Day 1 Flashcards


Set Details Share
created 6 weeks ago by moldyvoldy
updated 5 weeks ago by moldyvoldy
show moreless
Page to share:
Embed this setcancel
COPY
code changes based on your size selection
Size:
X
Show:

1

What covalent change occurs in Na+/K+-ATPase when K+ is transported into the cell?

The pump is [...]

dephosphorylated

2

The ATP binding site of Na+/K+-ATPase is located on which side of the plasma membrane?

Cytosolic side

3

What is the mechanism of action of cardiac glycosides?

[...] blockade → Decreased activity of [...] antiporter → Increased [[...]] intracellularly → Increase in cardiac contractility

Na+/K+-ATPase blockade → Decreased activity of Na+/Ca2+ antiporter → Increased [Ca2+] intracellularly → Increase in cardiac contractility

4

For each ATP consumed, Na+/K+-ATPase transports how many Na+ and K+ molecules, and in what direction?

[...] Na+ molecules [in/out]
[...] K+ molecules [in/out]

3 Na+ molecules out
2 K+ molecules in

5

What two cell types are rich in the smooth endoplasmic reticulum?

[...] cells
[...]

Steroid hormone-producing cells
Hepatocytes

6

Which organelle is resposible for steroid synthesis and detoxification of poisons and drugs?

Smooth endoplasmic reticulum

7

Which organelle found in the rough endoplasmic reticulum is missing from the smooth endoplasmic reticulum?

Surface ribosomes

8

Name the enzyme involved in both glycogenolysis and gluconeogenesis that is found in the smooth endoplasmic reticulum.

Glucose-6-phosphatase

9

Where are cytosolic, peroxisomal, and mitochondrial proteins synthesized?

Free ribosomes

10

What is the histologic term for the rough endoplasmic reticulum in neurons?

Nissl bodies

11

Name two cell types that would be rich in the rough endoplasmic reticulum.

Goblet cells
Plasma cells

12

Which organelle synthesizes secretory proteins and adds N-linked oligosaccharides to proteins?

Rough endoplasmic reticulum

13

Defects in the ubiquitin-proteasome system have been linked to which neurologic disease?

[...] disease

Parkinson disease

14

Which barrel-shaped protein complex degrades damaged or ubiquitin-tagged proteins?

Proteasome

15

What screening test can be used to identify patients with primary ciliary dyskinesia?

Nasal nitric oxide

16

Nasal nitric oxide would be _____ in primary ciliary dyskinesia

decreased

17

Where are proteins within Golgi bodies, lysosomes, and the endoplasmic reticulum synthesized?

Rough endoplasmic reticulum

18
card image

Why would a patient with the finding in the chest X-ray shown be at an increased risk for hearing loss?

[...] of the [...] is dysfunctional

Cilia of the eustachian tube is dysfunctional

19

Why are patients with primary ciliary dyskinesia likely to be infertile or develop recurrent ectopic pregnancy?

Dysfunctional cilia of the [...] in females
Immotile [...] in males

Dysfunctional cilia of the fallopian tube in females
Immotile spermatozoa in males

20

What leads to dysfunctional cilia in patients with primary ciliary dyskinesia?

Defect in the [...] → Immotile cilia

dynein arm

21

Why do patients with primary ciliary dyskinesia develop recurrent infections of the respiratory tract?

Impaired [...] of debris and pathogens → Sinusitis, ear infections, and bronchiectasis

mucociliary clearance

22

What is the mode of inheritance of primary ciliary dyskinesia?

Autosomal recessive

23
card image

What is this?

osteogenesis imperfecta

24

What is the pathophysiology of a disease in a child with poor dentition, blue sclerae, and fractures and bone deformities after minimal trauma?

Decreased production of ______ ______ ______

Decreased production of type I collagen

25

What medication can help reduce the incidence of fractures in patients with osteogenesis imperfecta? ______

Bisphosphonates

26

What is the pathophysiology behind opalescent teeth in patients with osteogenesis imperfecta?

Lack of ______ → Teeth that become worn out easily

dentin

27

How is the most common form of osteogenesis imperfecta inherited?

Autosomal dominant

28
card image

What is the cause of conductive hearing loss in a child with recurrent fractures and blue sclerae as shown in the image below? ______ ______

Abnormal ossicles

29

What are the manifestations of osteogenesis imperfecta?

Multiple [...]
[Color] sclerae
[...] imperfections
[...] loss

Multiple fractures
Blue sclerae
Dental imperfections
Hearing loss

30

What are the most common genetic mutations involved in osteogenesis imperfecta?

______

______

COL1A1
COL1A2

31

What causes blue sclerae in osteogenesis imperfecta?

______ connective tissue overlying ______ veins

Translucent, choroidal

32

Which type of collagen is affected in the vascular type of Ehlers-Danlos syndrome? ______ ______ ______

Type III collagen

33

What is the most common type of Ehlers-Danlos syndrome?

______ type

Hypermobility type

34

Ehlers-Danlos syndrome is transmitted through what two inheritance patterns?

______ ______

______ ______

Autosomal dominant
Autosomal recessive

35

Ehlers-Danlos syndrome is due to a defect in what process?

______ ______

Collagen synthesis

36

What types of aneurysms are commonly associated with Ehlers-Danlos syndrome?

[...] aneurysms
[...] aneurysms

Berry aneurysms
Aortic aneurysms

37
card image

What type of specific collagen is affected in a patient with easy bruising and findings as shown in the image below?

Type V collagen

38

Which type of Ehlers-Danlos syndrome has fragile vessels, muscles, and organs prone to rupture? ______ ______.

There is a mutation in type III collagen caused by ______.

Vascular type

COL3A1.

39
card image

What is this?

Cilia

40

Cilia consist of microtubules arranged in ___ doublets around ___ central singlets.

9

2

41
card image

Which cellular structure is shown in the image below?

Basal body

42

Basal body is located at the ___ of the ___, below the cell membrane.

base

clium

43

Basal Body constists of ___ ___ ___ without any central microtubules.

9 microtubule triplets

44

What ATPase protein links the peripheral nine doublets and allows for bending of the cilia by differential sliding of the doublets? ___ ___

Axonemal dynein

45

What cell junctions allow for coordinated movement of cilia?

___ ___

Gap junctions

46

What type of cilia act as chemical signal sensors and play a role in signal transduction and control of cell growth?

___ ___

Non-motile cilia

47

Non-motile cilia is AKA ___ cilia.

primary

48

Which conditions may occur due to dysgenesis of non-motile cilia?

___ degeneration
___ kidney disease
___ valve prolapse

Retinal degeneration
Polycystic kidney disease
Mitral valve prolapse

49

Common complications of EDS include aortic and berry aneurysms, mitral valve prolapse, and ___ ___.

organ rupture.

50

What is the most common enzyme deficiency that leads to homocystinuria?

[...] deficiency

Cystathionine synthase deficiency

51

Elastin is rich in which three amino acids?

Proline
Glycine
Lysine

52

What is the function of fibrillin-1?
It is a glycoprotein that forms a sheath around [...] and sequesters [...]

elastin

tgf-b

53

What enzyme is inhibited by α1-antitrypsin?

Elastase

54

Elastase degrades [...]

elastin

55

In which cellular compartment does cross-linking of elastin by lysyl oxidase occur?

Extracellular space

56

Name two aortic/vascular pathologies associated with Marfan syndrome.

Aortic root [...] or [...]
[...] of the aorta

Aortic root aneurysm rupture or dissection
Cystic medial necrosis of the aorta

57

What is arachnodactyly?

[Long/Short], [...] fingers and toes

Long, tapering fingers and toes

58

arachnodactyly is seen in patients with _____ syndrome or _____.

Marfan

homocystinuria

59

What valvular abnormality is most commonly associated with Marfan syndrome?

Mitral valve prolapse

60

How is lens dislocation in Marfan syndrome different from that in homocystinuria?

Lens dislocate [upward/downward] and [...] in Marfan syndrome
Lens dislocate [upward/downward] and [...] in homocystinuria

Lens dislocate upward and temporal in Marfan syndrome
Lens dislocate downward and nasal in homocystinuria

61

How does Marfan syndrome affect the intellect of a patient?

homocystinuria?

Normal

Decreased

62

What lung disease can be caused by a deficiency of α1-antitrypsin?

COPD

63
card image

A mutation in what gene is responsible for a tall child presenting with arachnodactyly, hypermobile joints, and the deformity in the image?

A mutation in ____ on chromosome ____

FBN1, 15

64

What is the inheritance pattern of Marfan syndrome?

Autosomal dominant

65

What protein is abundantly found in the vocal cords, epiglottis, lungs, large arteries, elastic ligaments, skin, and ligamenta flava?

Elastin

66

Which disease presents with an increased arm to height ratio, pectus deformity, skin hyperelasticity, arachnodactyly, and scoliosis similar to Marfan syndrome?

Homocystinuria

67

Impaired copper metabolism in Menkes disease ultimately results in a defective production of what protein?

Collagen

68

What is the diagnosis for a child who has brittle, "kinky" hair, hypotonia, delays in growth and development, and an increased risk for cerebral aneurysms?

Menkes disease

69

How do serum copper levels differ in Menkes disease when compared with Wilson disease?

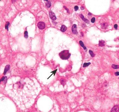
Copper levels are [high/low] in Menkes disease
Copper levels are [high/low] in Wilson disease

low

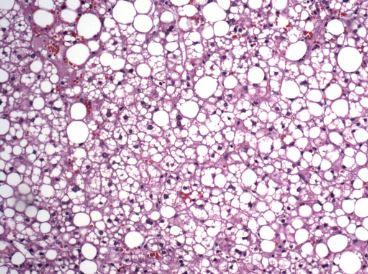
high

70

The activity of what enzyme is decreased in Menkes disease?

Why?

Lysyl oxidase

Copper is a necessary cofactor

71

Menkes gene?

ATP7A

72

impairment at which point is responsible for the pathophysiology of Li-Fraumeni syndrome and cervical cancer?

modulated by what?

The G1-S checkpoint

p53

73

What are cyclins?

[...] proteins that activate [...] at appropriate times in the cell cycle when stimulated by [...] factors

Regulatory

CDKs

growth

74

List the three components of interphase.

[...] phase
[...] phase
[...] phase

G1 phase
S phase
G2 phase

75

Which type of cells divide rapidly with a short G1 phase, never enter G0 phase, and are most affected by chemotherapy?

Labile cells

76

What cells include hepatocytes, periosteal cells, proximal convuluted tubule cells, and lymphocytes.

Stable cells

77

What cells include hair follicles, skin, bone marrow, gut epithelium, and germ cells?

Labile cells

78

What cell type, as classified by cell cycle regulation, can enter the G1 phase of the cell cycle from the G0 phase when stimulated?

Stable cells

79

Permanent cells such as neurons, red blood cells, skeletal myocytes, and cardiac myocytes are arrested in which phase of the cell cycle?

G0 phase

80

Which phase of the cell cycle has a variable duration?

G1 phase

81

Which phase of the cell cycle is usually the shortest?

M phase

82

During which phase of the cell cycle can a cell enter the G0 phase?

G1 phase

83

When does DNA synthesis occur in the cell cycle?

S phase

84

What two processes occur during the M phase?

Mitosis
Cytokinesis

85

Mitosis is the splitting of the _______.

Cytokinesis is the splitting of the _______.

nucleus

cytoplasm

86

What is the mechanism by which the p53 protein inhibits the progression of the cell cycle from the G1 phase to the S phase?

Damaged DNA → p53 induces [...] → Inhibits [...] → Hypophosphorylates (activates) [...] protein → Inhibits progression from G1 phase to S phase

p21

CDK

retinoblastoma

87

How do growth factors promote the transition of a cell from the G1 phase to the S phase?

By binding to [...] receptors

tyrosine kinase

88

What is the result of having a dysfunctional signal recognition particle in the cell?

Accumulation of [...] in the cytosol

protein

89

Endosomes act as sorting centers for molecules that are destined for what two purposes?

Sending it to lysosomes for [...]
Sending it back to the plasma membrane or Golgi apparatus for [...] use

degradation

further

90

What is the role of COPII in vesicular trafficking?

[...] transport from the endoplasmic reticulum to the [...]-Golgi apparatus

anterograde

cis

91

Which vesicular protein is involved in the trafficking of molecules taken into the cell via receptor-mediated endocytosis?

clathrin

92

In the Golgi apparatus, the addition of what carbohydrate to proteins makes them a target for lysosomes?

Mannose-6-phosphate

93

What is the role of COPI in vesicular trafficking?

[...] transport from the Golgi apparatus to the Golgi apparatus or from the [...]-Golgi apparatus to the endoplasmic reticulum

Retrograde

cis

94

What is the prognosis for a child with symptoms similar to but more severe than those of Hurler syndrome, who has elevated plasma lysosomal enzymes?

The condition is usually [...] in childhood

This is [...] disease.

fatal

inclusion-cell

95

A boy has coarse facial features, gingival hyperplasia, corneal clouding, claw hand, kyphoscoliosis, and high levels of lysosomal enzymes. What is the inheritance pattern?

Autosomal recessive

96

N-acetylglucosaminyl-1-phosphotransferase problem, what disease.

inclusion-cell disease

97

What are the three posttranslational modifications that occur in the Golgi apparatus?

Modification of [...] on asparagine
Addition of [...] on serine and threonine
Addition of [...] to proteins

Modification of N-oligosaccharides on asparagine
Addition of O-oligosaccharides on serine and threonine
Addition of mannose-6-phosphate to proteins

98

Clathrin functions to transport vesicles from the trans-Golgi apparatus to which organelle?

Lysosome

99

List three locations to which the Golgi apparatus sends proteins and lipids.

______ ______
______
______ ______

Plasma membrane
Lysosomes
Secretory vesicles

100

The Golgi apparatus acts as a distribution center for what 2 macromolecules?

Proteins
Lipids

101

Which enzyme system mediates phase I metabolism of drugs in the body?

CYP450

102

What is the definition of the relapse phase of the transtheoretical model of change?

Patient falls back to previous behavior

103

What function does the product of TP53 normally perform?

p53 is a transcription factor for _______ → Blocks the transition from _______ phase to _______ phase

p21

g1

s

104

An S3 heart sound is caused by _______ filling pressures in _______ _______ during rapid ventricular filling phase

increased

early diastole

105

What 2 heart murmurs have no true isovolumetric phases?

Aortic regurgitation

Mitral regurgitation

106

Topoisomerase inhibitors used in cancer treatment all cause cell cycle arrest at which two phases?

S

G2

107

Melanomas have a tumor suppressor gene mutation at CDKN2A. What protein does this gene typically encode?

p16

108

Is the corpus luteum present during the follicular or luteal phase of the menstrual cycle?

luteal phase

109

The corpus luteum is formed from the ruptured _______ and produces _______ .

follicle

progesterone

110

In which phase of the cell cycle does nucleotide excision repair occur?

G1

111

In which phase of the cell cycle does mismatch repair occur?

S

112

In which phase of the cell cycle does base excision repair occur?

It occurs throughout the cell cycle

113

In which phase of the cell cycle do microtubule inhibitors exert their effects?

M

114

A first-in-human protocol enrolls healthy volunteers and maps effects as a function of dose. This is:
A. Phase 1 trial
B. Phase 2 trial
C. Phase 3 trial
D. Phase 4 trial

A. Phase 1 trial

115

A study enrolls patients with the target disease to determine whether the drug is efficacious. This is:
A. Phase 4 trial
B. Phase 3 trial
C. Phase 1 trial
D. Phase 2 trial

D. Phase 2 trial

116

A program expands to much larger numbers of target-disease patients to establish and confirm safety and efficacy. This is:
A. Phase 4 trial
B. Phase 3 trial
C. Phase 1 trial
D. Phase 2 trial

B. Phase 3 trial

117

Post-approval monitoring begins only after marketing permission is obtained. This corresponds to:
A. Phase 2
B. Phase 1
C. Phase 4
D. Phase 3

C. Phase 4

118

What 2 sympathetic chain synapses may be compromised in a patient who has Horner syndrome?

lateral horn

superior cervical ganglion

119

What facial syndrome may occur as a result of spinal cord lesions above T1 or a Pancoast tumor at the stellate ganglion?

Horner Syndrome

120

horner classic triad

ptosis

anhidrosis

miosis

121

A hypoplastic nasal bone and an increase in nuchal translucency is present on a fetal ultrasound exam. What is the diagnosis?

down syndrome

122

Apart from labor contractions and milk letdown, what role does oxytocin play in mood?

regulates it

123

Down syndrome is most frequently caused by a defect in what process

Meiotic nondisjunction

124

Females of which age group are at an increased risk of having a child with Down syndrome?

Females of ______ maternal age

advanced

125

Glucagon stimulates the breakdown of glycogen by which second-messenger system?

cAMP

126

Is the promoter region upstream or downstream of its gene locus?

Upstream

127

Lactase breaks down lactose into which two monosaccharides?

Galactose

Glucose

128

Rank the incidence of the three most common trisomy disorders.

____ syndrome > ____ syndrome > ____ syndrome

Down syndrome > Edwards syndrome > Patau syndrome

129

What are two functions of oxytocin in the perinatal period?

Increases milk ____
Promotes uterine ____

letdown

contraction

130

What could cause a person to always use more drugs than intended despite knowing the dangers and trying to cut down on use?

substance use disorder

131

What disease is suspected if a newborn with evidence of Down syndrome on prenatal screening does not pass meconium after birth but is not vomiting?

Hirschsprung disease

132

What is the likely cause of sharp, shooting pains that travel down the jaw for several seconds when eating ice cream?

Trigeminal neuralgia

133

What is the name of the phenomenon by which alleles that increase a species' fitness are more likely to be passed down to offspring?

natural selection

134

What ophthalmologic finding may be present in a patient with Down syndrome?

Brushfield spots

135

What organ does glucagon act on to stimulate the breakdown of glycogen?

Liver

136

What type of hernia is commonly seen in patients with Down syndrome?

umbilical hernia

137

Which DNA mutation results from an insertion or a deletion of nucleotides that is not divisible by three?

Frameshift mutation

138

Which enzyme of DNA replication is often upregulated in progenitor cells and tumor cells and downregulated in aging and progeria?

Telomerase

139
card image

what is this?

duodenal atresia

140

While breastfeeding, which hormone causes milk letdown in a mother?

Oxytocin

141

Why are patients with Down syndrome at higher risk of developing Alzheimer disease?

_____ is located on chromosome _____

APP is located on chromosome 21

142

Mutations of amyloid precursor protein can lead to early-onset _____ _____ .

Alzheimer disease

143

down syndrome has low levels of what protein?

α-fetoprotein

144

What is the Wolff-Chaikoff effect?

_____ of the thyroid gland in response to _____ iodine levels

Downregulation of the thyroid gland in response to high iodine levels

145

What is the most common heritable cause of intellectual disability?

fragile x syndrome

146

most common cause of genetic intellectual disability?

down syndrome

147

What is the major difference between necrosis and apoptosis?

Necrosis is associated with local ______ and breakdown of the cellular ______

inflammation

membrane

148

Duplication of which chromosome results in Klinefelter syndrome?

Chromosome X

149

Testicular atrophy and infertility in a tall male patient with eunuchoid proportions may indicate which disorder of sex chromosomes?

Klinefelter

150

A Barr body is an _____ _____ chromosome; found in _____ syndrome in males

inactivated X

Klinefelter

151

What will an ovarian biopsy show in a patient with Turner syndrome? ____ ____ AKA ____ ____

ovarian dysgenesis AKA streak ovary

152

Why are females with Turner syndrome more likely to have an X-linked recessive disorder?

They only have 1 ____ chromosome

X

153

How many Barr bodies are seen when the cells of a patient with Turner syndrome are examined under the microscope?

0

154

In patients with Turner syndrome due to a meiosis error, in which gamete does the error typically occur?

paternal

155

Patients with ______ are less likely to develop hypertension than those with pheochromocytoma.

neuroblastoma

156

What will be elevated on urine and blood analysis of a patient with pheochromocytoma?

Increased ______ in serum and urine
Increased ______ in serum and urine

catecholamines

metanephrines

157

When managing a pheochromocytoma, why must administration of an α-antagonist precede administration of a β-blocker and surgical resection?

To prevent ______ ______

hypertensive crisis

158

Which drug should be given preoperatively for resection of a pheochromocytoma? ______

Phenoxybenzamine

159

Why should β-blockers be used with caution in the treatment of pheochromocytoma and in patients who have recently used cocaine?

β-blockers may cause unopposed ______ -agonism if given alone

α1

160

Opioid use can result in depression of which 2 organ systems?

CNS

Respiratory System

161

The following symptoms may be present in a patient with withdrawal from which psychoactive drug?

Hunger
Sleep disturbances
Severe depression
Restlessness

Cocaine

162

What two symptoms can be present with benzodiazepine intoxication?

______ depression

______

respiratory depression

ataxia

163

Which anesthetic class can cause malignant hyperthermia, myocardial depression, and a decrease in cerebral metabolic demand? ______ ______

Inhaled anesthetics

164

Which drug class is indicated in the treatment of depression and generalized anxiety disorder and can also be used for diabetic neuropathy?

SNRIs

165

Why are barbiturates contraindicated for patients with a history of alcohol use disorder?

They have an additive _____ depression effect when combined with alcohol

CNS

166

Trazodone causes _____, which is desirable in the treatment of insomnia

sedation

167

What psychiatric disorder should be ruled out before a diagnosis of dementia is made?

Depression

168

What is the most common subtype of depression?

Depression with atypical features

169

What is the likely diagnosis for an adult with a history of chronic alcohol consumption who is exhibiting anterograde amnesia and confabulation in the emergency department?

______ syndrome

Korsakoff syndrome

170

What type of amnesia is present in a patient who sustained a head injury and is unable to recall anything that occurred from the time that the injury occurred?

______ amnesia

Anterograde amnesia

171

What motor protein is responsible for anterograde transport of cargo on microtubules?

Kinesin

172

HSV, poliovirus, and rabies virus use which molecular motor protein for retrograde transport to reach the cell body?

Dynein

173

What molecular defect is responsible for dextrocardia, as seen in Kartagener syndrome?

A defect in _____

dynein

174

One-third of collagen is composed of which amino acid?

Glycine

175

What cofactor is required for the hydroxylation of proline and lysine residues in collagen?

vitamin C

176

What two amino acids undergo hydroxylation in collagen synthesis?

proline, lysine

177

Which two genetic diseases are associated with bronchiectasis?

_____ _____

_____ syndrome

Cystic fibrosis

Karragener

178

Cystic fibrosis, Kartagener both impair lung clearance of _____.

pathogens

179

What two conditions classically impair ciliary motility and may lead to bronchiectasis?

chronic _____

_____ syndrome

chronic smoking

kartagener syndrome

180

What is the mode of inheritance of Kartagener syndrome?

_____ _____

Autosomal recessive

181
card image

what is this?

fetal alcohol syndrome

182

What limb abnormality is associated with fetal alcohol syndrome?

dislocation

183

A child is diagnosed with autism. When does this disorder present, and is it more common in girls or boys?

Autism must present in _____ childhood and is more common in _____

early

boys

184

A child is unable to read near the level of proficiency for his or her age even after working with a tutor 7 months. What is the most likely diagnosis?

_____ _____ disorder

specific learning disorder

185

An episode of separation anxiety in older children must last how long for it to be considered a disorder?

_____ _____ or more

4 weeks

186

At what age can you diagnose a patient with conduct disorder?

before 18

187

What is intellectual disability?

_____ cognitive deficits that affect memory, reasoning, judgment, abstract thinking, language, and learning

Global

188

What term describes weight loss, muscle atrophy, and fatigue in the setting of chronic or terminal illness?

Cachexia

189

In which direction will the tongue deviate with a lesion of the right hypoglossal nerve?

right

190

Lesion in which cranial nerve may cause weakness in shrugging the shoulder?

cranial nerve 11

191

Lesion in which cranial nerve, and on what side, may deviate the uvula to the right?

left, cn X

192

Lesion of which cranial nerve, and on what side, may deviate the jaw to the right?

right, cn V

193

cn v injury: The jaw deviates toward the same side as the lesion due to unopposed force from the opposite _____ muscle.

pterygoid

194

The sternocleidomastoid muscle is innervated by the spinal _____ nerve and turns the head to the _____ side.

accessory

contralateral

195

Dysfunction of what anatomical structure is associated with increased risk of developing otitis media?

_____ _____

Eustachian tube

196

What complication presenting with erythema and swelling of the postauricular region might arise after an unresolved acute otitis media infection?

_____

Mastoiditis

197

What is a dreaded complication of mastoiditis?

_____ _____

Brain abscess

198

What is the most common pathogen associated with otitis externa?

_____

Pseudomonas

199

What pathology of the ear is associated with water exposure, occlusion, and trauma of the ear canal?

Otitis externa

200

Otitis externa AKA _____ _____

swimmer's ear

201

What metabolic pathway is affected in alkaptonuria?

Degradation of _____ to _____

tyrosine

fumarate

202

What is the inheritance pattern of alkaptonuria?

Autosomal recessive

203

What causes joint pain in a patient with alkaptonuria?

Buildup of _____ _____.

This is toxic to _____.

homogentisic acid

cartilage

204

Which benign enzyme deficiency causes arthralgias, darkened sclerae and connective tissues, and urine that turns black on air exposure?

_____ _____ deficiency

Homogentisate oxidase deficiency

205

What biochemical anomaly explains reduced blood pressure in a patient with scurvy?

Decreased [...] synthesis due to vitamin [...] deficiency

collagen

C

206

Vitamin C is required to convert dopamine to _____.

norepinephrine

207

NAD+ and NADP+ are derived from which amino acid?

Tryptophan

208

Which amino acid and vitamin produces histamine?

Histidine
Vitamin B6

209

What amino acid and cofactor are required to produce porphyrin, the precursor to heme?

Glycine
Vitamin B6

210

What amino acid can be used to synthesize creatinine, urea, and nitric oxide?

Arginine

211

The conversions of phenylalanine to tyrosine and tyrosine to dopa require what cofactor?

BH4

212

Thyroxine is derived from which amino acid?

Tyrosine

213

Melanin is derived from which compound?

Dopa

214

The conversion of dopa to dopamine requires what cofactor?

Vitamin B6

215

Norepinephrine is converted into epinephrine via a methyl group provided by what cofactor?

S-adenosylmethionine

216

What two cofactors are needed to produce NAD+ and NADP+ from tryptophan?

Vitamin _____
Vitamin _____

Vitamin B2
Vitamin B6

217

What two cofactors are needed to produce melatonin from tryptophan?

BH4
Vitamin B6

218

What neurotransmitter is produced from glutamate? Mention the required cofactor.

GABA
Vitamin B6

219

What is the final common target of the intrinsic and extrinsic pathways of apoptosis?

Activation of ________

caspases

220

What two seperate mechanisms trigger the extrinsic apoptotic pathway?

[...]-receptor interactions
Tc cells releasing [...] and [...]

Ligand-receptor interactions
Tc cells releasing granzyme B and perforin

221

What happens to apoptotic bodies after they are formed?

They are [...]

phagocytosed

222

There are no ______ ______ to electroconvulsive therapy.

absolute contraindications

223

Name four clinical indications for electroconvulsive therapy.

Acute [...]
Depression with [...]
Refractory [...]
[...]

Acute suicidality
Depression with psychosis
Refractory depression
Catatonia

224

What is the mechanism of electroconvulsive therapy?

Electroconvulsive therapy induces [...] seizures in patients under anesthesia and neuromuscular blockade

tonic-clonic

225

What are the adverse effects of electroconvulsive therapy?

[...]
[...]
[...]/[...] amnesia that usually resolves within [...] months

Headache
Disorientation
Anterograde/retrograde amnesia that usually resolves within 6 months

226

What kind of medical care aims at improving quality of life in patients with serious illnesses despite their prognosis and is often given with curative treatment?

Palliative care

227

What should be the life expectancy of the patients to be eligible for hospice care?

Less than [...] months

6 months

228

Which type of medical care focuses on providing comfort and palliation instead of a definitive cure in patients with a prognosis of < 6 months?

[...] care

Hospice care

229

What intracellular proteins are responsible for facilitating and maintaining protein folding?

[...] proteins

Chaperone proteins

230

Name the special class of chaperone proteins that prevents protein denaturation at high temperatures in yeast.

[...] proteins

Heat shock proteins

231

Which part of Medicare provides prescribed drugs?

Part [...]

Part D

232

Medicare is available to what group of patients?

Patients ≥ [...] years old
Patients < [...] years old with certain disabilities
Patients with [...] disease

Patients ≥ 65 years old
Patients < 65 years old with certain disabilities
Patients with end-stage renal disease

233

What are the two federal social healthcare programs that originated from amendments to the Social Security Act?

Medicare
Medicaid

234

What services do part A of Medicare give?

_______ _______

Hospital admissions

235

What services does part B of Medicare provide?

Basic _______ _______

Basic medical bills

236

What services does part C of Medicare provide?

Hospital _______
Basic _______ _______

Hospital admissions
Basic medical bills

237
card image

The yellow-brown pigments, called _______, are due to lipid _______ of polyunsaturated lipids of subcellular membranes

lipofuscin

peroxidation

238

lipofuscin pigments in various organs is part of the normal ______ process

aging

239

What is lipofuscin composed of?

Polymers of [...] and [...] complexed with [...]

Polymers of lipids and phospholipids complexed with protein

240

How is polycythemia further subtyped?

____
____ ____
____ ____
____ ____

Relative
Appropriate absolute
Inappropriate absolute
Polycythemia vera

241

What changes in red blood cell mass, O2 saturation, and erythropoietin levels do you expect in polycythemia vera?

[...] O2 saturation

[...] red blood cell mass

[...] erythropoietin levels

↓ O2 saturation
↑ red blood cell mass
↓ erythropoietin levels

242

What levels of red blood cell mass, O2 saturation, and erythropoietin would be expected in a patient with relative polycythemia?

[...] red blood cell mass
[...] O2 saturation
[...] erythropoietin levels

Normal red blood cell mass
Normal O2 saturation
Normal erythropoietin levels

243

What changes in red blood cell mass, O2 saturation, and erythropoietin levels do you expect in appropriate absolute causes of polycythemia?

[...] O2 saturation
[...] red blood cell mass
[...] erythropoietin levels

Dec O2 saturation
Increased red blood cell mass
Increased erythropoietin levels

244

What changes in red blood cell mass, O2 saturation, and erythropoietin levels do you expect in inappropriate absolute causes of polycythemia?

[...] O2 saturation
[...] red blood cell mass
[...] erythropoietin levels

Normal O2 saturation
Increased red blood cell mass
Increased erythropoietin levels

245

How are plasma volume levels affected in absolute polycythemia?

[...] plasma volume levels

Normal plasma volume levels

246

In what two conditions do you expect to see inappropriate absolute polycythemia?

Exogenous ______ administration from athlete abuse
Certain malignancies with ectopic ______ ______

Exogenous erythropoietin administration from athlete abuse
Certain malignancies with ectopic erythropoietin secretion

247

In what three conditions may appropriate absolute polycythemia be seen?

[High/Low] altitude
[Organ] disease
Congenital [organ] disease

High altitude
Lung disease
Congenital heart disease

248

In what conditions are relative polycythemia imminent?

Patients with [...]
[...]

burns

dehydration

249

Barrett esophagus leads to increased risk of what cancer?

[...] of the esophagus

Adenocarcinoma

250

Where is a drug with small lipophilic molecules typically distributed?

Tissues

251

What cardiovascular changes occur on the left side cavities of the heart due to normal aging?

[Increase/Decrease] in the size of the left ventricular cavity
[Increase/Decrease] of the left atrial cavity

Decrease in the size of the left ventricular cavity
Increase of the left atrial cavity

252

What effect does immunosenescence due to normal aging have on immunity?

[Increases/Decreases] response to new antigens

Decreases

253

What changes due to normal aging occur with arterial compliance, aortic diameter, heart rate, and the aortic and mitral valves?

[Increase/Decrease] in arterial compliance
[Increase/Decrease] in aortic diameter
[Increase/Decrease] in heart rate
[...] aortic and mitral valves

Decrease in arterial compliance
Increase in aortic diameter
Decrease in heart rate
Calcified aortic and mitral valves

254

Name three gastrointestinal changes that occur due to normal aging.

[Increase/Decrease] in lower esophageal sphincter tone
[Increase/Decrease] in gastric mucosal protection
[Increase/Decrease] in colonic motility

Decrease in lower esophageal sphincter tone
Decrease in gastric mucosal protection
Decrease in colonic motility

255

What two changes occur in bone marrow due to normal aging?

[Increase/Decrease] in bone marrow mass
[Increase/Decrease] in bone marrow fat

Decrease in bone marrow mass
Increase in bone marrow fat

256

What effect does normal aging have on adaptive immunity?

[Increase/Decrease] in naive B cells and T cells
[...] memory B cells and T cells

Decrease in naive B cells and T cells
Preserved memory B cells and T cells

257

Name three musculoskeletal changes that occur due to normal aging.

[Increase/Decrease] in skeletal muscle mass
[Increase/Decrease] in bone mass
[Thickening/Thinning] of joint cartilage

Decrease in skeletal muscle mass
Decrease in bone mass
Thinning of joint cartilage

258

What two nervous system changes occur due to normal aging?

[Increase/Decrease] in brain volume
[Increase/Decrease] in cerebral blood flow

Decrease in brain volume
Decrease in cerebral blood flow

259

Name five skin changes that occur due to normal aging.

[...] and [...] of dermal-epidermal junction
[Increase/Decrease] in dermal collagen
[Increase/Decrease] in elastin
[Increase/Decrease] in sweat glands
[Increase/Decrease] in sebaceous glands

Atrophy and flattening of dermal-epidermal junction
Decrease in dermal collagen
Decrease in elastin
Decrease in sweat glands
Decrease in sebaceous glands

260

What is a cause of chronological or intrinsic aging of the skin?

Decreased synthesis capacity of dermal [...]

Decreased synthesis capacity of dermal fibroblasts

261

How does sun exposure contribute to aging?

[...] degrade dermal collagen and elastin
Products of degradation accumulate in the dermis → [...]

Ultraviolet rays degrade dermal collagen and elastin
Products of degradation accumulate in the dermis → Solar elastosis

262

Name three renal changes that occur due to normal aging.

[Increase/Decrease] in glomerular filtration rate
[Increase/Decrease] in renal blood flow
[Increase/Decrease] in hormonal function

Decrease in glomerular filtration rate
Decrease in renal blood flow
Decrease in hormonal function

263

How does aging alter the male reproductive system?

Testicular [...]
Prostate [...]
[Faster/Slower] erection/ejaculation
[Longer/Shorter] refractory period

Testicular atrophy
Prostate enlargement
Slower erection/ejaculation
Longer refractory period

264

Name five vaginal changes that occur due to normal aging.

Vulvovaginal [...]
Vaginal [lengthening/shortening]
Vaginal [thickening/thinning]
Vaginal [wetness/dryness]
[Increase/Decrease] in pH

Vulvovaginal atrophy
Vaginal shortening
Vaginal thinning
Vaginal dryness
Increase in pH

265

How does aging affect libido?

Libido [increases/decreases] in both genders

decreases

266

How does aging alter lung and chest wall compliance?

[Increases/Decreases] lung compliance
[Increases/Decreases] chest wall compliance

Increases lung compliance
Decreases chest wall compliance

267

How does aging alter residual lung volume, V/Q mismatch, and the A-a gradient?

[Increases/Decreases] residual lung volume
[Increases/Decreases] V/Q mismatch
[Increases/Decreases] A-a gradient

Increases residual lung volume
Increases V/Q mismatch
Increases A-a gradient

268

How does aging alter FEV1, FVC, and respiratory muscle strength?

[Increases/Decreases] FEV1
[Increases/Decreases] FVC
[Increases/Decreases] respiratory muscle strength

Decreases FEV1
Decreases FVC
Decreases respiratory muscle strength

269

How does total lung capacity change during normal aging?

no change!

270

How does aging affect ventilatory response to hypoxia/hypercapnia?

[Increased/Decreased] capacity

Decreased

271

How does aging affect lung mucus clearance?

[Faster/Slower] mucociliary clearance

Slower mucociliary clearance

272
card image

What is this? ____

It presents with a high bacterial ____ and low cell-mediated ____.

leprosy

load

immunity

273

Which animals serve as reservoirs of Mycobacterium leprae in the United States?

Aramadillos

274

Which form of leprosy presents with hypoesthetic, hairless skin nodules?

[...] leprosy

Tuberculoid leprosy

275

Which form of leprosy presents with diffuse, communicable skin lesions and leonine facies?

[...] leprosy

Lepromatous leprosy

276

How do you confirm a Mycobacterium leprae infection?

Tissue [...]
Skin [...]

Tissue PCR
Skin biopsy

277

Compare T-cell responses associated with lepromatous leprosy and tuberculoid leprosy.

Lepromatous leprosy causes a ____ response
Tuberculoid leprosy causes a ____ response

Lepromatous leprosy causes a Th2 response
Tuberculoid leprosy causes a Th1-type response

278

Infection with which mycobacterium leads to a "glove and stocking" loss of sensation?

Mycobacterium leprae

279

What type of collagen is defective in Alport syndrome?

Type [...] collagen

Type IV collagen

280

What type of collagen is targeted by autoantibodies in Goodpasture syndrome?

Type [...] collagen

Type IV collagen

281

Name the most abundant protein in the body, which undergoes extensive posttranslational modification.

[...]

Collagen

282

Which type of collagen makes up reticulin?

Type [...] collagen

Type III collagen

283

What cells are responsible for secretion of type IV collagen and wound contraction?

_____

Myofibroblasts

284

In what structures can type IV collagen be found?

_____ _____
_____

Basement membrane
Lens

285

What structures are composed of type II collagen?

_____
Nucleus _____
Vitreous _____

Cartilage

pulposus

body

286
card image

What is going on?

Replacement of [keratinized/nonkeratinized] [simple/stratified] squamous epithelium with [ciliated/nonciliated] [simple/cuboidal/columnar] epithelium with [...] cells

Replacement of nonkeratinized stratified squamous epithelium with nonciliated columnar epithelium with goblet cells

287
card image

A patient with chronic reflux esophagitis undergoes a workup. Findings on endoscopy are shown. What is the diagnosis?

Barrett esophagus

288

Barrett esophagus is an example of what kind of pathologic aberration to the normal tissue histology?

Metaplasia

289
card image

What do the inclusion bodies indicated by the arrow in the image, often seen in those with alcoholic hepatitis, represent?

Mallory bodies

290

What pathologic findings would be seen in a liver biopsy specimen obtained from a patient with a history of alcoholism, jaundice, hypoalbuminemia, and an elevated INR?

____ around ____ ____

Sclerosis around central vein

291

What does alcohol cessation lead to in patients with hepatic steatosis?

Possible ____ of the hepatic steatosis

reversal

292

What pathologic features are seen in a liver biopsy specimen obtained from a patient with hepatic steatosis?

[Macrovesicular/Microvesicular] ____ change

Macrovesicular fatty change

293

What is the likely diagnosis for a patient whose liver biopsy specimen shows regenerative nodules surrounded by fibrous bands? ____ ____

Alcoholic cirrhosis

294
card image

What is the likely diagnosis for a patient with elevated liver enzymes and the findings on liver biopsy shown in the image?

hepatic steatosis

295

What is the definition of gambling disorder?

Persistent, recurrent, problematic gambling that cannot be better explained as a [...] episode

manic

296

What is the treatment of gambling disorder?

[...]

psychotherapy

297

At what age does gender identity develop?

About [...] years old

3

298

Is gender nonconformity a mental disorder?

No

299

What is the definition of transgender?

When a patient lives their life as a [similar/different] gender than what was assigned at [...]

different

birth

300

What is definition of gender dysphoria?

A difference between the way an individual [...] gender and the gender assigned at [...]

experiences

birth

301

Where is a drug made of large charged molecules or plasma protein-bound molecules typically distributed?

_______ _______

Intravascular compartment

302

Where is a small hydrophilic drug with a medium volume of distribution typically distributed?

_______ _______

Extracellular fluid

303

After 3 half-lives, what percentage of a drug remains if it was given as a single-dose IV bolus?

[...]% of its original concentration

12.5

304

Why is the bioavailability of a drug taken orally less than 100%?

Incomplete _______ of the drug
_______-_______ metabolism

Incomplete absorption of the drug
First-pass metabolism

305

bioavailability of IV drugs is _______ %.

100

306

After 1 half-life, given constant IV infusion of a drug, how close to steady state is the concentration of the drug?

[...]% of steady state concentration

50

307

You administer a drug with a volume of distribution of 30 L and a clearance rate of 1.05 L/min. What is the half-life of this drug?

20 minutes

t1/2 = ( 0.7 × Vd ) / CL

308

In first-order kinetics, a drug infused at a constant rate takes ___ to ___ half-lives to reach steady state.

4, 5

309

What is the definition of the half-life of a drug?

The time required to change the amount of drug in the body by ___ as elimination occurs

half

310

Disease in which three organs could impair drug clearance?

[...]
[...]
[...]

Heart

Kidney

Liver

311

The half-life of a drug that follows first-order kinetics is 4 hours. How long after discontinuation of the drug until 6.25% of the drug remains?

16 hours

312

What does clearance of a drug measure and how is it calculated?

Volume of [...] cleared of drug per unit time
CL = ___ × ___

Volume of plasma cleared of drug per unit time
CL = Vd × Ke

313

What is the embryologic origin of Schwann cells?

___ ___

Neural crest

314

What are the two main functions of Schwann cells?

___ of axons in the peripheral nervous system
Promotion of axonal ___ after injury

Myelination

regeneration

315

Schwann cell injury, what disease?

Guillain-Barré syndrome

316

How many axons does each Schwann cell myelinate?

[...] peripheral nervous system axon

1

317

What is the cell marker for Schwann cells? ___

s100b

318
card image

What is indicated by the red arrow in the electron micrograph showing an axon in cross-section?

Myelin

319

What cell types produce myelin in the central nervous system and the peripheral nervous system?

Central nervous system → [...]
Peripheral nervous system → [...] cells

Oligodendrocytes

Schwann cells

320

What does myelin do to an axon's space constant, conduction velocity, membrane resistance, and membrane capacitance?

[Increases/Decreases] space constant
[Increases/Decreases] conduction velocity
[Increases/Decreases] membrane resistance
[Increases/Decreases] membrane capacitance

Increases space constant
Increases conduction velocity
Increases membrane resistance
Decreases membrane capacitance

321

What role does myelin play in neuronal activity?

Myelin forms an ___ sheath around a neuron's axon to [increase/decrease] conduction velocity of action potentials

insulating

increase

322

How does myelin increase conduction velocity down an axon?

It promotes ___ conduction at the ___ ___ ___ where concentrations of ___ channels are high

It promotes saltatory conduction at the nodes of Ranvier where concentrations of Na+ channels are high

323

Which cranial nerves are myelinated as part of the central nervous system and peripheral nervous system?

Central nervous system → Cranial nerve [...]
Peripheral nervous system → Cranial nerves [...] to [...]

Central nervous system → Cranial nerve II
Peripheral nervous system → Cranial nerves III to XII

324

What is the name of the phenomenon observed when a population undergoes a sharp reduction in population size, resulting in new allele frequencies? ____ ____

Bottleneck effect

325

What is the name of the phenomenon by which a dramatic change in allele frequency occurs by change, and not through natural selection? ____ ____

Genetic drift

326

What are the two major indications for intervention in a patient with a varicocele?

____

____

Pain
Infertility

327

What is the significance of a patient with a right-sided varicocele that does not resolve when the patient lies supine?

Indicates ____ ____ ____ obstruction

inferior vena cava

328

What are two major treatment options for patients with a varicocele?

Surgical [...]
[...] if it is associated with infertility or pain

ligation

Embolization

329

What is the major reason varicoceles are more common on the left side of the body?

The left _____ vein drains into the left _____ vein → [Increased/Decreased] venous pressure

The left gonadal vein drains into the left renal vein → Increased venous pressure

330

What is the pathophysiologic mechanism by which the pathology leads to infertility?

_____ increase in the scrotum impairs spermatogenesis

temperature

331

What is the pathophysiologic mechanism associated with the development of a varicocele?

[Increased/Decreased] venous pressure → Dilation of the _____ _____

Increased venous pressure → Dilation of the pampiniform plexus

332

What are two major ways to clinically diagnose a varicocele?

[...]
Performance of a [standing/sitting] clinical exam with the [...] maneuver → [...] on visual inspection and the "[...]" finding on palpation

Ultrasound
Performance of a standing clinical exam with the Valsalva maneuver → Distention on visual inspection and the "bag of worms" finding on palpation

333

What is the definitive treatment for acromegaly?

_____ _____ of the _____ _____

Surgical resection of the pituitary adenoma

334

What are three pharmacologic treatment options for acromegaly?

[...]
[...]
[...] agonists

Pegvisomant
Octreotide
Dopamine agonists

335

What are three ways to diagnose acromegaly?

Lack of suppression of serum _____ after oral glucose tolerance tests
_____ _____ on MRI
Increased serum _____

Lack of suppression of serum GH after oral glucose tolerance tests
Pituitary mass on MRI
Increased serum IGF-1

336

What is the clinical implication of excess GH in children?

It causes [...] with increased [...] bone growth

gigantism

linear

337

What is the most common cause of death in gigantism and acromegaly?

Heart failure

338

What endocrine disease typically presents with an enlarged tongue with deep furrows, coarsening of facial features with age, deep voice, and frontal bossing?

Acromegaly

339

How is glucose regulation affected in acromegaly?

Glucose tolerance is impaired due to insulin [...]

resistance

340
card image

The patient shown in the image has noted difficulty speaking due to tongue enlargement. Based on this symptom and the physical exam findings shown, what is the diagnosis?

acromegaly

341

What transports ADH and oxytocin from the hypothalamus to the posterior pituitary, where these hormones are stored and released?

Neurophysins

342

Where in the hypothalamus are the hormones ADH and oxytocin produced?

ADH is produced in the [...] nucleus
Oxytocin is produced in the [...] nucleus

supraoptic

paraventricular

343

Which region of the hypothalamus regulates parasympathetic activity and induces you to cool off?

[...] nucleus

Anterior nucleus

344

Which part of the hypothalamus regulates sleep and the circadian rhythm?

[...] nucleus

Suprachiasmatic nucleus

345

How might a hypothalamic mass compressing the ventromedial nucleus present in a young patient?

Hyperphagia

346

Which part of the hypothalamus regulates sympathetic activity and makes you to feel warm?

[...] nucleus

Posterior nucleus

347

What hormone regulates the ventromedial nucleus's function?

_____ stimulates it

Leptin

348

What area of the hypothalamus induces the sensation of satiety?

_____ nucleus

Ventromedial nucleus

349

An infant is born with hypoplastic lateral hypothalamic nuclei. How does this condition manifest?

Failure to [...]

Failure to thrive

350

What 2 hormones regulate the lateral nucleus of the hypothalamus?

[...] stimulates
[...] inhibits

Ghrelin stimulates
Leptin inhibits