Sign in
Sign in
Create Cards
Home
Notecards
Books
Classes
mitosis Flashcards
Cards
Quiz
Matching
UPDATED
Bingo
Print
Print
Set Details
Share
created 8 months ago by
catie
show
more
less
Page to share:
Set (this page)
Cards
Quiz
Matching
Bingo
Print
COPY
Embed this set
cancel
COPY
code changes based on your size selection
Size:
Small (450 x 345)
Medium (600 x 460)
Large (750 x 575)
Custom size
X
Maintain aspect ratio
List View
Show:
All Cards
5
All
5
Un-marked
Marked
mark all
un-mark all
1
interphase
2
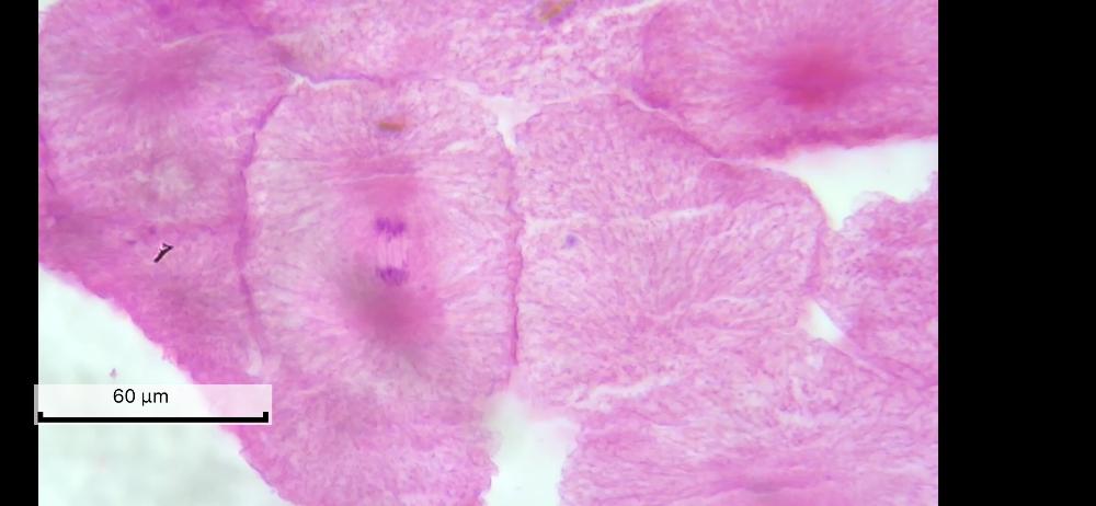
metaphase
3
anaphase
4
telophase
5
prophase