Parasitic Helminths
- Trematode Parasite (Fluke) - flat worms
- Cestodes (tapeworms)
- Nematodes (round worms)
Trematode Parasite (Fluke) (flat worm)
- Clonorchis sinensis - Oriental Liver Fluke
- Paragonimus Westermani - Lung Fluke
- Schistosoma mansoni - Blood Fluke
Cestode Parasite (tape worm)
- Dipylidium caninum
- Hymenolepis nana
- Echinococcus granulosus
- Taenia spp.
- Taenia Saginata Proglottid
- Taenia Solium Scolex
Clonorchis (Opisthorchis) sinensis
Oriental Liver Fluke / Trematode Parasite (Fluke)
- Causes clonorchiasis, a liver disease.
- Infection typically occurs when under-cooked infected fish is ingested.

Clonorchis sinensis - (Oriental Liver Fluke)
pic.: egg in a fecal specimen

Clonorchis sinensis Adult
Oriental Liver Fluke
pic.: adult

Infection typically occurs when under-cooked infected fish is ingested
Causes clonorchiasis, a liver disease
Paragonimus Westermani
Lung Fluke
Trematode Parasite (fluke)
- Causes paragonimiasis
- Infected when eating under-cooked crabs or crayfish infected with the cysts
- Symptoms: local inflammatory response followed by ulceration, cough with discolored or bloody sputum, difficulty breathing

Paragonimus Westermani - lung fluke
pic.: egg in a fecal specimen

Paragonimus Westermani - lung fluke
pic.: Adult

Infected when eating under-cooked crabs or crayfish infected with the cysts.
Causes paragonimiasis

Schistosoma mansoni / Blood Fluke
Trematode Parasite (fluke)
- Infection occurs via contact with fecally contaminated water containing juveniles of the species
- Symptoms: bloody diarrhea, abdominal pain, and lethargy

Schistosoma mansoni / Blood Fluke
pic.: egg in a fecal specimen

Schistosoma mansoni / Blood Fluke
pic.: Adult
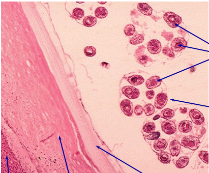
Dipylidium caninum
Cestode Parasite (tape worm)
- common parasite of cats and dogs
-
infection usually
occurs in children
Symptom: asymptomatic, mild abdominal discomfort, loss of appetite, indigestion - Dog, cat, or child ingests one of these fleas

Dipylidium caninum
pic.: Egg Packet

Dipylidium caninum
pic.: Scolex

Dipylidium caninun Proglottids
Echinococcus granulosus
- Definitive host is a carnivore.
- Intermediate host usually an herbivorous mammal
- Develop hydatid disease.

Echinococcus granulosus
pic.: cyst in lung tissue

Echinococcus granulosus -
hydatid disease

Echinococcus granulosus
pic.: Adult
Hymenolepis nana
Dwarf Tapeworm
Infection may involve hundreds of worms
symptoms are usually mild

Hymenolepis nana
pic. Scolex

Hymenolepis nana
pic. Proglottids
...
Hymenolepis nana
pic.: egg in a feces
Taenia saginata
Taenia saginata
Beef Tapeworm
Cysticercosis

Taenia saginata
pic. Proglottids

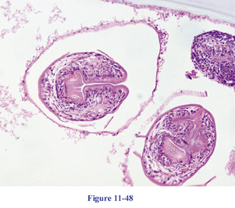
Taenia solium
pic. scolex
Pork Tapeworm
T. solium life cycle is similar to T. saginata.
Cysticercosis

Ascaris lumbricoides
Large Nematode
1. Ascaris pneumonia occurs in heavy infections
due to the lung damage.
2. If secondary bacterial infections
occur, the pneumonia can be fatal.

Enterobius vermicularis
Human Pinworm
1. Favor fecal-oral transmission of the
parasite.
2. Poor sanitary habits of children make them
especially prone.
3. Transmission may also involve eggs being
carried on air currents.

Ancylostoma duodenale
Necator americanus
Hookworm
Eggs are passed in the feces.

Strongyloides stercoralis
Intestinal Threadworm
1. Infection occurs by penetration of
the skin by infective juveniles from fecally contaminated soil.

Wuchereria bancrofti
Filarial Worm
1. causes lymphatic filariasis.
2.
Infection occurs from the bite of a mosquito harboring infective
juveniles.
3. obstruction of lymphatic vessels occurs and
results in elephantiasis.
Abundant at night when the mosquito
vector is
active.