
Against the Rule Astigmatism
- Touch along the vertical meridian.
- Flattest Curve in the 90 Meridian
- Pooling (clearance) along
the horizontal meridian
- Steepest Curve in the 180 meridian

Flat Fit
- Apical touch
- Peripheral pooling (clearance)
- Indicates edge lift

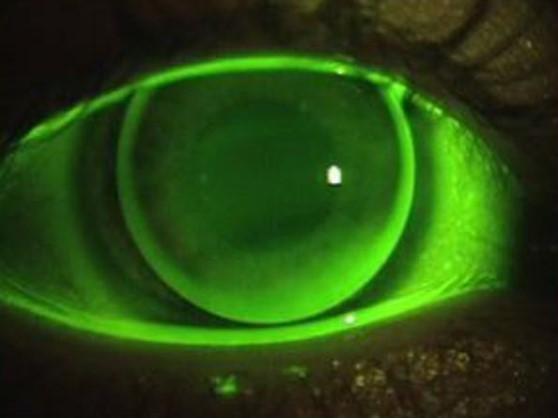
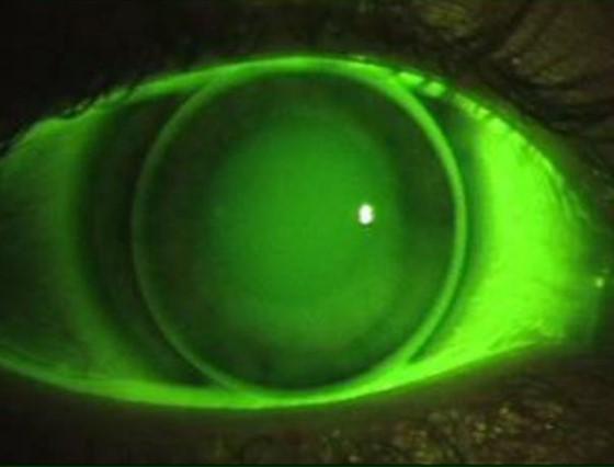
Ideal Fit
- Also known as Alignment Fit
- Even distribution of teas/fluorescein
- represents uniform fluorescein pattern, not an on-K fit.
- Bright ring of fluorescein around perimeter due to flatter peripheral curve.

Steep Fit
- Apical pooling (clearance)
- Central vaulting
- Peripheral touch
- Steep fit is sometimes called Apical Clearance Fit
- Indicates a tight lens fit

With The Rule Astigmatism
- Pooling (clearance) along the vertical meridian.
- Steepest Curve in the 90 Meridian
- Touch
along the horizontal meridian
- Flattest Curve in the 180 meridian
Against the Rule Astigmatism
- Touch along the vertical meridian.
- Flattest Curve in the 90 Meridian
- Pooling (clearance) along
the horizontal meridian
- Steepest Curve in the 180 meridian
Flat Fit
- Apical touch
- Peripheral pooling (clearance)
- Indicates edge lift
Ideal Fit
- Also known as Alignment Fit
- Even distribution of teas/fluorescein
- represents uniform fluorescein pattern, not an on-K fit.
- Bright ring of fluorescein around perimeter due to flatter peripheral curve.
Steep Fit
- Apical pooling (clearance)
- Central vaulting
- Peripheral touch
- Steep fit is sometimes called Apical Clearance Fit
- Indicates a tight lens fit
With The Rule Astigmatism
- Pooling (clearance) along the vertical meridian.
- Steepest Curve in the 90 Meridian
- Touch
along the horizontal meridian
- Flattest Curve in the 180 meridian
Lens fitting philosophies
interpalpebral fit → lens sits between the lids and is
well-centered
lid attached → lens is attached to lids and
controlled by lids, sits more superiorly
Interpalpebral Fitting
An interpalpebral lens-to-cornea fitting relationship often refers to a lens that centers well and is positioned between the lids. It is often achieved with a slightly smaller overall diameter and steeper base curve radius than a lid attachment design.
- work best with wider apertures
Lid Attachment Fitting
The lens design includes an edge contour that sloped toward the lid to enhance lid-lens contact, often resulting in a slightly superiorly decentered fitting relationship.
- lid doesn't feel the lens with each blink because it slightly overlaps the lens
-Lid attachment RGP fits should show a thin, even edge-to-edge layer
of fluorescein stained tear film that
exhibit alignment or
slight apical feathering as well as less than 180 degrees of bearing
in the
mid-periphery to allow for a good tear exchange with each blink.