
Line 1
Greater Tubercle

Line 4
Medial Supracondylar Ridge

Line 2
Lesser Tubercle

Line 9
Lateral Supracondylar Ridge

Line 3
Radial Fossa

Line 4
Head

Line 5
Anatomical Neck

Line 6
Surgical Neck

Line 7
Deltoid Tuberosity

Line 8
Capitulum

Line 9
Trochlea

Line 10
Medial Epicondyle

Line 11
Coronoid Fossa

Line 12
Lateral Epicondyle

Line 13
Olecranon

Line B
Inter tubercular Groove

Line 3
Olecranon Process

Line 4
Coronoid Process

Line G
Trochlear Notch

Line1
Radial Notch

Line L
Head

Line L
Styloid Process

Line B
Head

Line D
Neck

Line C
Radial Tuberosity

Line N
Ulnar Notch

Line A
Styloid Process

Projected Area of dorsal Radius
Lister's tubercle

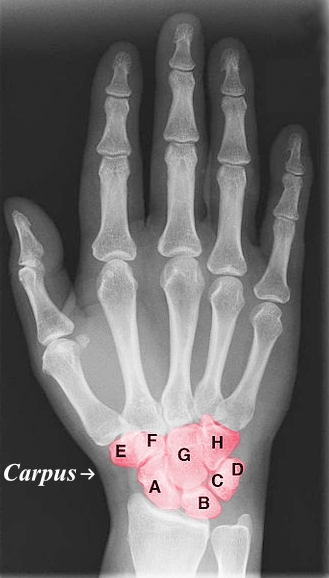
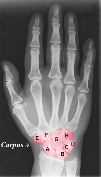
Letter A
Scaphoid

Letter B
Lunate

Letter C
Triquetrum

Letter D
Pisiform

Letter E
Trapezium

Letter F
Trapezoid

Letter G
Capitate

Letter H
Hamate

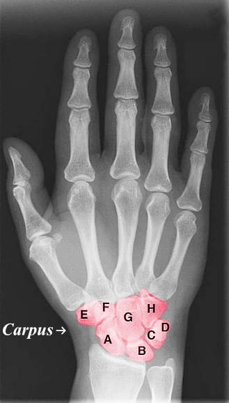
Letter A
Scaphoid

Letter B
Lunate

Letter C
Triquetrum

Letter D
Pisiform

Letter E
Trapezium

Letter F
Trapezoid

Letter G
Capitate

Letter H
Hamate

Purple Area
Carpus

Green Area
Metacarpal

Blue Area
Proximal Phalanges Digits 1-5

Yellow Area
Middle Phalanges Digits 2-5

Red Area
Distal Phalanges Digits 1-5

Name of Bone (L/R)
Left Humerus

Name of Bone (L/R)
Left Radius

Name of Bone (L/R)
Left Ulna

Name of Bone (L/R)
Right Humerus

Name of Bone (L/R)
Right Radius

Name of Bone (L/R)
Right Ulna