
Identify this molecule:
A. amino acid
B. hydrocarbon
C. carbohydrate
D. alcohol
E. lipid
C

Choose the Figure that depicts polymer synthesis.
Figure 1
Figure 2
Figure 1

Identify the following molecule:
A. amino acid
B. hydrocarbon
C. carbohydrate
D. alcohol
E. cholesterol
E

Use Figures A, B and C to answer Questions 40 - 44. Figure A is an 8-cm. cube. Figure B is eight, 4-cm cubes. Figure C is sixty-four, 2-cm cubes.
What figure has the greatest surface area : volume ratio?
A. Figure A
B. Figure B
C. Figure C
D. All of these are the same.
C

Use Figures A, B and C to answer Questions 40 - 44. Figure A is an 8-cm. cube. Figure B is eight, 4-cm cubes. Figure C is sixty-four, 2-cm cubes.
What Figure has the greatest volume (height x width x length x number of cubes)?
A. Figure A
B. Figure B
C. Figure C
D. All of these have the same volume.
D

A 10% glucose solution is placed in the thistle tube. The thistle tube is placed in a beaker that contains a 5% glucose solution. Where is the highest concentration of water found?
A. In the 10% solution
B. In the 5% solution
C. The concentration of water is the same in both solutions.
D. None of the above
B

In the cell pictured, there is no net movement of water. The amount leaving the cell and entering the cell is the same. In what type of environment is this cell found?
A. hypertonic
B. hypotonic
C. isotonic
D. none of the above
C

What phase of mitosis is pictured?
A. prophase
B. prometaphase
C. metaphase
D. anaphase
E. telophase
D

What is (are) the structures designated by the letter ‘A'.
A. spindle fibers
B. centrioles
C. chromosomes
D. kinetochore microtubules
C

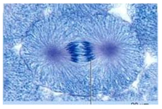
What phase of mitosis is pictured?
A. prophase
B. prometaphase
C. metaphase
D. anaphase
E. telophase
C

The following picture depicts which of the following changes in
chromosome structure.
A. deletion
B. duplication
C. translocation
D. aneuploidy
C

The following picture depicts which of the following changes in chromosome structure.
A. deletion
B. duplication
C. translocation
D. aneuploidy
B

Study the diagram to answer the following questions.
What process is occurring in this diagram?
A. fertilization
B. mitosis
C. crossing under
D. crossing over
D