellae

190
card image

What is 5?

tentorium cerebelli

191
card image

What is 6?

falx cerebelli

192
card image

What is 7?

tentorial notch

193

what structure separates the cerebellum from the overlying posterior lobes of the cerebral hemispheres?

______ cerebelli - ______ shelf of ______ dura

tentorium cerebelli - horizontal shelf of meningeal dura

194

The tentorium cerebelli is a horizontal shelf of ______ ______ that separates the ______ from the overlying posterior lobes of the ______ ______.

meningeal dura, cerebellum, cerebral hemispheres

195

The tentorium cerebelli attaches posteriorly to the ______ bone, laterally to the superior border of the ______ part of the ______ bone, and anteriorly and medially forms the ______ ______ where the ______ passes through.

occipital, petrous, temporal, tentorial notch, midbrain

196

what structures pass through the tentorial notch?

______

______ ______

midbrain

basilar artery

197

Transtentorial herniation is the herniation of the ______ ______ lobe and ______ through the ______ ______.

medial temporal, uncus, tentorial notch

198

A common type of transtentorial herniation is ______ herniation.

uncal

199

Uncal herniation is a common type of ______ herniation involving the ______ ______ lobe and ______ passing through the ______ ______.

transtentorial, medial temporal, uncus, tentorial notch

200

The clinical triad of uncal herniation includes a ______ pupil due to compression of the ______ complex, ______ from compression of the cerebral ______, and ______ due to distortion of the midbrain ______ system.

blown, oculomotor nuclear, hemiplegia, peduncles, coma, reticular

201
card image

What is 1?

tentorial notch

202
card image

What is 2?

tentorium cerebelli

203

The diaphragma sellae is a small, horizontal shelf of ______ ______ that covers the ______ ______ of the ______ ______.

meningeal dura, hypophyseal fossa, sella turcica

204

The ______ passes through a small opening in the diaphragma sellae within the ______ ______.

infundibulum, sella turcica

205
card image

What is 1?

cut anterior falx cerebri

206
card image

What is 2?

infundibular stalk projecting through the sella turcica

207
card image

What is 3?

tentorium cerebelli has been cut to allow the removal of the cerebellum

208

An epidural hemorrhage, also called an ______ hemorrhage, is a ______-shaped accumulation of blood between the ______ of the calvarium and the ______ layer of the dura.

extradural, lens, bone, periosteal

209

Epidural hemorrhage is usually caused by tearing of the ______ ______ artery, particularly its ______ branch, due to trauma to the ______.

middle meningeal, anterior, pterion

210

In an epidural hemorrhage, blood slowly separates the ______ ______ from the underlying ______.

periosteal dura, bone

211
card image

what has happened to this patient?

epidural/extradural hemorrhage

212

The dura is mostly innervated by the ______ nerve (CN ______), except for the ______ ______.

trigeminal, V, posterior fossa

213

The posterior fossa of the dura, below the ______, is innervated by cervical nerves ______ and ______, which enter through the ______ ______, ______ canal, and ______ foramen.

tentorium, C2, C3, foramen magnum, hypoglossal, jugular

214

The brain itself has no ______ or ______ receptors and is therefore ______.

touch, pain, insensate

215
card image

What is 1?

anterior ethmoidal nerve

216
card image

What is 2?

posterior ethmoidal nerve

217
card image

What is 3?

C2,C3 fibers

218
card image

What is 4?

C2,C3 fibers distributed by CN XII

219
card image

What is 5?

C2 fibers distributed by CN X

220
card image

What is 6?

tentorial nerve (recurrent meningeal branch of opthalmic nerve-CN v3)

221
card image

What is 7?

meningeal branches of mandibular nerve (CN V3) (including nervus spinosus)

222
card image

What is 8?

meningeal branch of maxillary nerve (CN V2)

223
card image

What is 9?

anterior meningeal branches of ethmoidal nerve (CN V1)

224

what attaches the arachnoid to pia?

___ ___ - "look like spider webs"

fine trabeculae - "look like spider webs"

225

within what layer of mater do BVs travel?

_____ space - between _____ & _____ _____

subarachnoid space - between arachnoid & pia mater

226

A subdural bleed is a crescent-shaped hemorrhage caused by torn ______ veins, filling the potential ______ space between the ______ and ______ mater.

emissary, subdural, dura, arachnoid

227

Subdural hemorrhage typically occurs in ______ individuals due to brain ______, which increases the space between the brain and ______, straining veins that connect to the ______ ______ sinuses.

older, atrophy, arachnoid, dural venous

228

The history of a subdural bleed may involve a ______ injury, with or without ______ of ______.

trivial, loss, consciousness

229
card image

what happened to this patient?

subdural bleed/hemorrhage

230

subdural vs epidural bleed (shape of pooled blood)

subdural - ______ shaped
epidural/extradural - ______ shaped

cresent

lens

231

A subarachnoid bleed is a hemorrhage of ______ blood in the ______ space that flows between ______ of the brain into the ______ and accumulates ______.

arterial, subarachnoid, gyri, sulci, rapidly

232

Subarachnoid hemorrhage is frequently caused by the bursting of a ______ ______ and may also result from ______ head trauma.

cerebral aneurysm, significant

233
card image

what has happened to this patient? what most likely caused this injury?

subarachnoid bleed/hemorrhage

significant head trauma

234

The four typical sites of brain herniation are: ______ (under the falx cerebri), ______ (downward herniation of the brainstem), ______ (medial temporal lobe and uncus through the tentorial notch), and ______ (cerebellar tonsil through the foramen magnum).

subfalcine, central, uncal, tonsillar

235

Cushing’s triad is a classic sign of elevated ______ ______ and includes ______, ______, and ______.

intracranial pressure, hypertension, bradycardia, irregular respiration

236

In Cushing’s triad, hypertension is a reflex to maintain ______ ______, bradycardia is a reflex response to ______, and irregular respiration indicates impaired ______ function.

cerebral perfusion, hypertension, brainstem

237

Dural venous sinuses are ______-lined spaces located between layers of the ______ that drain blood into the ______ ______ veins via the ______ foramen.

endothelial, dura, internal jugular, jugular

238
card image

What is 1?

beginning of superior sagittal sinus

239
card image

What is 2?

supra-orbital vein

240
card image

What is 3?

superior opthalmic vein

241
card image

What is 4?

cavernous sinus

242
card image

What is 5?

inferior opthalmic vein

243
card image

What is 6?

pterygoid venous plexus

244
card image

What is 7?

maxillary vein

245
card image

What is 8?

deep facial veins

246
card image

What is 9?

facial vein

247
card image

What is 10?

sigmoid sinus

248
card image

What is 11?

occipital sinus

249
card image

What is 12?

superior and inferior petrosal sinuses

250
card image

What is 13?

transverse sinus

251
card image

What is 14?

straight sinus

252
card image

What is 15?

tentorium cerebelli (inferior surface)

253
card image

What is 16?

great cerebral vein

254
card image

What is 17?

inferior sagittal sinus

255
card image

What is 18?

falx cerebri (cerebral falx)

256
card image

What is 19?

superior sagittal sinus

257

The straight sinus is formed by the junction of the ______ ______ vein (of Galen) and the ______ ______ sinus.

great cerebral, inferior sagittal

258

The straight sinus drains into the ______ of sinuses.

confluence

259

what drains the confluence of sinuses?

______ ______

transverse sinuses

260

The sigmoid sinus receives blood from the ______ sinus and the ______ and ______ petrosal sinuses.

transverse, superior, inferior

261

The sigmoid sinus empties its blood into the ______ ______ vein.

internal jugular

262

The structures that pass through the cavernous sinus are the ______ ______ artery and the ______ nerve (CN ______).

internal carotid, abducens, VI

263

The structures that pass along the wall of the cavernous sinus are the ______ nerve (CN ______), the ______ nerve (CN ______), the ______ division (CN ______₁), and the ______ division (CN ______₂) of the trigeminal nerve.

oculomotor, III, trochlear, IV, ophthalmic, V1, maxillary, V2

264

what structure lies lateral to the body of the sphenoid bone on either side of the sella turcica?

______ ______

cavernous sinus

265

Cavernous sinus syndrome can occur due to metastases from ______, ______, and ______ cancers or from a ______ artery aneurysm in the cavernous sinus.

breast, prostate, lung, carotid

266

Symptoms of cavernous sinus syndrome include ______ (double vision), painful ______, and possible ______ sensory loss.

diplopia, ophthalmoplegia, trigeminal

267

what cancers can metastasize to the cavernous sinus?

______ , ______ , & ______ ______

breast, prostate, & lung cancer

268

The four ventricles of the brain are CSF-filled spaces including two ______ ventricles, one ______ ventricle, and one ______ ventricle.

lateral, third, fourth

269

The two lateral ventricles are located in each ______ ______, the third ventricle is between the ______, and the fourth ventricle is in the region of the ______ beneath the ______.

cerebral hemisphere, diencephalons, pons, cerebellum

270
card image

What is 1?

frontal lobe cortex

271
card image

What is 2?

frontal lobe (white matter)

272
card image

What is 3?

anterior horn of lateral ventricle

273
card image

What is 4?

head of caudate nucleus

274
card image

What is 5?

septum pellucidum

275
card image

What is 6?

column of fornix

276
card image

What is 7?

thalamus

277
card image

What is 8?

3rd ventricle

278
card image

What is 9?

choroid plexus

279
card image

What is 10?

posterior horn of lateral ventricle

280

CSF is produced in the ______ ventricles (~500 cc per day) and flows to the ______ ventricle via the foramina of ______.

lateral, third, Monro

281

CSF flows from the third ventricle to the fourth ventricle through the aqueduct of ______.

Sylvius

282

CSF leaves the fourth ventricle via the median foramen of ______ and the two lateral foramina of ______.

Magendie, Luschka

283

CSF is reabsorbed by the ______ ______ in the ______ ______ sinus.

arachnoid villi, superior sagittal

284
card image

What is 1?

superior sagittal sinus

285
card image

What is 2?

fourth ventricle

286
card image

What is 3?

foramen of magendie (medial foramen)

287
card image

What is 4?

aqueduct of sylvius (cerebral aqueduct)

288
card image

What is 5?

foramen of monro (interventricular foramen)

289
card image

What is 6?

third ventricle

290
card image

What is 7?

laterla ventricle

291
card image

What is 8?

subarachnoid space

292

CSF is reabsorbed in the ______ ______ (also called ______) located in the ______ ______ sinus.

arachnoid villi, granulations, superior sagittal

293

Hydrocephalus is the buildup of ______ in the brain caused by congenital obstruction of the aqueduct of ______ or by ______.

CSF, Sylvius, tumors

294

In young children, before the skull sutures fuse, hydrocephalus causes ______ swelling and can severely damage ______ tissue.

head, brain

295
card image

what has happened to this patient?

hydrocephalus

296

The anterior cranial fossa is supplied by the ______ meningeal arteries, which are branches of the ______ arteries.

anterior, ethmoidal

297

The middle cranial fossa is supplied by the ______ and ______ meningeal arteries, branches of the ______ artery.

middle, accessory, maxillary

298

The middle meningeal artery enters the skull through the ______ ______, while the accessory meningeal artery enters through the ______ ______.

foramen spinosum, foramen ovale

299

The posterior meningeal artery is a branch of the ______ ______ artery.

ascending pharyngeal

300

The corticobulbar tract is an upper motor neuron tract for the ______ with predominantly ______ projections and some ______ projections.

head, crossed, bilateral

301

The corticobulbar tract does not synapse in the ______, ______, or ______ nuclei.

oculomotor, trochlear, abducens

302

The lower part of the ______ nucleus and the ______ nucleus receive crossed corticobulbar tract input.

facial, hypoglossal

303

The ______ ______, motor nucleus for the pharynx and larynx, receives ______ projections via the corticobulbar tract.

nucleus ambiguus, bilateral

304

The trigeminothalamic tract is the head equivalent of the ______ tract. Its primary afferent neurons have cell bodies in the ______ ______ and other sensory ganglia.

anterolateral, trigeminal ganglion

305

In the trigeminothalamic tract, second-order neuron axons ascend and synapse on the ______ ______ nucleus of the ______.

posteromedial, thalamus

306

Third-order neurons of the trigeminothalamic tract project to the ______ ______.

sensory cortex

307

The trigeminal lemniscus is the head equivalent of the ______ ______ pathway.

dorsal column

308

Primary afferent axons for fine touch and vibratory sense synapse in the ______ sensory nucleus of CN V.

chief

309

Primary afferent axons for proprioception have cell bodies in the ______ nucleus of CN V.

mesencephalic

310

Second-order neurons of the trigeminal lemniscus synapse in the ______ nucleus of the thalamus. Third-order neurons of the trigeminal lemniscus project to the ______ ______.

VPM

sensory cortex