
In the shoulder diagram to the right, the letter "X" is
located next to which scapular border?
A. Lateral border
B.
Superior border
C. Inferior border
D. Medial border
D. Medial border
-The scapula has three borders, superior, lateral (axillary), and medial (vertebral)

The red arrow is pointing to which part of the femur?
A. Greater
trochanter
B. Lesser trochanter
C. Lateral condyle
D.
Medial condyle
D. Medial condyle
-Remember, the head of the femur is medial and fits into the
acetabulum. Therefore, the red arrow is pointing toward
the
medial condyle.
Which of the following could be considered a reservoir for
infection?
1. Humans
2. Animals
3. Inanimate
objects
A. 1 only
B. 1 & 2 only
C. 2 & 3
only
D. 1, 2 & 3
D. 1, 2 & 3
A reservoir is a place where pathogens can
survive and then be transmitted.
While imaging a patient with chest tube drainage, which of the
following actions must be taken?
A. Clamp drainage tube
B.
Keep drainage tube below chest
C. Raise drainage system above
chest
D. Turn pump off during the exam
B. Keep drainage tube below chest
-When a patient has chest tube drainage it is imperative that
the tubing be kept below the level of the chest. This way the
material being
drained cannot reenter the chest.
The brightness of a digital image affects which of the
following?
A. Sharpness of detail
B. Visibility of
detail
C. Distortion
D. Exposure
B. Visibility of detail
-The image must be a certain brightness to make the details visible. A digital image can be too light or too dark.
What separates the head of the humerus from the body (shaft) of the
humerus?
A. Anatomical neck
B. Bicipital groove
C.
Lesser tubercle
D. Trochlea
A. Anatomical neck
-Directly below the head of the humerus is a narrowed area called the anatomical neck
Where would the CR enter for a cross-table (horizontal beam) lateral
on a patient with a suspected hip fracture?
A. Acetabulum
B.
Iliac crest
C. Intertrochanteric crest
D. Femoral neck
D. Femoral neck
For a cross-table (horizontal beam) lateral hip,
the CR should enter the medial aspect of the thigh and be projected
perpendicular to the
femoral neck.
Oxygenated blood returns from the lungs, through the pulmonary veins,
to which chamber of the heart?
A. Right atrium
B. Left
atrium
C. Right ventricle
D. Left ventricle
B. Left atrium
-The blood then passes through the mitral valve, into the left ventricle and then out the aortic valve into the ascending aorta
What position is the patient's right arm in when radiographing the
upper right posterior ribs in the RPO position?
A. Abducted and
lowered
B. Adducted and lowered
C. Abducted and
elevated
D. Adducted and elevated
C. Abducted and elevated
-This brings the right scapula away from the rib cage
Which of the following exposure indicator optimal value ranges is/are
correct?
1. Fuji's S number, 180 - 220
2. Agfa's log median
number, 2.1 - 2.3
3. Carestream's EI number, 1950 - 2050
A.
1 only
B. 1 & 2 only
C. 1 & 3 only
D. 1, 2
& 3
D. 1, 2 & 3
An exposure indicator number within these ranges
for the various vendors would be considered optimal
Which of the following sequences of examinations is correct?
A.
Gallbladder Sonography, Upper GI, Barium Enema
B. Upper GI,
Gallbladder Sonography, Nuclear Medicine Scan
C. Gallbladder
Sonography, Barium Enema, Upper GI
D. Gallbladder Sonography,
Upper GI, Nuclear Medicine Scan
C. Gallbladder Sonography, Barium Enema, Upper GI
-The gallbladder sonography and nuclear medicine scans need to be done before any barium is placed in the body. Then the B.E., because that barium won't interfere with the UGI the following day.
How many half value layers (HVL) are required to reduce an x-ray beam
from 10 mR/mAs to 5 mR/mAs?
A. 1
B. 2
C. 3
D. 4
A. 1
-A half value layer is the amount of material that will reduce the intensity of an x-ray beam in half. Therefore, 1 HVL will reduce 10 mR to 5mR.
Long bone measurements are taken radiographically for which of the
following reasons?
A. Post reduction of a fracture
B. Length
differences between two sides
C. Bone age
D. Scoliosis
B. Length differences between two sides
-A special metal ruler is used to measure the length of long bones on patients who have different bone lengths
Which of the following will cause a loss in spatial
resolution?
A. High grid ratio
B. High kVp
C.
Motion
D. Pathology
C. Motion
-Motion can cause a loss of spatial resolution because the area of interest will be blurred.
According to the Code of Federal Regulations Title 21 (21 CFR) for
fluoroscopic equipment manufactured after June 10, 2006, the AKR nor
the cumulative air kerma shall not deviate from the actual values by
more than _______ percent.
A. 15
B. 25
C. 35
D. 45
C. 35
-Compliance shall be determined over the range of 6 mGy/min and 100 mGy to the maximum indication of AKR and cumulative air kerma.
During a barium enema, if the patient is supine, the CR angled 30-40
degrees cephalad, 2" inferior to the level of the ASIS and to the
midsagittal plane, what anatomy is best demonstrated?
A. Splenic
flexure
B. Hepatic flexure
C. Rectosigmoid
D. Cecum
C. Rectosigmoid
-This is known as an AP axial projection. The rectosigmoid
segment of the large intestine may also be demonstrated with a PA
axial
projection, LPO or RAO axial obliques or with a
Chassard-Lapine axial projection.
Which of the following types of primary radiation CANNOT be produced
at tube potentials of less than 70 keV?
A. Bremsstrahlung
B.
Photoelectric
C. Compton
D. Characteristic
D. Characteristic
-Primary radiation is produced with either bremsstrahlung or characteristic interactions. It takes at least 70 keV to remove the K-shell electron to produce characteristic radiation.
A patient with known salmonella pathogens has an "accident"
on your x-ray table. What should you do with the contaminated sheets
and pillow case?
A. Place them with the other dirty linen as
usual
B. Place them in a plastic, red contamination bag
C.
Send them to be incinerated
D. Spray them with Lysol before
putting them in a red bag
A. Place them with the other dirty linen as usual
-All linen is considered contaminated, so this case is no
different than all cases. The linen is placed in a water proof hamper
and handled
appropriately by the linen service personnel.
What post-examination instructions should be given to a patient
following a myelogram?
A. Lie supine for six hours
B. Take a
mild laxative to help rid the body of the contrast agent
C.
Remain NPO for 24 hours
D. Elevate head 30 degrees for six hours
D. Elevate head 30 degrees for six hours
-Elevating the
patient's head may prevent him from getting a severe headache.
As an x-ray beam passes through a material its intensity is reduced.
What is this called?
A. Absorption
B. Scattering
C.
Leaking
D. Attenuation
D. Attenuation
The intensity of an x-ray beam is reduced because
some of it is absorbed, some scattered, and the remainder diverged
over a larger area.
According to the Code of Federal Regulations Title 21 (21 CFR),
fluoroscopic equipment manufactured after June 10, 2006 must meet
which of the following standards?
A. The length nor width of the
x-ray field can exceed the image receptor by more than 3% of the
SID.
B. Display of the last-image-hold (LIH) radiograph shall be
replaced by the fluoroscopic image concurrently with re-initiation
of
the fluoroscopic exposure.
C. The display of the air
kerma rate (AKR) shall be clearly distinguishable from the display of
the cumulative air kerma.
D. All of the above
D. All of the above
All of these are standards for fluoroscopy
equipment manufactured on or after June 10, 2006
Which of the following describes the x-ray beam after it has passed
through the patient?
A. Remnant (exit)
B. Scatter
C.
Primary
D. Secondary
A. Remnant (exit)
-Remnant means remaining. Remnant (exit) radiation is what is remaining in the beam after it has passed through the patient
A scoliosis series involves PA projections of which of the following
areas?
A. Cervical and thoracic spines
B. Thoracic and
lumbar spines
C. Lumbar spine and sacrum
D. Entire spine
B. Thoracic and lumbar spines
-The thoracic and lumbar vertebrae must be shown along with 1 - 2 inches of the iliac crest
Accurate centering of the central ray is critical for which type of
grid?
A. Crossed
B. Parallel
C. Focused
D. Perpendicular
C. Focused
-Off-center grid cut-off is more likely with a focused grid
Which of the following is the major source of exposure to the
radiographer?
A. Primary x rays
B. Scatter x rays
C.
Leakage x rays
D. Characteristic x rays
B. Scatter x rays
Scatter radiation from the patient produces the greatest risk to the radiographer, but "backscatter" from the floor and walls, and leakage radiation cannot be ignored. The radiographer should never be in the path of the primary beam.
Which of the following technical factors will cause receptor exposure
to decrease when it is increased?
A. mAs
B. kVp
C.
SID
D. Focal spot size
C. SID
-According to the inverse square law, intensity of the x-ray beam decreases when distance increases.

The quality assurance test at the right helps determine which of the
following?
A. Collimation
B. Spatial resolution
C.
Noise
D. Beam alignment
D. Beam alignment
-The holes will appear as one if the central
ray is truly perpendicular to the image receptor
Which of the following is a postprocessing option to increase the
contrast along the borders of a digital image?
A. Masking
B.
Edge enhancement
C. Equalization
D. Smoothing
B. Edge enhancement
-Edge enhancement improves the visibility of details.
When using anatomically programmed technique (APT) with a digital
system and an average size patient, the radiographer changes the
density control to -2. Which of the following would result?
1.
Decreased brightness
2. Appropriate brightness
3. Increased
quantum noise
A. 1 only
B. 1 & 2 only
C. 1 & 3
only
D. 2 & 3 only
D. 2 & 3 only
With digital imaging systems, almost any
exposure will result in the proper brightness. The only way a -2
density would be noticeable is that the image would have quantum noise
because of the underexposure.
When the x-ray beam is traveling in an anterior to posterior
direction through a patient, with the image receptor touching his
back, which of the
following is true?
1. This would be an AP
projection
2. This would be an AP position
3. This would be
a posterior position
A. 1 only
B. 2 only
C. 1 & 2
only
D. 1 & 3 only
D. 1 & 3 only
Projection is a positioning term used to
describe the path of the x-ray beam. Position is a term that relates
to the patient's physical position (e.g., erect, supine), as well as
the body part that is closest to the image receptor.
Medical asepsis is defined as the _______ of pathogens in the
environment?
A. complete removal
B. spreading
C.
reduction in the number
D. collection
C. reduction in the number
-Medical asepsis is reducing the number of pathogens by washing and cleaning objects that come in contact with patients.
For an AP projection of the sacroilliac joints, the central ray
enters on the midsagital plane at what angle?
A. 10 to 15 degrees
caudad
B. 10 to 15 degrees cephalad
C. 30 to 35 degrees
caudad
D. 30 to 35 degrees cephalad
D. 30 to 35 degrees cephalad
-This position shows the
sacroilliac joints, lumbosacral joint and the entire sacrum.
What is the name of the largest blood vessel in the abdomen?
A.
Celiac
B. Renal
C. Aorta
D. Iliac
C. Aorta
-The aorta leaves the heart and is referred to as the thoracic aorta above the diaphragm and the abdominal aorta below the diaphragm.
Which of the following primary beam sizes would produce the greatest
radiation exposure to the patient?
A. 8 x 10
B. 10 x
12
C. 11 x 14
D. 14 x 17
D. 14 x 17
The larger the area of the patient that is exposed to
radiation, the greater the radiation exposure, and the greater the
risks of biological damage.
Which of the following oxygen delivery systems would indicate the
patient needs a high rate of oxygen supply?
A. Nasal
cannula
B. Oxygen mask
C. Nonrebreathing mask
D. Nasal catheter
C. Nonrebreathing mask
-This high flow system has a reservoir bag attached and prevents rebreathing exhaled air
Which of the following would describe a hemiplegic?
A. Paralyzed
from the waist up
B. Paralyzed from the waist down
C.
Paralyzed on one side
D. Paralyzed in all four
extremities
Hemiplegia indicates paralysis (-plegia) of half
(hemi-) of the body, in this case, one side.
C. Paralyzed on one side
-Hemiplegia indicates paralysis (-plegia) of half (hemi-) of the body, in this case, one side.
If the mAs is 40 and the time is .1 second, the mA setting must be
what?
A. 100 mA
B. 200 mA
C. 300 mA
D. 400 mA
D. 400 mA
mA = mAs/s; mA = 40 mAs/.1 s; mA = 400 mA
During fluoroscopy, where is an acceptable position for the
radiographer to stand?
A. In the room, next to the
patient
B. In the room, next to the radiologist
C. In the
room, as far from the patient as practical
D. Holding the patient
C. In the room, as far from the patient as practical
-The patient is the primary source of radiation exposure to the radiographer. Take a step back away from the fluoroscopy unit whenever possible.
The American Heart Association's guidelines for CPR recommends which
of the following sequences?
A. Airway, breathing,
compressions
B. Compressions, airway, breathing
C.
Breathing, airway, compressions
D. Airway, compressions, breathing
B. Compressions, airway, breathing
-By changing the sequence from ABC to CAB, compressions will be initiated sooner and starting with compressions may encourage more bystanders to begin CPR.
In digital imaging, even though mAs is the controlling factor for
receptor exposure, what advantage does the kVp 15% rule have in the
adjustment
of receptor exposure?
1. Shorter exposure times
are possible
2. Decreased patient dose
3. Greater exposure
latitude
A. 1 & 2 only
B. 1 & 3 only
C. 2 &
3 only
D. 1, 2 & 3
D. 1, 2 & 3
The 15% rule states "a 15% increase in kVp
will double the receptor exposure". By increasing kVp 15%, one
can cut the time in half, thereby
decreasing patient dose. High
kVp techniques provide greater margin for error (latitude).
Cystography is a radiographic examination of which anatomical
part?
A. Bladder
B. Gallbladder
C. Spleen
D. Stomach
A. Bladder
-Cystography is done by injecting contrast media through a urethral catheter into the urinary bladder
Which of the following is necessary for a true lateral position of
the forearm?
1. Elbow flexed 90 degrees
2. Hand placed in a
lateral position
3. Humeral epicondyles superimposed
A. 1
only
B. 1 & 2 only
C. 2 & 3 only
D. 1, 2 &
3
A fourth requirement is to place the humerus on the same
transverse plane as the forearm to make sure a true lateral is obtained
D. 1, 2 & 3
A fourth requirement is to place the humerus on
the same transverse plane as the forearm to make sure a true lateral
is obtained
If an unattended patient is injured by falling off the x-ray table,
why could the radiographer be sued?
A. Assault
B.
Battery
C. Tort
D. Negligence
D. Negligence
A reasonable radiographer would not leave a
patient unattended if there is a possibility of him/her falling.
How long should a patient remain in the upright or lateral decubitus
position before an exposure is made to demonstrate free air in
the
abdomen?
A. 1 minute
B. 2 minutes
C. 5
minutes
D. 10 minutes
C. 5 minutes
-5 minutes is the recommended time to leave a patient in the upright or lateral decubitus position so the free air and fluid have time to move
Which manufacturer refers to its exposure indicator as a log median
number?
A. Agfa
B. Carestream
C. Fuji
D.
Image
Agfa uses a logarithmic number to indicate its imaging
plate exposure.
A. Agfa
-Agfa uses a logarithmic number to indicate its imaging plate exposure.
Which of the following anatomical areas should be covered with
protective shielding when they are in or near a properly collimated
beam?
1. Breasts
2. Bone marrow
3. Reproductive
organs
A. 1 & 2 only
B. 1 & 3 only
C. 2 & 3
only
D. 1, 2 & 3
D. 1, 2 & 3
The breasts, bone marrow (blood producing), and
the reproductive organs are the most radiosensitive areas of the body
and should be
shielded with lead whenever they lie in or near the
x-ray field.
An AP axial sacrum requires the patient to be supine, the CR angled
15-25 degrees cephalad, and entering a point:
A. midway between
the crests of the ilium.
B. 2" superior to the symphysis
pubis.
C. parallel to the sacroiliac joints.
D. at the level
of the sacral foramina.
B. 2" superior to the symphysis pubis.
-The CR is angled 15-25 degrees cephalad to enter at a point 2" superior to the symphysis pubis
Which of the following combinations will reduce patient exposure the
most?
A. Increase grid ratio and decrease speed class
B.
Increase mAs and decrease kVp
C. Increase kVp and decrease
mAs
D. Increase OID and decrease SID
C. Increase kVp and decrease mAs
-By increasing kVp and decreasing mAs, the amount of radiation can be reduced while maintaining radiographic brightness
First-stage entrance-shutters of a variable-aperture collimator are
designed to reduce which of the following?
A. Primary
radiation
B. Secondary radiation
C. Exit radiation
D.
Off-focus radiation
D. Off-focus radiation
-First-stage entrance-shutters stop the
off-focus radiation. The remaining shutters shape the primary beam.
Bone marrow is the largest producer of blood cells in the human body.
Which of the following bone types contain the most bone
marrow?
A. Flat bones
B. Irregular bones
C. Long
bones
D. Short bones
A. Flat bones
-The pelvis, skull, ribs, and sacrum are flat bones that contain blood producing marrow and should be avoided or shielded when imaging a patient if possible.
Which of the following is/are necessary for a patient with contact
precautions?
1. Wear gloves and gown if coming in contact with
patient
2. The patient should be placed in a private room
3.
While imaging the patient use the clean and dirty tech routine
A.
1 only
B. 1 & 2 only
C. 2 & 3 only
D. 1, 2
& 3
D. 1, 2 & 3
Methicillin Resistant Staph Aureus (MRSA) and
Vancomycin Resistant Enterococcus (VRE) are two reasons why a person
would be placed
in contact precautions.
Which of the following is a recumbent position in which the patient's
head is higher than his/her feet?
A. Sim's
B.
Trendelenburg
C. Supine
D. Fowler's
D. Fowler's
The Fowler's position is often used during
myelography to move the contrast media into the lumbar area

What caused the artifact that is demonstrated on this
radiograph?
A. Quantum noise
B. Double exposure
C.
Fog
D. Backscatter
This is a common mistake while doing
several mobile chest radiographs. The radiographer forgot which
cassette had already been exposed and created this double exposure.
B. Double exposure
-This is a common mistake while doing several mobile chest radiographs. The radiographer forgot which cassette had already been exposed and created this double exposure.
How are the electrons focused toward the anode of a typical x-ray
tube during an exposure?
A. Electrostatic lenses
B. Focusing
coil
C. Electron gun
D. Focusing cup
D. Focusing cup
The focusing cup surrounds the filament wires to
keep the electrons in a narrow stream during the exposure.
Which of the following terms describes the intensity of the x-ray
beam?
A. Quality
B. Quantity
C. Primary
D. Remnant
(exit)
Intensity is the number of x rays per area. Quantity
refers to the number of x rays
B. Quantity
-Intensity is the number of x rays per area. Quantity refers to the number of x rays
What is a major benefit of a fixed kVp technique chart?
A.
Decreased exposure latitude
B. Increase in patient
exposure
C. Consistent radiographic contrast
D. Improves
spatial resolution
C. Consistent radiographic contrast
-A fixed kVp chart has the kVp set higher than necessary, which produces a more consistent long scale of contrast.
Which of the following can be used to clean the outside of a CR
cassette?
A. Alcohol
B. Chemical disinfectant
C.
Water
D. All of the above
D. All of the above
-All of these can be used to clean a CR
cassette after it has come in contact with a patient. They should be
cleaned often, but DO NOT get any of these on the inside of the cassette
How does the SNR (signal to noise ratio) affect the quality of a
digital image?
A. SNR has no effect on image quality
B. When
the signal and noise are equal, the quality is the best
C. The
lower the SNR the better the quality of the image
D. The higher
the SNR the better the quality of the image
D. The higher the SNR the better the quality of the image
The
signal refers to the x-ray exposure incident on the image receptor.
Noise is the grainy appearance in an image. If the signal is high
enough, the noise will be covered up.

In the radiograph to the right, the red arrow is pointing to which of
the following anatomical parts?
A. Medial malleolus
B.
Styloid process
C. Apex
D. Navicular
A. Medial malleolus
-The medial malleolus is at the distal end of the tibia and helps form the ankle joint
From a radiograph, how does one tell if a PA axial (Caldwell)
projection of the skull was correctly positioned?
A. The
mandibular condyles will be superimposed
B. The supraorbital
ridges will be superimposed
C. The occipital bone is well
visualized
D. The petrous ridges are projected into the lower 1/3
of the orbits
D. The petrous ridges are projected into the lower 1/3 of the
orbits
-If the tube was not angled 15 degrees caudad, or the
orbitomeatal line was not perpendicular to the image receptor, the
petrous ridges would not be in the lower 1/3 of the orbits.
Which of the following is NOT necessary for the production of x
rays?
A. Source of electrons
B. Acceleration of
electrons
C. Magnetic field
D. Deceleration of electrons
C. Magnetic field
-Whenever high speed electrons are suddenly stopped or
change direction, some or all of their kinetic energy is given up in
the form of
electromagnetic radiation.
f a dynamic recording of a fluoroscopic image is required, how many
frames per second must be recorded?
A. 10
B. 20
C.
30
D. 50
In order to perceive a dynamic image, at least 30
frames per second must be recorded. The new flat panel detectors used
for digital fluoroscopy can record 30 fps.
C. 30
-In order to perceive a dynamic image, at least 30 frames per second must be recorded. The new flat panel detectors used for digital fluoroscopy can record 30 fps.
A lead apron is designed to protect the radiographer from scatter
radiation. A protective apron must have a lead equivalency of at
least:
A. .25 mm.
B. .50 mm.
C. 1.0 mm.
D. 2.0 mm.
B. .50 mm.
-The NCRP changed their recommendation from .25 mm Pb to .50 mm Pb equivalent for lead aprons. Lead gloves changed from .50 mm Pb to .25 mm Pb.
Which of the following must be taken into consideration when
determining the thickness of a protective barrier?
A. Time of
occupancy
B. Workload
C. Use
D. All of the above
D. All of the above
-The occupancy factor is either controlled
(radiation personnel) or uncontrolled (public); workload is measured
in millampere-minutes/week;
the use factor is the percentage of
time the beam is directed toward a particular wall.
While doing an erect abdomen image, the patient warns you that he/she
is about to faint. What should be your first reaction?
A. Run for
help
B. Finish the exam as quickly as possible
C. Sit the
patient on the image table and put their head between their
legs
D. Carefully lower the patient to the floor and have him/her
lie down
D. Carefully lower the patient to the floor and have him/her lie
down
-If a patient faints, there is little chance that you could
hold up that much "dead-weight". Do not leave the patient to
run and get a chair or help. Your main goal is to make sure the
patient does not fall and injure him/herself.
Which of the following would NOT be considered ambient light in a
radiologist's reading room?
A. Light from the display
monitor
B. Light from a lamp
C. Natural light
D.
Fluorescent light
A. Light from the display monitor
-Light from the display monitor is referred to as luminance
Which of the following are considered ways of assessing a patient's
condition?
1. Reviewing the patient's chart
2. Talking and
listening to the patient
3. Observing the patient
A. 1
only
B. 1 & 2 only
C. 2 & 3 only
D. 1, 2 & 3
D. 1, 2 & 3
-Admitting diagnosis, progress reports or any
known allergies can be obtained from the patient's chart. Coherence,
skin color, etc. can be assessed by talking, listening and observing
the patient.
Which of the following must be done when checking a patient for
radiopaque objects?
1. Ask the patient if they have removed all
radiopaque objects
2. Look for radiopaque objects on the
patient
3. Feel for radiopaque objects on the patient
A. 1
& 2 only
B. 1 & 3 only
C. 2 & 3 only
D. 1,
2 & 3
D. 1, 2 & 3
Verbal, visual and tactile methods must be used
to ensure that all radiopaque objects are removed from the patient
Which of the following prefixes means "below"?
A.
Inter
B. Intra
C. Infra
D.
Pseudo
"infra" is the prefix that means
"below", as used in the term "inframammary" (below
the breast).
C. Infra
-"infra" is the prefix that means "below", as used in the term "inframammary" (below the breast).
Edema describes which of the following conditions?
A.
Vomiting
B. Swelling
C. Redness
D. Rapid heart rate
B. Swelling
-Edema is an accumulation of fluid in tissues and is commonly seen in patients with a sprained ankle

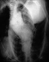
What position/projection is demonstrated on this radiograph?
A.
AP
B. Right lateral
C. RAO
D. LPO
B. Right lateral
-The lateral vertebrae help to identify this as a right lateral stomach
When a patient is being registered, that person's information is
being typed into which of the following?
A. HIS
B.
RIS
C. PACS
D. DICOM
A. HIS
-When a patient is registered, that information is put into the hospital information system (HIS). The radiology information system (RIS) and other hospital intranets then have access to that information.
Which of the following must be done to correct a saturated digital
image?
A. Change the window width
B. Change the window
level
C. Invert the image
D. The image must be repeated.
D. The image must be repeated.
Nothing can be done to correct
the saturated image other than repeating it.
Which of the following is an appropriate way to make sure you have
the correct patient and are doing the correct procedure?
A. Call
the patient's name, follow the orders on the request
B. Check
wristband, follow the orders on the request
C. Check wrist band
and ask the patient for his/her date of birth
D. Ask the receptionist
C. Check wrist band and ask the patient for his/her date of birth
-Checking the wrist band and asking for date of birth are the two accepted means of assuring you have the correct patient.
Which of the following people have the authority to restrain a
patient?
A. Nursing supervisor
B. Radiographer
C.
Patient's family
D. Patient's physician
D. Patient's physician
-The patient's physician is the only
individual who has the legal authority to order a patient to be
restrained. A radiographer should not even hold a patient to restrain
them during a radiographic exam.
If ureteral reflux is suspected during cystography, which of the
following radiographs is necessary?
A. Erect
B. Right
lateral
C. Voiding
D. Post void
C. Voiding
-Ureteral reflux is the backward flow of urine up the ureter during urination.
What is the proper way to move a heavy object?
A. Push
it
B. Pull it
C. Lift it
D. Roll it
A. Push it
-Trying to lift or pull a heavy object puts undue stress on your shoulders and lower back. Pushing allows you to get your weight behind the object.
Which of the following structures should be filled with air for a
soft tissue neck radiograph?
1. Nasopharynx
2.
Oropharynx
3. Trachea
A. 1 only
B. 1 & 2
only
C. 1 & 3 only
D. 1, 2 & 3
D. 1, 2 & 3
-A lateral position of the neck will demonstrate
all three of these structures free from superimposition.
When should a grid be used?
1. When radiographing body parts
greater than 10 cm
2. When using high kVp
3. When the
production of scatter radiation is high
A. 1 only
B. 1 &
2 only
C. 2 & 3 only
D. 1, 2 & 3
D. 1, 2 & 3
The purpose of a grid is to absorb scatter
radiation. Scatter radiation is highest when the body part is large
and/or dense and when high kVp is used.
How would a crack in an imaging plate appear in a digital
image?
A. White
B. Black
C. Gray
D. Dark gray
A. White
-If there is a crack in the imaging plate, no light would be produced in that area. Therefore, the pixel value would be 0, so it would appear white.
What criteria should be used to make sure a lateral position of the
wrist is of optimum quality?
A. The ulnar head and radius should
be superimposed
B. The scaphoid should be well visualized
C.
All carpal bone are free of superimposition
D. The
metacarpophalangeal joints are visualized
A. The ulnar head and radius should be superimposed
-In order to get a true lateral of the wrist, the patient's arm and forearm must be resting on the table, the elbow flexed 90 degrees and the ulnar head and radius superimposed.
You and a co-worker are on the weekend shift. It is a busy department
for a small hospital and it demands a great deal of effort from both
of you. Your co-worker frequently leaves the department to deal with
his personal problems. You do not know much about the circumstances,
nor have you known him for long. Some days your co-worker helps very
little, and, as a result, you are putting in an excessive amount of
overtime to get the patients done. You feel that your health may begin
to suffer because of the stress and the overtime. Which of the
following is the appropriate response?
A. Raise the issue with
your department manager. Explain that the patients are not being done
in a reasonable time because
of the lack of effort from your
co-worker.
B. Continue to put in overtime to keep the
peace.
C. Tell your department manager that you need more than
two people working the weekend shift.
D. Follow the co-worker to
see where he goes.
A. Raise the issue with your department manager. Explain that the patients are not being done in a reasonable time because
-It is your manager's job to solve this problem. Overworking yourself or lying to your manager is not the solution.
Which of the following will cause magnification?
A. Increased
SID
B. Increased filtration
C. Increased grid ratio
D.
Increased OID
D. Increased OID
-An increased OID or a decreased SID will cause magnification.
The capitullum of the humerus articulates with which of the following
anatomical structures?
A. Styloid process of the radius
B.
Head of the radius
C. Head of the ulna
D. Styloid process of
the ulna
B. Head of the radius
-A good way to remember this is that a cap fits on your head. The capitullum articulates with the head of the radius!
What is an imaging contrast agent called that absorbs more x rays
than the surrounding tissue?
A. Low density contrast
agent
B. Absorbing density contrast agent
C. Positive
contrast agent
D. Negative contrast agent
C. Positive contrast agent
-A positive contrast agent has a high atomic number, either barium sulphate or iodine
Which of the following will reduce patient exposure during
fluoroscopy?
1. Pulsed beam
2. Intermittent beam
3. Low
kVp
A. 1 & 2 only
B. 1 & 3 only
C. 2 & 3
only
D. 1, 2 & 3
A. 1 & 2 only
-Newer digital, fluoroscopic units use a pulsed beam instead of a continuous beam to produce the images, reducing patient exposure. A radiologist can use an intermittent beam instead of a continuous beam to reduce patient exposure.
What is the name of the spongy pad that lies between the
vertebrae?
A. Spinous disk
B. Intervertebral disk
C.
Herniated disk
D. Intralumbar disk
B. Intervertebral disk
-Intervertebral disks are found between the bodies of the vertebrae. They act as shock absorbers
Inspiration and expiration PA projections of the chest may be used to
demonstrate which of the following?
A. Pneumonia
B.
Pneumothorax
C. Atelectasis
D. Emphysema
B. Pneumothorax
-Other indications for inspiration and expiration views of the chest are foreign body localization, diaphragm movement or to distinguish between an opacity in the rib or lung.
Which of the following positions would be best when radiographing the
sternum of a trauma patient?
A. LPO
B. RPO
C.
LAO
D. RAO
A. LPO
-Even though the sternum is further from the image receptor in this position, it is easier on the patient and reduces the risk of further injury
When should the timing for a small bowel series begin?
A. When
the patient enters the x-ray room
B. When the patient swallows
the barium
C. When the radiologist completes fluoroscopy
D.
Whenever the radiographer wants
B. When the patient swallows the barium
-Since fluoroscopy time varies with patients and radiologists, to maintain consistency, the timing of a small bowel series should begin when the patient first swallows the barium
If you were alone with a patient that you felt was going into
cardiogenic shock, which of the following should you do while you are
waiting for help
to arrive?
A. Put a blanket on the patient
and elevate his feet
B. Take the patient's blood pressure and
administer oxygen
C. Elevate the patient's feet and start an
IV
D. Start an IV and administer oxygen
A. Put a blanket on the patient and elevate his feet
-Shock is a result of poor blood supply to the vital organs. If you feel your patient may be going into shock because he is restless, has a rapid heart rate, lacks color, and has cold, clammy skin. Your first response is to call for help. Then you should cover him, elevate his feet and reassure him that help is coming soon.
Which of the following postprocessing techniques could be used while
evaluating a digital image for central line placement within
the
mediastinum?
A. Brighten the image
B. Equalize the
image
C. Magnify the image
D. Invert the image
D. Invert the image
-Inverting the image changes the white to
black and the blacks to white. The white catheter will now be black
and a little easier to visualize
When a residual latent image appears on a subsequent CR digital image
it is known as what?
A. Primary image
B. Secondary
image
C. Ghost image
D. Fog
C. Ghost image
-A ghost image can be caused by overexposing the original image or by inadequate erasing of the original imaging plate
A sampling frequency of 5 pixels per millimeter would produce how
much spatial resolution?
A. 2.5 line pairs per millimeter
B.
5.0 line pairs per millimeter
C. 7.5 line pairs per
millimeter
D. 10 line pairs per millimeter
A. 2.5 line pairs per millimeter
-It takes 2 pixels to make a line pair, therefore, 5 pixels would produce 2.5 line pairs per millimeter.

In the image to the right, the red arrow is pointing to which of the
following anatomical parts?
A. Acromion
B. Styloid
process
C. Scapular notch
D. Coracoid process
D. Coracoid process
-The coracoid process projects anteriorly
off the scapula just medial to the acromioclavicular joint
Which of the following positions/projections will produce the least
exposure to the thyroid gland during a cervical spine radiographic
series?
A. AP
B. PA
C. LPO
D. Lateral
B. PA
-A PA projection of the cervical spine will cause the lower energy x-rays to be absorbed before they ever reach the thyroid gland.
Which of the following can be detrimental to viewing digital images
on a monitor?
A. Luminance
B. Wide dynamic range
C.
Ambient light
D. High spatial resolution
C. Ambient light
-Ambient light refers to the overall illumination of a room. It consists of natural light, fluorescent lights and lamps. Ambient light is reflected off the monitor and can reduce the contrast of an image.
What is the function of the National Council on Radiation Protection
and Measurement (NCRP)?
A. Set standards for using
radiation
B. Educate the public about radiation
C. Educate
radiation workers
D. Keep records on radiation hazards
A. Set standards for using radiation
-The National Council on Radiation Protection and
Measurements (NCRP) sets standards for the measurement of and the
protection from
radiation
Which of the following will result in an underexposed radiograph
while using automatic exposure control (AEC)?
A. Insufficient
backup time set
B. Having the upright Bucky selected while using
the table Bucky
C. Having a positive density setting instead of a
normal density setting
D. Small focal spot set
A. Insufficient backup time set
-When the backup time is reached, it will terminate the exposure even though the AEC would require more x rays to terminate the exposure
Which of the following will put the humerus in a true AP
projection?
A. Adduction
B. Abduction
C. AP internal
rotation
D. AP external rotation
D. AP external rotation
-In order to place the humerus in a true
AP projection the hand has to be supinated (arm externally rotated)
Which of the following can be done to reduce the patient's skin dose
during prolonged fluoroscopic examinations?
A. Keep the image
intensifier as close to the patient as possible
B. Keep the kVp
as high as possible
C. Change the patient position
D. All of
the above
D. All of the above
-Also, use tight collimation, keep beam
on-time to an absolute minimum, do not over-use the magnification
mode, minimize room lighting to improve image quality.
Which of the following positions/projections will best demonstrate
the coronoid process of the elbow?
A. AP
B. Medial
oblique
C. Lateral oblique
D. Lateral
B. Medial oblique
-The medial oblique shows the coronoid process free from superimposition. The lateral oblique shows the radial head.
Managing patient information, patient orders, and scheduling
information in the Imaging Department is done on computers using RIS.
What does RIS stand for?
A. Radiology information system
B.
Random input series
C. Realtime information speed
D.
Radiology income studies
A. Radiology information system
-The software that is used for these purposes in the Imaging Department is referred to as the radiology information system.
Children have a greater sensitivity to radiation than adults. Which
of the following should be done to keep radiation exposure to children
to a minimum?
A. Select an imaging modality that minimizes
radiation (e.g., MRI, sonography)
B. Reduce the number of
exposures (eliminate obliques)
C. Shield breasts and
gonads
D. All of the above
D. All of the above
All of the above should be considered for
pediatric patients.
Which of the following positions/projections would best demonstrate a
right pleural effusion?
A. Right lateral
B. Right lateral
decubitus
C. Right posterior oblique
D. AP semierect
B. Right lateral decubitus
-Pleural effusion is an accumulation of fluid in the
pleural cavity (a double-walled membrane that surrounds the lungs).
It is best demonstrated
with the affected side down, in this
case the right side, hence the right lateral decubitus.
Tube angulation will produce which type of shape distortion?
A.
Magnification
B. Minification
C. Elongation
D. Foreshortening
C. Elongation
-Elongation makes the object to appear longer that it actually is. It occurs when the tube is angled or when the tube and image receptor are not properly aligned.
Which of the following interactions with matter leaves an atom
ionized?
A. Compton effect and photodisintegration
B.
Compton effect and photoelectric absorption
C. Pair production
and photodisintegration
D. Pair production and photoelectric absorption
B. Compton effect and photoelectric absorption
-Both of these interactions results in an incoming photon striking an electron and ejecting it from its energy shell, thereby, leaving the atom with more positive charges than negative charges (ionized).
Which of the following positions/projections clearly demonstrate all
four paranasal sinuses?
A. Parietoacanthial (Waters) (horizontal
beam) projection
B. PA axial (Caldwell) (horizontal beam)
projection
C. Submentovertex (full basal) (horizontal beam)
projection
D. Lateral (horizontal beam).
D. Lateral (horizontal beam)
The sphenoid sinuses are of primary
interest in the lateral (horizontal beam) position, since they are not
well demonstrated in other views.
What is the definition of amorphous?
A. A noncrystalline state
of an otherwise crystalline material
B. The process of emitting
light when stimulated by x rays
C. Converting x rays to
light
D. Storing electrical charge for digital viewing
A. A noncrystalline state of an otherwise crystalline material
-Amorphous is defined as a noncrystalline state of an otherwise crystalline material.
What instructions could a radiographer give to a patient following a
small bowel series?
A. Drink plenty of liquids
B. Remain NPO
for 8 more hours
C. Keep head elevated for 24 hours
D. Take
a strong laxative
A. Drink plenty of liquids
-Since barium can become hardened in the large bowel, the radiographer can tell the patient to drink plenty of liquids. It is not appropriate for a radiographer to instruct the patient to take a laxative. It may be contraindicated for some patients.
What do the letters RBE stand for?
A. Radiation by
exposure
B. Roentgen biological effect
C. Relative
biological effect
D. Radiation beam entrance
C. Relative biological effect
-RBE describes the capability of various radiations to produce a particular biological effect.
What part of the CR imaging plate is used to match the imaging plate
to a particular patient/examination?
A. Reader
B.
Barcode
C. Plate ID
D. Backing
B. Barcode
-A barcode is printed on the back of the plate which is read by a barcode reader to match the imaging plate to a patient/examination.
Which of the following would best demonstrate a blow-out fracture of
the orbit?
A. PA axial (Caldwell) projection
B.
Parietoacanthial (Waters) projection
C. Modified parietoacanthial
(modified Waters)
D. Lateral
C. Modified parietoacanthial (modified Waters)
-The difference between a Waters and modified Waters is that the modified Waters has the chin and nose resting on the tabletop, which makes the OML form a 55 degree angle with the image receptor. A Waters forms a 37 degree angle when the nose does not touch the tabletop.
The body part _______ the image receptor is referenced when
describing the term "position".
A. above
B.
behind
C. nearest
D. farthest from
C. nearest
-The term position refers to a specific body position, oblique or decubitus, in which the body part nearest the image receptor describes the position. For example, a right anterior oblique would have the right anterior side nearest the image receptor.
At a 40" SID, the collimator light-to-x-ray field must be
accurate to within how many inches?
A. 0.4"
B.
0.8"
C. 1.6"
D. 4.0"
2% of 40"
equals 0.8"
B. 0.8"
-2% of 40" equals 0.8"
Going from the easiest to penetrate to the hardest to penetrate,
which of the following is in the correct order?
A. Fat, gas,
muscle, bone
B. Gas, fat, muscle, bone
C. Bone, muscle, fat,
gas
D. Gas, muscle, fat, bone
B. Gas, fat, muscle, bone
-The less the tissue density, the easier to penetrate
What is the name of the organ that lies within the duodenal
loop?
A. Spleen
B. Pancreas
C. Adrenal
D. Gallbladder
B. Pancreas
-The pancreas lies within the duodenal loop and the main pancreatic duct empties into the duodenum through the sphincter of Oddi.
Which of the following terms describes the horizontal portion of the
mandible?
A. Alveolar process
B. Ramus
C. Body
D.
Condyloid process
C. Body
-The mandible has a curved, horizontal portion called the body.
Which of the following tarsal bones articulates with the talus
anteriorly?
A. Calcaneus
B. Cuboid
C. Cuneiform
D. Navicular
D. Navicular
The navicular lies anterior to the talus and the
calcaneus lies inferior to the talus.
Which of the following image matrix sizes is necessary to produce
adequate spatial resolution for digital chest radiography?
A. 256
x 256
B. 512 x 512
C. 1024 x 1024
D. 2048 x 2048
D. 2048 x 2048
-A 2048 x 2048 matrix is necessary to produce an
image sharp enough for an accurate diagnosis of chest details.
Which of the following automatic exposure control (AEC) functions
will prevent overexposing the patient in the event of a malfunction
or
mispositioned x-ray beam?
A. Focal spot size
B.
Brightness control
C. Back-up timer
D. Sensor control
C. Back-up timer
-The back-up timer or back-up mAs should be set to approximately 150% of the expected value.
Where should the central ray enter for an AP axial projection of the
foot?
A. 3rd metatarsophalangeal joint
B. Base of the 3rd
metatarsal
C. Anterior talus
D. Medial cuneiform
B. Base of the 3rd metatarsal
-The base of the 3rd metatarsal is the proximal end of the metatarsal, which is in the center of the foot.
The histogram is used to automatically rescale the image to the
proper brightness. Which of the following could cause an error with
the
histogram analysis?
1. Exposure field NOT
detected
2. Unexpected metal in the data set
3. Gross
overexposure
A. 1 & 2 only
B. 1 & 3 only
C. 2
& 3 only
D. 1, 2 & 3
D. 1, 2 & 3
-Anything that would change the shape of the
histogram could cause an error in the histogram analysis. When the
exposure field is not detected or there is metal in the anatomy (e.g.,
prosthesis) the image will usually be too dark because the algorithm
tries to automatically rescale the light areas to the proper tissue brightness.
What is the definition of a fomite?
A. An insect
B. A
method of sterilization
C. A small animal
D. An item to
which microorganisms cling
D. An item to which microorganisms cling
-A fomite is an object
or item to which microorganisms cling, serving as an agent of
transmission of an infection
You received the requests for the following procedures all at the
same time. In what sequence would you perform these
procedures?
1. UGI series on pediatric patient
2. Ankle
radiograph from the emergency room
3. Lumbar spine on
outpatient
A. 1, 2 then 3
B. 2, 1 then 3
C. 2, 3 then
1
D. 3, 1 then 2
B. 2, 1 then 3
-Emergency patients are always first. Then pediatric and geriatric patients who are fasting. Followed by routine imaging procedures.
Which of the following hospital personnel is considered
"qualified" to interpret radiation monitoring
reports?
A. Registered staff radiographer
B. Chief
technologist
C. Certified medical physicist
D. Hospital administrator
C. Certified medical physicist
-Radiation monitoring reports must be interpreted by a "qualified expert", a certified medical physicist.
A test pattern should be used to evaluate which of the following
monitor qualities?
A. Contrast
B. Spatial resolution
C.
Luminance
D. All of the above
D. All of the above
Noise can also be evaluated with a test pattern.
You are imaging a patient with head trauma in the emergency room and
he suddenly appears drowsy and confused. What is your
immediate
response?
A. Work quickly to finish the
procedure
B. Notify the ER physician or ER nurse
C.
Administer oxygen
D. Gently shake the patient to wake him up
B. Notify the ER physician or ER nurse
-Always be aware of a patient's clinical symptoms and get help immediately if they change for the worse

What must be done to correct this radiograph of the dens?
A.
Rotate the head to the right
B. Flex the chin
C. Extend the
chin
D. Open the mouth wider
B. Flex the chin
-With the mouth open, flexing the chin will keep the base of the skull from superimposing the dens. The position calls for the upper incisors and the base of the skull to be superimposed.
The speed at which the projectile electrons are accelerated across
the x-ray tube is determined by which of the following?
A.
mAs
B. kVp
C. Thermionic emission
D. Rotor speed
B. kVp
-As kVp increases, the projectile electrons increase in speed. This increase in kinetic energy increases the energy of the resultant x rays.
Which of the following describes the part of the fluoroscopic system
designed to maintain a constant image brightness?
A. Automatic
exposure rate control (AERC)
B. Automatic collimation
C.
Automatic programmed radiography
D. Automatic channel selector
A. Automatic exposure rate control (AERC)
-Automatic exposure rate control (ABC) is designed to compensate for changes in patient positioning and/or tube movement during fluoroscopy.
Which of the following methods uses light to imprint information onto
an image?
A. Photographic
B. Radiographic
C.
Electronic
D. Magnetic
A. Photographic
-This method is used to record patient demographics onto an image
Which type of radiation has a greater biological effect on a tissue
when its cells are well oxygenated?
A. X or gamma
radiation
B. Fast neutrons
C. Alpha particles
D. Beta particles
A. X or gamma radiation
-The oxygen effect is important for low LET radiation (x or gamma), but less important for higher LET radiation (alpha particles). Low LET radiation penetrates deeper making a more uniform distribution throughout the cell.
Which of the following anatomical structures is at the level of the
iliac crest?
A. T10
B. L2-3 interspace
C. Body of
L3
D. L4-5 interspace
D. L4-5 interspace
T10 is at the level of the xiphoid tip and
L2-3 interspace is at the lower costal margin.
Personnel monitoring is required when there is a chance that an
employee will be exposed to:
A. 1/25 or more of the annual
effective dose limits of 50 mSv in any one year
B. 1/10 or more
of the annual effective dose limits of 50 mSv in any one year
C.
1/4 or more of the annual effective dose limits of 50 mSv in any one
year
D. 3/5 or more of the annual effective dose limits of 50 mSv
in any one year
B. 1/10 or more of the annual effective dose limits of 50 mSv in any one year
-The NCRP #116 requires individuals for whom there is a reasonable probability of exceeding 10% of the occupational effective dose limit (50 mSv/year) in the course of their work to wear a radiation monitor.
Digital imaging has created which of the following poor radiation
practices?
A. Overexposure
B. Bad images are electronically
erased
C. Poor collimation is hidden by cropping
D. All of
the above
D. All of the above
Digital images can easily be overexposed,
deleted or cropped, hiding a radiographer's incompetence.
What is the suture between the parietal bones and the occipital bone
called?
A. Sagittal
B. Coronal
C. Lambdoidal
D. Squasmosal
C. Lambdoidal
-The sagittal is between the parietals, the coronal is between the parietals and frontal, and the squasmosal is between the parietal and temporal.
Which projection of the knee will show the proximal tibiofibular
articulation free from superimposition?
A. AP or PA
B.
Lateral
C. Lateral oblique
D. Medial oblique
D. Medial oblique
Identifying the proximal tibiofibular
articulation is the way to check to make sure the correct oblique
position was obtained.
What is the purpose of the photodetector in a CR reader?
A. It
guides the laser light in a raster pattern
B. It scans the
surface of the image plate
C. It converts the analog data to
digital data
D. It converts photostimulable luminescence into an
electric current
D. It converts photostimulable luminescence into an electric
current
When the laser excites trapped electrons, photostimulable
luminescence (light) is produced; the light is directed through a
light guide to the
photodetector where it is converted to an
electric current; the analog to digital converter (ADC) converts the
electric current into digital data.
Quantum noise in a digital image is the result of which of the
following?
A. Low kVp
B. High mAs
C.
Overexposure
D. Underexposure
D. Underexposure
-Quantum noise is the result of not enough x
rays striking the image receptor. The image receptor would be underexposed.
When a patient is transported to the imaging department, their chart
is brought with them. Why is their chart brought?
A. To determine
if you have the proper patient
B. To check the patient's weight
so you will not have to embarrass them by asking
C. To have in
case of an emergency
D. To determine the patient's risk factors
D. To determine the patient's risk factors
-The patients' risk
factors should be noted on the front of the chart. The technologist
should also check inside the chart to see if the imaging procedure was
ordered or if there are any contraindications to the procedure (e.g.,
creatinine level, BUN).
When using automatic exposure control (AEC), how can the radiographer
decrease the time of the exposure and still maintain a
satisfactory
exposure?
A. Decrease the kVp
B. Increase
the mA
C. Increase the focal spot size
D. Decrease the
back-up time
B. Increase the mA
-The same principles are true with AEC as they are with manual exposures. An increase in mA or kVp will allow the exposure time to be reduced.
What is the name of the plane that divides the body into anterior and
posterior halves?
A. Transverse plane
B. Horizontal
plane
C. Vertical plane
D. Midcoronal plane
D. Midcoronal plane
The midcoronal plane passes through the
coronal suture of the skull
Which of the following documents describes the treatment that is due
a patient?
A. Conduct Code
B. Professional Code of
Ethics
C. AHA Patient Care Partnership (Patient's Bill of
Rights)
D. Scope of Practice
C. AHA Patient Care Partnership (Patient's Bill of Rights)
-The AHA Patient Care Partnership (Patient's Bill of
Rights) lists a number of rights of a patient. Everything from the
right to know your name
to the right to refuse treatment.
What is the shortest portion of the small intestine?
A.
Ileum
B. Pylorus
C. Jejunum
D. Duodenum
D. Duodenum
-The small intestine measures approximately 18 feet
in length. The duodenum is only 10 inches long. The jejunum is 7 feet
long and the ileum
is 10 feet long
Immobilization methods used in radiology:
1. help the patient
remain still for the purpose of producing a quality image.
2.
include tape and sandbags.
3. include restraints such as ankle or
wrist bands that are being used to protect the patient.
A. 1
& 2 only
B. 1 & 3 only
C. 2 & 3 only
D. 1,
2 & 3
A. 1 & 2 only
-Immobilization includes temporary methods to help the patient stay still during the x-ray exposure and include tape and sandbags. Unlike restraints, which help protect the patient, these are used only for the procedure
The dynamic range of an image display monitor is:
A. the range
of intensities that can be display.
B. also referred to as
display latitude.
C. what determines the brightness of the
digital image.
D. what prevents ambient light from affecting the image.
A. the range of intensities that can be display.
-The dynamic range is from the smallest to largest input intensities that can be displayed
A flat-panel detector is exposed with nothing between the x-ray tube
and detector. 5 images were acquired on 5 different days using the
same exposure. The pixel readings within a region of interest (ROI)
are compared. What quality control test was performed?
A.
Detectability
B. Linearity
C. Repeatability
D. Uniformity
C. Repeatability
-Repeatability checks the stability of the pixel readings over time.

Why was this IVU radiograph repeated?
A. Fog
B.
Motion
C. Overexposed
D. Static
B. Motion
-Motion is seen in the left kidney area
Which of the following is a postprocessing option to remove white
areas from the final digital image that is caused by tight
collimation?
A. Blocking
B. Masking
C.
Shadowing
D. Bordering
B. Masking
-Digital images that are tightly collimated have clear white areas that can fatigue a radiologist's eyes. Blocking this white light is called masking and it can be done manually or automatically
When should a water soluble contrast agent, such as Gastrografin, be
used instead of barium?
1. When there is a possibility of a
perforated ulcer
2. When a patient is under one year old
3.
When a ruptured appendix is suspected
A. 1 only
B. 1 & 3
only
C. 2 & 3 only
D. 1, 2 & 3
B. 1 & 3 only
-Barium sulfate will not be absorbed by the body. Therefore, if there is a "hole" in the gastrointestinal tract, barium would leak into the abdomen and cause infection. Barium would be indicated for children.
According to the law of Bergonie and Tribondeau, which of the
following will have the greatest effect on cell
radiosensitivity?
A. Increased proliferation, immature cell, high
metabolic rate
B. Decreased proliferation, immature cell, high
metabolic rate
C. Increased proliferation, mature cell, high
metabolic rate
D. Increased proliferation, immature cell, low
metabolic rate
A. Increased proliferation, immature cell, high metabolic rate
-An increased proliferation (reproduction) rate means cells are in the metaphase stage of mitosis more often and therefore, more radiosensitive. An immature cell cannot repair itself from radiation damage as well as a mature cell. A high metabolic rate increases the radiosensitivity of cells.
Which of the following primary factors has the greatest effect on
subject contrast?
A. mA
B. Time (seconds)
C.
kVp
D. SID
C. kVp
-Subject contrast is affected by tissue thickness, tissue density and x-ray beam energy (kVp).
A female gonadal shield should be placed with:
A. the upper
margin covering the breasts.
B. the upper margin at the iliac
crests and the lower margin at the symphysis pubis.
C. the lower
margin at the symphysis pubis and the upper margin on the pelvic
inlet.
D. the lower margin at the symphysis pubis and the upper
margin at the level of the ischial spines.
C. the lower margin at the symphysis pubis and the upper margin on the pelvic inlet.
-Gonadal shields are only used when they will not interfere with the examination.
In the case of an electrical emergency, which of the following should
be done immediately?
A. Turn off the lights
B. Turn off the
control panel
C. Turn off the main breaker switch
D. Call
the hospital maintenance department
C. Turn off the main breaker switch
-The main breaker switch turns off the electrical current to the entire radiographic room. A quick response may prevent serious injury.
What is another name for the second cervical vertebra?
A.
Axis
B. Atlas
C. Process
D. Spinous
A. Axis
-The 1st cervical vertebra (atlas) rotates around the axis (second cervical vertebra).
Which of the following would be found in a thermoluminescent
dosimeter (TLD)?
A. Aluminum filter
B. Copper filter
C.
Lithium fluoride crystal
D. Zinc cadmium sulfide screen
C. Lithium fluoride crystal
-When exposed to radiation, the TLD absorbs energy and stores it in the form of excited electrons in the lithium fluoride crystalline lattice. When heated, these excited electrons fall back to their normal orbital state with emission of visible light. The intensity of light is proportional to the radiation dose received.
Which of the following complications of diabetes results when a
patient has an excess amount of insulin in his/her
bloodstream?
A. Hypoglycemia
B. Ketoacidosis
C.
Respiratory distress
D. Hyperosmolar
A. Hypoglycemia
-The radiographer's response would be to get the patient something with sugar in it immediately?
Which of the following anatomical structures are part of the
sternum?
1. Manubrium
2. Tubercle
3. Xiphoid
process
A. 1 only
B. 3 only
C. 1 & 3 only
D.
1, 2 & 3
C. 1 & 3 only
-A tubercle would be found on a rib, where it articulates with the transverse process of a thoracic vertebra.
Which of the following grid ratios will result in the greatest
increase in patient exposure?
A. no grid
B. 5:1 grid
C.
8:1 grid
D. 12:1 grid
D. 12:1 grid
An increase in grid ratio will absorb more scatter
radiation resulting in a decrease in image brightness. Therefore, the
exposure will have to be increased to produce the proper brightness. A
12:1 grid requires 5 times more exposure than no grid.
Which of the following positions/projections are required when the
determination of the alignment of fractures is necessary?
A. AP
only
B. AP and lateral
C. AP and both obliques
D. AP
and PA
B. AP and lateral
-There always has to be two projections, 90 degrees from each other, in order to determine the alignment of fractures. AP and lateral are the required views.
Automatic exposure control (AEC) was used for an erect abdomen but
the SID was left at 72" SID instead of moving it to 40". The
image will be:
A. underexposed.
B. overexposed.
C.
properly exposed.
D. fogged.
C. properly exposed.
-The AEC will remain on until the proper number of x rays have struck the ionization chamber. or until the backup time is reached. In most cases, the result would be a properly exposed image.
To introduce contrast medium for myelography, the subarachnoid space
is punctured at which of the following sites?
A. C6-7
B.
T10-11
C. L1-2
D. L3-4
D. L3-4
The subarachnoid space can be punctured at either C1-2
or L3-4.
Since imaging plates and flat-panel detectors are sensitive to
scatter radiation, which of the following are necessary?
1.
Restrict the beam to just the area of interest
2. Do not
overexpose the patient, even though you can with digital
imaging
3. Use a grid for any part greater than 10 cm, and on all
adult chests
A. 1 & 2 only
B. 1 & 3 only
C. 2
& 3 only
D. 1, 2 & 3
D. 1, 2 & 3
Even low levels of scatter radiation effect
digital image receptors. Using beam restrictors, technique charts or
automatic exposure control (AEC), and grids are necessary to produce
an optimum digital image.
Which vertebrae have costovertebral joints?
A. Cervical
B.
Thoracic
C. Lumbar
D. Sacrum
B. Thoracic
-A costovertebral joint is where the head of a rib articulates with the facet of a thoracic vertebra.
Which of the following needles has the smallest lumen?
A. 15
gauge
B. 19 gauge
C. 21 gauge
D. 25 gauge
D. 25 gauge
-The larger the gauge number, the smaller the
needle's diameter, or lumen. The 25 gauge needle has the smallest lumen
To reduce occupational exposure, the radiographer should consider
which of the following before each exposure?
1. Time
2.
Distance
3. Shielding
A. 1 & 2 only
B. 1 & 3
only
C. 2 & 3 only
D. 1, 2 & 3
D. 1, 2 & 3
Known as the cardinal rules of radiation
protection, the radiographer should spend as little time as possible
in the imaging room during the exposure, put shielding between him/her
and the source and stand back as far as possible.
Lead aprons CANNOT protect the radiographer from which of the
following types of radiation?
A. Primary
B.
Secondary
C. Scatter
D. Leakage
A. Primary
-Lead aprons are designed to protect the radiographer from scatter radiation
Flat-panel detectors are sensitive to low intensity background
radiation because of their wide dynamic range and high detective
quantum
efficiency (DQE). How do flat-panel detectors remove the
fog caused from background radiation?
A. The flat-panel is erased
after every exposure
B. The flat-panel is removed and put through
a reader
C. The flat-panel erase button is pushed on the control
panel
D. The flat-panel is discharged electronically every 35 seconds
D. The flat-panel is discharged electronically every 35
seconds
-Approximately every 35 seconds, the flat-panel
detectors' capacitors are electronically discharged. This removes any
fog due to background radiation or scatter.

In the drawing to the right, the red arrow is pointing to which of
the following structures?
A. Common bile duct
B. Cystic
duct
C. Hepatic duct
D. Pancreatic duct
A. Common bile duct
-The hepatic duct (leaving the liver) and the cystic duct (leaving the gallbladder) join together to form the common bile duct which empties bile into the duodenum.
A digital image receptor exposed to 50% less radiation than optimal
will display which of the following?
A. Saturation
B.
Quantum noise
C. Latitude
D. Distortion
B. Quantum noise
-An insufficient number of x rays will cause a grainy image. This grainy appearance is called quantum noise.
Which of the following speed classes will produce the longest time to
process an image?
A. 50
B. 100
C. 200
D. 400
D. 400
-The higher the speed class the longer the time to
process an image.
How many milliseconds are in .10 seconds?
A. 1
B.
10
C. 100
D. 1000
C. 100
-The prefix "milli" stands for 1/1000 (one thousandth). There are 1000 milliseconds in 1 second or 100 milliseconds in .1 seconds
What is the greatest advantage of digital imaging?
A. Contrast
resolution
B. Spatial resolution
C. Decreased
exposure
D. Less distortion
A. Contrast resolution
-Digital imaging's exceptional ability to differentiate between the slight differences in subject contrast is its greatest advantage
How much should the patient be obliqued for a scapular Y position of
the shoulder?
A. 15 degrees
B. 30 degrees
C. 45
degrees
D. 75 degrees
C. 45 degrees
-The scapular Y position is used to rule out dislocation or fractures of the proximal humerus.
When does foreshortening occur?
A. When the object is angled and
the CR and image receptor are perpendicular
B. When the CR and
object are angled
C. When the CR and image receptor are
angled
D. When the image receptor is angled and the object and CR
are perpendicular
A. When the object is angled and the CR and image receptor are perpendicular
-Foreshortening only occurs when the object is angled.
Which of the following defines the ability of an image receptor to
record a wide range of exposures?
A. Speed
B.
Contrast
C. Latitude
D. Gamma
C. Latitude
-Latitude is the image receptor's ability to record a range of exposures that fall within the diagnostic range
Which of the following are reasons for nasogastric tubes?
1.
Gastric decompression for small bowel obstruction
2. Feeding
patients who are unable to swallow
3. Measuring central venous
pressure
A. 1 & 2 only
B. 1 & 3 only
C. 2 &
3 only
D. 1, 2 & 3
A. 1 & 2 only
-Central venous catheters like the Hickman and PIC are used for measuring central venous pressure
Which of the following exposure indicator numbers indicates that the
patient was overexposed?
A. 2.5
B. 200
C. 1700
D. 2000
A. 2.5
-Agfa's perfect log median number is 2.2. Anything above that would indicate an overexposure. 2.5 indicates the patient received twice the necessary exposure.
Which of the digital radiography systems use exposure indicators
(e.g., S-number) to express the radiation dose received by the image
receptor?
A. Direct digital radiography
B. Indirect digital
radiography
C. Computed radiography
D. Charge-coupled devices
C. Computed radiography
-Fuji calls it the S-number, Carestream calls it an exposure index (EI), and Agfa refers to it as log-median
Why is a small focal spot valuable to radiographic quality?
A.
Improves spatial resolution
B. Improves contrast
C. Improves
receptor exposure
D. Improves distortion
A. Improves spatial resolution
-The smaller the focal spot size, the less unsharpness and the better the spatial resolution.
Radiation that passes through the tube housing in directions other
than that of the useful beam is termed what?
A. Primary
B.
Scatter
C. Leakage
D. Remnant (exit)
C. Leakage
-Ideally, any radiation other than the primary beam, will get absorbed by the lead impregnated glass tube or tube housing
Epinephrine (Adrenalin) would be the drug needed for which of the
following symptoms?
A. Nausea
B. Itching
C.
Bronchospasms
D. Angina
C. Bronchospasms
-Epinephrine (Adrenalin) is classified as a bronchodilator. It increases the size of the bronchioles
Data corruption can occur during:
A. transmission.
B.
retrieval.
C. processing.
D. all of the above
D. all of the above
Environmental conditions (microwaves) can
interfere with wireless transmission, head crashes and general wear
and tear can prevent retrieval, software errors with the system or
application can cause processing errors.
Which of the following statements concerning mobile imaging is/are
true?
1. The cord to the exposure switch must allow the
radiographer to get at least 2 meters (6 feet) from the
patient
2. All operators of mobile units should wear lead
aprons
3. The source-to-skin distance cannot be less than
12"
A. 1 only
B. 1 & 2 only
C. 2 & 3
only
D. 1, 2 & 3
D. 1, 2 & 3
Items 1 & 2 protect the technologist,
whereas, item 3 protects the patient.
Where does the CR enter for a PA finger only projection of the 3rd
digit?
A. 3rd metacarpophalangeal joint
B. 3rd proximal
interphalangeal joint
C. 3rd distal interphalangeal joint
D.
3rd carpophalangeal joint
B. 3rd proximal interphalangeal joint
-The CR is perpendicular, and enters at the 3rd proximal interphalangeal joint

The red X is lying directly over which anatomical part of the
kidney?
A. Ureter
B. Cortex
C. Major calyx
D.
Renal pelvis
C. Major calyx
-The major calyces drain into the renal pelvis
Which of the following positions will best demonstrate the right
colic flexure of the colon?
A. Right lateral
B. Right
lateral decubitus
C. RAO
D. LAO
C. RAO
-The RAO (right anterior oblique) position best demonstrates the right colic flexure and the LAO (left anterior oblique) best demonstrates the left colic flexure.
What is the average pulse rate for an adult?
A. 30-40 beats per
minute
B. 50-60 beats per minute
C. 70-80 beats per
minute
D. 90-99 beats per minute
C. 70-80 beats per minute
-An adult's pulse rate under normal conditions would be 70 beats per minute; higher when active or under stress
The hematopoietic system includes which of the following?
A.
Bone marrow
B. Spinal cord
C. Gastrointestinal tract
D. Epidermis
A. Bone marrow
-The hematopoietic system includes bone marrow, circulating blood, lymph nodes, and spleen.
Pneumonia is described by which of the following?
A. An acute
inflammation of the lung
B. Air in the lungs
C. Lung
congestion
D. Collapsed lung
A. An acute inflammation of the lung
-An acute inflammation (-itis) of the lungs describes pneumonia, which is caused primarily by bacteria, viruses, and chemical irritants
In opening a wrapped sterile package, how should the first outer
corner of the wrap be opened?
A. Towards you
B. To the
side
C. Away from you
D. With sterile gloves
C. Away from you
-The first wrap should be opened away from you so you won't have to reach over the sterile area to open the other three corners.
Digital imaging systems with high detective quantum efficiency (DQE)
can produce _______ quality images at ______ patient doses.
A.
lower, lower
B. higher, higher
C. higher, lower
D.
lower, higher
C. higher, lower
-The better the system can detect the radiation, the better the image at a lower dose to the patient
Which of the following positions will best demonstrate the scaphoid
bone in the wrist?
A. PA - ulnar deviation
B. Radial
flexion
C. Lateral
D. Tangential carpal canal
A. PA - ulnar deviation
-The scaphoid is near the radius. PA - ulnar deviation (moving the hand toward the ulna) opens the joints between the adjacent carpal bones
A zygapophyseal joint is an articulation between which two vertebral
structures?
A. Pedicle and pars interarticularis
B. Lamina
and transverse process
C. Inferior and superior articular
processes
D. Body and vertebral foramen
C. Inferior and superior articular processes
-The cervical zygapophyseal joints are best demonstrated in
a lateral position, the thoracic zygapophyseal joints are best
demonstrated in a
70 degree oblique position and the lumbar
zygapophyseal joints are best demonstrated in a 45 degree oblique position.
During which time period is the fetus most susceptible to the effects
of radiation?
A. First trimester
B. Second trimester
C.
Third trimester
D. Fourth trimester
A. First trimester
-According to the Law of Bergone and Tribondeau, the younger the tissues and organs are the more radiosensitive they are. Therefore, elective radiologic examinations should not be conducted during the first trimester
Which of the following anatomical structures is (are) demonstrated in
a 45 degree oblique view of the cervical spine?
1.
Pedicles
2. Zygapophyseal joints
3. Intervertebral
foramina
A. 1 only
B. 1 & 2 only
C. 1 & 3
only
D. 1, 2 & 3
C. 1 & 3 only
-The zygapophyseal joints will be best demonstrated in the lateral position of the cervical spine
How many phalanges are there in each foot?
A. 5
B.
7
C. 14
D. 24
C. 14
-Phalanges are the small bones that make up the digits
(toes) of the foot. There are two phalanges in the 1st digit and
three phalanges in the
2nd - 5th digits for a total of fourteen.
Which of the following is correct for an AP projection of the upper
airway?
A. The acanthiomeatal line is perpendicular to the image
receptor
B. The glabellomeatal line is perpendicular to the image
receptor
C. The CR enters at the level of C2
D. The
midsagittal plane is parallel to the image receptor
A. The acanthiomeatal line is perpendicular to the image receptor
-The chin must be raised to get an unobstructed view of the upper airway.
The allowable radiation dosage that is assumed to result in an
average nominal lifetime risk is known as what?
A. Whole body
dose
B. Equivalent dose limits
C. Genetically significant
dose
D. Maximum permissible dose
B. Equivalent dose limits
-Even though any radiation exposure is considered potentially harmful, anyone receiving less than the equivalent dose limits is considered to be in a safe environment.